JavaScript is disabled in your browser. Please enable JavaScript to view this website.
AB154055

Anti-Phosphoserine Aminotransferase antibody

Be the first to review this product! Submit a review

|

(5 Publications)

Rabbit Polyclonal Phosphoserine Aminotransferase antibody. Suitable for IHC-P, WB, ICC/IF and reacts with Mouse, Human samples. Cited in 5 publications. Immunogen corresponding to Recombinant Fragment Protein within Human PSAT1 aa 100 to C-terminus.

View Alternative Names

PSA, PSAT1, Phosphoserine aminotransferase, Phosphohydroxythreonine aminotransferase, PSAT

5 Images
Immunocytochemistry/ Immunofluorescence - Anti-Phosphoserine Aminotransferase antibody (AB154055)
  • ICC/IF

Unknown

Immunocytochemistry/ Immunofluorescence - Anti-Phosphoserine Aminotransferase antibody (AB154055)

Immunofluorescent analysis of methanol-fixed A549 cells, labeling Phosphoserine Aminotransferase with ab154055 at 1/500 dilution. Lower image shows cells co-stained with Hoechst 33342.

Immunohistochemistry (Formalin/PFA-fixed paraffin-embedded sections) - Anti-Phosphoserine Aminotransferase antibody (AB154055)
  • IHC-P

Supplier Data

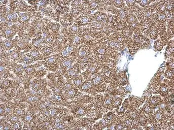
Immunohistochemistry (Formalin/PFA-fixed paraffin-embedded sections) - Anti-Phosphoserine Aminotransferase antibody (AB154055)

Immunohistochemical analysis of mouse liver tissue stained for PSAT1 protein at cytoplasm with ab154055 at a 1/500 dilution.

Antigen retrieval : EDTA based, pH 8.0 buffer, 15min.

Western blot - Anti-Phosphoserine Aminotransferase antibody (AB154055)
  • WB

Unknown

Western blot - Anti-Phosphoserine Aminotransferase antibody (AB154055)

10% SDS PAGE

All lanes:

Western blot - Anti-Phosphoserine Aminotransferase antibody (ab154055) at 1/1000 dilution

All lanes:

A549 whole cell lysate at 30 µg

Predicted band size: 40 kDa

false

Western blot - Anti-Phosphoserine Aminotransferase antibody (AB154055)
  • WB

Supplier Data

Western blot - Anti-Phosphoserine Aminotransferase antibody (AB154055)

Samples were separated by 10% SDS-PAGE.

All lanes:

Western blot - Anti-Phosphoserine Aminotransferase antibody (ab154055) at 1/1000 dilution

Lane 1:

Non-transfected (-) 293T whole cell extracts at 30 µg

Lane 2:

PSAT1 shRNA transfected (+) 293T whole cell extracts at 30 µg

Secondary

All lanes:

HRP-conjugated anti-rabbit IgG antibody

false

Western blot - Anti-Phosphoserine Aminotransferase antibody (AB154055)
  • WB

Unknown

Western blot - Anti-Phosphoserine Aminotransferase antibody (AB154055)

10% SDS PAGE

All lanes:

Western blot - Anti-Phosphoserine Aminotransferase antibody (ab154055) at 1/1000 dilution

All lanes:

Mouse brain tissue lysate at 50 µg

Predicted band size: 40 kDa

false

Key facts

Host species

Rabbit

Clonality

Polyclonal

Isotype

IgG

Carrier free

No

Reacts with

Mouse, Human

Applications

WB, IHC-P, ICC/IF

applications

Immunogen

Recombinant Fragment Protein within Human PSAT1 aa 100 to C-terminus. The exact immunogen used to generate this antibody is proprietary information.

Q9Y617

Reactivity data

{ "title": "Reactivity Data", "filters": { "stats": ["", "Species", "Dilution Info", "Notes"], "tabs": { "all-applications": {"fullname" : "All Applications", "shortname": "All Applications"}, "IHCP" : {"fullname" : "Immunohistochemistry (Formalin/PFA-fixed paraffin-embedded sections)", "shortname":"IHC-P"}, "WB" : {"fullname" : "Western blot", "shortname":"WB"}, "ICCIF" : {"fullname" : "Immunocytochemistry/ Immunofluorescence", "shortname":"ICC/IF"} }, "product-promise": { "all": "all", "testedAndGuaranteed": "tested", "guaranteed": "expected", "predicted": "predicted", "notRecommended": "not-recommended" } }, "values": { "Human": { "IHCP-species-checked": "guaranteed", "IHCP-species-dilution-info": "", "IHCP-species-notes": "", "WB-species-checked": "testedAndGuaranteed", "WB-species-dilution-info": "1/500 - 1/3000", "WB-species-notes": "<p></p>", "ICCIF-species-checked": "testedAndGuaranteed", "ICCIF-species-dilution-info": "1/100 - 1/1000", "ICCIF-species-notes": "<p></p>" }, "Mouse": { "IHCP-species-checked": "testedAndGuaranteed", "IHCP-species-dilution-info": "1/100 - 1/1000", "IHCP-species-notes": "<p></p>", "WB-species-checked": "testedAndGuaranteed", "WB-species-dilution-info": "1/500 - 1/3000", "WB-species-notes": "<p></p>", "ICCIF-species-checked": "guaranteed", "ICCIF-species-dilution-info": "", "ICCIF-species-notes": "" }, "Rat": { "IHCP-species-checked": "predicted", "IHCP-species-dilution-info": "", "IHCP-species-notes": "", "WB-species-checked": "predicted", "WB-species-dilution-info": "", "WB-species-notes": "", "ICCIF-species-checked": "predicted", "ICCIF-species-dilution-info": "", "ICCIF-species-notes": "" }, "Cow": { "IHCP-species-checked": "predicted", "IHCP-species-dilution-info": "", "IHCP-species-notes": "", "WB-species-checked": "predicted", "WB-species-dilution-info": "", "WB-species-notes": "", "ICCIF-species-checked": "predicted", "ICCIF-species-dilution-info": "", "ICCIF-species-notes": "" }, "Rabbit": { "IHCP-species-checked": "predicted", "IHCP-species-dilution-info": "", "IHCP-species-notes": "", "WB-species-checked": "predicted", "WB-species-dilution-info": "", "WB-species-notes": "", "ICCIF-species-checked": "predicted", "ICCIF-species-dilution-info": "", "ICCIF-species-notes": "" } } }

Properties and storage information

Form
Liquid
Purification technique
Affinity purification Immunogen
Storage buffer
pH: 7 Preservative: 0.01% Thimerosal (merthiolate) Constituents: 20% Glycerol (glycerin, glycerine), 1.21% Tris, 0.75% Glycine
Shipped at conditions
Blue Ice
Appropriate short-term storage conditions
+4°C
Appropriate long-term storage conditions
-20°C
Aliquoting information
Upon delivery aliquot
Storage information
Avoid freeze / thaw cycle

Supplementary information

This supplementary information is collated from multiple sources and compiled automatically.

Phosphoserine Aminotransferase (PSAT1) is an enzyme that actively participates in amino acid metabolism. It is also known by alternate names like O-phospho-L-serine:2-oxoglutarate aminotransferase. With a molecular mass of approximately 39 kDa PSAT1 facilitates the conversion of 3-phosphohydroxypyruvate to phosphoserine. You can find its expression across various tissues including liver brain and kidney. This widespread presence suggests its essential role in cellular functions and metabolism.
Biological function summary

PSAT1 plays an important role in the biosynthesis of the amino acid serine. It is part of a multi-step serine biosynthesis complex involving other enzymes like 3-phosphoglycerate dehydrogenase and phosphoserine phosphatase. PSAT1 works in conjunction with these enzymes to ensure the proper synthesis of serine which is vital for nucleotide synthesis and cell proliferation. This function establishes PSAT1 as an important regulator of cellular growth and division.

Pathways

PSAT1 is a significant component of the serine biosynthesis pathway which is linked to the folate cycle. This metabolic pathway is important for one-carbon metabolism affecting thymidine and purine synthesis. PSAT1 interacts with proteins such as 3-phosphoglycerate dehydrogenase highlighting its involvement in these interconnected metabolic processes. This connection indicates the critical position that PSAT1 holds in facilitating the production of biomolecules essential for cell survival and function.

PSAT1 has been associated with conditions such as Neu-Laxova syndrome and certain cancer types. Neu-Laxova syndrome linked to defects in serine biosynthesis involves abnormal neurological and physical development. Additionally PSAT1's role in cell proliferation pathways associates it with oncogenic processes where its altered expression can lead to tumor growth. Dysregulation of related proteins like phosphoserine phosphatase further ties PSAT1 to the pathogenesis of these conditions making it a target of interest in therapeutic research.

Product protocols

For this product, it's our understanding that no specific protocols are required. You can visit:

Target data

Involved in L-serine biosynthesis via the phosphorylated pathway, a three-step pathway converting the glycolytic intermediate 3-phospho-D-glycerate into L-serine. Catalyzes the second step, that is the pyridoxal 5'-phosphate-dependent transamination of 3-phosphohydroxypyruvate and L-glutamate to O-phosphoserine (OPS) and alpha-ketoglutarate.
See full target information PSAT1

Publications (5)

Recent publications for all applications. Explore the full list and refine your search

Science advances 11:eadw6926 PubMed40845109

2025

Liver regeneration-associated hepatocellular YAP1 activation prevents colorectal cancer liver metastasis through glutamine competition.

Applications

Unspecified application

Species

Unspecified reactive species

Qiang Yu,Mincheng Yu,Peiyi Xie,Lei Guo,Yufei Zhao,Wenxin Xu,Xian Li,Mengyuan Wu,Zihao Zhang,Zheng Chen,Yongsheng Xiao,Jian Zhou,Jia Fan,Mien-Chie Hung,Yongfeng Xu,Bo Zhang,Qinghai Ye,Hui Li

Scientific reports 14:9571 PubMed38671086

2024

Hyper-N-glycosylated SEL1L3 as auto-antigenic B-cell receptor target of primary vitreoretinal lymphomas.

Applications

Unspecified application

Species

Unspecified reactive species

Michelle Elbert,Frank Neumann,Maximilian Kiefer,Konstantinos Christofyllakis,Benedikt Balensiefer,Igor Kos,Gabi Carbon,Dominic Kaddu-Mulindwa,Joerg Thomas Bittenbring,Natalie Fadle,Evi Regitz,Falko Fend,Irina Bonzheim,Lorenz Thurner,Moritz Bewarder

Biology direct 18:73 PubMed37946250

2023

p63 orchestrates serine and one carbon metabolism enzymes expression in head and neck cancer.

Applications

Unspecified application

Species

Unspecified reactive species

Angela Cappello,Giulia Tosetti,Artem Smirnov,Carlo Ganini,Xue Yang,Yufang Shi,Ying Wang,Gerry Melino,Francesca Bernassola,Eleonora Candi

Heliyon 9:e14799 PubMed37025861

2023

Activating mutations in EGFR and PI3K promote ATF4 induction for NSCLC cell survival during amino acid deprivation.

Applications

Unspecified application

Species

Unspecified reactive species

Mizuki Takahashi,Yuka Okamoto,Yu Kato,Hitomi Shirahama,Satomi Tsukahara,Yoshikazu Sugimoto,Akihiro Tomida

Acta neuropathologica communications 9:16 PubMed33468252

2021

Glioma cells require one-carbon metabolism to survive glutamine starvation.

Applications

Unspecified application

Species

Unspecified reactive species

Kazuhiro Tanaka,Takashi Sasayama,Hiroaki Nagashima,Yasuhiro Irino,Masatomo Takahashi,Yoshihiro Izumi,Takiko Uno,Naoko Satoh,Akane Kitta,Katsusuke Kyotani,Yuichi Fujita,Mitsuru Hashiguchi,Tomoaki Nakai,Masaaki Kohta,Yoichi Uozumi,Masakazu Shinohara,Kohkichi Hosoda,Takeshi Bamba,Eiji Kohmura
View all publications

Product promise

We are committed to supporting your work with high-quality reagents, and we're here for you every step of the way. In the unlikely event that one of our products does not perform as expected, you're protected by our Product Promise.
For full details, please see our Terms & Conditions

Please note: All products are 'FOR RESEARCH USE ONLY. NOT FOR USE IN DIAGNOSTIC OR THERAPEUTIC PROCEDURES'.

For licensing inquiries, please contact partnerships@abcam.com