JavaScript is disabled in your browser. Please enable JavaScript to view this website.
AB247988

Anti-Phospholipase C beta 3/PLCB3 antibody [EPR5951] - BSA and Azide free

Be the first to review this product! Submit a review

|

(0 Publication)

Rabbit Recombinant Monoclonal Phospholipase C beta 3/PLCB3 antibody. Carrier free. Suitable for IHC-P, WB and reacts with Human samples.

View Alternative Names

Phosphoinositide phospholipase C-beta-3, Phospholipase C-beta-3, PLC-beta-3, PLCB3

4 Images
Western blot - Anti-Phospholipase C beta 3/PLCB3 antibody [EPR5951] - BSA and Azide free (AB247988)
  • WB

Lab

Western blot - Anti-Phospholipase C beta 3/PLCB3 antibody [EPR5951] - BSA and Azide free (AB247988)

This data was developed using the same antibody clone in a different buffer formulation (ab124735).

Lanes 1 - 2 : Merged signal (red and green). Green - ab124735 observed at 150 kDa. Red - loading control ab8245 (Mouse anti-GAPDH antibody [6C5]) observed at 37 kDa.

ab124735 was shown to react with Phospholipase C beta 3/PLCB3 in wild-type HeLa cells in Western blot with loss of signal observed in PLCB3 knockout cell line ab266034 (PLCB3 knockout cell lysate ab258122). Wild-type HeLa and PLCB3 knockout cell lysates were subjected to SDS-PAGE. Membranes were blocked in 3 % milk in TBS-T (0.1 % Tween®) before incubation with ab124735 and ab8245 (Mouse anti-GAPDH antibody [6C5]) overnight at 4 °C at a 1 in 1000 dilution and a 1 in 20000 dilution respectively. Blots were incubated with Goat anti-Rabbit IgG H&L (IRDye® 800CW) preabsorbed (ab216773) and Goat anti-Mouse IgG H&L (IRDye® 680RD) preabsorbed (ab216776) secondary antibodies at 1 in 20000 dilution for 1 h at room temperature before imaging.

All lanes:

Western blot - Anti-Phospholipase C beta 3/PLCB3 antibody [EPR5951] (<a href='/en-us/products/primary-antibodies/phospholipase-c-beta-3-plcb3-antibody-epr5951-ab124735'>ab124735</a>) at 1/1000 dilution

Lane 1:

Wild-type HeLa (Human epithelial cell line from cervix adenocarcinoma) whole cell lysate at 20 µg

Lane 2:

PLCB3 knockout HeLa (Human epithelial cell line from cervix adenocarcinoma) whole cell lysate at 20 µg

Lane 2:

Western blot - Human PLCB3 (Phospholipase C beta 3) knockout HeLa cell line (<a href='/en-us/products/cell-lines/human-plcb3-phospholipase-c-beta-3-knockout-hela-cell-line-ab266034'>ab266034</a>)

Predicted band size: 139 kDa

Observed band size: 150 kDa

false

Immunohistochemistry (Formalin/PFA-fixed paraffin-embedded sections) - Anti-Phospholipase C beta 3/PLCB3 antibody [EPR5951] - BSA and Azide free (AB247988)
  • IHC-P

Unknown

Immunohistochemistry (Formalin/PFA-fixed paraffin-embedded sections) - Anti-Phospholipase C beta 3/PLCB3 antibody [EPR5951] - BSA and Azide free (AB247988)

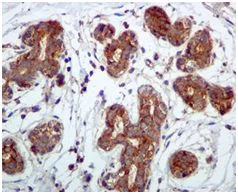
This data was developed using ab124735, the same antibody clone in a different buffer formulation.

ab124735 at 1/100 dilution staining Phospholipase C beta 3/PLCB3 in paraffin-embedded Human breast tissue by Immunohistochemistry.

Perform heat mediated antigen retrieval before commencing with IHC staining protocol.

Western blot - Anti-Phospholipase C beta 3/PLCB3 antibody [EPR5951] - BSA and Azide free (AB247988)
  • WB

Unknown

Western blot - Anti-Phospholipase C beta 3/PLCB3 antibody [EPR5951] - BSA and Azide free (AB247988)

This data was developed using ab124735, the same antibody clone in a different buffer formulation.

All lanes:

Western blot - Anti-Phospholipase C beta 3/PLCB3 antibody [EPR5951] (<a href='/en-us/products/primary-antibodies/phospholipase-c-beta-3-plcb3-antibody-epr5951-ab124735'>ab124735</a>) at 1/1000 dilution

Lane 1:

HCT 116 cell lysate at 10 µg

Lane 2:

293T (Human embryonic kidney epithelial cell) cell lysate at 10 µg

Lane 3:

A431 cell lysate at 10 µg

Secondary

All lanes:

Goat anti-Rabbit HRP at 1/2000 dilution

Predicted band size: 139 kDa

false

Immunohistochemistry (Formalin/PFA-fixed paraffin-embedded sections) - Anti-Phospholipase C beta 3/PLCB3 antibody [EPR5951] - BSA and Azide free (AB247988)
  • IHC-P

Unknown

Immunohistochemistry (Formalin/PFA-fixed paraffin-embedded sections) - Anti-Phospholipase C beta 3/PLCB3 antibody [EPR5951] - BSA and Azide free (AB247988)

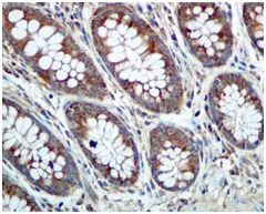
This data was developed using ab124735, the same antibody clone in a different buffer formulation.

ab124735 at 1/100 dilution staining Phospholipase C beta 3/PLCB3 in paraffin-embedded Human colon tissue by Immunohistochemistry.

Perform heat mediated antigen retrieval before commencing with IHC staining protocol.

  • Unconjugated

    Anti-Phospholipase C beta 3/PLCB3 antibody [EPR5951]

Key facts

Host species

Rabbit

Clonality

Monoclonal

Clone number

EPR5951

Isotype

IgG

Carrier free

Yes

Reacts with

Human

Applications

WB, IHC-P

applications

Immunogen

The exact immunogen used to generate this antibody is proprietary information.

Reactivity data

{ "title": "Reactivity Data", "filters": { "stats": ["", "Species", "Dilution Info", "Notes"], "tabs": { "all-applications": {"fullname" : "All Applications", "shortname": "All Applications"}, "IHCP" : {"fullname" : "Immunohistochemistry (Formalin/PFA-fixed paraffin-embedded sections)", "shortname":"IHC-P"}, "ICCIF" : {"fullname" : "Immunocytochemistry/ Immunofluorescence", "shortname":"ICC/IF"}, "IP" : {"fullname" : "Immunoprecipitation", "shortname":"IP"}, "FlowCyt" : {"fullname" : "Flow Cytometry", "shortname":"Flow Cyt"}, "WB" : {"fullname" : "Western blot", "shortname":"WB"} }, "product-promise": { "all": "all", "testedAndGuaranteed": "tested", "guaranteed": "expected", "predicted": "predicted", "notRecommended": "not-recommended" } }, "values": { "Human": { "IHCP-species-checked": "testedAndGuaranteed", "IHCP-species-dilution-info": "", "IHCP-species-notes": "<p>For antigen retrieval, heat up to 98 degree C, below boiling, and then let cool for 10-20 minutes.</p> Perform heat-mediated antigen retrieval before commencing with IHC staining protocol.", "ICCIF-species-checked": "notRecommended", "ICCIF-species-dilution-info": "", "ICCIF-species-notes": "<p></p>", "IP-species-checked": "notRecommended", "IP-species-dilution-info": "", "IP-species-notes": "<p></p>", "FlowCyt-species-checked": "notRecommended", "FlowCyt-species-dilution-info": "", "FlowCyt-species-notes": "<p></p>", "WB-species-checked": "testedAndGuaranteed", "WB-species-dilution-info": "", "WB-species-notes": "<p></p>" } } }

Product details

ab247988 is the carrier-free version of ab124735.

Species reactivity
Mouse, Rat: We have preliminary internal testing data to indicate this antibody may not react with these species.
Please contact us for more information.

Patented technology
Our RabMAb® technology is a patented hybridoma-based technology for making rabbit monoclonal antibodies. For details on our patents, please refer to RabMAb® patents.

What are the advantages of a recombinant monoclonal antibody?
This product is a recombinant monoclonal antibody, which offers several advantages including:

  • - High batch-to-batch consistency and reproducibility
  • - Improved sensitivity and specificity
  • - Long-term security of supply
  • - Animal-free batch production

For more information, read more on recombinant antibodies.

Conjugation ready
Our carrier-free antibodies are typically supplied in a PBS-only formulation, purified and free of BSA, sodium azide and glycerol. This conjugation-ready format is designed for use with fluorochromes, metal isotopes, oligonucleotides, and enzymes, which makes them ideal for antibody labelling, functional and cell-based assays, flow-based assays (e.g. mass cytometry) and Multiplex Imaging applications.

Use our conjugation kits for antibody conjugates that are ready-to-use in as little as 20 minutes with 1 minute hands-on-time and 100% antibody recovery: available for fluorescent dyes, HRP, biotin and gold.

Compatibility
This product is compatible with the Maxpar® Antibody Labeling Kit from Fluidigm, without the need for antibody preparation. Maxpar® is a trademark of Fluidigm Canada Inc.

Properties and storage information

Form
Liquid
Purification technique
Affinity purification Protein A
Storage buffer
pH: 7.2 - 7.4 Constituents: PBS
Shipped at conditions
Blue Ice
Appropriate short-term storage conditions
+4°C
Appropriate long-term storage conditions
+4°C
Storage information
Do Not Freeze

Supplementary information

This supplementary information is collated from multiple sources and compiled automatically.

Phospholipase C beta 3 often called PLCB3 plays an important role in cellular signal transduction. This enzyme exists as part of the phospholipase C family enhances the conversion of phosphatidylinositol 45-bisphosphate (PIP2) into diacylglycerol (DAG) and inositol triphosphate (IP3). These molecules act as secondary messengers and are important to cellular responses. PLCB3 has a molecular mass of approximately 152 kDa. It exhibits significant expression in various tissues including the brain and heart among others where it regulates numerous physiological processes.
Biological function summary

The activation of PLCB3 influences intracellular calcium levels by producing IP3 contributing to calcium signaling pathways. As part of its biological role PLCB3 contributes to a dynamic signaling complex interacting with receptors like G-protein-coupled receptors (GPCRs) and affecting downstream signaling. This enzyme actively participates in regulating cellular processes such as proliferation and differentiation by mediating signal transduction pathways.

Pathways

PLCB3 integrates into the calcium signaling and phosphatidylinositol signaling pathways where it functions through interaction with G alpha q proteins. The activation of PLCB3 leads to the release of calcium ions from the endoplasmic reticulum a process important for many cellular functions. In these pathways PLCB3 shares interactions with other related proteins like protein kinase C (PKC) which further modulates cellular responses.

Dysregulation of PLCB3 activity has links to several pathophysiological conditions including cardiovascular diseases and cancer. Abnormal PLCB3 signaling correlates with irregular calcium homeostasis impacting cardiac functions and promoting oncogenic transformations. Interactions between PLCB3 and proteins such as GPCRs highlight their importance in developing therapeutic targets for treating these diseases.

Product protocols

For this product, it's our understanding that no specific protocols are required. You can visit:

Target data

Catalyzes the production of the second messenger molecules diacylglycerol (DAG) and inositol 1,4,5-trisphosphate (IP3) (PubMed : 20966218, PubMed : 29122926, PubMed : 37991948, PubMed : 9188725). Key transducer of G protein-coupled receptor signaling : activated by G(q)/G(11) G alpha proteins downstream of G protein-coupled receptors activation (PubMed : 20966218, PubMed : 37991948). In neutrophils, participates in a phospholipase C-activating N-formyl peptide-activated GPCR (G protein-coupled receptor) signaling pathway by promoting RASGRP4 activation by DAG, to promote neutrophil functional responses (By similarity).
See full target information PLCB3

Product promise

We are committed to supporting your work with high-quality reagents, and we're here for you every step of the way. In the unlikely event that one of our products does not perform as expected, you're protected by our Product Promise.
For full details, please see our Terms & Conditions

Please note: All products are 'FOR RESEARCH USE ONLY. NOT FOR USE IN DIAGNOSTIC OR THERAPEUTIC PROCEDURES'.

For licensing inquiries, please contact partnerships@abcam.com