JavaScript is disabled in your browser. Please enable JavaScript to view this website.
AB179530

Anti-Phosphotyrosine antibody [EPR16871]

Be the first to review this product! Submit a review

|

(21 Publications)

Anti-Phosphotyrosine antibody [EPR16871] (ab179530) is a rabbit monoclonal antibody detecting Phosphotyrosine in Western Blot, Flow Cytometry (Intra), Flow Cytometry, IP, ICC/IF, ELISA, Dot Blot.

- Biophysical QC for unrivalled batch-batch consistency
- Over 10 publications

View Alternative Names

L-Phosphotyrosine, L-Tyrosine-O-phosphate, O-Phospho-L-tyrosine, O-Phosphotyrosine, Phospho-L-tyrosine, Phosphonotyrosine

11 Images
Flow Cytometry (Intracellular) - Anti-Phosphotyrosine antibody [EPR16871] (AB179530)
  • Flow Cyt (Intra)

Supplier Data

Flow Cytometry (Intracellular) - Anti-Phosphotyrosine antibody [EPR16871] (AB179530)

Intracellular flow cytometric analysis of 2% paraformaldehyde-fixed Pervanadate (50mM, 30min.) treated (orange)/untreated (red)A431 (Human epidermoid carcinoma) cells labeling Phosphotyrosine with ab179530 at 1/160 dilutioncompared with a rabbit monoclonal IgG control (black) and an unlabelled control (cells without incubation with primary antibody and secondary antibody; blue). Goat anti rabbit IgG (FITC) at 1/150 dilution was used as the secondary antibody.

Immunocytochemistry/ Immunofluorescence - Anti-Phosphotyrosine antibody [EPR16871] (AB179530)
  • ICC/IF

Supplier Data

Immunocytochemistry/ Immunofluorescence - Anti-Phosphotyrosine antibody [EPR16871] (AB179530)

Immunofluorescent analysis of 4% paraformaldehyde-fixed, 0.1% Triton X-100 permeabilized C2C12 (Mouse myoblast cell line) cells labeling Phosphotyrosine with ab179530 at 1/100 dilution, followed by Goat anti-rabbit IgG (Alexa Fluor® 488) (ab150077) secondary antibody at 1/400 dilution (green). Cytoplasm staining on C2C12 cells is observed. The expression increased after treatment with H2O2 (2mM) for 10 minutes. The nuclear counterstain is DAPI (blue). Tubulin is detected with ab7291 (anti-Tubulin mouse mAb) at 1/500 dilution and ab150120 (AlexaFluor®594 Goat anti-Mouse secondary) at 1/500 dilution (red).
The negative controls are as follows : -
-ve control 1 : - ab179530 at 1/100 dilution followed by ab150120 (AlexaFluor®594 Goat anti-Mouse secondary) at 1/500 dilution.
-ve control 2 : - ab7291 (anti-Tubulin mouse mAb) at 1/500 dilution followed by ab150077 (Alexa Fluor®488 Goat Anti-Rabbit IgG H&L) at 1/400 dilution.

Western blot - Anti-Phosphotyrosine antibody [EPR16871] (AB179530)
  • WB

Supplier Data

Western blot - Anti-Phosphotyrosine antibody [EPR16871] (AB179530)

Multiple bands represent phosph-tyrosine containing proteins detected by ab179530.

Blocking/Dilution buffer : 5% NFDM/TBST.

All lanes:

Western blot - Anti-Phosphotyrosine antibody [EPR16871] (ab179530) at 1/10000 dilution

Lane 1:

A431 (Human epidermoid carcinoma) whole cell lysates treated with 50mM pervanadate for 30 minutes at 10 µg

Lane 2:

Untreated A431 whole cell lysates at 10 µg

Secondary

All lanes:

Goat Anti-Rabbit IgG, (H+L),Peroxidase conjugated at 1/1000 dilution

false

Western blot - Anti-Phosphotyrosine antibody [EPR16871] (AB179530)
  • WB

Supplier Data

Western blot - Anti-Phosphotyrosine antibody [EPR16871] (AB179530)

Multiple bands represent phosph-tyrosine containing proteins detected by ab179530

All lanes:

Western blot - Anti-Phosphotyrosine antibody [EPR16871] (ab179530) at 1/1000 dilution

Lane 1:

Jurkat (Human T cell leukemia cells from peripheral blood) whole cell lysates treated with 1mM pervanadate for 20minutes at 10 µg

Lane 2:

Untreated Jurkat whole cell lysates at 10 µg

Secondary

All lanes:

Goat Anti-Rabbit IgG (H+L) Peroxidase conjugated at 1/1000 dilution

false

Immunoprecipitation - Anti-Phosphotyrosine antibody [EPR16871] (AB179530)
  • IP

Supplier Data

Immunoprecipitation - Anti-Phosphotyrosine antibody [EPR16871] (AB179530)

Phosphotyrosine was immunoprecipitated from 1mg of A431 (Human epidermoid carcinoma) whole cell extract treated with 1mM pervanadate for 30 minutes with ab179530 at 1/100 dilution. Western blot was performed from the immunoprecipitate using ab179530 at 1/1000 dilution. Anti-Rabbit IgG (HRP), specific to the non-reduced form of IgG, was used as secondary antibody at 1/1500 dilution. Lane 1 : A431 treated with 1mM pervanadate for 30 minutes whole cell extract. Lane 2 : PBS instead of A431 whole cell extract.

Blocking and dilution buffer and concentration : 5% NFDM/TBST.
Multiple bands represent phosph-tyrosine containing proteins precipitated and detected by ab179530.

All lanes:

Immunoprecipitation - Anti-Phosphotyrosine antibody [EPR16871] (ab179530)

false

ELISA - Anti-Phosphotyrosine antibody [EPR16871] (AB179530)
  • ELISA

Lab

ELISA - Anti-Phosphotyrosine antibody [EPR16871] (AB179530)

Serially diluted ab179530 was bound to immobilised phospho- or control peptides (STAT1 (phospho S727), STAT1 control, STAT5 (phospho T694), STAT5 control); 1 microgram per mL).

The antibody was detected by Goat anti-Rabbit HRPO and signal was developed by TMB substrate.

ELISA - Anti-Phosphotyrosine antibody [EPR16871] (AB179530)
  • ELISA

Supplier Data

ELISA - Anti-Phosphotyrosine antibody [EPR16871] (AB179530)

ELISA analysis of various antigens (1 μg/ml) using ab179530 at 1/6400 dilution followed by Alkaline Phosphatase-conjugated Goat Anti-Rabbit IgG (H+L) at 1/2500 dilution.

S/N = signal-to-noise ratio of phospho- versus nonphospho-peptides.

Western blot - Anti-Phosphotyrosine antibody [EPR16871] (AB179530)
  • WB

Supplier Data

Western blot - Anti-Phosphotyrosine antibody [EPR16871] (AB179530)

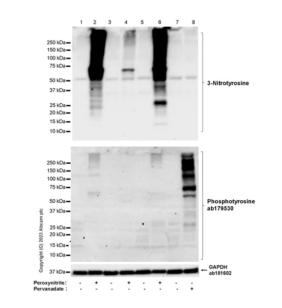
Blocking and diluting buffer and concentration : 5% NFDM/TBST The identity of the bands around 50 kDa are unknown. In Western blot, Anti-GAPDH antibody [EPR16891] - Loading Control (ab181602) staining at 1/200000 dilution. In Western blot, Anti-phosphotyrosine antibody [EPR16871] (ab179530) staining at 1/1000 dilution.

All lanes:

Western blot - Anti-3-Nitrotyrosine antibody [EPR27217-88] (<a href='/en-us/products/primary-antibodies/3-nitrotyrosine-antibody-epr27217-88-ab314438'>ab314438</a>) at 1/1000 dilution

Lanes 1 and 7:

Untreated HeLa (human cervix adenocarcinoma epithelial cell) whole cell lysate at 20 µg

Lane 2:

HeLa treated with 3 mM peroxynitrite for 30 minutes whole cell lysate at 20 µg

Lane 3:

Untreated NIH/3T3 (mouse embryonic fibroblast) whole cell lysate at 20 µg

Lane 4:

NIH/3T3 treated with 3 mM peroxynitrite for 30 minutes whole cell lysate at 20 µg

Lane 5:

Untreated PC-12 (rat adrenal gland pheochromocytoma cell) whole cell lysate at 20 µg

Lane 6:

PC-12 treated with 3 mM peroxynitrite for 30 minutes whole cell lysate at 20 µg

Lane 8:

HeLa treated with 1 mM pervanadate for 30 minutes whole cell lysate at 20 µg

Secondary

All lanes:

Western blot - Goat Anti-Rabbit IgG H&L (HRP) (<a href='/en-us/products/secondary-antibodies/goat-rabbit-igg-h-l-hrp-ab97051'>ab97051</a>) at 1/100000 dilution

Observed band size: 1-250 kDa

false

Exposure time: 37s

Western blot - Anti-Phosphotyrosine antibody [EPR16871] (AB179530)
  • WB

Supplier Data

Western blot - Anti-Phosphotyrosine antibody [EPR16871] (AB179530)

Multiple bands represent phosph-tyrosine containing proteins detected by ab179530.

Blocking/Dilution buffer : 5% NFDM/TBST.

All lanes:

Western blot - Anti-Phosphotyrosine antibody [EPR16871] (ab179530) at 1/1000 dilution

Lane 1:

NIH/3T3 (Mouse embyro fibroblast cells) whole cell lysates treated with 1mM pervanadate for 10 minutes at 10 µg

Lane 2:

Untreated NIH/3T3 whole cell lysates at 10 µg

Secondary

All lanes:

Goat Anti-Rabbit IgG, (H+L),Peroxidase conjugated at 1/1000 dilution

false

Western blot - Anti-Phosphotyrosine antibody [EPR16871] (AB179530)
  • WB

Supplier Data

Western blot - Anti-Phosphotyrosine antibody [EPR16871] (AB179530)

Multiple bands represent phosph-tyrosine containing proteins detected by ab179530.

Blocking/Dilution buffer : 5% NFDM/TBST.

All lanes:

Western blot - Anti-Phosphotyrosine antibody [EPR16871] (ab179530) at 1/1000 dilution

Lane 1:

L6 (Rat skeletal muscle cell line) whole cell lysates treated with 1mM pervanadate for 20 minutes at 10 µg

Lane 2:

Untreated L6 whole cell lysates at 10 µg

Secondary

All lanes:

Goat Anti-Rabbit IgG, (H+L),Peroxidase conjugated at 1/1000 dilution

false

Dot Blot - Anti-Phosphotyrosine antibody [EPR16871] (AB179530)
  • Dot

Lab

Dot Blot - Anti-Phosphotyrosine antibody [EPR16871] (AB179530)

Dot blot analysis of INSR/IGF-1R (pY1009) phospho peptide (lane 1) and INSR/IGF-1R non-phospho peptide (lane 2) labelling Phosphotyrosine with ab179530 at a dilution of 1/1000. A peroxidase-conjugated goat anti-rabbit IgG (H+L) was used as the secondary antibody (1/2500).

Blocking and dilution buffer : 5% NFDM/TBST.

Exposure time : 3 minutes.

Key facts

Host species

Rabbit

Clonality

Monoclonal

Clone number

EPR16871

Isotype

IgG

Carrier free

No

Applications

Dot, WB, ELISA, IP, ICC/IF, Flow Cyt (Intra)

applications

Immunogen

The exact immunogen used to generate this antibody is proprietary information.

Reactivity data

{ "title": "Reactivity Data", "filters": { "stats": ["", "Species", "Dilution Info", "Notes"], "tabs": { "all-applications": {"fullname" : "All Applications", "shortname": "All Applications"}, "IP" : {"fullname" : "Immunoprecipitation", "shortname":"IP"}, "ELISA" : {"fullname" : "ELISA", "shortname":"ELISA"}, "Dot" : {"fullname" : "Dot Blot", "shortname":"Dot"}, "WB" : {"fullname" : "Western blot", "shortname":"WB"}, "ICCIF" : {"fullname" : "Immunocytochemistry/ Immunofluorescence", "shortname":"ICC/IF"}, "FlowCytIntra" : {"fullname" : "Flow Cytometry (Intracellular)", "shortname":"Flow Cyt (Intra)"} }, "product-promise": { "all": "all", "testedAndGuaranteed": "tested", "guaranteed": "expected", "predicted": "predicted", "notRecommended": "not-recommended" } }, "values": { "Modified Amino Acid": { "IP-species-checked": "testedAndGuaranteed", "IP-species-dilution-info": "1/100", "IP-species-notes": "<p></p>", "ELISA-species-checked": "testedAndGuaranteed", "ELISA-species-dilution-info": "1/6400", "ELISA-species-notes": "<p></p>", "Dot-species-checked": "notRecommended", "Dot-species-dilution-info": "", "Dot-species-notes": "", "WB-species-checked": "testedAndGuaranteed", "WB-species-dilution-info": "1/1000", "WB-species-notes": "<p></p>", "ICCIF-species-checked": "testedAndGuaranteed", "ICCIF-species-dilution-info": "1/100", "ICCIF-species-notes": "<p></p>", "FlowCytIntra-species-checked": "testedAndGuaranteed", "FlowCytIntra-species-dilution-info": "1/160", "FlowCytIntra-species-notes": "<p><a href='/en-us/products/primary-antibodies/rabbit-igg-monoclonal-epr25a-isotype-control-ab172730'>ab172730</a> - Rabbit monoclonal IgG, is suitable for use as an isotype control with this antibody.</p>" }, "Synthetic peptide": { "IP-species-checked": "notRecommended", "IP-species-dilution-info": "", "IP-species-notes": "", "ELISA-species-checked": "notRecommended", "ELISA-species-dilution-info": "", "ELISA-species-notes": "", "Dot-species-checked": "testedAndGuaranteed", "Dot-species-dilution-info": "1/1000", "Dot-species-notes": "<p></p>", "WB-species-checked": "notRecommended", "WB-species-dilution-info": "", "WB-species-notes": "", "ICCIF-species-checked": "notRecommended", "ICCIF-species-dilution-info": "", "ICCIF-species-notes": "", "FlowCytIntra-species-checked": "notRecommended", "FlowCytIntra-species-dilution-info": "", "FlowCytIntra-species-notes": "" } } }

Product details

What is this antibody validated in?
Anti-Phosphotyrosine antibody [EPR16871] (ab179530) is a rabbit recombinant monoclonal antibody and is validated for use in Western Blot (WB), Flow Cytometry (Intra), Flow Cytometry (Flow Cyt), Immunoprecipitation (IP), Immunocytochemistry/immunofluorescence (ICC/IF), ELISA, Dot Blot. Trusted by the scientific community
Anti-Phosphotyrosine [EPR16871] (ab179530) was first used in a scientific publication in 2014 and has been cited over 10 times in peer-reviewed journals.

Trial sizes available!
Test your antibody or perform pre-screening before committing to a larger quantity. Sold in 10µl. Discover our selection of trial-size antibodies.

Other related products
We have a range of other formats of antibody clone [EPR16871] also available for your convenience: ab179530, Alexa Fluor® 488 - ab205479, Alexa Fluor® 647 - ab205480, Biotin - ab222255, Carrier free - ab240219

Patented technology
Our RabMAb® technology is a patented hybridoma-based technology for making rabbit monoclonal antibodies. For details on our patents, please refer to RabMAb® patents.

What are the advantages of a recombinant monoclonal antibody?
This product is a recombinant monoclonal antibody, which offers several advantages including:

  • - High batch-to-batch consistency and reproducibility
  • - Improved sensitivity and specificity
  • - Long-term security of supply
  • - Animal-free batch production

For more information, read more on recombinant antibodies.

Properties and storage information

Form
Liquid
Purification technique
Affinity purification Protein A
Storage buffer
Preservative: 0.01% Sodium azide Constituents: PBS, 40% Glycerol (glycerin, glycerine), 0.05% BSA
Shipped at conditions
Blue Ice
Appropriate short-term storage duration
1-2 weeks
Appropriate short-term storage conditions
+4°C
Appropriate long-term storage conditions
-20°C
Aliquoting information
Upon delivery aliquot
Storage information
Avoid freeze / thaw cycle

Supplementary information

This supplementary information is collated from multiple sources and compiled automatically.

Phosphotyrosine also known simply as pY is a post-translational modification where a phosphate group binds to the hydroxyl group of a tyrosine amino acid in proteins. This small modification can have a huge impact on proteins' function and interaction. Phosphotyrosine has a molecular weight of approximately 216 Da when it stands on its own. This modification can occur in various proteins expressed widely across tissues playing a role in signaling cell division and morphological changes.
Biological function summary

Phosphorylated tyrosine residues modify the function and activity of proteins within cells. It is a critical component of signal transduction pathways and can alter protein functions when becoming part of large protein complexes. It often regulates receptor proteins and intracellular kinases modifying their ability to interact with other proteins like SH2 and PTB domain-containing proteins. Phosphotyrosine antibodies like anti-phosphotyrosine Ig2 are helpful research tools for detecting these modifications.

Pathways

The modification of tyrosine to phosphotyrosine participates significantly in pathways such as the MAPK/ERK pathway and the PI3K/AKT pathway. These pathways are important for various cellular processes including growth and survival. Proteins like EGFR and PDGFR regulate signaling cascades by phosphorylation of tyrosine residues and often interact with phosphotyrosine and phosphotyrosine antibodies importantly.

The dysregulation of phosphotyrosine levels contributes to conditions like cancer and diabetes. Aberrant activation or overexpression of phosphotyrosine residues on receptors like HER2 and insulin receptors can promote uncontrolled cell proliferation often seen in tumors and contribute to insulin resistance respectively. As such phosphotyrosine serves not only as a biological target but also as a potential therapeutic target in the treatment of these disorders.

Product protocols

For this product, it's our understanding that no specific protocols are required. You can visit:

Publications (21)

Recent publications for all applications. Explore the full list and refine your search

Frontiers in veterinary science 12:1543459 PubMed40151572

2025

Ultrastructural evidence for the activation of autophagy and analysis of the protective role of autophagy in goat spermatozoa under liquid storage.

Applications

Unspecified application

Species

Unspecified reactive species

Tengfei Liu,Jincong Niu,Yuqi Huang,Hong Chen,Yongjie Wu,Yongping Xu

Nature communications 14:6117 PubMed37777542

2023

IGF1R-phosphorylated PYCR1 facilitates ELK4 transcriptional activity and sustains tumor growth under hypoxia.

Applications

Unspecified application

Species

Unspecified reactive species

Ke Zheng,Nannan Sha,Guofang Hou,Zhuyun Leng,Qin Zhao,Li Zhang,Lingnan He,Meidong Xu,Yuhui Jiang,Tao Chen

The EMBO journal 42:e112675 PubMed37092319

2023

Glutamate dehydrogenase1 supports HIF-1α stability to promote colorectal tumorigenesis under hypoxia.

Applications

Unspecified application

Species

Unspecified reactive species

Kunhua Hu,Yufeng Ding,Hongwen Zhu,Xiaoqian Jing,Weiling He,Hua Yu,Xiongjun Wang

Nature communications 14:1185 PubMed36864027

2023

N-methyladenosine of Spi2a attenuates inflammation and sepsis-associated myocardial dysfunction in mice.

Applications

Unspecified application

Species

Unspecified reactive species

Xiangyu Wang,Yan Ding,Ran Li,Rujun Zhang,Xuejun Ge,Ruifang Gao,Miao Wang,Yubing Huang,Fang Zhang,Bin Zhao,Wang Liao,Jie Du

Plant communications 4:100559 PubMed36774537

2023

Structural and biochemical basis of Arabidopsis FERONIA receptor kinase-mediated early signaling initiation.

Applications

Unspecified application

Species

Unspecified reactive species

Yanqiong Kong,Jia Chen,Lingli Jiang,Hong Chen,Yanan Shen,Lifeng Wang,Yujie Yan,Huan Zhou,Heping Zheng,Feng Yu,Zhenhua Ming

eLife 11: PubMed35686730

2022

Tyrosine phosphorylation tunes chemical and thermal sensitivity of TRPV2 ion channel.

Applications

Unspecified application

Species

Unspecified reactive species

Xiaoyi Mo,Peiyuan Pang,Yulin Wang,Dexiang Jiang,Mengyu Zhang,Yang Li,Peiyu Wang,Qizhi Geng,Chang Xie,Hai-Ning Du,Bo Zhong,Dongdong Li,Jing Yao

Frontiers in genetics 12:764509 PubMed34956319

2021

Screening and Functional Analysis of TEK Mutations in Chinese Children With Primary Congenital Glaucoma.

Applications

Unspecified application

Species

Unspecified reactive species

Yunsheng Qiao,Yuhong Chen,Chen Tan,Xinghuai Sun,Xueli Chen,Junyi Chen

Cells 10: PubMed34831356

2021

Morphological Alterations and Stress Protein Variations in Lung Biopsies Obtained from Autopsies of COVID-19 Subjects.

Applications

Unspecified application

Species

Unspecified reactive species

Rosario Barone,Antonella Marino Gammazza,Letizia Paladino,Alessandro Pitruzzella,Giulio Spinoso,Monica Salerno,Francesco Sessa,Cristoforo Pomara,Francesco Cappello,Francesca Rappa

Cancer immunology, immunotherapy : CII 70:3261-3275 PubMed33837850

2021

RB1CC1 functions as a tumor-suppressing gene in renal cell carcinoma via suppression of PYK2 activity and disruption of TAZ-mediated PDL1 transcription activation.

Applications

Unspecified application

Species

Unspecified reactive species

Pingfeng Chen,Youjun Duan,Xinsheng Lu,Libo Chen,Wang Zhang,Hao Wang,Rong Hu,Shimin Liu

Clinical and translational medicine 11:e337 PubMed33783993

2021

Aptamer-SH2 superbinder-based targeted therapy for pancreatic ductal adenocarcinoma.

Applications

Unspecified application

Species

Unspecified reactive species

An-Dong Liu,Jie Zhou,Xiao-Yang Bi,Guo-Qing Hou,Shawn Shun-Cheng Li,Qing Chen,Hui Xu,Xuan Cao
View all publications

Product promise

We are committed to supporting your work with high-quality reagents, and we're here for you every step of the way. In the unlikely event that one of our products does not perform as expected, you're protected by our Product Promise.
For full details, please see our Terms & Conditions

Please note: All products are 'FOR RESEARCH USE ONLY. NOT FOR USE IN DIAGNOSTIC OR THERAPEUTIC PROCEDURES'.

For licensing inquiries, please contact partnerships@abcam.com