JavaScript is disabled in your browser. Please enable JavaScript to view this website.
AB322140

Anti-Phosphoserine antibody [EPR28666-51]

  • BOND RX™ Validated
  • Recombinant
  • RabMAb
  • 20ul selling size
  • What is this?

Be the first to review this product! Submit a review

|

(0 Publication)

Rabbit Recombinant Monoclonal Phosphoserine antibody. Suitable for Dot, I-ELISA, IHC-P, WB and reacts with Synthetic peptide, Human, Mouse samples.

View Alternative Names

PS, pSER, phospho-Ser

7 Images
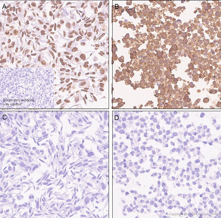
Immunohistochemistry (Formalin/PFA-fixed paraffin-embedded sections) - Anti-Phosphoserine antibody [EPR28666-51] (AB322140)
  • IHC-P

Supplier Data

Immunohistochemistry (Formalin/PFA-fixed paraffin-embedded sections) - Anti-Phosphoserine antibody [EPR28666-51] (AB322140)

Immunohistochemical analysis of paraffin-embedded (A) HeLa (human cervix adenocarcinoma epithelial cell) without alkaline phosphatase treatment cell pellet; (B) HeLa+Calyculin A(100nM 30min) without alkaline phosphatase treatment cell pellet ; (C) HeLa with alkaline phosphatase treatment cell pellet; (D) HeLa +Calyculin A(100nM 30min) with alkaline phosphatase treatment cell pellet tissue labeling Phosphoserine with ab322140 at 1/500 (0.98 ug/ml) dilution, followed by a ready to use Rabbit specific IHC polymer detection kit HRP/DAB (ab209101). Positive staining on cell pellets of (A) untreated HeLa (human cervix adenocarcinoma epithelial cell), (B) HeLa+Calyculin A(100nM 30min), no staining on cell pellets of (C) HeLa with alkaline phosphatase treatment and (D) HeLa +Calyculin A(100nM 30min) with alkaline phosphatase treatment. The section was incubated with ab322140 for 30 mins at room temperature. The immunostaining was performed on a Leica Biosystems BOND® RX instrument. Counterstained with Hematoxylin. Secondary antibody only control : Secondary antibody is a ready to use Rabbit specific IHC polymer detection kit HRP/DAB (ab209101). Heat mediated antigen retrieval was performed with Citrate buffer (pH 6.0, Epitope Retrieval Solution 1) for 20 mins.

Immunohistochemistry (Formalin/PFA-fixed paraffin-embedded sections) - Anti-Phosphoserine antibody [EPR28666-51] (AB322140)
  • IHC-P

Supplier Data

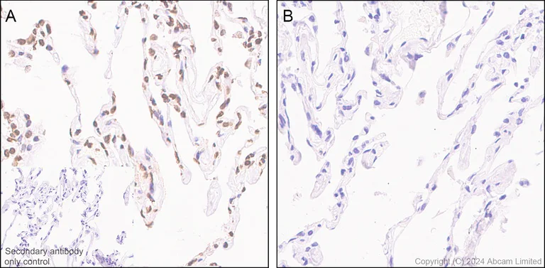
Immunohistochemistry (Formalin/PFA-fixed paraffin-embedded sections) - Anti-Phosphoserine antibody [EPR28666-51] (AB322140)

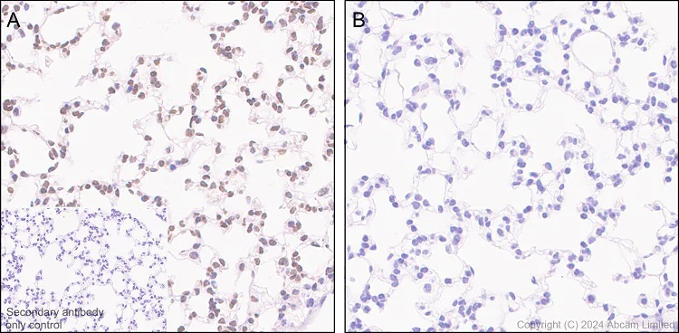
Immunohistochemical analysis of paraffin-embedded (A) Human lung without alkaline phosphatase treatment; (B) Human lung with alkaline phosphatase treatment tissue labeling Phosphoserine with ab322140 at 1/100 (4.9 ug/ml) dilution, followed by a ready to use Rabbit specific IHC polymer detection kit HRP/DAB (ab209101). Positive staining on (A) human lung without alkaline phosphatase treatment; negative staining on (B) human lung with alkaline phosphatase treatment. The section was incubated with ab322140 for 30 mins at room temperature. The immunostaining was performed on a Leica Biosystems BOND® RX instrument. Counterstained with Hematoxylin. Secondary antibody only control : Secondary antibody is a ready to use Rabbit specific IHC polymer detection kit HRP/DAB (ab209101). Heat mediated antigen retrieval was performed with Citrate buffer (pH 6.0, Epitope Retrieval Solution 1) for 20 mins.

Immunohistochemistry (Formalin/PFA-fixed paraffin-embedded sections) - Anti-Phosphoserine antibody [EPR28666-51] (AB322140)
  • IHC-P

Supplier Data

Immunohistochemistry (Formalin/PFA-fixed paraffin-embedded sections) - Anti-Phosphoserine antibody [EPR28666-51] (AB322140)

Immunohistochemical analysis of paraffin-embedded (A) Mouse lung without alkaline phosphatase treatment; (B) Mouse lung with alkaline phosphatase treatment tissue labeling Phosphoserine with ab322140 at 1/100 (4.9 ug/ml) dilution, followed by a ready to use Rabbit specific IHC polymer detection kit HRP/DAB (ab209101). Positive staining on (A) mouse lung without alkaline phosphatase treatment; negative staining on (B) mouse lung with alkaline phosphatase treatment. The section was incubated with ab322140 for 30 mins at room temperature. The immunostaining was performed on a Leica Biosystems BOND® RX instrument. Counterstained with Hematoxylin. Secondary antibody only control : Secondary antibody is a ready to use Rabbit specific IHC polymer detection kit HRP/DAB (ab209101). Heat mediated antigen retrieval was performed with Citrate buffer (pH 6.0, Epitope Retrieval Solution 1) for 20 mins.

Immunohistochemistry (Formalin/PFA-fixed paraffin-embedded sections) - Anti-Phosphoserine antibody [EPR28666-51] (AB322140)
  • IHC-P

Supplier Data

Immunohistochemistry (Formalin/PFA-fixed paraffin-embedded sections) - Anti-Phosphoserine antibody [EPR28666-51] (AB322140)

Immunohistochemical analysis of paraffin-embedded (A) RAW 264.7 (mouse Abelson murine leukemia virus-induced tumor macrophage) without alkaline phosphatase treatment cell pellet; (B) RAW 264.7 with alkaline phosphatase treatment cell pellet tissue labeling Phosphoserine with ab322140 at 1/500 (0.98 ug/ml) dilution, followed by a ready to use Rabbit specific IHC polymer detection kit HRP/DAB (ab209101). Positive staining on cell pellets of (A) RAW 264.7 (mouse Abelson murine leukemia virus-induced tumor macrophage) and no staining on cell pellets of (B) RAW 264.7 with alkaline phosphatase treatment. The section was incubated with ab322140 for 30 mins at room temperature. The immunostaining was performed on a Leica Biosystems BOND® RX instrument. Counterstained with Hematoxylin. Secondary antibody only control : Secondary antibody is a ready to use Rabbit specific IHC polymer detection kit HRP/DAB (ab209101). Heat mediated antigen retrieval was performed with Citrate buffer (pH 6.0, Epitope Retrieval Solution 1) for 20 mins.

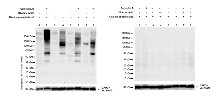
Western blot - Anti-Phosphoserine antibody [EPR28666-51] (AB322140)
  • WB

Supplier Data

Western blot - Anti-Phosphoserine antibody [EPR28666-51] (AB322140)

Blocking and diluting buffer and concentration : 5% NFDM/TBST.

In Western blot, Anti-GAPDH antibody [EPR16891] - Loading Control (ab181602) staining at 1/200000 dilution.

This blot was developed using a high sensitivity ECL substrate. The high-sensitivity ECL substrate used allows for the detection of proteins in the mid-femtogram range.

All lanes:

Western blot - Anti-Phosphoserine antibody [EPR28666-51] (ab322140) at 1/1000 dilution

Lane 1:

Untreated HeLa (human cervical adenocarcinoma epithelial cell) whole cell lysate at 60 µg

Lane 2:

HeLa treated with 100nM calyculin A for 30min) whole cell lysate at 60 µg

Lane 3:

Untreated B16-F0 (mouse melanoma epithelial-like cell) whole cell lysate at 60 µg

Lane 4:

B16-F0 treated with 1uM Okadaic Acid for 60min whole cell lysate at 60 µg

Lane 5:

Untreated Jurkat (human T cell leukemia T lymphocyte from peripheral blood) whole cell lysate at 60 µg

Lane 6:

Jurkat treated with 100nM Calyculin A for 30min whole cell lysate at 60 µg

Lane 7:

Untreated RAW 264.7 (mouse Abelson murine leukemia virus-induced tumor macrophage) whole cell lysate at 60 µg

Lane 8:

RAW 264.7 treated with 100nM Calyculin A for 30min) whole cell lysate at 60 µg

Secondary

All lanes:

Western blot - Goat Anti-Rabbit IgG H&L (HRP) (<a href='/en-us/products/secondary-antibodies/goat-rabbit-igg-h-l-hrp-ab97051'>ab97051</a>) at 1/20000 dilution

Observed band size: 25-300 kDa,36 kDa

true

Exposure time: 70s

Indirect ELISA - Anti-Phosphoserine antibody [EPR28666-51] (AB322140)
  • I-ELISA

Supplier Data

Indirect ELISA - Anti-Phosphoserine antibody [EPR28666-51] (AB322140)

Indirect ELISA analysis of ab322140 at 1000-0 ng/ml. The Secondary antibody used was Alkaline Phosphatase-conjugated AffiniPure Goat Anti-Rabbit IgG (H+L) at 1 : 2500 dilution.

Antigen : Phosphoserine peptide, Phosphothreonine peptide, Phosphotyrosine peptide, Non-phosphoserine peptide.

Antigen concentration : 1000 ng/ml

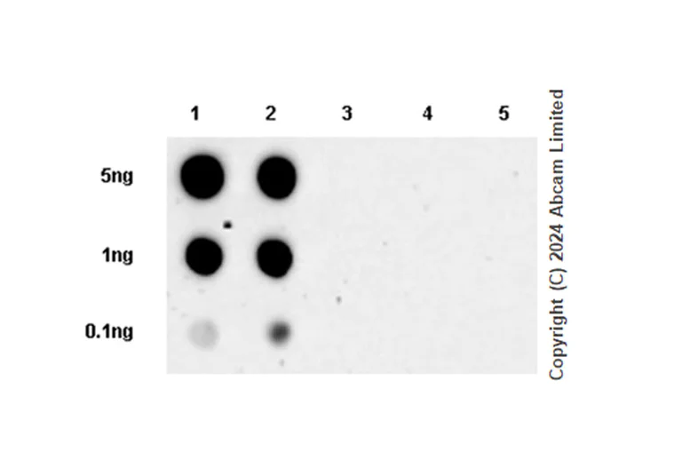
Dot Blot - Anti-Phosphoserine antibody [EPR28666-51] (AB322140)
  • Dot

Supplier Data

Dot Blot - Anti-Phosphoserine antibody [EPR28666-51] (AB322140)

Dot blot analysis of Phosphoserine using ab322140 at 1 : 1000 (0.49 ug/ml) followed by a Goat Anti-Rabbit IgG, (H+L), Peroxidase conjugated (ab97051) at 1 : 100,000 dilution.

Lane1 : Phosphoserine peptide a
Lane2 : Phosphoserine peptide b
Lane3 : phosphothreonine peptide
Lane4 : phosphotyrosine peptide
Lane5 : Non-phosphoserine peptide

Exposure time : 180 seconds.

Blocking and diluting buffer and concentration : 5% NFDM/TBST.

All lanes:

Dot Blot - Anti-Phosphoserine antibody [EPR28666-51] (ab322140) at 1/1000 dilution

Lane 1:

Phosphoserine peptide a

Lane 2:

Phosphoserine peptide b

Lane 3:

phosphothreonine peptide

Lane 4:

phosphotyrosine peptide

Lane 5:

Non-phosphoserine peptide

Secondary

All lanes:

Dot Blot - Goat Anti-Rabbit IgG H&L (HRP) (<a href='/en-us/products/secondary-antibodies/goat-rabbit-igg-h-l-hrp-ab97051'>ab97051</a>) at 1/100000 dilution

false

Exposure time: 180s

  • Carrier free

    Anti-Phosphoserine antibody [EPR28666-51] - BSA and Azide free

Key facts

Host species

Rabbit

Clonality

Monoclonal

Clone number

EPR28666-51

Isotype

IgG

Carrier free

No

Reacts with

Human, Mouse

Applications

WB, Dot, IHC-P, I-ELISA

applications

Immunogen

The exact immunogen used to generate this antibody is proprietary information.

Reactivity data

{ "title": "Reactivity Data", "filters": { "stats": ["", "Species", "Dilution Info", "Notes"], "tabs": { "all-applications": {"fullname" : "All Applications", "shortname": "All Applications"}, "Dot" : {"fullname" : "Dot Blot", "shortname":"Dot"}, "IELISA" : {"fullname" : "Indirect ELISA", "shortname":"I-ELISA"}, "IHCP" : {"fullname" : "Immunohistochemistry (Formalin/PFA-fixed paraffin-embedded sections)", "shortname":"IHC-P"}, "WB" : {"fullname" : "Western blot", "shortname":"WB"} }, "product-promise": { "all": "all", "testedAndGuaranteed": "tested", "guaranteed": "expected", "predicted": "predicted", "notRecommended": "not-recommended" } }, "values": { "Human": { "Dot-species-checked": "guaranteed", "Dot-species-dilution-info": "", "Dot-species-notes": "", "IELISA-species-checked": "guaranteed", "IELISA-species-dilution-info": "", "IELISA-species-notes": "", "IHCP-species-checked": "testedAndGuaranteed", "IHCP-species-dilution-info": "1/100", "IHCP-species-notes": "<p></p> Perform heat-mediated antigen retrieval with citrate buffer pH 6 before commencing with IHC staining protocol.", "WB-species-checked": "testedAndGuaranteed", "WB-species-dilution-info": "1/1000", "WB-species-notes": "<p></p>" }, "Mouse": { "Dot-species-checked": "guaranteed", "Dot-species-dilution-info": "", "Dot-species-notes": "", "IELISA-species-checked": "guaranteed", "IELISA-species-dilution-info": "", "IELISA-species-notes": "", "IHCP-species-checked": "testedAndGuaranteed", "IHCP-species-dilution-info": "1/100", "IHCP-species-notes": "<p></p> Perform heat-mediated antigen retrieval with citrate buffer pH 6 before commencing with IHC staining protocol.", "WB-species-checked": "testedAndGuaranteed", "WB-species-dilution-info": "1/1000", "WB-species-notes": "<p></p>" }, "Synthetic peptide": { "Dot-species-checked": "testedAndGuaranteed", "Dot-species-dilution-info": "1/1000", "Dot-species-notes": "<p></p>", "IELISA-species-checked": "testedAndGuaranteed", "IELISA-species-dilution-info": "62.5 ng/mL", "IELISA-species-notes": "<p></p>", "IHCP-species-checked": "notRecommended", "IHCP-species-dilution-info": "", "IHCP-species-notes": "", "WB-species-checked": "notRecommended", "WB-species-dilution-info": "", "WB-species-notes": "" } } }

Product details

Patented technology
Our RabMAb® technology is a patented hybridoma-based technology for making rabbit monoclonal antibodies. For details on our patents, please refer to RabMAb® patents.

What are the advantages of a recombinant monoclonal antibody?
This product is a recombinant monoclonal antibody, which offers several advantages including:

  • - High batch-to-batch consistency and reproducibility
  • - Improved sensitivity and specificity
  • - Long-term security of supply
  • - Animal-free batch production

For more information, read more on recombinant antibodies.

Properties and storage information

Form
Liquid
Purification technique
Affinity purification Protein A
Storage buffer
pH: 7.2 - 7.4 Preservative: 0.01% Sodium azide Constituents: PBS, 40% Glycerol (glycerin, glycerine), 0.05% BSA
Shipped at conditions
Blue Ice
Appropriate short-term storage duration
1-2 weeks
Appropriate short-term storage conditions
+4°C
Appropriate long-term storage conditions
-20°C
Aliquoting information
Upon delivery aliquot
Storage information
Avoid freeze / thaw cycle

Supplementary information

This supplementary information is collated from multiple sources and compiled automatically.

Phosphoserine often referred to by its common alternate name "P-Ser" represents a phosphorylated form of the amino acid serine. This small molecule under a molecular mass of near 166 Daltons plays an important role in cellular signaling. It is expressed widely across various cell types particularly in tissues with high cell turnover. Phosphoserine results from the action of kinases which transfer a phosphate group from ATP to the serine's hydroxyl group. This phosphorylation process provides a critical modulatory mechanism that impacts protein function and cellular pathways.
Biological function summary

Phosphorylated serine residues are involved in controlling a multitude of cellular processes including cell cycle regulation and apoptosis. These phosphorylated regions form parts of protein kinases phosphatases and glycoproteins acting as switches for cellular signaling. Phosphoserine is often part of multi-protein complexes binding to other proteins and influencing their activity through changes in conformation. This active participation in biological pathways signifies its significant influence in maintaining cellular homeostasis.

Pathways

Phosphoserine plays a significant role in the MAPK signaling and PI3K/AKT pathways both important for cell growth and survival. It interacts with proteins like AKT and MAPK facilitating cellular responses to extracellular stimuli. This phosphorylation state dictates the activation or inactivation of these proteins effectively regulating key steps in signal transduction and transcriptional control. Such pathways highlight the importance of phosphoserine in coordinating complex cellular activities.

Aberrations in phosphoserine activity have been linked to conditions such as cancer and neurodegenerative diseases. In cancer dysregulation in its phosphorylation status may lead to uncontrolled cellular proliferation and resistance to apoptosis. Proteins such as p53 which plays a pivotal role in DNA repair and cell cycle arrest often show altered phosphorylation patterns in the presence of disease. Similarly in neurodegenerative disorders improper phosphorylation of tau proteins is a hallmark of conditions like Alzheimer's disease pointing to the critical involvement of phosphoserine and its associated pathways in disease pathology.

Product protocols

For this product, it's our understanding that no specific protocols are required. You can visit:

Product promise

We are committed to supporting your work with high-quality reagents, and we're here for you every step of the way. In the unlikely event that one of our products does not perform as expected, you're protected by our Product Promise.
For full details, please see our Terms & Conditions

Please note: All products are 'FOR RESEARCH USE ONLY. NOT FOR USE IN DIAGNOSTIC OR THERAPEUTIC PROCEDURES'.

For licensing inquiries, please contact partnerships@abcam.com