JavaScript is disabled in your browser. Please enable JavaScript to view this website.
AB231709

Anti-phosphohistidine antibody

Be the first to review this product! Submit a review

|

(1 Publication)

Sheep Polyclonal phosphohistidine antibody. Suitable for IP, WB, cELISA and reacts with Modified Amino Acid samples. Cited in 1 publication. Immunogen corresponding to Chemical / Small Molecule corresponding to phosphohistidine.

View Alternative Names

tele-phosphohistidine

3 Images
Immunoprecipitation - Anti-phosphohistidine antibody (AB231709)
  • IP

Supplier Data

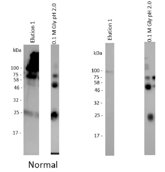
Immunoprecipitation - Anti-phosphohistidine antibody (AB231709)

Immunoprecipitation of pHis proteins from human bronchial epithelial cells using ab231709. Western blot of immunoprecipitates using ab231709 at 1/4000 dilution.

pHis antibodies are immobilised using protein G sepharose. Elution refers to batch extraction with competitor. pHis antibody used to probe proteins on PVDF membrane.

Right pair of images : pHis is known to be acid labile : Acid treatment (pH 7, 60°C 30 minutes) of lysate before IP.

All lanes:

Immunoprecipitation - Anti-phosphohistidine antibody (ab231709)

false

Western blot - Anti-phosphohistidine antibody (AB231709)
  • WB

Supplier Data

Western blot - Anti-phosphohistidine antibody (AB231709)

All lanes:

Western blot - Anti-phosphohistidine antibody (ab231709) at 1/4000 dilution

All lanes:

Human bronchial epithelial cell lysate at 100 µg

false

Competitive ELISA - Anti-phosphohistidine antibody (AB231709)
  • cELISA

Supplier Data

Competitive ELISA - Anti-phosphohistidine antibody (AB231709)

Competitive ELISA of ab231709 against phosphorylated amino acids and His, using τ-pHis conjugated to BSA.

Key facts

Host species

Sheep

Clonality

Polyclonal

Isotype

IgG

Carrier free

No

Applications

WB, cELISA, IP

applications

Reactivity data

{ "title": "Reactivity Data", "filters": { "stats": ["", "Species", "Dilution Info", "Notes"], "tabs": { "all-applications": {"fullname" : "All Applications", "shortname": "All Applications"}, "IP" : {"fullname" : "Immunoprecipitation", "shortname":"IP"}, "WB" : {"fullname" : "Western blot", "shortname":"WB"}, "cELISA" : {"fullname" : "Competitive ELISA", "shortname":"cELISA"} }, "product-promise": { "all": "all", "testedAndGuaranteed": "tested", "guaranteed": "expected", "predicted": "predicted", "notRecommended": "not-recommended" } }, "values": { "Modified Amino Acid": { "IP-species-checked": "testedAndGuaranteed", "IP-species-dilution-info": "1/4000", "IP-species-notes": "<p></p>", "WB-species-checked": "testedAndGuaranteed", "WB-species-dilution-info": "1/4000", "WB-species-notes": "<p></p>", "cELISA-species-checked": "testedAndGuaranteed", "cELISA-species-dilution-info": "", "cELISA-species-notes": "<p></p>" } } }

Product details

It is recommended the antibody is centrifuged at 11200 RCF at 4°C for 10 minutes before use and supernatant used for analysis.

The following buffers and conditions for the Western blot are suggested:

Lysis buffer: 150 mM sodium chloride, 0.5 % sodium deoxycholate, 1% Triton X-100, 0.1 % sodium dodecyl sulfate, 10 mM sodium fluoride, 5 mM sodium orthovanadate, 10 mM sodium pyrophosphate, protease inhibitor cocktail, 50 mM tris base, pH 9.0.

Denature samples in 5x loading buffer with; 10 % lithium dodecyl sulphate, 40% glycerol, 0.02% bromophenol blue, 50 mM ethylenediaminetetraacetic acid disodium salt dihydrate, 500 mM dithiothreitol, 300 mM tris base, pH 8.8 for 30 min at RT (do not heat).

Block in; 10 mM tris-hydrochloride, 165 mM sodium chloride, pH 8.0, 0.05 % (v/v), Tween 20, 0.2 % (v/v) freshwater fish gelatin at RT for 1 hr.

As a control phosphohistidine can be reduced/abolished by reducing the pH (pH 2-4) in denaturing buffer and then heating between 60-90 °C for > 30 min.

Properties and storage information

Form
Liquid
Purification technique
Affinity purification
Storage buffer
pH: 7.4 Preservative: 0.05% Sodium azide Constituents: Tris glycine, 0.87% Sodium chloride
Shipped at conditions
Blue Ice
Appropriate short-term storage duration
1-2 weeks
Appropriate short-term storage conditions
+4°C
Appropriate long-term storage conditions
-20°C
Aliquoting information
Upon delivery aliquot
Storage information
Avoid freeze / thaw cycle

Supplementary information

This supplementary information is collated from multiple sources and compiled automatically.

Phosphohistidine also known as N-phosphorylated histidine serves an important role in cellular signaling mechanisms. This phosphorylated form of histidine is characterized by its unique phosphoramidate bond potentially leading to a variable molecular mass after modifications. It is expressed in various tissues often associated with rapid cellular responses due to its lability. Researchers face challenges studying phosphohistidine because of its instability making specific phospho antibodies important for detection and visualization within cells.
Biological function summary

Phosphohistidine acts as an important modulator in signal transduction processes particularly within phosphoryl group transfers. It frequently forms part of larger protein complexes like histidine kinases and phosphatases contributing to the regulation of diverse cellular functions. These proteins control essential mechanisms such as growth development and metabolic pathways impacting cellular fate and response to stimuli.

Pathways

Phosphohistidine plays integral roles in the two-component signaling systems and energy metabolism pathways. In the two-component systems it acts alongside key proteins like histidine kinases mediating response to environmental signals by facilitating phosphoryl transfer to receiver domains. Additionally its involvement in energy metabolism reflects its interaction with other metabolic enzymes influencing ATP synthesis and cellular energy balance.

Phosphohistidine finds relevance in cancer and neurodegenerative diseases. Aberrant signaling through histidine phosphorylation can alter cellular growth pathways linking it to oncogenic transformations. Histidine kinase mutations for example have associations with aberrant cancer signaling pathways. Moreover altered phosphohistidine-mediated signaling impacts neurodegenerative diseases with potential links to proteins like tau and other phosphorylation-dependent regulatory proteins therefore highlighting its relevance to pathological states.

Product protocols

For this product, it's our understanding that no specific protocols are required. You can visit:

Publications (1)

Recent publications for all applications. Explore the full list and refine your search

Molecular neurodegeneration 19:47 PubMed38862989

2024

Single molecule array measures of LRRK2 kinase activity in serum link Parkinson's disease severity to peripheral inflammation.

Applications

Unspecified application

Species

Unspecified reactive species

Yuan Yuan,Huizhong Li,Kashyap Sreeram,Tuyana Malankhanova,Ravindra Boddu,Samuel Strader,Allison Chang,Nicole Bryant,Talene A Yacoubian,David G Standaert,Madalynn Erb,Darren J Moore,Laurie H Sanders,Michael W Lutz,Dmitry Velmeshev,Andrew B West
View all publications

Product promise

We are committed to supporting your work with high-quality reagents, and we're here for you every step of the way. In the unlikely event that one of our products does not perform as expected, you're protected by our Product Promise.
For full details, please see our Terms & Conditions

Please note: All products are 'FOR RESEARCH USE ONLY. NOT FOR USE IN DIAGNOSTIC OR THERAPEUTIC PROCEDURES'.

For licensing inquiries, please contact partnerships@abcam.com