JavaScript is disabled in your browser. Please enable JavaScript to view this website.
AB227477

Anti-Phospholipase A2 XII/PLA2G12A antibody

Be the first to review this product! Submit a review

|

(1 Publication)

Rabbit Polyclonal Phospholipase A2 XII/PLA2G12A antibody. Suitable for WB, IHC-P and reacts with Human samples. Cited in 1 publication. Immunogen corresponding to Recombinant Fragment Protein within Human PLA2G12A.

View Alternative Names

PLA2G12, FKSG38, UNQ2519/PRO6012, PLA2G12A, Group XIIA secretory phospholipase A2, GXII sPLA2, sPLA2-XII, Phosphatidylcholine 2-acylhydrolase 12A

2 Images
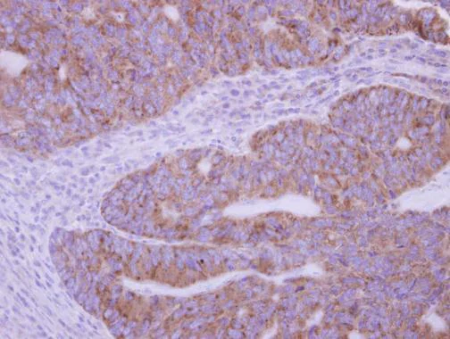
Immunohistochemistry (Formalin/PFA-fixed paraffin-embedded sections) - Anti-Phospholipase A2 XII/PLA2G12A antibody (AB227477)
  • IHC-P

Supplier Data

Immunohistochemistry (Formalin/PFA-fixed paraffin-embedded sections) - Anti-Phospholipase A2 XII/PLA2G12A antibody (AB227477)

Paraffin-embedded human colon carcinoma tissue stained for Phospholipase A2 XII/PLA2G12A using ab227477 at 1/500 dilution in immunohistochemical analysis.

Western blot - Anti-Phospholipase A2 XII/PLA2G12A antibody (AB227477)
  • WB

Supplier Data

Western blot - Anti-Phospholipase A2 XII/PLA2G12A antibody (AB227477)

12% SDS-PAGE gel.

All lanes:

Western blot - Anti-Phospholipase A2 XII/PLA2G12A antibody (ab227477) at 1/1000 dilution

All lanes:

HeLa whole cell lysate at 30 µg

Predicted band size: 21 kDa

false

Key facts

Host species

Rabbit

Clonality

Polyclonal

Isotype

IgG

Carrier free

No

Reacts with

Human

Applications

WB, IHC-P

applications

Immunogen

Recombinant Fragment Protein within Human PLA2G12A. The exact immunogen used to generate this antibody is proprietary information.

Q9BZM1

Reactivity data

{ "title": "Reactivity Data", "filters": { "stats": ["", "Species", "Dilution Info", "Notes"], "tabs": { "all-applications": {"fullname" : "All Applications", "shortname": "All Applications"}, "WB" : {"fullname" : "Western blot", "shortname":"WB"}, "IHCP" : {"fullname" : "Immunohistochemistry (Formalin/PFA-fixed paraffin-embedded sections)", "shortname":"IHC-P"} }, "product-promise": { "all": "all", "testedAndGuaranteed": "tested", "guaranteed": "expected", "predicted": "predicted", "notRecommended": "not-recommended" } }, "values": { "Human": { "WB-species-checked": "testedAndGuaranteed", "WB-species-dilution-info": "1/500 - 1/3000", "WB-species-notes": "<p></p>", "IHCP-species-checked": "testedAndGuaranteed", "IHCP-species-dilution-info": "1/100 - 1/1000", "IHCP-species-notes": "<p></p>" }, "Mouse": { "WB-species-checked": "predicted", "WB-species-dilution-info": "", "WB-species-notes": "", "IHCP-species-checked": "predicted", "IHCP-species-dilution-info": "", "IHCP-species-notes": "" }, "Cow": { "WB-species-checked": "predicted", "WB-species-dilution-info": "", "WB-species-notes": "", "IHCP-species-checked": "predicted", "IHCP-species-dilution-info": "", "IHCP-species-notes": "" }, "Rhesus monkey": { "WB-species-checked": "predicted", "WB-species-dilution-info": "", "WB-species-notes": "", "IHCP-species-checked": "predicted", "IHCP-species-dilution-info": "", "IHCP-species-notes": "" } } }

Properties and storage information

Form
Liquid
Purification technique
Affinity purification Immunogen
Storage buffer
pH: 7 Preservative: 0.01% Thimerosal (merthiolate) Constituents: 20% Glycerol (glycerin, glycerine), 1.21% Tris, 0.75% Glycine
Shipped at conditions
Blue Ice
Appropriate short-term storage duration
1-2 weeks
Appropriate short-term storage conditions
+4°C
Appropriate long-term storage conditions
-20°C
Aliquoting information
Upon delivery aliquot
Storage information
Avoid freeze / thaw cycle

Supplementary information

This supplementary information is collated from multiple sources and compiled automatically.

Phospholipase A2 XII also known as PLA2G12A is an enzyme that catalyzes the hydrolysis of the sn-2 acyl bond in glycerophospholipids liberating free fatty acids and lysophospholipids. It is part of the phospholipase A2 family but lacks conventional enzymatic activity seen in other members. PLA2G12A has a molecular mass of approximately 19 kDa. This enzyme is secreted and expressed in various tissues including the pancreas and macrophages suggesting roles in different physiological contexts.
Biological function summary

The enzyme belongs to the large group of secreted phospholipases A2 that contribute to diverse biological processes despite its low catalytic activity. It does not form part of a complex but often interacts with other molecules during lipid metabolism. Also it participates in lipid mediator production which impacts inflammation and host defense mechanisms. Its presence in immune cells indicates a potential involvement in immune responses and tissue homeostasis.

Pathways

PLA2G12A is essential in the arachidonic acid metabolism pathway and inflammatory signaling pathways. It connects with other proteins such as secretory phospholipase A2 and cytosolic phospholipase A2. The enzyme's action leads to the release of lipid mediators that modulate inflammatory pathways highlighting its regulatory role in these networks. It influences the balance and interplay between the production and degradation of lipid mediators important for biological signaling.

Research points to PLA2G12A's involvement in inflammatory diseases and metabolic disorders. In conditions like arthritis elevated levels of PLA2G12A have been observed linking it to exacerbation of inflammation. Another connected protein cytosolic phospholipase A2 also has associations with inflammatory diseases and amplifies the role of PLA2G12A in inflammation. Understanding its function may provide further insights into therapeutic targets for reducing inflammation in such disorders.

Product protocols

For this product, it's our understanding that no specific protocols are required. You can visit:

Target data

PA2 catalyzes the calcium-dependent hydrolysis of the 2-acyl groups in 3-sn-phosphoglycerides. Does not exhibit detectable activity toward sn-2-arachidonoyl- or linoleoyl-phosphatidylcholine or -phosphatidylethanolamine.
See full target information PLA2G12A

Publications (1)

Recent publications for all applications. Explore the full list and refine your search

Frontiers in oncology 15:1633464 PubMed40837015

2025

Chorordin-like 1 inhibits pancreatic cancer cell migration and invasion: involvement of the BMP4/SMAD pathway.

Applications

Unspecified application

Species

Unspecified reactive species

Wei Li,Yalan Zhong,Yuqiao Song,Hongmei Wang,Zheng Jiang
View all publications

Product promise

We are committed to supporting your work with high-quality reagents, and we're here for you every step of the way. In the unlikely event that one of our products does not perform as expected, you're protected by our Product Promise.
For full details, please see our Terms & Conditions

Please note: All products are 'FOR RESEARCH USE ONLY. NOT FOR USE IN DIAGNOSTIC OR THERAPEUTIC PROCEDURES'.

For licensing inquiries, please contact partnerships@abcam.com