JavaScript is disabled in your browser. Please enable JavaScript to view this website.
AB272919

Anti-Phospholipase C beta 2/PLCB2 antibody

Be the first to review this product! Submit a review

|

(0 Publication)

Rabbit Polyclonal Phospholipase C beta 2/PLCB2 antibody. Suitable for IHC-P, WB, ICC/IF and reacts with Human samples. Immunogen corresponding to Recombinant Fragment Protein within Human PLCB2.

View Alternative Names

Phosphoinositide phospholipase C-beta-2, Phospholipase C-beta-2, PLC-beta-2, PLCB2

4 Images
Immunocytochemistry/ Immunofluorescence - Anti-Phospholipase C beta 2/PLCB2 antibody (AB272919)
  • ICC/IF

Supplier Data

Immunocytochemistry/ Immunofluorescence - Anti-Phospholipase C beta 2/PLCB2 antibody (AB272919)

4% PFA-fixed THP-1 (Human monocytic leukemia cell line) cells stained for Phospholipase C beta 2/PLCB2 using ab272919 at 1/500 dilution in ICC/IF (green). Blue : DAPI.

Immunohistochemistry (Formalin/PFA-fixed paraffin-embedded sections) - Anti-Phospholipase C beta 2/PLCB2 antibody (AB272919)
  • IHC-P

Unknown

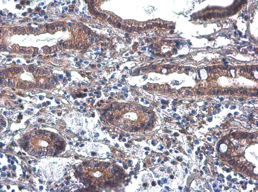
Immunohistochemistry (Formalin/PFA-fixed paraffin-embedded sections) - Anti-Phospholipase C beta 2/PLCB2 antibody (AB272919)

Paraffin-embedded human lung cancer tissue stained for Phospholipase C beta 2/PLCB2 using ab272919 at 1/500 dilution in immunohistochemical analysis. Antigen retrieval using citrate buffer, pH 6, 15 minutes.

Immunohistochemistry (Formalin/PFA-fixed paraffin-embedded sections) - Anti-Phospholipase C beta 2/PLCB2 antibody (AB272919)
  • IHC-P

Unknown

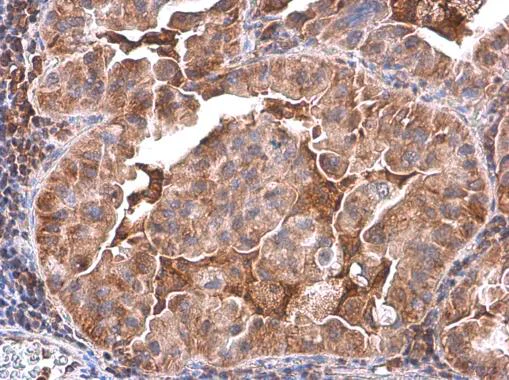
Immunohistochemistry (Formalin/PFA-fixed paraffin-embedded sections) - Anti-Phospholipase C beta 2/PLCB2 antibody (AB272919)

Paraffin-embedded human colon cancer tissue stained for Phospholipase C beta 2/PLCB2 using ab272919 at 1/500 dilution in immunohistochemical analysis. Antigen retrieval using citrate buffer, pH 6, 15 minutes.

Western blot - Anti-Phospholipase C beta 2/PLCB2 antibody (AB272919)
  • WB

Supplier Data

Western blot - Anti-Phospholipase C beta 2/PLCB2 antibody (AB272919)

Samples were separated by 5% SDS-PAGE.

All lanes:

Western blot - Anti-Phospholipase C beta 2/PLCB2 antibody (ab272919) at 1/1000 dilution

Lane 1:

K562 whole cell extract at 30 µg

Lane 2:

THP-1 whole cell extract at 30 µg

Lane 3:

HL-60 whole cell extract at 30 µg

Secondary

All lanes:

HRP-conjugated anti-rabbit IgG

Predicted band size: 134 kDa

false

Key facts

Host species

Rabbit

Clonality

Polyclonal

Isotype

IgG

Carrier free

No

Reacts with

Human

Applications

WB, IHC-P, ICC/IF

applications

Immunogen

Recombinant Fragment Protein within Human PLCB2. The exact immunogen used to generate this antibody is proprietary information.

Q00722

Reactivity data

{ "title": "Reactivity Data", "filters": { "stats": ["", "Species", "Dilution Info", "Notes"], "tabs": { "all-applications": {"fullname" : "All Applications", "shortname": "All Applications"}, "IHCP" : {"fullname" : "Immunohistochemistry (Formalin/PFA-fixed paraffin-embedded sections)", "shortname":"IHC-P"}, "WB" : {"fullname" : "Western blot", "shortname":"WB"}, "ICCIF" : {"fullname" : "Immunocytochemistry/ Immunofluorescence", "shortname":"ICC/IF"} }, "product-promise": { "all": "all", "testedAndGuaranteed": "tested", "guaranteed": "expected", "predicted": "predicted", "notRecommended": "not-recommended" } }, "values": { "Human": { "IHCP-species-checked": "testedAndGuaranteed", "IHCP-species-dilution-info": "1/100 - 1/1000", "IHCP-species-notes": "<p></p>", "WB-species-checked": "testedAndGuaranteed", "WB-species-dilution-info": "1/500 - 1/3000", "WB-species-notes": "<p></p>", "ICCIF-species-checked": "testedAndGuaranteed", "ICCIF-species-dilution-info": "1/100 - 1/1000", "ICCIF-species-notes": "<p></p>" } } }

Properties and storage information

Form
Liquid
Purification technique
Affinity purification Immunogen
Storage buffer
pH: 7 Preservative: 0.025% Proclin 300 Constituents: PBS, 20% Glycerol (glycerin, glycerine)
Shipped at conditions
Blue Ice
Appropriate short-term storage duration
1-2 weeks
Appropriate short-term storage conditions
+4°C
Appropriate long-term storage conditions
-20°C
Aliquoting information
Upon delivery aliquot
Storage information
Avoid freeze / thaw cycle

Supplementary information

This supplementary information is collated from multiple sources and compiled automatically.

Phospholipase C beta 2 (PLCB2) also known as PLC-beta is an enzyme that plays an important role in the signaling pathways by helping in the conversion of phosphatidylinositol 45-bisphosphate into diacylglycerol and inositol trisphosphate. This reaction leads to the release of calcium ions from intracellular stores. PLCB2 has a molecular mass of approximately 134 kDa and it shows high expression in hematopoietic cells. Its presence is also detected in other tissues where specific signaling events take place.
Biological function summary

PLCB2 regulates important cellular functions by acting as an important mediator in signaling pathways that rely on G-protein-coupled receptors (GPCRs). It does not operate as part of a larger complex but interacts with G-proteins directly to propagate signals from the cell surface to the intracellular environment. This function establishes PLCB2 as an essential component in transmitting signals that control cell growth differentiation and more specialized activities in certain cell types.

Pathways

PLCB2's role is essential in both the phosphoinositide signaling and calcium signaling pathways. These pathways facilitate various physiological processes including muscle contraction secretion metabolism and others. In the phosphoinositide pathway PLCB2 cooperates closely with G-alpha-q proteins to propagate signals while in calcium signaling it helps modulate the release of calcium ions that activate many downstream proteins such as protein kinase C (PKC).

PLCB2 has been linked to certain conditions such as immune disorders and cardiac arrhythmias. In immune disorders dysregulated activity of PLCB2 can affect immune cell signaling while in cardiac arrhythmias abnormal calcium signaling due to PLCB2 misregulation impacts heart rhythm stability. Through these diseases proteins like PKC and G-alpha-q also play a significant role linking them to the dysfunction associated with altered PLCB2 activity.

Product protocols

For this product, it's our understanding that no specific protocols are required. You can visit:

Target data

The production of the second messenger molecules diacylglycerol (DAG) and inositol 1,4,5-trisphosphate (IP3) is mediated by activated phosphatidylinositol-specific phospholipase C enzymes (PubMed : 1644792, PubMed : 9188725). In neutrophils, participates in a phospholipase C-activating N-formyl peptide-activated GPCR (G protein-coupled receptor) signaling pathway by promoting RASGRP4 activation by DAG, to promote neutrophil functional responses (By similarity).
See full target information PLCB2

Product promise

We are committed to supporting your work with high-quality reagents, and we're here for you every step of the way. In the unlikely event that one of our products does not perform as expected, you're protected by our Product Promise.
For full details, please see our Terms & Conditions

Please note: All products are 'FOR RESEARCH USE ONLY. NOT FOR USE IN DIAGNOSTIC OR THERAPEUTIC PROCEDURES'.

For licensing inquiries, please contact partnerships@abcam.com