JavaScript is disabled in your browser. Please enable JavaScript to view this website.
AB300625

Anti-Phospho - (Ser/Thr) Phe antibody [EPR26858-4]

  • BOND RX™ Validated
  • 20ul selling size
  • RabMAb
  • Recombinant
  • What is this?

Be the first to review this product! Submit a review

|

(2 Publications)

Rabbit Recombinant Monoclonal Phospho - (Ser/Thr) Phe antibody. Suitable for ELISA, WB, Dot, IHC-P, ICC/IF, Flow Cyt (Intra), IP and reacts with Modified Amino Acid samples. Cited in 2 publications.
13 Images
Immunocytochemistry/ Immunofluorescence - Anti-Phospho - (Ser/Thr) Phe antibody [EPR26858-4] (AB300625)
  • ICC/IF

Supplier Data

Immunocytochemistry/ Immunofluorescence - Anti-Phospho - (Ser/Thr) Phe antibody [EPR26858-4] (AB300625)

Immunofluorescent analysis of 4% Paraformaldehyde-fixed, 0.1% TritonX-100 permeabilized HEK-293 (human embryonic kidney epithelial cell) cells labelling Phospho - (Ser/Thr) Phe with ab300625 at 1/4000 (0.118 ug/ml) dilution, followed by ab150081 Goat Anti-Rabbit IgG H&L (Alexa Fluor® 488) preadsorbed antibody at 1/1000 2 ug/ml dilution (Green). Confocal image showing increased cytoplasmic and nuclear staining in HEK-293 cell line treated with Calyculin A (50 nM) for 3 h, then the signal decreased after phosphatase treatment at 37°C for 2h. is observed. ab195889 Anti-alpha Tubulin mouse monoclonal antibody - Microtubule Marker (Alexa Fluor® 594) was used to counterstain tubulin at 1/200 2.5 ug/ml dilution (Red). The Nuclear counterstain was DAPI (Blue). Secondary antibody only control : Secondary antibody is ab150081 Goat Anti-Rabbit IgG H&L (Alexa Fluor® 488) preadsorbed at 1/1000 2 ug/ml dilution.

Flow Cytometry (Intracellular) - Anti-Phospho - (Ser/Thr) Phe antibody [EPR26858-4] (AB300625)
  • Flow Cyt (Intra)

Supplier Data

Flow Cytometry (Intracellular) - Anti-Phospho - (Ser/Thr) Phe antibody [EPR26858-4] (AB300625)

Flow cytometric analysis of 4% paraformaldehyde fixed 90% methanol permeabilized HEK-293 (human embryonic kidney epithelial cell) treated with 50nM Calyculin A for 3 hours (Red) / Untreated control (Green) cells labelling Phospho - (Ser/Thr) Phe with ab300625 at 1/50 dilution (1ug) (Red) and Green (Red) compared with a Rabbit monoclonal IgG (ab172730) (Black) isotype control and an unlabelled control (cells without incubation with primary antibody and secondary antibody) (Blue). A Goat Anti-Rabbit IgG (Alexa Fluor® 488, ab150081) at 1/2000 dilution was used as the secondary antibody.

Immunohistochemistry (Formalin/PFA-fixed paraffin-embedded sections) - Anti-Phospho - (Ser/Thr) Phe antibody [EPR26858-4] (AB300625)
  • IHC-P

Supplier Data

Immunohistochemistry (Formalin/PFA-fixed paraffin-embedded sections) - Anti-Phospho - (Ser/Thr) Phe antibody [EPR26858-4] (AB300625)

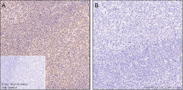
Immunohistochemical analysis of paraffin-embedded human tonsil tissue labeling Phospho - (Ser/Thr) Phe with ab300625 at 1/4000 dilution (0.118 μg/mL), followed by a ready to use Rabbit specific IHC polymer detection kit HRP/DAB (ab209101). Nuclear and cytoplasmic staining on human tonsil without alkaline phosphatase (image A). No signal was detected when tissues were treated with alkaline phosphatase (image B). The section was incubated with ab300625 for 30 mins at room temperature. The immunostaining was performed on a Leica Biosystems BOND® RX instrument. Counterstained with Hematoxylin.

Secondary antibody only control : Secondary antibody is ready to use Rabbit specific IHC polymer detection kit HRP/DAB (ab209101) and used without primary.

Heat mediated antigen retrieval with Tris-EDTA buffer (pH 9.0, epitope retrieval solution 2) for 20 mins was used.

Immunohistochemistry (Formalin/PFA-fixed paraffin-embedded sections) - Anti-Phospho - (Ser/Thr) Phe antibody [EPR26858-4] (AB300625)
  • IHC-P

Supplier Data

Immunohistochemistry (Formalin/PFA-fixed paraffin-embedded sections) - Anti-Phospho - (Ser/Thr) Phe antibody [EPR26858-4] (AB300625)

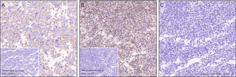
Immunohistochemical analysis of paraffin-embedded (A) HEK-293 (human e tissue labeling Phospho - (Ser/Thr) Phe with ab300625 at 1/4000 (0.118 ug/ml) followed by a ready to use LeicaDS9800 (Bond™ Polymer Refine Detection) was used. Weak cytoplasmic staining on HEK-293 (human embryonic kidney epithelial cell) cell pellet (without alkaline phosphatase treatment) (image A). Nuclear and cytoplasmic staining on HEK-293 treated with 50nM Calyculin A for 3 hours cell pellet (without alkaline phosphatase treatment) (image B). No signal was detected HEK-293 treated with 50nM Calyculin A for 3 hours cell pellet (alkaline phosphatase treated) (image C). The section was incubated with ab300625 for 30 mins at room temperature.The immunostaining was performed on a Leica Biosystems BOND® RX instrument Counterstained with Hematoxylin. Secondary antibody only control : Secondary antibody is a ready to use LeicaDS9800 (Bond™ Polymer Refine Detection).Heat mediated antigen retrieval with Tris-EDTA buffer (pH 9.0, epitope retrieval solution2) for 20 mins

Immunohistochemistry (Formalin/PFA-fixed paraffin-embedded sections) - Anti-Phospho - (Ser/Thr) Phe antibody [EPR26858-4] (AB300625)
  • IHC-P

Supplier Data

Immunohistochemistry (Formalin/PFA-fixed paraffin-embedded sections) - Anti-Phospho - (Ser/Thr) Phe antibody [EPR26858-4] (AB300625)

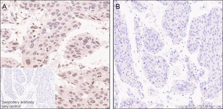
Immunohistochemical analysis of paraffin-embedded human hepatocellular tissue labeling Phospho - (Ser/Thr) Phe with ab300625 at 1/4000 dilution (0.118 μg/mL), followed by a ready to use Rabbit specific IHC polymer detection kit HRP/DAB (ab209101). Nuclear and cytoplasmic staining on human hepatocellular carcinoma without alkaline phosphatase (image A). No signal was detected when tissues were treated with alkaline phosphatase (image B). The section was incubated with ab300625 for 30 mins at room temperature. The immunostaining was performed on a Leica Biosystems BOND® RX instrument. Counterstained with Hematoxylin.

Secondary antibody only control : Secondary antibody is ready to use Rabbit specific IHC polymer detection kit HRP/DAB (ab209101) and added without primary.

Heat mediated antigen retrieval with Tris-EDTA buffer (pH 9.0, epitope retrieval solution 2) for 20 mins was used.

Immunoprecipitation - Anti-Phospho - (Ser/Thr) Phe antibody [EPR26858-4] (AB300625)
  • IP

Supplier Data

Immunoprecipitation - Anti-Phospho - (Ser/Thr) Phe antibody [EPR26858-4] (AB300625)

Phospho - (Ser/Thr) Phe was immunoprecipitated from 0.35 mg HEK-293 (human embryonic kidney epithelial cell) treated with 50 nM Calyculin A for 3 hours, whole cell lysate with ab300625 at 1/30 dilution (2 µg in 0.35 mg lysates). Western blot was performed on the immunoprecipitate using ab300625 at 1/1000 dilution. VeriBlot for IP secondary antibody(HRP)(ab131366) was used at 1/5000 dilution.

Blocking and dilution buffer and concentration : 5% NFDM/TBST

This blot was developed using a high sensitivity ECL substrate. The high-sensitivity ECL substrate used allows for the detection of proteins in the mid-femtogram range.

All lanes:

Immunoprecipitation - Anti-Phospho - (Ser/Thr) Phe antibody [EPR26858-4] (ab300625) at 1/1000 dilution

Lane 1:

HEK-293 (human embryonic kidney epithelial cell) treated with 50nM Calyculin A for 3 hours, whole cell lysate at 10 µg

Lane 2:

ab300625 at 1/30 IP in HEK-293 treated with 50nM Calyculin A for 3 hours, whole cell lysate at 10 µg

Lane 3:

Rabbit monoclonal IgG (<a href='/en-us/products/primary-antibodies/rabbit-igg-monoclonal-epr25a-isotype-control-ab172730'>ab172730</a>) instead of ab300625 in HEK-293 treated with 50 nM Calyculin A for 3 hours, whole cell lysate at 10 µg

Secondary

All lanes:

Immunoprecipitation - VeriBlot for IP Detection Reagent (HRP) (<a href='/en-us/products/reagents/veriblot-for-ip-detection-reagent-hrp-ab131366'>ab131366</a>) at 1/5000 dilution

true

Exposure time: 3min

Immunohistochemistry (Formalin/PFA-fixed paraffin-embedded sections) - Anti-Phospho - (Ser/Thr) Phe antibody [EPR26858-4] (AB300625)
  • IHC-P

Supplier Data

Immunohistochemistry (Formalin/PFA-fixed paraffin-embedded sections) - Anti-Phospho - (Ser/Thr) Phe antibody [EPR26858-4] (AB300625)

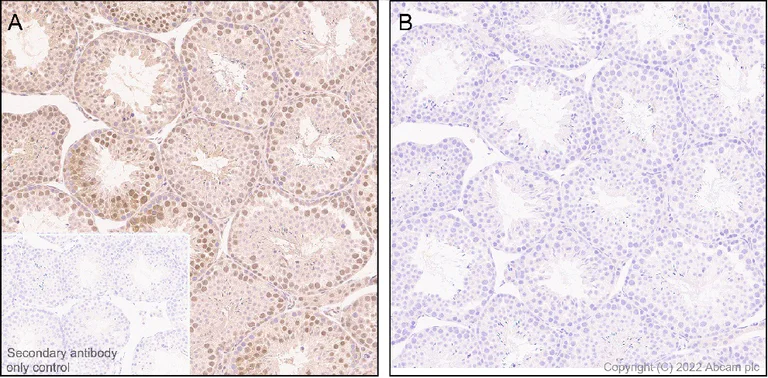
Immunohistochemical analysis of paraffin-embedded Rat testis tissue labeling Phospho - (Ser/Thr) Phe with ab300625 at 1/4000 (0.118 ug/ml) followed by a ready to use Rabbit specific IHC polymer detection kit HRP/Dab (ab209101). Nuclear and cytoplasmic staining was observed on rat testis without alkaline phosphatase (image A). No signal was detected when tissues were treated with alkaline phosphatase (image B). The section was incubated with ab300625 for 30 mins at room temperature.The immunostaining was performed on a Leica Biosystems BOND® RX instrument Counterstained with Hematoxylin. Secondary antibody only control : Secondary antibody is a ready to use Rabbit specific IHC polymer detection kit HRP/Dab (ab209101).Heat mediated antigen retrieval with Tris-EDTA buffer (pH 9.0, epitope retrieval solution2) for 20 mins

Immunohistochemistry (Formalin/PFA-fixed paraffin-embedded sections) - Anti-Phospho - (Ser/Thr) Phe antibody [EPR26858-4] (AB300625)
  • IHC-P

Supplier Data

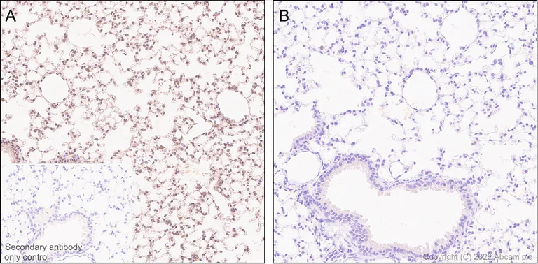
Immunohistochemistry (Formalin/PFA-fixed paraffin-embedded sections) - Anti-Phospho - (Ser/Thr) Phe antibody [EPR26858-4] (AB300625)

Immunohistochemical analysis of paraffin-embedded mouse lung tissue labeling Phospho - (Ser/Thr) Phe with ab300625 at 1/4000 dilution (0.118 μg/mL), followed by a ready to use Rabbit specific IHC polymer detection kit HRP/DAB (ab209101). Nuclear and cytoplasmic staining was observed on mouse lung without alkaline phosphatase (image A). No signal was detected when tissues were treated with alkaline phosphatase (image B). The section was incubated with ab300625 for 30 mins at room temperature. The immunostaining was performed on a Leica Biosystems BOND® RX instrument. Counterstained with Hematoxylin.

Secondary antibody only control : Secondary antibody is ready to use Rabbit specific IHC polymer detection kit HRP/DAB (ab209101) and used without primary.

Heat mediated antigen retrieval with Tris-EDTA buffer (pH 9.0, epitope retrieval solution 2) for 20 mins was used.

Immunohistochemistry (Formalin/PFA-fixed paraffin-embedded sections) - Anti-Phospho - (Ser/Thr) Phe antibody [EPR26858-4] (AB300625)
  • IHC-P

Supplier Data

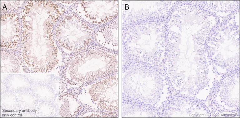
Immunohistochemistry (Formalin/PFA-fixed paraffin-embedded sections) - Anti-Phospho - (Ser/Thr) Phe antibody [EPR26858-4] (AB300625)

Immunohistochemical analysis of paraffin-embedded mouse testis tissue labeling Phospho - (Ser/Thr) Phe with ab300625 at 1/4000 dilution (0.118 μg/mL), followed by a ready to use Rabbit specific IHC polymer detection kit HRP/DAB (ab209101). Nuclear and cytoplasmic staining was observed on mouse testis without alkaline phosphatase (image A). No signal was detected when tissues were treated with alkaline phosphatase (image B). The section was incubated with ab300625 for 30 mins at room temperature. The immunostaining was performed on a Leica Biosystems BOND® RX instrument. Counterstained with Hematoxylin.

Secondary antibody only control : Secondary antibody is ready to use Rabbit specific IHC polymer detection kit HRP/DAB (ab209101) and used without primary.

Heat mediated antigen retrieval with Tris-EDTA buffer (pH 9.0, epitope retrieval solution 2) for 20 mins was used.

Western blot - Anti-Phospho - (Ser/Thr) Phe antibody [EPR26858-4] (AB300625)
  • WB

Supplier Data

Western blot - Anti-Phospho - (Ser/Thr) Phe antibody [EPR26858-4] (AB300625)

Blocking / Diluting buffer and concentration : 5% NFDM/TBST

Observed MW(kDa) : Multiple bands.

All lanes:

Western blot - Anti-Phospho - (Ser/Thr) Phe antibody [EPR26858-4] (ab300625) at 1/1000 dilution

Lane 1:

Untreated HeLa (human cervix adenocarcinoma epithelial cell), whole cell lysate at 20 µg

Lane 2:

HeLa treated with 100nM Calyculin A for 30 minutes, whole cell lysate at 20 µg

Lane 3:

Untreated HEK-293 (human embryonic kidney epithelial cell), whole cell lysate at 20 µg

Lane 4:

HEK-293 treated with 50nM Calyculin A for 3 hours, whole cell lysate at 20 µg

Secondary

All lanes:

Western blot - Goat Anti-Rabbit IgG H&L (HRP) (<a href='/en-us/products/secondary-antibodies/goat-rabbit-igg-h-l-hrp-ab97051'>ab97051</a>)

false

Exposure time: 103s

Western blot - Anti-Phospho - (Ser/Thr) Phe antibody [EPR26858-4] (AB300625)
  • WB

Supplier Data

Western blot - Anti-Phospho - (Ser/Thr) Phe antibody [EPR26858-4] (AB300625)

Blocking and dilution buffer and concentration : 5% NFDM/TBST

Observed MW(kDa) : Multiple bands.

This blot was developed using a high sensitivity ECL substrate. The high-sensitivity ECL substrate used allows for the detection of proteins in the mid-femtogram range.

All lanes:

Western blot - Anti-Phospho - (Ser/Thr) Phe antibody [EPR26858-4] (ab300625) at 1/1000 dilution

Lane 1:

HEK-293 (human embryonic kidney epithelial cell) treated with 50nM Calyculin A for 3 hours, whole cell lysate at 20 µg

Lane 2:

HEK-293 treated with 50nM Calyculin A for 3 hours, whole cell lysate (phosphatase treated membrane) at 20 µg

Secondary

All lanes:

Western blot - Goat Anti-Rabbit IgG H&L (HRP) (<a href='/en-us/products/secondary-antibodies/goat-rabbit-igg-h-l-hrp-ab97051'>ab97051</a>) at 1/100000 dilution

true

Exposure time: 48s

ELISA - Anti-Phospho - (Ser/Thr) Phe antibody [EPR26858-4] (AB300625)
  • ELISA

Lab

ELISA - Anti-Phospho - (Ser/Thr) Phe antibody [EPR26858-4] (AB300625)

Indirect ELISA antibody dose-response curve using ab300625 between 0-1000 ng/mL. Antigen concentration of 100 ng/mL. An alkaline phosphatase-conjugated AffiniPure goat anti-rabbit IgG (H+L) (1/2500) was used as the secondary antibody.

Phospho-(Ser/Thr) Phe peptides : a mixture of (Tyr/Phe/Trp)-Phospho - (Ser/Thr) Phe peptides.

Dot Blot - Anti-Phospho - (Ser/Thr) Phe antibody [EPR26858-4] (AB300625)
  • Dot

Supplier Data

Dot Blot - Anti-Phospho - (Ser/Thr) Phe antibody [EPR26858-4] (AB300625)

Dot blot analysis of Phospho - (Ser/Thr) Phe using ab300625 at 1 : 1000 (0.473 μg/ml) followed by a Goat Anti-Rabbit IgG, (H+L), Peroxidase conjugated (ab97051) at 1 : 10,000 dilution. Lane 1 : Phospho - (Ser/Thr) Phe peptides Lane 2 : Non-phospho - (Ser/Thr) Phe peptides Lane 3 : Phospho - (Ser/Thr) (Lys/Arg/Asp/Glu) peptides Exposure time : 3 minutes Blocking and diluting buffer and concentration : 5% NFDM/TBST

  • Carrier free

    Anti-Phospho - (Ser/Thr) Phe antibody [EPR26858-4] - BSA and Azide free

Key facts

Host species

Rabbit

Clonality

Monoclonal

Clone number

EPR26858-4

Isotype

IgG

Carrier free

No

Applications

Dot, ICC/IF, WB, Flow Cyt (Intra), IHC-P, ELISA, IP

applications

Immunogen

The exact immunogen used to generate this antibody is proprietary information.

Reactivity data

{ "title": "Reactivity Data", "filters": { "stats": ["", "Species", "Dilution Info", "Notes"], "tabs": { "all-applications": {"fullname" : "All Applications", "shortname": "All Applications"}, "ELISA" : {"fullname" : "ELISA", "shortname":"ELISA"}, "WB" : {"fullname" : "Western blot", "shortname":"WB"}, "Dot" : {"fullname" : "Dot Blot", "shortname":"Dot"}, "IHCP" : {"fullname" : "Immunohistochemistry (Formalin/PFA-fixed paraffin-embedded sections)", "shortname":"IHC-P"}, "ICCIF" : {"fullname" : "Immunocytochemistry/ Immunofluorescence", "shortname":"ICC/IF"}, "FlowCytIntra" : {"fullname" : "Flow Cytometry (Intracellular)", "shortname":"Flow Cyt (Intra)"}, "IP" : {"fullname" : "Immunoprecipitation", "shortname":"IP"} }, "product-promise": { "all": "all", "testedAndGuaranteed": "tested", "guaranteed": "expected", "predicted": "predicted", "notRecommended": "not-recommended" } }, "values": { "Modified Amino Acid": { "ELISA-species-checked": "testedAndGuaranteed", "ELISA-species-dilution-info": "0.125 µg/mL", "ELISA-species-notes": "<p></p>", "WB-species-checked": "testedAndGuaranteed", "WB-species-dilution-info": "1/1000", "WB-species-notes": "<p></p>", "Dot-species-checked": "testedAndGuaranteed", "Dot-species-dilution-info": "1/1000", "Dot-species-notes": "<p></p>", "IHCP-species-checked": "testedAndGuaranteed", "IHCP-species-dilution-info": "1/4000", "IHCP-species-notes": "<p></p> Perform heat-mediated antigen retrieval with Tris/EDTA buffer pH 9.0 before commencing with IHC staining protocol.", "ICCIF-species-checked": "testedAndGuaranteed", "ICCIF-species-dilution-info": "1/4000", "ICCIF-species-notes": "<p></p>", "FlowCytIntra-species-checked": "testedAndGuaranteed", "FlowCytIntra-species-dilution-info": "1/50", "FlowCytIntra-species-notes": "<p></p>", "IP-species-checked": "testedAndGuaranteed", "IP-species-dilution-info": "1/30", "IP-species-notes": "<p></p>" } } }

Product details

Patented technology
Our RabMAb® technology is a patented hybridoma-based technology for making rabbit monoclonal antibodies. For details on our patents, please refer to RabMAb® patents.

What are the advantages of a recombinant monoclonal antibody?
This product is a recombinant monoclonal antibody, which offers several advantages including:

  • - High batch-to-batch consistency and reproducibility
  • - Improved sensitivity and specificity
  • - Long-term security of supply
  • - Animal-free batch production

For more information, read more on recombinant antibodies.

Properties and storage information

Form
Liquid
Purification technique
Affinity purification Protein A
Storage buffer
pH: 7.2 - 7.4 Preservative: 0.01% Sodium azide Constituents: PBS, 40% Glycerol (glycerin, glycerine), 0.05% BSA
Shipped at conditions
Blue Ice
Appropriate short-term storage duration
1-2 weeks
Appropriate short-term storage conditions
+4°C
Appropriate long-term storage conditions
-20°C
Aliquoting information
Upon delivery aliquot
Storage information
Avoid freeze / thaw cycle

Supplementary information

This supplementary information is collated from multiple sources and compiled automatically.

Phospho-(Ser/Thr) Phe commonly referenced as phosphorylated serine or threonine and sometimes noted as phospho plays an important role mechanically in signal transduction processes by modifying protein function through phosphorylation. It is not a singular protein but rather refers to a specific post-translational modification wherein a phosphate group is added to serine or threonine residues of proteins. Given its nature it does not have a fixed molecular mass. This phosphorylation occurs in various cell types including muscle brain and liver cells as the proteins involved are ubiquitous components of signaling pathways across different tissues.
Biological function summary

The addition of a phosphate group to serine or threonine residues alters protein conformation affecting enzyme activity protein-protein interactions and cellular localization. This modification participates in protein complexes enabling the proteins to act as switches in anabolic and catabolic processes. In many cellular tasks phospho-antibodies detect these modified residues allowing researchers to delineate protein activity states in cellular signaling.

Pathways

Phospho-(Ser/Thr) Phe holds significant importance in the MAPK and AKT signaling pathways. Proteins such as RAF MEK and ERK in the MAPK pathway and AKT and mTOR in the AKT pathway are heavily regulated by serine/threonine phosphorylation. This regulation ensures proper cellular responses to stimuli like growth factors and stress linking extracellular signals to cellular responses.

Dysregulation of phospho-(Ser/Thr) Phe modifications can lead to conditions like cancer and neurodegenerative diseases. In cancer for example aberrant phosphorylation in the MAPK pathway involving proteins such as BRAF and KRAS contributes to uncontrolled cell proliferation. Similarly in neurodegenerative diseases improper phosphorylation of proteins like tau can result in toxicity leading to a cascade of cellular dysfunction and disease progression.

Product protocols

For this product, it's our understanding that no specific protocols are required. You can visit:

Publications (2)

Recent publications for all applications. Explore the full list and refine your search

Journal of experimental & clinical cancer research : CR 44:245 PubMed40830980

2025

Pyrotinib targeted EGFR/GRP78 mediated cell apoptosis in high EGFR gene copy number gastric cancer.

Applications

Unspecified application

Species

Unspecified reactive species

Lingbo Bao,Xudong Wang,Xiuyong Liao,Dong Li,ChunXue Li,Nan Dai,Xiaoyan Dai,Jing Yang,Nana Hu,Xueling Tong,Zhenjie He,Yuancheng Zhao,Zheng Liu,Yue Hu,Jinlu Shan,Dong Wang,Mengxia Li,Qian Chen

Molecular carcinogenesis 63:1260-1274 PubMed38607240

2024

Hypomethylation-associated LINC00987 downregulation induced lung adenocarcinoma progression by inhibiting the phosphorylation-mediated degradation of SND1.

Applications

Unspecified application

Species

Unspecified reactive species

Qi Lai,Yulin Wan,Yingqian Zhang,Yingzhao Huang,Qiuyue Tang,Mei Chen,Qian Li,Ke Ma,Ping Xiao,Cheng Luo,Xiang Zhuang
View all publications

Product promise

We are committed to supporting your work with high-quality reagents, and we're here for you every step of the way. In the unlikely event that one of our products does not perform as expected, you're protected by our Product Promise.
For full details, please see our Terms & Conditions

Please note: All products are 'FOR RESEARCH USE ONLY. NOT FOR USE IN DIAGNOSTIC OR THERAPEUTIC PROCEDURES'.

For licensing inquiries, please contact partnerships@abcam.com