JavaScript is disabled in your browser. Please enable JavaScript to view this website.
AB232944

Anti-Phosphoserine Aminotransferase antibody

Be the first to review this product! Submit a review

|

(2 Publications)

Rabbit Polyclonal Phosphoserine Aminotransferase antibody. Suitable for WB, IHC-P, ICC/IF and reacts with Mouse, Pig, Recombinant fragment - Human, Human samples. Cited in 2 publications. Immunogen corresponding to Recombinant Fragment Protein within Human PSAT1 aa 1-350.

View Alternative Names

PSA, PSAT1, Phosphoserine aminotransferase, Phosphohydroxythreonine aminotransferase, PSAT

6 Images
Immunohistochemistry (Formalin/PFA-fixed paraffin-embedded sections) - Anti-Phosphoserine Aminotransferase antibody (AB232944)
  • IHC-P

Supplier Data

Immunohistochemistry (Formalin/PFA-fixed paraffin-embedded sections) - Anti-Phosphoserine Aminotransferase antibody (AB232944)

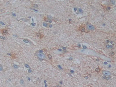
Paraffin-embedded human glioma tissue stained for Phosphoserine Aminotransferase using ab232944 at 10 μg/ml in immunohistochemical analysis. DAB staining.

Immunohistochemistry (Formalin/PFA-fixed paraffin-embedded sections) - Anti-Phosphoserine Aminotransferase antibody (AB232944)
  • IHC-P

Supplier Data

Immunohistochemistry (Formalin/PFA-fixed paraffin-embedded sections) - Anti-Phosphoserine Aminotransferase antibody (AB232944)

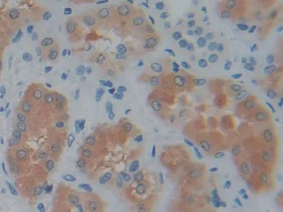
Paraffin-embedded human kidney tissue stained for Phosphoserine Aminotransferase using ab232944 at 10 μg/ml in immunohistochemical analysis. DAB staining.

Immunohistochemistry (Formalin/PFA-fixed paraffin-embedded sections) - Anti-Phosphoserine Aminotransferase antibody (AB232944)
  • IHC-P

Supplier Data

Immunohistochemistry (Formalin/PFA-fixed paraffin-embedded sections) - Anti-Phosphoserine Aminotransferase antibody (AB232944)

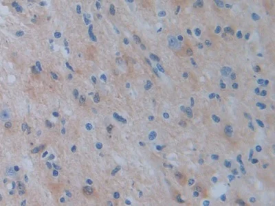
Paraffin-embedded human cerebrum tissue stained for Phosphoserine Aminotransferase using ab232944 at 10 μg/ml in immunohistochemical analysis. DAB staining.

Immunocytochemistry/ Immunofluorescence - Anti-Phosphoserine Aminotransferase antibody (AB232944)
  • ICC/IF

Supplier Data

Immunocytochemistry/ Immunofluorescence - Anti-Phosphoserine Aminotransferase antibody (AB232944)

HeLa (human epithelial cell line from cervix adenocarcinoma) cells stained for Phosphoserine Aminotransferase (green) using ab232944 at 20 μg/ml in ICC/IF, followed by FITC staining.

Western blot - Anti-Phosphoserine Aminotransferase antibody (AB232944)
  • WB

Supplier Data

Western blot - Anti-Phosphoserine Aminotransferase antibody (AB232944)

All lanes:

Western blot - Anti-Phosphoserine Aminotransferase antibody (ab232944) at 2 µg/mL

Lane 1:

HeLa (human epithelial cell line from cervix adenocarcinoma) cell lysate

Lane 2:

HepG2 (human liver hepatocellular carcinoma cell line) cell lysate

Lane 3:

Pig brain lysate

Lane 4:

Mouse brain lysate

Secondary

All lanes:

HRP-Linked Guinea pig Anti-Rabbit at 1/2000 dilution

Predicted band size: 40 kDa

false

Western blot - Anti-Phosphoserine Aminotransferase antibody (AB232944)
  • WB

Supplier Data

Western blot - Anti-Phosphoserine Aminotransferase antibody (AB232944)

All lanes:

Western blot - Anti-Phosphoserine Aminotransferase antibody (ab232944) at 2 µg/mL

All lanes:

Recombinant human Phosphoserine Aminotransferase protein

Secondary

All lanes:

HRP-Linked Guinea pig Anti-Rabbit at 1/2000 dilution

Predicted band size: 40 kDa

false

Key facts

Host species

Rabbit

Clonality

Polyclonal

Isotype

IgG

Carrier free

No

Reacts with

Mouse, Human, Pig

Applications

WB, IHC-P, ICC/IF

applications

Immunogen

Recombinant Fragment Protein within Human PSAT1 aa 1-350. The exact immunogen used to generate this antibody is proprietary information.

Q9Y617

Reactivity data

{ "title": "Reactivity Data", "filters": { "stats": ["", "Species", "Dilution Info", "Notes"], "tabs": { "all-applications": {"fullname" : "All Applications", "shortname": "All Applications"}, "WB" : {"fullname" : "Western blot", "shortname":"WB"}, "IHCP" : {"fullname" : "Immunohistochemistry (Formalin/PFA-fixed paraffin-embedded sections)", "shortname":"IHC-P"}, "ICCIF" : {"fullname" : "Immunocytochemistry/ Immunofluorescence", "shortname":"ICC/IF"} }, "product-promise": { "all": "all", "testedAndGuaranteed": "tested", "guaranteed": "expected", "predicted": "predicted", "notRecommended": "not-recommended" } }, "values": { "Human": { "WB-species-checked": "testedAndGuaranteed", "WB-species-dilution-info": "0.5-2 µg/mL", "WB-species-notes": "<p></p>", "IHCP-species-checked": "testedAndGuaranteed", "IHCP-species-dilution-info": "5-20 µg/mL", "IHCP-species-notes": "<p></p>", "ICCIF-species-checked": "testedAndGuaranteed", "ICCIF-species-dilution-info": "5-20 µg/mL", "ICCIF-species-notes": "<p></p>" }, "Mouse": { "WB-species-checked": "testedAndGuaranteed", "WB-species-dilution-info": "0.5-2 µg/mL", "WB-species-notes": "<p></p>", "IHCP-species-checked": "guaranteed", "IHCP-species-dilution-info": "", "IHCP-species-notes": "", "ICCIF-species-checked": "guaranteed", "ICCIF-species-dilution-info": "", "ICCIF-species-notes": "" }, "Pig": { "WB-species-checked": "testedAndGuaranteed", "WB-species-dilution-info": "0.5-2 µg/mL", "WB-species-notes": "<p></p>", "IHCP-species-checked": "guaranteed", "IHCP-species-dilution-info": "", "IHCP-species-notes": "", "ICCIF-species-checked": "guaranteed", "ICCIF-species-dilution-info": "", "ICCIF-species-notes": "" }, "Recombinant fragment - Human": { "WB-species-checked": "testedAndGuaranteed", "WB-species-dilution-info": "0.5-2 µg/mL", "WB-species-notes": "<p></p>", "IHCP-species-checked": "notRecommended", "IHCP-species-dilution-info": "", "IHCP-species-notes": "", "ICCIF-species-checked": "notRecommended", "ICCIF-species-dilution-info": "", "ICCIF-species-notes": "" } } }

Properties and storage information

Form
Liquid
Purification technique
Affinity purification Immunogen
Purification notes
ab232944 was purified by antigen-specific affinity chromatography followed by Protein A affinity chromatography.
Storage buffer
pH: 7.4 Preservative: 0.011% Proclin 300 Constituents: PBS, 55.77% Glycerol (glycerin, glycerine)
Shipped at conditions
Blue Ice
Appropriate short-term storage duration
1-2 weeks
Appropriate short-term storage conditions
+4°C
Appropriate long-term storage conditions
-20°C
Aliquoting information
Upon delivery aliquot
Storage information
Avoid freeze / thaw cycle

Supplementary information

This supplementary information is collated from multiple sources and compiled automatically.

Phosphoserine Aminotransferase (PSAT1) is an enzyme that actively participates in amino acid metabolism. It is also known by alternate names like O-phospho-L-serine:2-oxoglutarate aminotransferase. With a molecular mass of approximately 39 kDa PSAT1 facilitates the conversion of 3-phosphohydroxypyruvate to phosphoserine. You can find its expression across various tissues including liver brain and kidney. This widespread presence suggests its essential role in cellular functions and metabolism.
Biological function summary

PSAT1 plays an important role in the biosynthesis of the amino acid serine. It is part of a multi-step serine biosynthesis complex involving other enzymes like 3-phosphoglycerate dehydrogenase and phosphoserine phosphatase. PSAT1 works in conjunction with these enzymes to ensure the proper synthesis of serine which is vital for nucleotide synthesis and cell proliferation. This function establishes PSAT1 as an important regulator of cellular growth and division.

Pathways

PSAT1 is a significant component of the serine biosynthesis pathway which is linked to the folate cycle. This metabolic pathway is important for one-carbon metabolism affecting thymidine and purine synthesis. PSAT1 interacts with proteins such as 3-phosphoglycerate dehydrogenase highlighting its involvement in these interconnected metabolic processes. This connection indicates the critical position that PSAT1 holds in facilitating the production of biomolecules essential for cell survival and function.

PSAT1 has been associated with conditions such as Neu-Laxova syndrome and certain cancer types. Neu-Laxova syndrome linked to defects in serine biosynthesis involves abnormal neurological and physical development. Additionally PSAT1's role in cell proliferation pathways associates it with oncogenic processes where its altered expression can lead to tumor growth. Dysregulation of related proteins like phosphoserine phosphatase further ties PSAT1 to the pathogenesis of these conditions making it a target of interest in therapeutic research.

Product protocols

For this product, it's our understanding that no specific protocols are required. You can visit:

Target data

Involved in L-serine biosynthesis via the phosphorylated pathway, a three-step pathway converting the glycolytic intermediate 3-phospho-D-glycerate into L-serine. Catalyzes the second step, that is the pyridoxal 5'-phosphate-dependent transamination of 3-phosphohydroxypyruvate and L-glutamate to O-phosphoserine (OPS) and alpha-ketoglutarate.
See full target information PSAT1

Publications (2)

Recent publications for all applications. Explore the full list and refine your search

Discover oncology 16:1789 PubMed41026320

2025

CDCA5 knockdown potentiates olaparib sensitivity in BRCA1-mutated ovarian cancer through autophagy activation.

Applications

Unspecified application

Species

Unspecified reactive species

Wenzong Wu,Huan Wu,Yuqing Song,LiuJun Wu,Jiajia Chen,Minsheng Zhu,Xinchun Wu,Jiawei Wang,Qingsong Zhang

Journal of cellular physiology 234:11023-11036 PubMed30633343

2019

Identification of molecular marker associated with ovarian cancer prognosis using bioinformatics analysis and experiments.

Applications

Unspecified application

Species

Unspecified reactive species

Ming-Jun Zheng,Xiao Li,Yue-Xin Hu,Hui Dong,Rui Gou,Xin Nie,Qing Liu,Hao Ying-Ying,Juan-Juan Liu,Bei Lin
View all publications

Product promise

We are committed to supporting your work with high-quality reagents, and we're here for you every step of the way. In the unlikely event that one of our products does not perform as expected, you're protected by our Product Promise.
For full details, please see our Terms & Conditions

Please note: All products are 'FOR RESEARCH USE ONLY. NOT FOR USE IN DIAGNOSTIC OR THERAPEUTIC PROCEDURES'.

For licensing inquiries, please contact partnerships@abcam.com