JavaScript is disabled in your browser. Please enable JavaScript to view this website.
AB251862

Anti-Phospholipase C beta 3/PLCB3 antibody

Be the first to review this product! Submit a review

|

(1 Publication)

Rabbit Polyclonal Phospholipase C beta 3/PLCB3 antibody. Suitable for IHC-P, WB, ICC/IF and reacts with Human samples. Cited in 1 publication. Immunogen corresponding to Recombinant Fragment Protein within Human PLCB3 aa 850-1000.

View Alternative Names

Phosphoinositide phospholipase C-beta-3, Phospholipase C-beta-3, PLC-beta-3, PLCB3

7 Images
Immunohistochemistry (Formalin/PFA-fixed paraffin-embedded sections) - Anti-Phospholipase C beta 3/PLCB3 antibody (AB251862)
  • IHC-P

Unknown

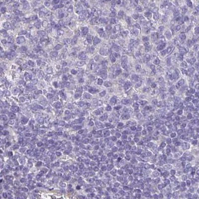
Immunohistochemistry (Formalin/PFA-fixed paraffin-embedded sections) - Anti-Phospholipase C beta 3/PLCB3 antibody (AB251862)

Paraffin-embedded human lymph node tissue stained for Phospholipase C beta 3/PLCB3 using ab251862 at 1/500 dilution in immunohistochemical analysis.

Immunohistochemistry (Formalin/PFA-fixed paraffin-embedded sections) - Anti-Phospholipase C beta 3/PLCB3 antibody (AB251862)
  • IHC-P

Unknown

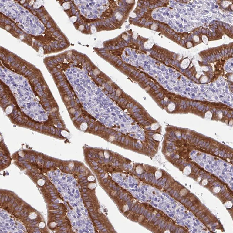
Immunohistochemistry (Formalin/PFA-fixed paraffin-embedded sections) - Anti-Phospholipase C beta 3/PLCB3 antibody (AB251862)

Paraffin-embedded human small intestine tissue stained for Phospholipase C beta 3/PLCB3 using ab251862 at 1/500 dilution in immunohistochemical analysis.

Immunohistochemistry (Formalin/PFA-fixed paraffin-embedded sections) - Anti-Phospholipase C beta 3/PLCB3 antibody (AB251862)
  • IHC-P

Unknown

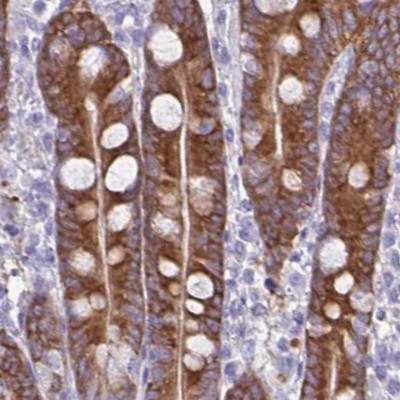
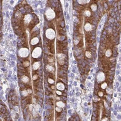
Immunohistochemistry (Formalin/PFA-fixed paraffin-embedded sections) - Anti-Phospholipase C beta 3/PLCB3 antibody (AB251862)

Paraffin-embedded human duodenum tissue stained for Phospholipase C beta 3/PLCB3 using ab251862 at 1/500 dilution in immunohistochemical analysis.

Immunocytochemistry/ Immunofluorescence - Anti-Phospholipase C beta 3/PLCB3 antibody (AB251862)
  • ICC/IF

Unknown

Immunocytochemistry/ Immunofluorescence - Anti-Phospholipase C beta 3/PLCB3 antibody (AB251862)

PFA-fixed, Triton X-100 permeabilized MCF7 (human breast adenocarcinoma cell line) cells stained for Phospholipase C beta 3/PLCB3 (green) using ab251862 at 4 μg/ml in ICC/IF.

Immunohistochemistry (Formalin/PFA-fixed paraffin-embedded sections) - Anti-Phospholipase C beta 3/PLCB3 antibody (AB251862)
  • IHC-P

Unknown

Immunohistochemistry (Formalin/PFA-fixed paraffin-embedded sections) - Anti-Phospholipase C beta 3/PLCB3 antibody (AB251862)

Paraffin-embedded human testis tissue stained for Phospholipase C beta 3/PLCB3 using ab251862 at 1/500 dilution in immunohistochemical analysis.

Immunohistochemistry (Formalin/PFA-fixed paraffin-embedded sections) - Anti-Phospholipase C beta 3/PLCB3 antibody (AB251862)
  • IHC-P

Unknown

Immunohistochemistry (Formalin/PFA-fixed paraffin-embedded sections) - Anti-Phospholipase C beta 3/PLCB3 antibody (AB251862)

Paraffin-embedded human cerebral cortex tissue stained for Phospholipase C beta 3/PLCB3 using ab251862 at 1/500 dilution in immunohistochemical analysis. Low expression as expected.

Western blot - Anti-Phospholipase C beta 3/PLCB3 antibody (AB251862)
  • WB

Unknown

Western blot - Anti-Phospholipase C beta 3/PLCB3 antibody (AB251862)

All lanes:

Western blot - Anti-Phospholipase C beta 3/PLCB3 antibody (ab251862) at 0.4 µg/mL

Lane 1:

RT4 (Human urinary bladder cancer cell line) cell lysate

Lane 2:

U-251 MG (Human brain glioma cell line) cell lysate

Lane 3:

Human plasma

Lane 4:

Human liver tissue lysate

Lane 5:

Human tonsil tissue lysate

Predicted band size: 139 kDa

false

Key facts

Host species

Rabbit

Clonality

Polyclonal

Isotype

IgG

Carrier free

No

Reacts with

Human

Applications

ICC/IF, WB, IHC-P

applications

Immunogen

Recombinant Fragment Protein within Human PLCB3 aa 850-1000. The exact immunogen used to generate this antibody is proprietary information.

Q01970

Reactivity data

{ "title": "Reactivity Data", "filters": { "stats": ["", "Species", "Dilution Info", "Notes"], "tabs": { "all-applications": {"fullname" : "All Applications", "shortname": "All Applications"}, "IHCP" : {"fullname" : "Immunohistochemistry (Formalin/PFA-fixed paraffin-embedded sections)", "shortname":"IHC-P"}, "WB" : {"fullname" : "Western blot", "shortname":"WB"}, "ICCIF" : {"fullname" : "Immunocytochemistry/ Immunofluorescence", "shortname":"ICC/IF"} }, "product-promise": { "all": "all", "testedAndGuaranteed": "tested", "guaranteed": "expected", "predicted": "predicted", "notRecommended": "not-recommended" } }, "values": { "Human": { "IHCP-species-checked": "testedAndGuaranteed", "IHCP-species-dilution-info": "1/500 - 1/1000", "IHCP-species-notes": "<p></p> Perform heat-mediated antigen retrieval with citrate buffer pH 6 before commencing with IHC staining protocol.", "WB-species-checked": "testedAndGuaranteed", "WB-species-dilution-info": "0.04-0.4 µg/mL", "WB-species-notes": "<p></p>", "ICCIF-species-checked": "testedAndGuaranteed", "ICCIF-species-dilution-info": "0.25-2 µg/mL", "ICCIF-species-notes": "<p>Fixation/Permeabilization: PFA/Triton X-100.</p>" } } }

Properties and storage information

Form
Liquid
Purification technique
Affinity purification Immunogen
Storage buffer
pH: 7.2 Preservative: 0.02% Sodium azide Constituents: PBS, 40% Glycerol (glycerin, glycerine)
Shipped at conditions
Blue Ice
Appropriate short-term storage duration
1-2 weeks
Appropriate short-term storage conditions
+4°C
Appropriate long-term storage conditions
-20°C
Aliquoting information
Upon delivery aliquot
Storage information
Avoid freeze / thaw cycle

Supplementary information

This supplementary information is collated from multiple sources and compiled automatically.

Phospholipase C beta 3 often called PLCB3 plays an important role in cellular signal transduction. This enzyme exists as part of the phospholipase C family enhances the conversion of phosphatidylinositol 45-bisphosphate (PIP2) into diacylglycerol (DAG) and inositol triphosphate (IP3). These molecules act as secondary messengers and are important to cellular responses. PLCB3 has a molecular mass of approximately 152 kDa. It exhibits significant expression in various tissues including the brain and heart among others where it regulates numerous physiological processes.
Biological function summary

The activation of PLCB3 influences intracellular calcium levels by producing IP3 contributing to calcium signaling pathways. As part of its biological role PLCB3 contributes to a dynamic signaling complex interacting with receptors like G-protein-coupled receptors (GPCRs) and affecting downstream signaling. This enzyme actively participates in regulating cellular processes such as proliferation and differentiation by mediating signal transduction pathways.

Pathways

PLCB3 integrates into the calcium signaling and phosphatidylinositol signaling pathways where it functions through interaction with G alpha q proteins. The activation of PLCB3 leads to the release of calcium ions from the endoplasmic reticulum a process important for many cellular functions. In these pathways PLCB3 shares interactions with other related proteins like protein kinase C (PKC) which further modulates cellular responses.

Dysregulation of PLCB3 activity has links to several pathophysiological conditions including cardiovascular diseases and cancer. Abnormal PLCB3 signaling correlates with irregular calcium homeostasis impacting cardiac functions and promoting oncogenic transformations. Interactions between PLCB3 and proteins such as GPCRs highlight their importance in developing therapeutic targets for treating these diseases.

Product protocols

For this product, it's our understanding that no specific protocols are required. You can visit:

Target data

Catalyzes the production of the second messenger molecules diacylglycerol (DAG) and inositol 1,4,5-trisphosphate (IP3) (PubMed : 20966218, PubMed : 29122926, PubMed : 37991948, PubMed : 9188725). Key transducer of G protein-coupled receptor signaling : activated by G(q)/G(11) G alpha proteins downstream of G protein-coupled receptors activation (PubMed : 20966218, PubMed : 37991948). In neutrophils, participates in a phospholipase C-activating N-formyl peptide-activated GPCR (G protein-coupled receptor) signaling pathway by promoting RASGRP4 activation by DAG, to promote neutrophil functional responses (By similarity).
See full target information PLCB3

Publications (1)

Recent publications for all applications. Explore the full list and refine your search

Nature communications 12:6412 PubMed34741010

2021

Crosstalk between CST and RPA regulates RAD51 activity during replication stress.

Applications

Unspecified application

Species

Unspecified reactive species

Kai-Hang Lei,Han-Lin Yang,Hao-Yen Chang,Hsin-Yi Yeh,Dinh Duc Nguyen,Tzu-Yu Lee,Xinxing Lyu,Megan Chastain,Weihang Chai,Hung-Wen Li,Peter Chi
View all publications

Product promise

We are committed to supporting your work with high-quality reagents, and we're here for you every step of the way. In the unlikely event that one of our products does not perform as expected, you're protected by our Product Promise.
For full details, please see our Terms & Conditions

Please note: All products are 'FOR RESEARCH USE ONLY. NOT FOR USE IN DIAGNOSTIC OR THERAPEUTIC PROCEDURES'.

For licensing inquiries, please contact partnerships@abcam.com