JavaScript is disabled in your browser. Please enable JavaScript to view this website.
AB324620

Anti-Phospho-ROS1 (Tyr2274/2334) antibody [EPR28163-133] - BSA and Azide free

Be the first to review this product! Submit a review

|

(0 Publication)

Rabbit Recombinant Monoclonal ROS1 phospho Y2274 + Y2334 antibody. Carrier free. Suitable for WB, Dot and reacts with Transfected cell lysate - Human, Human, Synthetic peptide samples.

View Alternative Names

MCF3, ROS, Proto-oncogene tyrosine-protein kinase ROS, Proto-oncogene c-Ros, Proto-oncogene c-Ros-1, Receptor tyrosine kinase c-ros oncogene 1, c-Ros receptor tyrosine kinase

3 Images
Western blot - Anti-Phospho-ROS1 (Tyr2274/2334) antibody [EPR28163-133] - BSA and Azide free (AB324620)
  • WB

Supplier Data

Western blot - Anti-Phospho-ROS1 (Tyr2274/2334) antibody [EPR28163-133] - BSA and Azide free (AB324620)

This data was developed using ab324617, the same antibody clone in a different buffer formulation.

Blocking and diluting buffer and concentration : 5% NFDM/TBST.

U-118MG cells carry the FIG-ROS1 fusion (PMID : 12661006). Tyrosine phosphorylated ROS1 is downregulated in response to crizotinib treatment (PMID : 24971615)

In Western blot, Anti-GAPDH antibody [EPR16891] - Loading Control (ab181602) staining at 1/200000 dilution.

All lanes:

Western blot - Anti-Phospho-ROS1 (Tyr2274/2334) antibody [EPR28163-133] (<a href='/en-us/products/primary-antibodies/phospho-ros1-tyr2274-2334-antibody-epr28163-133-ab324617'>ab324617</a>) at 1/1000 dilution

Lane 1:

Untreated U-118 MG (human brain glioblastoma cell) whole cell lysate (untreated membrane) at 50 µg

Lane 2:

U-118 MG treated with 250 nM crizotinib for 4 hours whole cell lysate (untreated membrane) at 50 µg

Lane 3:

Untreated U-118 MG whole cell lysate (alkaline phosphatase treated membrane) at 50 µg

Lane 4:

U-118 MG treated with 250 nM crizotinib for 4 hours whole cell lysate (alkaline phosphatase treated membrane) at 50 µg

Secondary

All lanes:

Western blot - Goat Anti-Rabbit IgG H&L (HRP) (<a href='/en-us/products/secondary-antibodies/goat-rabbit-igg-h-l-hrp-ab97051'>ab97051</a>) at 1/20000 dilution

Observed band size: 110 kDa,36 kDa

false

Exposure time: 180s

Western blot - Anti-Phospho-ROS1 (Tyr2274/2334) antibody [EPR28163-133] - BSA and Azide free (AB324620)
  • WB

Supplier Data

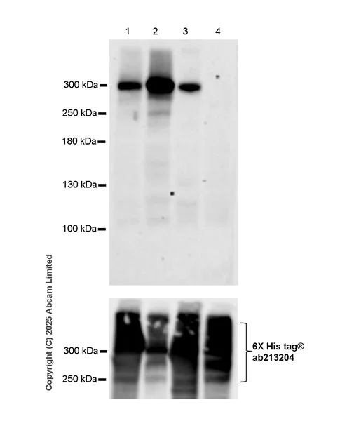
Western blot - Anti-Phospho-ROS1 (Tyr2274/2334) antibody [EPR28163-133] - BSA and Azide free (AB324620)

This data was developed using ab324617 , the same antibody clone in a different buffer formulation.

Blocking and diluting buffer and concentration : 5% NFDM/TBST.

Tyrosine phosphorylated ROS1 is high in ROS1(D2113N mutant) overexpressing cells (PMID : 37587872) when compared to wildtype ROS1. The signal is reduced in cells overexpressing ROS1(D2113N, Y2274F mutant) and absent in cells overexpressing ROS1(Y2274F, Y2334F mutant).

In Western blot, Anti-6X His tag® antibody [EPR20547] - ChIP Grade (ab213204) staining at 1/5000 dilution.

All lanes:

Western blot - Anti-Phospho-ROS1 (Tyr2274/2334) antibody [EPR28163-133] (<a href='/en-us/products/primary-antibodies/phospho-ros1-tyr2274-2334-antibody-epr28163-133-ab324617'>ab324617</a>) at 1/1000 dilution

Lane 1:

293T (human embryonic kidney epithelial cell) cells transfected with a human ROS1 expression vector containing a myc-His-tag®, whole cell lysate at 50 µg

Lane 2:

293T cells transfected with a human ROS1(D2113N mutant) expression vector containing a myc-His-tag®, whole cell lysate at 50 µg

Lane 3:

293T cells transfected with a human ROS1(D2113N, Y2274F mutant) expression vector containing a myc-His-tag®, whole cell lysate at 50 µg

Lane 4:

293T cells transfected with a human ROS1(Y2274F, Y2334F mutant) expression vector containing a myc-His-tag®, whole cell lysate at 50 µg

Secondary

All lanes:

Western blot - Goat Anti-Rabbit IgG H&L (HRP) (<a href='/en-us/products/secondary-antibodies/goat-rabbit-igg-h-l-hrp-ab97051'>ab97051</a>) at 1/20000 dilution

Observed band size: 265 kDa

false

Exposure time: 92s

Dot Blot - Anti-Phospho-ROS1 (Tyr2274/2334) antibody [EPR28163-133] - BSA and Azide free (AB324620)
  • Dot

Supplier Data

Dot Blot - Anti-Phospho-ROS1 (Tyr2274/2334) antibody [EPR28163-133] - BSA and Azide free (AB324620)

This data was developed using ab324617, the same antibody clone in a different buffer formulation.

Dot blot analysis of Phospho-ROS1 (Tyr2274/2334) using ab324617 at 1 : 1000 (0.489 ug/ml) followed by a Goat Anti-Rabbit IgG, (H+L), Peroxidase conjugated (ab97051) at 1 : 100,000 dilution.

Lane1 : ROS1 (phospho Y2274) peptide
Lane2 : ROS1 non-phospho peptide
Lane3 : ROS1 (phospho Y2334) peptide

Exposure time : 180 seconds.

Blocking and diluting buffer and concentration : 5% NFDM/TBST.

The antibody recognizes ROS1 protein when singly phosphorylated at Tyr2274, and shows slight reactivity with ROS1 when singly phosphorylated at Tyr2334.

All lanes:

Dot Blot - Anti-Phospho-ROS1 (Tyr2274/2334) antibody [EPR28163-133] (<a href='/en-us/products/primary-antibodies/phospho-ros1-tyr2274-2334-antibody-epr28163-133-ab324617'>ab324617</a>) at 1/1000 dilution

Lane 1:

ROS1 (phospho Y2274) peptide

Lane 2:

ROS1 non-phospho peptide

Lane 3:

ROS1 (phospho Y2334) peptide

Secondary

All lanes:

Dot Blot - Goat Anti-Rabbit IgG H&L (HRP) (<a href='/en-us/products/secondary-antibodies/goat-rabbit-igg-h-l-hrp-ab97051'>ab97051</a>) at 1/100000 dilution

false

Exposure time: 180s

Key facts

Host species

Rabbit

Clonality

Monoclonal

Clone number

EPR28163-133

Isotype

IgG

Carrier free

Yes

Reacts with

Human

Applications

WB, Dot

applications

Immunogen

The exact immunogen used to generate this antibody is proprietary information.

Reactivity data

{ "title": "Reactivity Data", "filters": { "stats": ["", "Species", "Dilution Info", "Notes"], "tabs": { "all-applications": {"fullname" : "All Applications", "shortname": "All Applications"}, "WB" : {"fullname" : "Western blot", "shortname":"WB"}, "Dot" : {"fullname" : "Dot Blot", "shortname":"Dot"}, "ICCIF" : {"fullname" : "Immunocytochemistry/ Immunofluorescence", "shortname":"ICC/IF"}, "IHCP" : {"fullname" : "Immunohistochemistry (Formalin/PFA-fixed paraffin-embedded sections)", "shortname":"IHC-P"} }, "product-promise": { "all": "all", "testedAndGuaranteed": "tested", "guaranteed": "expected", "predicted": "predicted", "notRecommended": "not-recommended" } }, "values": { "Human": { "WB-species-checked": "testedAndGuaranteed", "WB-species-dilution-info": "", "WB-species-notes": "<p></p>", "Dot-species-checked": "guaranteed", "Dot-species-dilution-info": "", "Dot-species-notes": "", "ICCIF-species-checked": "notRecommended", "ICCIF-species-dilution-info": "", "ICCIF-species-notes": "<p></p>", "IHCP-species-checked": "notRecommended", "IHCP-species-dilution-info": "", "IHCP-species-notes": "<p></p>" }, "Mouse": { "WB-species-checked": "notRecommended", "WB-species-dilution-info": "", "WB-species-notes": "<p></p>", "Dot-species-checked": "notRecommended", "Dot-species-dilution-info": "", "Dot-species-notes": "", "ICCIF-species-checked": "notRecommended", "ICCIF-species-dilution-info": "", "ICCIF-species-notes": "", "IHCP-species-checked": "notRecommended", "IHCP-species-dilution-info": "", "IHCP-species-notes": "<p></p>" }, "Synthetic peptide": { "WB-species-checked": "notRecommended", "WB-species-dilution-info": "", "WB-species-notes": "", "Dot-species-checked": "testedAndGuaranteed", "Dot-species-dilution-info": "", "Dot-species-notes": "<p></p>", "ICCIF-species-checked": "notRecommended", "ICCIF-species-dilution-info": "", "ICCIF-species-notes": "", "IHCP-species-checked": "notRecommended", "IHCP-species-dilution-info": "", "IHCP-species-notes": "" }, "Transfected cell lysate - Human": { "WB-species-checked": "testedAndGuaranteed", "WB-species-dilution-info": "", "WB-species-notes": "<p></p>", "Dot-species-checked": "notRecommended", "Dot-species-dilution-info": "", "Dot-species-notes": "", "ICCIF-species-checked": "notRecommended", "ICCIF-species-dilution-info": "", "ICCIF-species-notes": "", "IHCP-species-checked": "notRecommended", "IHCP-species-dilution-info": "", "IHCP-species-notes": "" } } }

Product details

ab324620 is the carrier-free version of ab324617.

Conjugation ready
Our carrier-free antibodies are typically supplied in a PBS-only formulation, purified and free of BSA, sodium azide and glycerol. This conjugation-ready format is designed for use with fluorochromes, metal isotopes, oligonucleotides, and enzymes, which makes them ideal for antibody labelling, functional and cell-based assays, flow-based assays (e.g. mass cytometry) and Multiplex Imaging applications.

Use our conjugation kits for antibody conjugates that are ready-to-use in as little as 20 minutes with 1 minute hands-on-time and 100% antibody recovery: available for fluorescent dyes, HRP, biotin and gold.

Compatibility
This product is compatible with the Maxpar® Antibody Labeling Kit from Fluidigm, without the need for antibody preparation. Maxpar® is a trademark of Fluidigm Canada Inc.

Patented technology
Our RabMAb® technology is a patented hybridoma-based technology for making rabbit monoclonal antibodies. For details on our patents, please refer to RabMAb® patents.

What are the advantages of a recombinant monoclonal antibody?
This product is a recombinant monoclonal antibody, which offers several advantages including:

  • - High batch-to-batch consistency and reproducibility
  • - Improved sensitivity and specificity
  • - Long-term security of supply
  • - Animal-free batch production

For more information, read more on recombinant antibodies.

Properties and storage information

Form
Liquid
Purification technique
Affinity purification Protein A
Storage buffer
pH: 7.2 - 7.4 Constituents: PBS
Shipped at conditions
Blue Ice
Appropriate short-term storage conditions
+4°C
Appropriate long-term storage conditions
+4°C

Product protocols

For this product, it's our understanding that no specific protocols are required. You can visit:

Target data

Receptor tyrosine kinase (RTK) that plays a role in epithelial cell differentiation and regionalization of the proximal epididymal epithelium. NELL2 is an endogenous ligand for ROS1. Upon endogenous stimulation by NELL2, ROS1 activates the intracellular signaling pathway and triggers epididymal epithelial differentiation and subsequent sperm maturation (By similarity). May activate several downstream signaling pathways related to cell differentiation, proliferation, growth and survival including the PI3 kinase-mTOR signaling pathway. Mediates the phosphorylation of PTPN11, an activator of this pathway. May also phosphorylate and activate the transcription factor STAT3 to control anchorage-independent cell growth. Mediates the phosphorylation and the activation of VAV3, a guanine nucleotide exchange factor regulating cell morphology. May activate other downstream signaling proteins including AKT1, MAPK1, MAPK3, IRS1 and PLCG2.
See full target information ROS1 phospho Y2274 + Y2334

Product promise

We are committed to supporting your work with high-quality reagents, and we're here for you every step of the way. In the unlikely event that one of our products does not perform as expected, you're protected by our Product Promise.
For full details, please see our Terms & Conditions

Please note: All products are 'FOR RESEARCH USE ONLY. NOT FOR USE IN DIAGNOSTIC OR THERAPEUTIC PROCEDURES'.

For licensing inquiries, please contact partnerships@abcam.com