JavaScript is disabled in your browser. Please enable JavaScript to view this website.
AB308512

Anti-Phosphoserine Aminotransferase antibody [EPR26994-48]

Be the first to review this product! Submit a review

|

(2 Publications)

Rabbit Recombinant Monoclonal Phosphoserine Aminotransferase antibody. Suitable for WB, ICC/IF, Flow Cyt (Intra), IP and reacts with Human samples. Cited in 2 publications.

View Alternative Names

PSA, PSAT1, Phosphoserine aminotransferase, Phosphohydroxythreonine aminotransferase, PSAT

5 Images
Immunocytochemistry/ Immunofluorescence - Anti-Phosphoserine Aminotransferase antibody [EPR26994-48] (AB308512)
  • ICC/IF

Supplier Data

Immunocytochemistry/ Immunofluorescence - Anti-Phosphoserine Aminotransferase antibody [EPR26994-48] (AB308512)

Immunofluorescent analysis of 4% Paraformaldehyde-fixed, 0.1% TritonX-100 permeabilized HepG2 (human hepatocellular carcinoma epithelial cell) cells labelling Phosphoserine Aminotransferase with ab308512 at 1/50 (9.84 ug/ml) dilution, followed by ab150081 Goat Anti-Rabbit IgG H&L (Alexa Fluor® 488) preadsorbed antibody at 1/1000 2 ug/ml dilution (Green). Confocal image showing cytoplasmic and weak nuclear staining in HepG2 cell line.Image was taken with a confocal microscope (Leica-Microsystems, TCS SP8). ab195889 Anti-alpha Tubulin mouse monoclonal antibody - Microtubule Marker (Alexa Fluor® 594) was used to counterstain tubulin at 1/200 2.5ug/ml dilution (Red). The Nuclear counterstain was DAPI (Blue). Secondary antibody only control : Secondary antibody is ab150081 Goat Anti-Rabbit IgG H&L (Alexa Fluor® 488) preadsorbed at 1/1000 2 ug/ml dilution.

Flow Cytometry (Intracellular) - Anti-Phosphoserine Aminotransferase antibody [EPR26994-48] (AB308512)
  • Flow Cyt (Intra)

Supplier Data

Flow Cytometry (Intracellular) - Anti-Phosphoserine Aminotransferase antibody [EPR26994-48] (AB308512)

Flow cytometric analysis of 4% paraformaldehyde fixed 90% methanol permeabilized HepG2 (human hepatocellular carcinoma epithelial cell) cells labelling Phosphoserine Aminotransferase with ab308512 at 1/500 dilution (0.1 ug)/Red (Red) compared with a Rabbit monoclonal IgG (ab172730) (Black) isotype control and an unlabelled control (cells without incubation with primary antibody and secondary antibody) (Blue). A Goat Anti-Rabbit IgG (Alexa Fluor® 488, ab150081) at 1/5000 dilution was used as the secondary antibody.

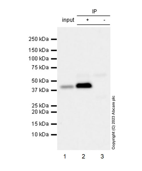
Immunoprecipitation - Anti-Phosphoserine Aminotransferase antibody [EPR26994-48] (AB308512)
  • IP

Supplier Data

Immunoprecipitation - Anti-Phosphoserine Aminotransferase antibody [EPR26994-48] (AB308512)

Phosphoserine Aminotransferase was immunoprecipitated from 0.35 mg HepG2 (human hepatocellular carcinoma epithelial cell) whole cell lysate with ab308512 at 1/30 dilution (2ug in 0.35mg lysates). Western blot was performed on the immunoprecipitate using ab308512 at 1/1000 dilution. VeriBlot for IP secondary antibody (HRP) (ab131366) was used at 1/5000 dilution.

Lane 1 : HepG2 (human hepatocellular carcinoma epithelial cell) whole cell lysate
Lane 2 : ab308512 IP in HepG2 (human hepatocellular carcinoma epithelial cell) whole cell lysate
Lane 3 : Rabbit monoclonal IgG (ab172730) instead of ab308512 in HepG2 whole cell lysate

Blocking and dilution buffer and concentration : 5% NFDM/TBST.

Exposure time : 5 seconds

All lanes:

Immunoprecipitation - Anti-Phosphoserine Aminotransferase antibody [EPR26994-48] (ab308512) at 1/1000 dilution

All lanes:

HepG2 (human hepatocellular carcinoma epithelial cell) whole cell lysate at 10 µg

Secondary

All lanes:

Immunoprecipitation - VeriBlot for IP Detection Reagent (HRP) (<a href='/en-us/products/reagents/veriblot-for-ip-detection-reagent-hrp-ab131366'>ab131366</a>) at 1/5000 dilution

Observed band size: 40 kDa

false

Exposure time: 5s

Western blot - Anti-Phosphoserine Aminotransferase antibody [EPR26994-48] (AB308512)
  • WB

Supplier Data

Western blot - Anti-Phosphoserine Aminotransferase antibody [EPR26994-48] (AB308512)

Blocking and diluting buffer and concentration : 5% NFDM/TBST. In Western blot, anti-GAPDH antibody (ab181602) loading control staining at 1/200000 dilution. Exposure time : 3.25 seconds

All lanes:

Western blot - Anti-Phosphoserine Aminotransferase antibody [EPR26994-48] (ab308512) at 1/1000 dilution

Lane 1:

HepG2 (human hepatocellar carcinoma epithelial cell) whole cell lysate at 20 µg

Lane 2:

293T (human embryonic kidney epithelial cell) transfected with scrambled siRNA control whole cell lysate at 20 µg

Lane 3:

293T transfected with siRNA specifically targeti Phosphoserine Aminotransferase whole cell lysate at 20 µg

Secondary

All lanes:

Western blot - Goat Anti-Rabbit IgG H&L (HRP) (<a href='/en-us/products/secondary-antibodies/goat-rabbit-igg-h-l-hrp-ab97051'>ab97051</a>) at 1/100000 dilution

Predicted band size: 40 kDa

Observed band size: 40 kDa

false

Exposure time: 3.25s

Western blot - Anti-Phosphoserine Aminotransferase antibody [EPR26994-48] (AB308512)
  • WB

Supplier Data

Western blot - Anti-Phosphoserine Aminotransferase antibody [EPR26994-48] (AB308512)

Blocking and diluting buffer and concentration : 5% NFDM/TBST. Low expression : human skeletal muscle (PMID : 12633500). In Western blot, anti- Vinculin antibody (ab129002) loading control staining at 1/10000 dilution. Exposure time : 15 seconds

All lanes:

Western blot - Anti-Phosphoserine Aminotransferase antibody [EPR26994-48] (ab308512) at 1/1000 dilution

Lane 1:

Human kidney tissue lysate, at 20 µg

Lane 2:

Human skeletal muscle tissue lysate at 20 µg

Secondary

All lanes:

Western blot - Goat Anti-Rabbit IgG H&L (HRP) (<a href='/en-us/products/secondary-antibodies/goat-rabbit-igg-h-l-hrp-ab97051'>ab97051</a>) at 1/2000 dilution

Predicted band size: 40 kDa

Observed band size: 40 kDa

false

Exposure time: 15s

  • Carrier free

    Anti-Phosphoserine Aminotransferase antibody [EPR26994-48] - BSA and Azide free

Key facts

Host species

Rabbit

Clonality

Monoclonal

Clone number

EPR26994-48

Isotype

IgG

Carrier free

No

Reacts with

Human

Applications

WB, IP, Flow Cyt (Intra), ICC/IF

applications

Immunogen

The exact immunogen used to generate this antibody is proprietary information.

Reactivity data

{ "title": "Reactivity Data", "filters": { "stats": ["", "Species", "Dilution Info", "Notes"], "tabs": { "all-applications": {"fullname" : "All Applications", "shortname": "All Applications"}, "WB" : {"fullname" : "Western blot", "shortname":"WB"}, "ICCIF" : {"fullname" : "Immunocytochemistry/ Immunofluorescence", "shortname":"ICC/IF"}, "FlowCytIntra" : {"fullname" : "Flow Cytometry (Intracellular)", "shortname":"Flow Cyt (Intra)"}, "IP" : {"fullname" : "Immunoprecipitation", "shortname":"IP"}, "IHCP" : {"fullname" : "Immunohistochemistry (Formalin/PFA-fixed paraffin-embedded sections)", "shortname":"IHC-P"} }, "product-promise": { "all": "all", "testedAndGuaranteed": "tested", "guaranteed": "expected", "predicted": "predicted", "notRecommended": "not-recommended" } }, "values": { "Human": { "WB-species-checked": "testedAndGuaranteed", "WB-species-dilution-info": "1/1000", "WB-species-notes": "<p></p>", "ICCIF-species-checked": "testedAndGuaranteed", "ICCIF-species-dilution-info": "1/50", "ICCIF-species-notes": "<p></p>", "FlowCytIntra-species-checked": "testedAndGuaranteed", "FlowCytIntra-species-dilution-info": "1/500", "FlowCytIntra-species-notes": "<p></p>", "IP-species-checked": "testedAndGuaranteed", "IP-species-dilution-info": "1/30", "IP-species-notes": "<p></p>", "IHCP-species-checked": "notRecommended", "IHCP-species-dilution-info": "", "IHCP-species-notes": "<p></p>" }, "Mouse": { "WB-species-checked": "notRecommended", "WB-species-dilution-info": "", "WB-species-notes": "<p></p>", "ICCIF-species-checked": "notRecommended", "ICCIF-species-dilution-info": "", "ICCIF-species-notes": "", "FlowCytIntra-species-checked": "notRecommended", "FlowCytIntra-species-dilution-info": "", "FlowCytIntra-species-notes": "", "IP-species-checked": "notRecommended", "IP-species-dilution-info": "", "IP-species-notes": "", "IHCP-species-checked": "notRecommended", "IHCP-species-dilution-info": "", "IHCP-species-notes": "<p></p>" }, "Rat": { "WB-species-checked": "notRecommended", "WB-species-dilution-info": "", "WB-species-notes": "<p></p>", "ICCIF-species-checked": "notRecommended", "ICCIF-species-dilution-info": "", "ICCIF-species-notes": "", "FlowCytIntra-species-checked": "notRecommended", "FlowCytIntra-species-dilution-info": "", "FlowCytIntra-species-notes": "", "IP-species-checked": "notRecommended", "IP-species-dilution-info": "", "IP-species-notes": "", "IHCP-species-checked": "notRecommended", "IHCP-species-dilution-info": "", "IHCP-species-notes": "<p></p>" } } }

Product details

Patented technology
Our RabMAb® technology is a patented hybridoma-based technology for making rabbit monoclonal antibodies. For details on our patents, please refer to RabMAb® patents.

What are the advantages of a recombinant monoclonal antibody?
This product is a recombinant monoclonal antibody, which offers several advantages including:

  • - High batch-to-batch consistency and reproducibility
  • - Improved sensitivity and specificity
  • - Long-term security of supply
  • - Animal-free batch production

For more information, read more on recombinant antibodies.

Properties and storage information

Form
Liquid
Purification technique
Affinity purification Protein A
Storage buffer
pH: 7.2 - 7.4 Preservative: 0.01% Sodium azide Constituents: PBS, 40% Glycerol (glycerin, glycerine), 0.05% BSA
Shipped at conditions
Blue Ice
Appropriate short-term storage duration
1-2 weeks
Appropriate short-term storage conditions
+4°C
Appropriate long-term storage conditions
-20°C
Aliquoting information
Upon delivery aliquot
Storage information
Avoid freeze / thaw cycle

Supplementary information

This supplementary information is collated from multiple sources and compiled automatically.

Phosphoserine Aminotransferase (PSAT1) is an enzyme that actively participates in amino acid metabolism. It is also known by alternate names like O-phospho-L-serine:2-oxoglutarate aminotransferase. With a molecular mass of approximately 39 kDa PSAT1 facilitates the conversion of 3-phosphohydroxypyruvate to phosphoserine. You can find its expression across various tissues including liver brain and kidney. This widespread presence suggests its essential role in cellular functions and metabolism.
Biological function summary

PSAT1 plays an important role in the biosynthesis of the amino acid serine. It is part of a multi-step serine biosynthesis complex involving other enzymes like 3-phosphoglycerate dehydrogenase and phosphoserine phosphatase. PSAT1 works in conjunction with these enzymes to ensure the proper synthesis of serine which is vital for nucleotide synthesis and cell proliferation. This function establishes PSAT1 as an important regulator of cellular growth and division.

Pathways

PSAT1 is a significant component of the serine biosynthesis pathway which is linked to the folate cycle. This metabolic pathway is important for one-carbon metabolism affecting thymidine and purine synthesis. PSAT1 interacts with proteins such as 3-phosphoglycerate dehydrogenase highlighting its involvement in these interconnected metabolic processes. This connection indicates the critical position that PSAT1 holds in facilitating the production of biomolecules essential for cell survival and function.

PSAT1 has been associated with conditions such as Neu-Laxova syndrome and certain cancer types. Neu-Laxova syndrome linked to defects in serine biosynthesis involves abnormal neurological and physical development. Additionally PSAT1's role in cell proliferation pathways associates it with oncogenic processes where its altered expression can lead to tumor growth. Dysregulation of related proteins like phosphoserine phosphatase further ties PSAT1 to the pathogenesis of these conditions making it a target of interest in therapeutic research.

Product protocols

For this product, it's our understanding that no specific protocols are required. You can visit:

Target data

Involved in L-serine biosynthesis via the phosphorylated pathway, a three-step pathway converting the glycolytic intermediate 3-phospho-D-glycerate into L-serine. Catalyzes the second step, that is the pyridoxal 5'-phosphate-dependent transamination of 3-phosphohydroxypyruvate and L-glutamate to O-phosphoserine (OPS) and alpha-ketoglutarate.
See full target information PSAT1

Publications (2)

Recent publications for all applications. Explore the full list and refine your search

Drug development research 86:e70097 PubMed40320855

2025

Inhibition of Glutathione Pathway by Oleanolic Acid via PSAT1 Leads to Ferroptosis in Colorectal Cancer.

Applications

Unspecified application

Species

Unspecified reactive species

Qing Sun,Ruolin Sun,Bokun He,Hongjie Meng,Jie Jin,Juhui He

International journal of molecular medicine 55: PubMed40211693

2025

PSAT1 regulated by STAT4 enhances the proliferation, invasion and migration of ovarian cancer cells via the PI3K/AKT pathway.

Applications

Unspecified application

Species

Unspecified reactive species

Xiao Li,Shuang Wang,Xin Nie,Yuexin Hu,Ouxuan Liu,Yuxuan Wang,Bei Lin
View all publications

Product promise

We are committed to supporting your work with high-quality reagents, and we're here for you every step of the way. In the unlikely event that one of our products does not perform as expected, you're protected by our Product Promise.
For full details, please see our Terms & Conditions

Please note: All products are 'FOR RESEARCH USE ONLY. NOT FOR USE IN DIAGNOSTIC OR THERAPEUTIC PROCEDURES'.

For licensing inquiries, please contact partnerships@abcam.com