JavaScript is disabled in your browser. Please enable JavaScript to view this website.
AB324773

Anti-Phosphoserine antibody [EPR28666-51] - BSA and Azide free

Be the first to review this product! Submit a review

|

(0 Publication)

Rabbit Recombinant Monoclonal Phosphoserine antibody. Carrier free. Suitable for Dot, I-ELISA, IHC-P, WB and reacts with Synthetic peptide, Human, Mouse samples.

View Alternative Names

PS, pSER, phospho-Ser

7 Images
Immunohistochemistry (Formalin/PFA-fixed paraffin-embedded sections) - Anti-Phosphoserine antibody [EPR28666-51] - BSA and Azide free (AB324773)
  • IHC-P

Supplier Data

Immunohistochemistry (Formalin/PFA-fixed paraffin-embedded sections) - Anti-Phosphoserine antibody [EPR28666-51] - BSA and Azide free (AB324773)

This data was developed using ab322140, the same antibody clone in a different buffer formulation.

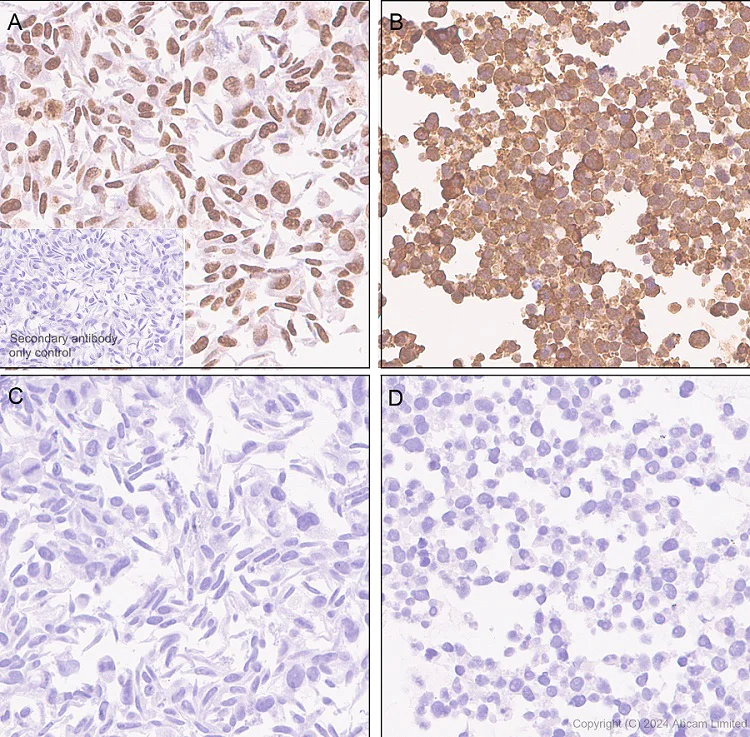
Immunohistochemical analysis of paraffin-embedded (A) HeLa (human cervix adenocarcinoma epithelial cell) without alkaline phosphatase treatment cell pellet; (B) HeLa+Calyculin A(100nM 30min) without alkaline phosphatase treatment cell pellet ; (C) HeLa with alkaline phosphatase treatment cell pellet; (D) HeLa +Calyculin A(100nM 30min) with alkaline phosphatase treatment cell pellet tissue labeling Phosphoserine with ab322140 at 1/500 (0.98 ug/ml) dilution followed by a ready to use Rabbit specific IHC polymer detection kit HRP/DAB (ab209101). Positive staining on cell pellets of (A) untreated HeLa (human cervix adenocarcinoma epithelial cell) (B) HeLa+Calyculin A(100nM 30min) no staining on cell pellets of (C) HeLa with alkaline phosphatase treatment and (D) HeLa +Calyculin A(100nM 30min) with alkaline phosphatase treatment. The section was incubated with ab322140 for 30 mins at room temperature. The immunostaining was performed on a Leica Biosystems BOND® RX instrument. Counterstained with Hematoxylin. Secondary antibody only control : Secondary antibody is a ready to use Rabbit specific IHC polymer detection kit HRP/DAB (ab209101). Heat mediated antigen retrieval was performed with Citrate buffer (pH 6.0 Epitope Retrieval Solution 1) for 20 mins.

Immunohistochemistry (Formalin/PFA-fixed paraffin-embedded sections) - Anti-Phosphoserine antibody [EPR28666-51] - BSA and Azide free (AB324773)
  • IHC-P

Supplier Data

Immunohistochemistry (Formalin/PFA-fixed paraffin-embedded sections) - Anti-Phosphoserine antibody [EPR28666-51] - BSA and Azide free (AB324773)

This data was developed using ab322140, the same antibody clone in a different buffer formulation.

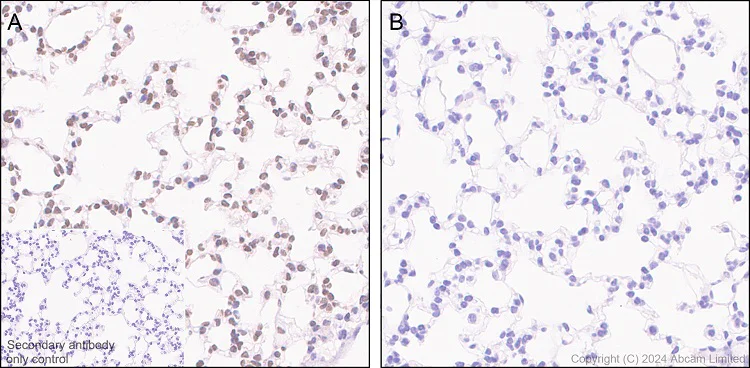
Immunohistochemical analysis of paraffin-embedded (A) Human lung without alkaline phosphatase treatment; (B) Human lung with alkaline phosphatase treatment tissue labeling Phosphoserine with ab322140 at 1/100 (4.9 ug/ml) dilution followed by a ready to use Rabbit specific IHC polymer detection kit HRP/DAB (ab209101). Positive staining on (A) human lung without alkaline phosphatase treatment; negative staining on (B) human lung with alkaline phosphatase treatment. The section was incubated with ab322140 for 30 mins at room temperature. The immunostaining was performed on a Leica Biosystems BOND® RX instrument. Counterstained with Hematoxylin. Secondary antibody only control : Secondary antibody is a ready to use Rabbit specific IHC polymer detection kit HRP/DAB (ab209101). Heat mediated antigen retrieval was performed with Citrate buffer (pH 6.0 Epitope Retrieval Solution 1) for 20 mins.

Immunohistochemistry (Formalin/PFA-fixed paraffin-embedded sections) - Anti-Phosphoserine antibody [EPR28666-51] - BSA and Azide free (AB324773)
  • IHC-P

Supplier Data

Immunohistochemistry (Formalin/PFA-fixed paraffin-embedded sections) - Anti-Phosphoserine antibody [EPR28666-51] - BSA and Azide free (AB324773)

This data was developed using ab322140, the same antibody clone in a different buffer formulation.

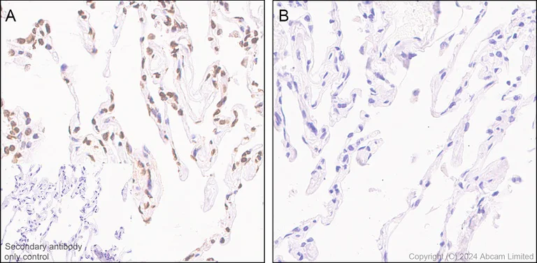
Immunohistochemical analysis of paraffin-embedded (A) Mouse lung without alkaline phosphatase treatment; (B) Mouse lung with alkaline phosphatase treatment tissue labeling Phosphoserine with ab322140 at 1/100 (4.9 ug/ml) dilution followed by a ready to use Rabbit specific IHC polymer detection kit HRP/DAB (ab209101). Positive staining on (A) mouse lung without alkaline phosphatase treatment; negative staining on (B) mouse lung with alkaline phosphatase treatment. The section was incubated with ab322140 for 30 mins at room temperature. The immunostaining was performed on a Leica Biosystems BOND® RX instrument. Counterstained with Hematoxylin. Secondary antibody only control : Secondary antibody is a ready to use Rabbit specific IHC polymer detection kit HRP/DAB (ab209101). Heat mediated antigen retrieval was performed with Citrate buffer (pH 6.0 Epitope Retrieval Solution 1) for 20 mins.

Immunohistochemistry (Formalin/PFA-fixed paraffin-embedded sections) - Anti-Phosphoserine antibody [EPR28666-51] - BSA and Azide free (AB324773)
  • IHC-P

Supplier Data

Immunohistochemistry (Formalin/PFA-fixed paraffin-embedded sections) - Anti-Phosphoserine antibody [EPR28666-51] - BSA and Azide free (AB324773)

This data was developed using ab322140, the same antibody clone in a different buffer formulation.

Immunohistochemical analysis of paraffin-embedded (A) RAW 264.7 (mouse Abelson murine leukemia virus-induced tumor macrophage) without alkaline phosphatase treatment cell pellet; (B) RAW 264.7 with alkaline phosphatase treatment cell pellet tissue labeling Phosphoserine with ab322140 at 1/500 (0.98 ug/ml) dilution followed by a ready to use Rabbit specific IHC polymer detection kit HRP/DAB (ab209101). Positive staining on cell pellets of (A) RAW 264.7 (mouse Abelson murine leukemia virus-induced tumor macrophage) and no staining on cell pellets of (B) RAW 264.7 with alkaline phosphatase treatment. The section was incubated with ab322140 for 30 mins at room temperature. The immunostaining was performed on a Leica Biosystems BOND® RX instrument. Counterstained with Hematoxylin. Secondary antibody only control : Secondary antibody is a ready to use Rabbit specific IHC polymer detection kit HRP/DAB (ab209101). Heat mediated antigen retrieval was performed with Citrate buffer (pH 6.0 Epitope Retrieval Solution 1) for 20 mins.

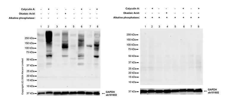
Western blot - Anti-Phosphoserine antibody [EPR28666-51] - BSA and Azide free (AB324773)
  • WB

Supplier Data

Western blot - Anti-Phosphoserine antibody [EPR28666-51] - BSA and Azide free (AB324773)

This data was developed using ab322140, the same antibody clone in a different buffer formulation.

Blocking and diluting buffer and concentration : 5% NFDM/TBST.

In Western blot Anti-GAPDH antibody [EPR16891] - Loading Control (ab181602) staining at 1/200000 dilution.

This blot was developed using a high sensitivity ECL substrate. The high-sensitivity ECL substrate used allows for the detection of proteins in the mid-femtogram range.

All lanes:

Western blot - Anti-Phosphoserine antibody [EPR28666-51] (<a href='/en-us/products/primary-antibodies/phosphoserine-antibody-epr28666-51-ab322140'>ab322140</a>) at 1/1000 dilution

Lane 1:

Untreated HeLa (human cervical adenocarcinoma epithelial cell) whole cell lysate at 60 µg

Lane 2:

HeLa treated with 100nM calyculin A for 30min) whole cell lysate at 60 µg

Lane 3:

Untreated B16-F0 (mouse melanoma epithelial-like cell) whole cell lysate at 60 µg

Lane 4:

B16-F0 treated with 1uM Okadaic Acid for 60min whole cell lysate at 60 µg

Lane 5:

Untreated Jurkat (human T cell leukemia T lymphocyte from peripheral blood) whole cell lysate at 60 µg

Lane 6:

Jurkat treated with 100nM Calyculin A for 30min whole cell lysate at 60 µg

Lane 7:

Untreated RAW 264.7 (mouse Abelson murine leukemia virus-induced tumor macrophage) whole cell lysate at 60 µg

Lane 8:

RAW 264.7 treated with 100nM Calyculin A for 30min) whole cell lysate at 60 µg

Secondary

All lanes:

Western blot - Goat Anti-Rabbit IgG H&L (HRP) (<a href='/en-us/products/secondary-antibodies/goat-rabbit-igg-h-l-hrp-ab97051'>ab97051</a>) at 1/20000 dilution

Observed band size: 25-300 kDa,36 kDa

true

Exposure time: 70s

Indirect ELISA - Anti-Phosphoserine antibody [EPR28666-51] - BSA and Azide free (AB324773)
  • I-ELISA

Supplier Data

Indirect ELISA - Anti-Phosphoserine antibody [EPR28666-51] - BSA and Azide free (AB324773)

This data was developed using ab322140, the same antibody clone in a different buffer formulation.

Indirect ELISA analysis of ab322140 at 1000-0 ng/ml. The Secondary antibody used was Alkaline Phosphatase-conjugated AffiniPure Goat Anti-Rabbit IgG (H+L) at 1 : 2500 dilution.

Antigen : Phosphoserine peptide Phosphothreonine peptide Phosphotyrosine peptide Non-phosphoserine peptide.

Antigen concentration : 1000 ng/ml

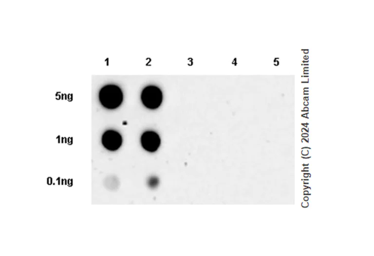
Dot Blot - Anti-Phosphoserine antibody [EPR28666-51] - BSA and Azide free (AB324773)
  • Dot

Supplier Data

Dot Blot - Anti-Phosphoserine antibody [EPR28666-51] - BSA and Azide free (AB324773)

This data was developed using ab322140, the same antibody clone in a different buffer formulation.

Dot blot analysis of Phosphoserine using ab322140 at 1 : 1000 (0.49 ug/ml) followed by a Goat Anti-Rabbit IgG (H+L) Peroxidase conjugated (ab97051) at 1 : 100000 dilution.

Lane1 : Phosphoserine peptide a
Lane2 : Phosphoserine peptide b
Lane3 : phosphothreonine peptide
Lane4 : phosphotyrosine peptide
Lane5 : Non-phosphoserine peptide

Exposure time : 180 seconds.

Blocking and diluting buffer and concentration : 5% NFDM/TBST.

All lanes:

Dot Blot - Anti-Phosphoserine antibody [EPR28666-51] (<a href='/en-us/products/primary-antibodies/phosphoserine-antibody-epr28666-51-ab322140'>ab322140</a>) at 1/1000 dilution

Lane 1:

Phosphoserine peptide a

Lane 2:

Phosphoserine peptide b

Lane 3:

phosphothreonine peptide

Lane 4:

phosphotyrosine peptide

Lane 5:

Non-phosphoserine peptide

Secondary

All lanes:

Dot Blot - Goat Anti-Rabbit IgG H&L (HRP) (<a href='/en-us/products/secondary-antibodies/goat-rabbit-igg-h-l-hrp-ab97051'>ab97051</a>) at 1/100000 dilution

false

Exposure time: 180s

Key facts

Host species

Rabbit

Clonality

Monoclonal

Clone number

EPR28666-51

Isotype

IgG

Carrier free

Yes

Reacts with

Human, Mouse

Applications

Dot, I-ELISA, IHC-P, WB

applications

Immunogen

The exact immunogen used to generate this antibody is proprietary information.

Reactivity data

{ "title": "Reactivity Data", "filters": { "stats": ["", "Species", "Dilution Info", "Notes"], "tabs": { "all-applications": {"fullname" : "All Applications", "shortname": "All Applications"}, "Dot" : {"fullname" : "Dot Blot", "shortname":"Dot"}, "IELISA" : {"fullname" : "Indirect ELISA", "shortname":"I-ELISA"}, "IHCP" : {"fullname" : "Immunohistochemistry (Formalin/PFA-fixed paraffin-embedded sections)", "shortname":"IHC-P"}, "WB" : {"fullname" : "Western blot", "shortname":"WB"} }, "product-promise": { "all": "all", "testedAndGuaranteed": "tested", "guaranteed": "expected", "predicted": "predicted", "notRecommended": "not-recommended" } }, "values": { "Human": { "Dot-species-checked": "guaranteed", "Dot-species-dilution-info": "", "Dot-species-notes": "", "IELISA-species-checked": "guaranteed", "IELISA-species-dilution-info": "", "IELISA-species-notes": "", "IHCP-species-checked": "testedAndGuaranteed", "IHCP-species-dilution-info": "", "IHCP-species-notes": "<p></p> Perform heat-mediated antigen retrieval with citrate buffer pH 6 before commencing with IHC staining protocol.", "WB-species-checked": "testedAndGuaranteed", "WB-species-dilution-info": "", "WB-species-notes": "<p></p>" }, "Mouse": { "Dot-species-checked": "guaranteed", "Dot-species-dilution-info": "", "Dot-species-notes": "", "IELISA-species-checked": "guaranteed", "IELISA-species-dilution-info": "", "IELISA-species-notes": "", "IHCP-species-checked": "testedAndGuaranteed", "IHCP-species-dilution-info": "", "IHCP-species-notes": "<p></p> Perform heat-mediated antigen retrieval with citrate buffer pH 6 before commencing with IHC staining protocol.", "WB-species-checked": "testedAndGuaranteed", "WB-species-dilution-info": "", "WB-species-notes": "<p></p>" }, "Synthetic peptide": { "Dot-species-checked": "testedAndGuaranteed", "Dot-species-dilution-info": "", "Dot-species-notes": "<p></p>", "IELISA-species-checked": "testedAndGuaranteed", "IELISA-species-dilution-info": "", "IELISA-species-notes": "<p></p>", "IHCP-species-checked": "notRecommended", "IHCP-species-dilution-info": "", "IHCP-species-notes": "", "WB-species-checked": "notRecommended", "WB-species-dilution-info": "", "WB-species-notes": "" } } }

Product details

ab324773 is the carrier-free version of ab322140.

Patented technology
Our RabMAb® technology is a patented hybridoma-based technology for making rabbit monoclonal antibodies. For details on our patents, please refer to RabMAb® patents.

What are the advantages of a recombinant monoclonal antibody?
This product is a recombinant monoclonal antibody, which offers several advantages including:

  • - High batch-to-batch consistency and reproducibility
  • - Improved sensitivity and specificity
  • - Long-term security of supply
  • - Animal-free batch production

For more information, read more on recombinant antibodies.

Conjugation ready
Our carrier-free antibodies are typically supplied in a PBS-only formulation, purified and free of BSA, sodium azide and glycerol. This conjugation-ready format is designed for use with fluorochromes, metal isotopes, oligonucleotides, and enzymes, which makes them ideal for antibody labelling, functional and cell-based assays, flow-based assays (e.g. mass cytometry) and Multiplex Imaging applications.

Use our conjugation kits for antibody conjugates that are ready-to-use in as little as 20 minutes with 1 minute hands-on-time and 100% antibody recovery: available for fluorescent dyes, HRP, biotin and gold.

Compatibility
This product is compatible with the Maxpar® Antibody Labeling Kit from Fluidigm, without the need for antibody preparation. Maxpar® is a trademark of Fluidigm Canada Inc.

Properties and storage information

Form
Liquid
Purification technique
Affinity purification Protein A
Storage buffer
pH: 7.2 - 7.4 Constituents: PBS
Shipped at conditions
Blue Ice
Appropriate short-term storage conditions
+4°C
Appropriate long-term storage conditions
+4°C

Product protocols

For this product, it's our understanding that no specific protocols are required. You can visit:

Product promise

We are committed to supporting your work with high-quality reagents, and we're here for you every step of the way. In the unlikely event that one of our products does not perform as expected, you're protected by our Product Promise.
For full details, please see our Terms & Conditions

Please note: All products are 'FOR RESEARCH USE ONLY. NOT FOR USE IN DIAGNOSTIC OR THERAPEUTIC PROCEDURES'.

For licensing inquiries, please contact partnerships@abcam.com