JavaScript is disabled in your browser. Please enable JavaScript to view this website.
AB184743

Anti-Phospholipase C beta 1/PLCB1 + Phospholipase C beta 3/PLCB3 antibody [EPR18714]

Be the first to review this product! Submit a review

|

(1 Publication)

Rabbit Recombinant Monoclonal Phospholipase C beta 3/PLCB3 antibody. Suitable for IP, WB, IHC-P and reacts with Mouse, Rat, Human samples. Cited in 1 publication.

View Alternative Names

Phosphoinositide phospholipase C-beta-3, Phospholipase C-beta-3, PLC-beta-3, PLCB3

11 Images
Western blot - Anti-Phospholipase C beta 1/PLCB1 + Phospholipase C beta 3/PLCB3 antibody [EPR18714] (AB184743)
  • WB

Supplier Data

Western blot - Anti-Phospholipase C beta 1/PLCB1 + Phospholipase C beta 3/PLCB3 antibody [EPR18714] (AB184743)

Blocking/Dilution buffer : 5% NFDM/TBST.
The molecular weight observed is consistent with what has been described in the literature (PMID : 8429045, 17298601). Phospholipase C beta 1 selectively expresses in the brain which has been described in the literature (PMID : 2468162).

All lanes:

Western blot - Anti-Phospholipase C beta 1/PLCB1 + Phospholipase C beta 3/PLCB3 antibody [EPR18714] (ab184743) at 1/1000 dilution

Lane 1:

Mouse cerebellum lysate at 20 µg

Lane 2:

Rat cerebellum lysate at 20 µg

Lane 3:

Human fetal brain lysate at 20 µg

Secondary

Lanes 1 - 2:

Western blot - Goat Anti-Rabbit IgG H&L (HRP) (<a href='/en-us/products/secondary-antibodies/goat-rabbit-igg-h-l-hrp-ab97051'>ab97051</a>) at 1/100000 dilution

Lane 3:

Goat Anti-Rabbit IgG Peroxidase conjugate, specific to the non-reduced form of IgG at 1/100000 dilution

Predicted band size: 139 kDa

Observed band size: 150 kDa

false

Exposure time: 3min

Western blot - Anti-Phospholipase C beta 1/PLCB1 + Phospholipase C beta 3/PLCB3 antibody [EPR18714] (AB184743)
  • WB

Supplier Data

Western blot - Anti-Phospholipase C beta 1/PLCB1 + Phospholipase C beta 3/PLCB3 antibody [EPR18714] (AB184743)

Blocking/Dilution buffer : 5% NFDM/TBST.

Human Phospholipase C beta 1 recombinant protein fragment contains aa518-656 with a His-Tag®. Human Phospholipase C beta 3 recombinant protein fragment contains aa590-706 with a His-Tag®. The immunogen of this product has low homology with Phospholipase C beta 2 and Phospholipase C beta 4.

All lanes:

Western blot - Anti-Phospholipase C beta 1/PLCB1 + Phospholipase C beta 3/PLCB3 antibody [EPR18714] (ab184743) at 1/5000 dilution

Lane 1:

Human Phospholipase C beta 1 fragment recombinant protein at 0.01 µg

Lane 2:

Human Phospholipase C beta 3 fragment recombinant protein at 0.01 µg

Secondary

All lanes:

Western blot - Goat Anti-Rabbit IgG H&L (HRP) (<a href='/en-us/products/secondary-antibodies/goat-rabbit-igg-h-l-hrp-ab97051'>ab97051</a>) at 1/100000 dilution

Predicted band size: 139 kDa

false

Exposure time: 10s

Western blot - Anti-Phospholipase C beta 1/PLCB1 + Phospholipase C beta 3/PLCB3 antibody [EPR18714] (AB184743)
  • WB

Supplier Data

Western blot - Anti-Phospholipase C beta 1/PLCB1 + Phospholipase C beta 3/PLCB3 antibody [EPR18714] (AB184743)

Blocking/Dilution buffer : 5% NFDM/TBST.

All lanes:

Western blot - Anti-Phospholipase C beta 1/PLCB1 + Phospholipase C beta 3/PLCB3 antibody [EPR18714] (ab184743) at 1/1000 dilution

Lane 1:

HCT 116 (Human colorectal carcinoma cell line) whole cell lysate at 10 µg

Lane 2:

HEK-293 (Human epithelial cell line from embryonic kidney) whole cell lysate at 10 µg

Lane 3:

U-87 MG (Human glioblastoma-astrocytoma epithelial cell line) whole cell lysate at 10 µg

Lane 4:

SH-SY5Y (Human neuroblastoma cell line from bone marrow) whole cell lysate at 10 µg

Secondary

All lanes:

Western blot - Goat Anti-Rabbit IgG H&L (HRP) (<a href='/en-us/products/secondary-antibodies/goat-rabbit-igg-h-l-hrp-ab97051'>ab97051</a>) at 1/100000 dilution

Predicted band size: 139 kDa

Observed band size: 150 kDa

false

Exposure time: 3min

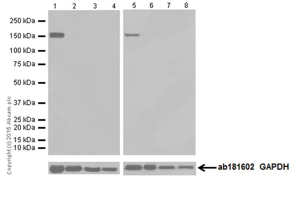
Western blot - Anti-Phospholipase C beta 1/PLCB1 + Phospholipase C beta 3/PLCB3 antibody [EPR18714] (AB184743)
  • WB

Supplier Data

Western blot - Anti-Phospholipase C beta 1/PLCB1 + Phospholipase C beta 3/PLCB3 antibody [EPR18714] (AB184743)

Blocking/Dilution buffer : 5% NFDM/TBST.

Exposure time : Lane 1,2,3 & 4 : 30 seconds; Lane 5,6,7 & 8 : 10 seconds.

The molecular weight observed is consistent with what has been described in the literature (PMID : 8429045, 17298601). Phospholipase C beta 1 selectively expresses in the brain which has been described in the literature (PMID : 2468162).

All lanes:

Western blot - Anti-Phospholipase C beta 1/PLCB1 + Phospholipase C beta 3/PLCB3 antibody [EPR18714] (ab184743) at 1/1000 dilution

Lane 1:

Mouse brain lysate at 10 µg

Lane 2:

Mouse heart lysate at 10 µg

Lane 3:

Mouse kidney lysate at 10 µg

Lane 4:

Mouse spleen lysate at 10 µg

Lane 5:

Rat brain lysate at 10 µg

Lane 6:

Rat heart lysate at 10 µg

Lane 7:

Rat kidney lysate at 10 µg

Lane 8:

Rat spleen lysate at 10 µg

Secondary

All lanes:

Goat Anti-Rabbit IgG Peroxidase Conjugate, specific to the non-reduced form of IgG at 1/100000 dilution

Predicted band size: 139 kDa

Observed band size: 150 kDa

false

Immunohistochemistry (Formalin/PFA-fixed paraffin-embedded sections) - Anti-Phospholipase C beta 1/PLCB1 + Phospholipase C beta 3/PLCB3 antibody [EPR18714] (AB184743)
  • IHC-P

Supplier Data

Immunohistochemistry (Formalin/PFA-fixed paraffin-embedded sections) - Anti-Phospholipase C beta 1/PLCB1 + Phospholipase C beta 3/PLCB3 antibody [EPR18714] (AB184743)

Immunohistochemical analysis of paraffin-embedded Human cerebrum tissue labeling Phospholipase C beta 1 + Phospholipase C beta 3 with ab184743 at 1/1000 dilution followed by Goat Anti-Rabbit IgG H&L (HRP) (ab97051) at 1/500 dilution.

Mainly cytoplasm staining on neurons of the normal Human cerebrum is observed.

Counter stained with Hematoxylin.

Secondary antibody only control : Used PBS instead of primary antibody secondary antibody is ab97051 at 1/500 dilution.

Perform heat mediated antigen retrieval with Tris/EDTA buffer pH 9.0 before commencing with IHC staining protocol.

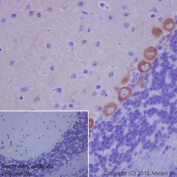
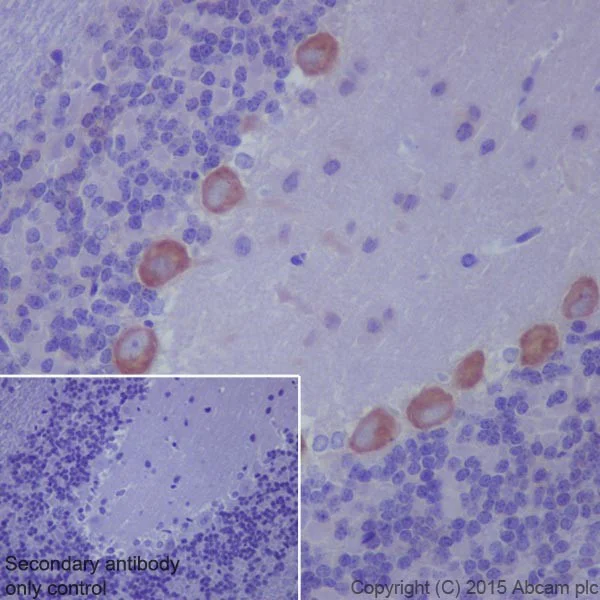
Immunohistochemistry (Formalin/PFA-fixed paraffin-embedded sections) - Anti-Phospholipase C beta 1/PLCB1 + Phospholipase C beta 3/PLCB3 antibody [EPR18714] (AB184743)
  • IHC-P

Supplier Data

Immunohistochemistry (Formalin/PFA-fixed paraffin-embedded sections) - Anti-Phospholipase C beta 1/PLCB1 + Phospholipase C beta 3/PLCB3 antibody [EPR18714] (AB184743)

Immunohistochemical analysis of paraffin-embedded Mouse cerebellum tissue labeling Phospholipase C beta 1 + Phospholipase C beta 3 with ab184743 at 1/1000 dilution followed by Goat Anti-Rabbit IgG H&L (HRP) (ab97051) at 1/500 dilution. Cytoplasm staining on purkinje cells of the Mouse cerebellum is observed.

Counter stained with Hematoxylin.

Secondary antibody only control : Used PBS instead of primary antibody secondary antibody ab97051 at 1/500 dilution.

Perform heat mediated antigen retrieval with Tris/EDTA buffer pH 9.0 before commencing with IHC staining protocol.

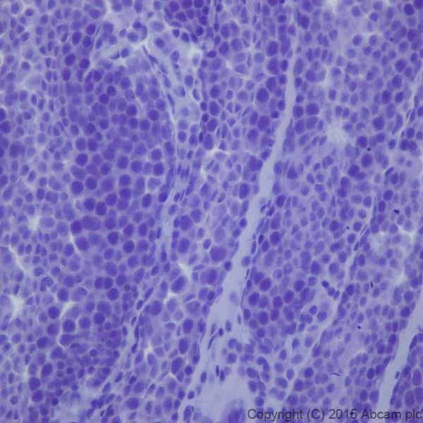
Immunohistochemistry (Formalin/PFA-fixed paraffin-embedded sections) - Anti-Phospholipase C beta 1/PLCB1 + Phospholipase C beta 3/PLCB3 antibody [EPR18714] (AB184743)
  • IHC-P

Supplier Data

Immunohistochemistry (Formalin/PFA-fixed paraffin-embedded sections) - Anti-Phospholipase C beta 1/PLCB1 + Phospholipase C beta 3/PLCB3 antibody [EPR18714] (AB184743)

Immunohistochemical analysis of paraffin-embedded Rat cerebellum tissue labeling Phospholipase C beta 1 + Phospholipase C beta 3 with ab184743 at 1/1000 dilution followed by Goat Anti-Rabbit IgG H&L (HRP) (ab97051) at 1/500 dilution. Cytoplasm staining on purkinje cell of the Rat cerebellum is observed.

Counter stained with Hematoxylin.

Secondary antibody only control : Used PBS instead of primary antibody secondary antibody is ab97051 at 1/500 dilution.

Perform heat mediated antigen retrieval with Tris/EDTA buffer pH 9.0 before commencing with IHC staining protocol.

Immunoprecipitation - Anti-Phospholipase C beta 1/PLCB1 + Phospholipase C beta 3/PLCB3 antibody [EPR18714] (AB184743)
  • IP

Supplier Data

Immunoprecipitation - Anti-Phospholipase C beta 1/PLCB1 + Phospholipase C beta 3/PLCB3 antibody [EPR18714] (AB184743)

Phospholipase C beta 1 + Phospholipase C beta 3 were immunoprecipitated from 1mg of Mouse brain whole cell lysate with ab184743 at 1/20 dilution.

Western blot was performed from the immunoprecipitate using ab184743 at 1/1000 dilution.

VeriBlot for IP Detection Reagent (HRP) (ab131366), was used for detection at 1/1000 dilution.

Lane 1 : Mouse brain whole cell lysate, 10ug (Input).

Lane 2 : ab184743 IP in Mouse brain whole cell lysate.

Lane 3 : Rabbit IgG, monoclonal [EPR25A] - Isotype Control (ab172730) instead of ab184743 in Mouse brain whole cell lysate.

Blocking and dilution buffer and concentration : 5% NFDM/TBST.

Exposure time : 30 seconds.

All lanes:

Immunoprecipitation - Anti-Phospholipase C beta 1/PLCB1 + Phospholipase C beta 3/PLCB3 antibody [EPR18714] (ab184743)

Observed band size: 150 kDa

false

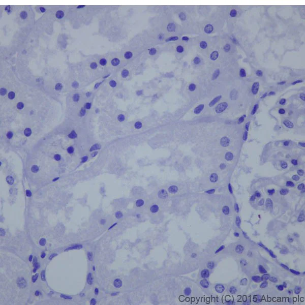
Immunohistochemistry (Formalin/PFA-fixed paraffin-embedded sections) - Anti-Phospholipase C beta 1/PLCB1 + Phospholipase C beta 3/PLCB3 antibody [EPR18714] (AB184743)
  • IHC-P

Supplier Data

Immunohistochemistry (Formalin/PFA-fixed paraffin-embedded sections) - Anti-Phospholipase C beta 1/PLCB1 + Phospholipase C beta 3/PLCB3 antibody [EPR18714] (AB184743)

Immunohistochemical analysis of paraffin-embedded Human kidney tissue labeling Phospholipase C beta 1 + Phospholipase C beta 3 with ab184743 at 1/1000 dilution followed by Goat Anti-Rabbit IgG H&L (HRP) (ab97051) at 1/500 dilution. Negative staining on Human kidney. Counter stained with Hematoxylin.

Perform heat mediated antigen retrieval with Tris/EDTA buffer pH 9.0 before commencing with IHC staining protocol.

Immunohistochemistry (Formalin/PFA-fixed paraffin-embedded sections) - Anti-Phospholipase C beta 1/PLCB1 + Phospholipase C beta 3/PLCB3 antibody [EPR18714] (AB184743)
  • IHC-P

Supplier Data

Immunohistochemistry (Formalin/PFA-fixed paraffin-embedded sections) - Anti-Phospholipase C beta 1/PLCB1 + Phospholipase C beta 3/PLCB3 antibody [EPR18714] (AB184743)

Immunohistochemical analysis of paraffin-embedded Mouse liver tissue labeling Phospholipase C beta 1 + Phospholipase C beta 3 with ab184743 at 1/1000 dilution followed by Goat Anti-Rabbit IgG H&L (HRP) (ab97051) at 1/500 dilution. Negative staining on Mouse liver. Counter stained with Hematoxylin.

Perform heat mediated antigen retrieval with Tris/EDTA buffer pH 9.0 before commencing with IHC staining protocol.

Immunohistochemistry (Formalin/PFA-fixed paraffin-embedded sections) - Anti-Phospholipase C beta 1/PLCB1 + Phospholipase C beta 3/PLCB3 antibody [EPR18714] (AB184743)
  • IHC-P

Supplier Data

Immunohistochemistry (Formalin/PFA-fixed paraffin-embedded sections) - Anti-Phospholipase C beta 1/PLCB1 + Phospholipase C beta 3/PLCB3 antibody [EPR18714] (AB184743)

Immunohistochemical analysis of paraffin-embedded Rat testis tissue labeling Phospholipase C beta 1 + Phospholipase C beta 3 with ab184743 at 1/1000 dilution followed by Goat Anti-Rabbit IgG H&L (HRP) (ab97051) at 1/500 dilution. Negative staining on Rat testis. Counter stained with Hematoxylin.

Perform heat mediated antigen retrieval with Tris/EDTA buffer pH 9.0 before commencing with IHC staining protocol.

  • Carrier free

    Anti-Phospholipase C beta 1/PLCB1 + Phospholipase C beta 3/PLCB3 antibody [EPR18714] - BSA and Azide free

Key facts

Host species

Rabbit

Clonality

Monoclonal

Clone number

EPR18714

Isotype

IgG

Carrier free

No

Reacts with

Mouse, Rat, Human

Applications

IP, IHC-P, WB

applications

Immunogen

The exact immunogen used to generate this antibody is proprietary information.

Reactivity data

{ "title": "Reactivity Data", "filters": { "stats": ["", "Species", "Dilution Info", "Notes"], "tabs": { "all-applications": {"fullname" : "All Applications", "shortname": "All Applications"}, "IP" : {"fullname" : "Immunoprecipitation", "shortname":"IP"}, "WB" : {"fullname" : "Western blot", "shortname":"WB"}, "IHCP" : {"fullname" : "Immunohistochemistry (Formalin/PFA-fixed paraffin-embedded sections)", "shortname":"IHC-P"} }, "product-promise": { "all": "all", "testedAndGuaranteed": "tested", "guaranteed": "expected", "predicted": "predicted", "notRecommended": "not-recommended" } }, "values": { "Human": { "IP-species-checked": "guaranteed", "IP-species-dilution-info": "", "IP-species-notes": "", "WB-species-checked": "testedAndGuaranteed", "WB-species-dilution-info": "1/1000", "WB-species-notes": "<p></p>", "IHCP-species-checked": "testedAndGuaranteed", "IHCP-species-dilution-info": "1/1000", "IHCP-species-notes": "<p></p> Perform heat-mediated antigen retrieval with Tris/EDTA buffer pH 9.0 before commencing with IHC staining protocol." }, "Mouse": { "IP-species-checked": "testedAndGuaranteed", "IP-species-dilution-info": "1/20", "IP-species-notes": "<p></p> Perform heat-mediated antigen retrieval with Tris/EDTA buffer pH 9.0 before commencing with IHC staining protocol.", "WB-species-checked": "testedAndGuaranteed", "WB-species-dilution-info": "1/1000", "WB-species-notes": "<p></p> Perform heat-mediated antigen retrieval with Tris/EDTA buffer pH 9.0 before commencing with IHC staining protocol.", "IHCP-species-checked": "testedAndGuaranteed", "IHCP-species-dilution-info": "1/1000", "IHCP-species-notes": "<p></p> Perform heat-mediated antigen retrieval with Tris/EDTA buffer pH 9.0 before commencing with IHC staining protocol." }, "Rat": { "IP-species-checked": "guaranteed", "IP-species-dilution-info": "", "IP-species-notes": "", "WB-species-checked": "testedAndGuaranteed", "WB-species-dilution-info": "1/1000", "WB-species-notes": "<p></p>", "IHCP-species-checked": "testedAndGuaranteed", "IHCP-species-dilution-info": "1/1000", "IHCP-species-notes": "<p></p> Perform heat-mediated antigen retrieval with Tris/EDTA buffer pH 9.0 before commencing with IHC staining protocol." } } }

Product details

Patented technology
Our RabMAb® technology is a patented hybridoma-based technology for making rabbit monoclonal antibodies. For details on our patents, please refer to RabMAb® patents.

What are the advantages of a recombinant monoclonal antibody?
This product is a recombinant monoclonal antibody, which offers several advantages including:

  • - High batch-to-batch consistency and reproducibility
  • - Improved sensitivity and specificity
  • - Long-term security of supply
  • - Animal-free batch production

For more information, read more on recombinant antibodies.

Properties and storage information

Form
Liquid
Purification technique
Affinity purification Protein A
Storage buffer
pH: 7.2 Preservative: 0.01% Sodium azide Constituents: 59% PBS, 40% Glycerol (glycerin, glycerine), 0.05% BSA
Shipped at conditions
Blue Ice
Appropriate short-term storage duration
1-2 weeks
Appropriate short-term storage conditions
+4°C
Appropriate long-term storage conditions
-20°C
Aliquoting information
Upon delivery aliquot
Storage information
Avoid freeze / thaw cycle

Supplementary information

This supplementary information is collated from multiple sources and compiled automatically.

Phospholipase C beta 1 (PLCB1) and Phospholipase C beta 3 (PLCB3) are enzymes known for their role in phosphoinositide hydrolysis. These proteins catalyze the conversion of phosphatidylinositol 45-bisphosphate (PIP2) into inositol trisphosphate (IP3) and diacylglycerol (DAG) important secondary messengers in cellular signaling. PLCB1 has a molecular mass of approximately 138 kDa while PLCB3 is approximately 150 kDa. Both PLCB1 and PLCB3 are expressed widely in the central nervous system and various peripheral tissues indicating their involvement in diverse physiological processes.
Biological function summary

PLCB1 and PLCB3 influence intracellular calcium levels and protein kinase C activity by generating IP3 and DAG respectively. These proteins do not operate in isolation but interact with other signaling molecules forming parts of larger signaling complexes. They modulate neuronal signaling pathways which impact processes such as neurotransmitter release. This involvement highlights their importance in maintaining normal cellular communication and function.

Pathways

PLCB1 and PLCB3 play significant roles in the G-protein coupled receptor (GPCR) signaling pathway. They function downstream of the receptor activation being activated by Gq proteins leading to the production of secondary messengers. The enzymes also participate in the phosphatidylinositol signaling pathway particularly influencing calcium signaling. The interaction of PLCB1 and PLCB3 with Gq proteins highlights their integration into diverse signaling networks that communicate extracellular signals to elicit intracellular responses.

Dysfunction of PLCB1 and PLCB3 links to various neurological diseases and certain forms of cancer. Abnormalities in PLCB1 expression associate with epilepsy indicating its role in neural excitability and signaling balance. Altered PLCB3 activity contributes to the development of breast cancer where its interaction with proteins like protein kinase C influences proliferative signaling pathways. These connections highlight the potential of targeting PLCB1 and PLCB3 to develop therapeutic strategies for related conditions.

Product protocols

For this product, it's our understanding that no specific protocols are required. You can visit:

Target data

Catalyzes the production of the second messenger molecules diacylglycerol (DAG) and inositol 1,4,5-trisphosphate (IP3) (PubMed : 20966218, PubMed : 29122926, PubMed : 37991948, PubMed : 9188725). Key transducer of G protein-coupled receptor signaling : activated by G(q)/G(11) G alpha proteins downstream of G protein-coupled receptors activation (PubMed : 20966218, PubMed : 37991948). In neutrophils, participates in a phospholipase C-activating N-formyl peptide-activated GPCR (G protein-coupled receptor) signaling pathway by promoting RASGRP4 activation by DAG, to promote neutrophil functional responses (By similarity).
See full target information PLCB3

Additional targets

PLCB1

Publications (1)

Recent publications for all applications. Explore the full list and refine your search

Science advances 9:eadg8118 PubMed38039359

2023

Mitochondrial-targeted antioxidant attenuates preeclampsia-like phenotypes induced by syncytiotrophoblast-specific Gαq signaling.

Applications

Unspecified application

Species

Unspecified reactive species

Megan A Opichka,M Christine Livergood,Kirthikaa Balapattabi,McKenzie L Ritter,Daniel T Brozoski,Kelsey K Wackman,Ko-Ting Lu,Kaleigh N Kozak,Clive Wells,Agnes B Fogo,Katherine N Gibson-Corley,Anne E Kwitek,Curt D Sigmund,Jennifer J McIntosh,Justin L Grobe
View all publications

Product promise

We are committed to supporting your work with high-quality reagents, and we're here for you every step of the way. In the unlikely event that one of our products does not perform as expected, you're protected by our Product Promise.
For full details, please see our Terms & Conditions

Please note: All products are 'FOR RESEARCH USE ONLY. NOT FOR USE IN DIAGNOSTIC OR THERAPEUTIC PROCEDURES'.

For licensing inquiries, please contact partnerships@abcam.com