JavaScript is disabled in your browser. Please enable JavaScript to view this website.
AB235997

Anti-Phospholipase D1 antibody [EP1506Y] - BSA and Azide free

Be the first to review this product! Submit a review

|

(1 Publication)

Rabbit Monoclonal PLD1 antibody. Carrier free. Suitable for ICC/IF, Flow Cyt, WB and reacts with Mouse, Rat, Human samples. Cited in 1 publication.

View Alternative Names

Phospholipase D1, PLD 1, hPLD1, Choline phosphatase 1, Phosphatidylcholine-hydrolyzing phospholipase D1, PLD1

2 Images
Western blot - Anti-Phospholipase D1 antibody [EP1506Y] - BSA and Azide free (AB235997)
  • WB

Supplier Data

Western blot - Anti-Phospholipase D1 antibody [EP1506Y] - BSA and Azide free (AB235997)

This data was developed using the same antibody clone in a different buffer formulation containing PBS, BSA, glycerol, and sodium azide (ab68150).

All lanes:

Western blot - Anti-Phospholipase D1 antibody [EP1506Y] (<a href='/en-us/products/primary-antibodies/phospholipase-d1-antibody-ep1506y-ab68150'>ab68150</a>) at 1/500 dilution

All lanes:

HeLa cell lysate at 10 µg

Secondary

All lanes:

HRP labelled goat anti-rabbit at 1/2000 dilution

Predicted band size: 124 kDa

Observed band size: 120 kDa

false

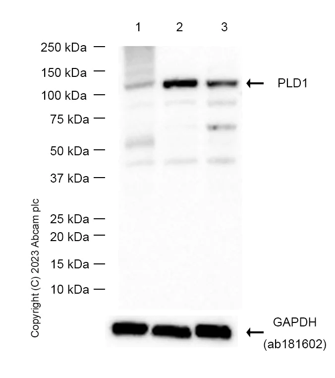
Western blot - Anti-Phospholipase D1 antibody [EP1506Y] - BSA and Azide free (AB235997)
  • WB

Lab

Western blot - Anti-Phospholipase D1 antibody [EP1506Y] - BSA and Azide free (AB235997)

Blocking/Diluting buffer and concentration : 5% NFDM/TBS This data was developed using the same antibody clone in a different buffer formulation containing PBS, BSA, glycerol, and sodium azide (ab68150).

Lanes 1 - 3:

Western blot - Anti-Phospholipase D1 antibody [EP1506Y] (<a href='/en-us/products/primary-antibodies/phospholipase-d1-antibody-ep1506y-ab68150'>ab68150</a>) at 1/500 dilution

Lanes 1 - 3:

Western blot - Anti-Phospholipase D1 antibody [EP1506Y] - BSA and Azide free (ab235997) at 1/500 dilution

Lane 1:

HeLa (Human cervix adenocarcinoma epithelial cell) (RIPA) whole cell lysate 20ug

Lane 2:

NIH/3T3 (Mouse embryonic fibroblast) (RIPA) whole cell lysate 20ug

Lane 3:

C6 (Rat glial tumor glial cell) (RIPA) whole cell lysate 20ug

Secondary

All lanes:

Western blot - Goat Anti-Rabbit IgG H&L (HRP) (<a href='/en-us/products/secondary-antibodies/goat-rabbit-igg-h-l-hrp-ab97051'>ab97051</a>) at 1/20000 dilution

false

Exposure time: 60s

Key facts

Host species

Rabbit

Clonality

Monoclonal

Clone number

EP1506Y

Isotype

IgG

Carrier free

Yes

Reacts with

Mouse, Human, Rat

Applications

ICC/IF, WB, Flow Cyt

applications

Immunogen

The exact immunogen used to generate this antibody is proprietary information.

Reactivity data

{ "title": "Reactivity Data", "filters": { "stats": ["", "Species", "Dilution Info", "Notes"], "tabs": { "all-applications": {"fullname" : "All Applications", "shortname": "All Applications"}, "ICCIF" : {"fullname" : "Immunocytochemistry/ Immunofluorescence", "shortname":"ICC/IF"}, "FlowCyt" : {"fullname" : "Flow Cytometry", "shortname":"Flow Cyt"}, "WB" : {"fullname" : "Western blot", "shortname":"WB"} }, "product-promise": { "all": "all", "testedAndGuaranteed": "tested", "guaranteed": "expected", "predicted": "predicted", "notRecommended": "not-recommended" } }, "values": { "Human": { "ICCIF-species-checked": "notRecommended", "ICCIF-species-dilution-info": "", "ICCIF-species-notes": "<p></p>", "FlowCyt-species-checked": "notRecommended", "FlowCyt-species-dilution-info": "", "FlowCyt-species-notes": "<p></p>", "WB-species-checked": "testedAndGuaranteed", "WB-species-dilution-info": "", "WB-species-notes": "<p></p>" }, "Mouse": { "ICCIF-species-checked": "guaranteed", "ICCIF-species-dilution-info": "", "ICCIF-species-notes": "<p></p>", "FlowCyt-species-checked": "guaranteed", "FlowCyt-species-dilution-info": "", "FlowCyt-species-notes": "<p></p>", "WB-species-checked": "testedAndGuaranteed", "WB-species-dilution-info": "", "WB-species-notes": "<p></p>" }, "Rat": { "ICCIF-species-checked": "guaranteed", "ICCIF-species-dilution-info": "", "ICCIF-species-notes": "<p></p>", "FlowCyt-species-checked": "guaranteed", "FlowCyt-species-dilution-info": "", "FlowCyt-species-notes": "<p></p>", "WB-species-checked": "testedAndGuaranteed", "WB-species-dilution-info": "", "WB-species-notes": "<p></p>" } } }

Product details

ab235997 is the carrier-free version of ab68150.

Patented technology
Our RabMAb® technology is a patented hybridoma-based technology for making rabbit monoclonal antibodies. For details on our patents, please refer to RabMAb® patents.

What are the advantages of a recombinant monoclonal antibody?
This product is a recombinant monoclonal antibody, which offers several advantages including:

  • - High batch-to-batch consistency and reproducibility
  • - Improved sensitivity and specificity
  • - Long-term security of supply
  • - Animal-free batch production

For more information, read more on recombinant antibodies.

Conjugation ready
Our carrier-free antibodies are typically supplied in a PBS-only formulation, purified and free of BSA, sodium azide and glycerol. This conjugation-ready format is designed for use with fluorochromes, metal isotopes, oligonucleotides, and enzymes, which makes them ideal for antibody labelling, functional and cell-based assays, flow-based assays (e.g. mass cytometry) and Multiplex Imaging applications.

Use our conjugation kits for antibody conjugates that are ready-to-use in as little as 20 minutes with 1 minute hands-on-time and 100% antibody recovery: available for fluorescent dyes, HRP, biotin and gold.

Compatibility
This product is compatible with the Maxpar® Antibody Labeling Kit from Fluidigm, without the need for antibody preparation. Maxpar® is a trademark of Fluidigm Canada Inc.

Properties and storage information

Form
Liquid
Purification technique
Affinity purification Protein A
Storage buffer
pH: 7.2 - 7.4 Constituents: PBS
Shipped at conditions
Blue Ice
Appropriate short-term storage conditions
+4°C
Appropriate long-term storage conditions
+4°C
Storage information
Do Not Freeze

Supplementary information

This supplementary information is collated from multiple sources and compiled automatically.

Phospholipase D1 (PLD1) is an enzyme belonging to the phospholipase family. It is also known by its gene name PLD1. This enzyme weighs approximately 120 kDa and plays an important mechanical role by hydrolyzing phosphatidylcholine to generate phosphatidic acid and choline. PLD1 is expressed majorly in the brain lungs and pancreas although it can be found in various other tissues as well.
Biological function summary

This enzyme is important in various cellular processes including membrane trafficking cell migration and signal transduction. PLD1 is not an isolated actor and works as part of signaling complexes contributing to cellular dynamics by generating lipid signaling molecules. It's associated with the regulation of mTOR signaling and interacts with other proteins such as protein kinase C (PKC) during various cellular processes.

Pathways

PLD1 plays significant roles in phosphoinositide signaling as well as the mTOR pathway. In the phosphoinositide signaling pathway PLD1 generates phosphatidic acid serving as a lipid signaling molecule which further activates mTOR. Proteins such as mTOR and S6K are related to PLD1's activity and help mediate cellular growth and proliferation activities.

Research links PLD1 to cancer and neurodegenerative diseases. Overexpression and hyperactivity of PLD1 are associated with the progression of certain cancers including breast cancer often in association with hyperactive mTOR signaling. Additionally PLD1's involvement in Alzheimer's disease has been studied given its role in signal transduction and membrane dynamics often correlating with the activity of tau proteins.

Product protocols

For this product, it's our understanding that no specific protocols are required. You can visit:

Target data

Function as phospholipase selective for phosphatidylcholine (PubMed : 25936805, PubMed : 8530346, PubMed : 9582313). Implicated as a critical step in numerous cellular pathways, including signal transduction, membrane trafficking, and the regulation of mitosis. May be involved in the regulation of perinuclear intravesicular membrane traffic (By similarity).
See full target information PLD1

Publications (1)

Recent publications for all applications. Explore the full list and refine your search

Frontiers in aging neuroscience 12:575481 PubMed33328957

2020

Alpha-Synuclein Accumulation and Its Phosphorylation in the Enteric Nervous System of Patients Without Neurodegeneration: An Explorative Study.

Applications

Unspecified application

Species

Unspecified reactive species

Lu-Lu Bu,Kai-Xun Huang,De-Zhi Zheng,Dan-Yu Lin,Ying Chen,Xiu-Na Jing,Yan-Ran Liang,En-Xiang Tao
View all publications

Product promise

We are committed to supporting your work with high-quality reagents, and we're here for you every step of the way. In the unlikely event that one of our products does not perform as expected, you're protected by our Product Promise.
For full details, please see our Terms & Conditions

Please note: All products are 'FOR RESEARCH USE ONLY. NOT FOR USE IN DIAGNOSTIC OR THERAPEUTIC PROCEDURES'.

For licensing inquiries, please contact partnerships@abcam.com