JavaScript is disabled in your browser. Please enable JavaScript to view this website.
AB269515

Anti-Phosphotyrosine antibody [Py72]

Be the first to review this product! Submit a review

|

(0 Publication)

Mouse Recombinant Monoclonal Phosphotyrosine antibody. Suitable for IP, WB and reacts with Modified Amino Acid samples.

View Alternative Names

L-Phosphotyrosine, L-Tyrosine-O-phosphate, O-Phospho-L-tyrosine, O-Phosphotyrosine, Phospho-L-tyrosine, Phosphonotyrosine

3 Images
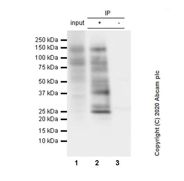
Immunoprecipitation - Anti-Phosphotyrosine antibody [Py72] (AB269515)
  • IP

Unknown

Immunoprecipitation - Anti-Phosphotyrosine antibody [Py72] (AB269515)

Phosphotyrosine was immunoprecipitated from MCF7 (human breast adenocarcinoma epithelial cell), treated with 1mM pervanadate for 20 minutes, whole cell lysates, with ab269515 at 1/30 dilution (2μg in 0.35mg lysates, (32.667μg/ml)). Western blot was performed on the immunoprecipitate using ab269515 at 1/1000 dilution (0.196μg/ml). VeriBlot for IP Detection Reagent (HRP)(ab131366) was used at 1/5000 dilution.

Lane 1 : MCF7 treated with 1mM pervanadate for 20 mins, whole cell lysates, 10μg.

Lane 2 : ab269515 IP in MCF7 treated with 1mM pervanadate for 20 mins, whole cell lysates.

Lane 3 : Mouse monoclonal IgG1 (ab18443) instead of ab269515 in MCF7 treated with 1mM pervanadate for 20 mins, whole cell lysates.

Blocking and dilution buffer and concentration : 5% NFDM/TBST.

Exposure time : 1 second.

Multiple bands represent phosph-tyrosine containing proteins precipitated and detected by ab269515.

All lanes:

Immunoprecipitation - Anti-Phosphotyrosine antibody [Py72] (ab269515)

false

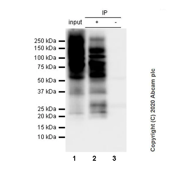
Immunoprecipitation - Anti-Phosphotyrosine antibody [Py72] (AB269515)
  • IP

Unknown

Immunoprecipitation - Anti-Phosphotyrosine antibody [Py72] (AB269515)

Phosphotyrosine was immunoprecipitated from NIH/3T3 (Mouse embyro fibroblast cells), treated with 10mM pervanadate for 20 minutes, whole cell lysates, with ab269515 at 1/30 dilution (2μg in 0.35mg lysates, (32.667μg/ml)). Western blot was performed on the immunoprecipitate using ab269515 at 1/1000 dilution (0.196μg/ml). VeriBlot for IP Detection Reagent (HRP)(ab131366) was used at 1/5000 dilution.

Lane 1 : NIH/3T3 treated with 10mM pervanadate for 20 mins, whole cell lysates, 10μg.

Lane 2 : ab269515 IP in NIH/3T3 treated with 10mM pervanadate for 20 mins, whole cell lysates.

Lane 3 : Mouse monoclonal IgG1 (ab18443) instead of ab269515 in NIH/3T3 treated with 10mM pervanadate for 20 mins, whole cell lysates.

Blocking and dilution buffer and concentration : 5% NFDM/TBST.

Exposure time : 1 second.

Multiple bands represent phosph-tyrosine containing proteins precipitated and detected by ab269515.

All lanes:

Immunoprecipitation - Anti-Phosphotyrosine antibody [Py72] (ab269515)

false

Western blot - Anti-Phosphotyrosine antibody [Py72] (AB269515)
  • WB

Lab

Western blot - Anti-Phosphotyrosine antibody [Py72] (AB269515)

Multiple bands represent phosph-tyrosine containing proteins detected by ab269515.

Blocking/Dilution buffer : 5% NFDM/TBST.

Exposure times : Lanes 1-4 : 3.25 secs; Lanes 5-6 : 3 mins.

All lanes:

Western blot - Anti-Phosphotyrosine antibody [Py72] (ab269515) at 0.196 µg/mL

Lane 1:

NIH/3T3 (mouse embryonic fibroblast), whole cell lysate at 20 µg

Lane 2:

NIH/3T3 treated with 10mM pervanadate for 20 minutes, whole cell lysates at 20 µg

Lane 3:

Daudi (human Burkitt's lymphoma lymphoblast), whole cell lysate at 20 µg

Lane 4:

Daudi treated with 10mM pervanadate for 30 minutes, whole cell lysates at 20 µg

Lane 5:

MCF7 (human breast adenocarcinoma epithelial cell), whole cell lysate at 20 µg

Lane 6:

MCF7 treated with 1mM pervanadate for 20 minutes, whole cell lysates at 20 µg

Secondary

All lanes:

Peroxidase-Conjugated Goat anti-Mouse IgG (H+L) at 1/100000 dilution

false

  • Carrier free

    Anti-Phosphotyrosine antibody [Py72] - BSA and Azide free

Key facts

Host species

Mouse

Clonality

Monoclonal

Clone number

Py72

Isotype

IgG1

Carrier free

No

Applications

WB, IP

applications

Immunogen

The exact immunogen used to generate this antibody is proprietary information.

Reactivity data

{ "title": "Reactivity Data", "filters": { "stats": ["", "Species", "Dilution Info", "Notes"], "tabs": { "all-applications": {"fullname" : "All Applications", "shortname": "All Applications"}, "IP" : {"fullname" : "Immunoprecipitation", "shortname":"IP"}, "WB" : {"fullname" : "Western blot", "shortname":"WB"} }, "product-promise": { "all": "all", "testedAndGuaranteed": "tested", "guaranteed": "expected", "predicted": "predicted", "notRecommended": "not-recommended" } }, "values": { "Modified Amino Acid": { "IP-species-checked": "testedAndGuaranteed", "IP-species-dilution-info": "32.667 µg/mL", "IP-species-notes": "<p></p>", "WB-species-checked": "testedAndGuaranteed", "WB-species-dilution-info": "0.196 µg/mL", "WB-species-notes": "<p></p>" } } }

Product details

What are the advantages of a recombinant monoclonal antibody?
This product is a recombinant monoclonal antibody, which offers several advantages including:

  • - High batch-to-batch consistency and reproducibility
  • - Improved sensitivity and specificity
  • - Long-term security of supply
  • - Animal-free batch production

For more information, read more on recombinant antibodies.

Want a custom formulation?
This antibody clone is manufactured by Abcam. If you require a custom buffer formulation or conjugation for your experiments, please contact orders@abcam.com

Properties and storage information

Form
Liquid
Purification technique
Affinity purification Protein A
Storage buffer
pH: 7.2 - 7.4 Preservative: 0.01% Sodium azide Constituents: PBS, 40% Glycerol (glycerin, glycerine), 0.05% BSA
Shipped at conditions
Blue Ice
Appropriate short-term storage duration
1-2 weeks
Appropriate short-term storage conditions
+4°C
Appropriate long-term storage conditions
-20°C
Aliquoting information
Upon delivery aliquot
Storage information
Avoid freeze / thaw cycle

Supplementary information

This supplementary information is collated from multiple sources and compiled automatically.

Phosphotyrosine also known simply as pY is a post-translational modification where a phosphate group binds to the hydroxyl group of a tyrosine amino acid in proteins. This small modification can have a huge impact on proteins' function and interaction. Phosphotyrosine has a molecular weight of approximately 216 Da when it stands on its own. This modification can occur in various proteins expressed widely across tissues playing a role in signaling cell division and morphological changes.
Biological function summary

Phosphorylated tyrosine residues modify the function and activity of proteins within cells. It is a critical component of signal transduction pathways and can alter protein functions when becoming part of large protein complexes. It often regulates receptor proteins and intracellular kinases modifying their ability to interact with other proteins like SH2 and PTB domain-containing proteins. Phosphotyrosine antibodies like anti-phosphotyrosine Ig2 are helpful research tools for detecting these modifications.

Pathways

The modification of tyrosine to phosphotyrosine participates significantly in pathways such as the MAPK/ERK pathway and the PI3K/AKT pathway. These pathways are important for various cellular processes including growth and survival. Proteins like EGFR and PDGFR regulate signaling cascades by phosphorylation of tyrosine residues and often interact with phosphotyrosine and phosphotyrosine antibodies importantly.

The dysregulation of phosphotyrosine levels contributes to conditions like cancer and diabetes. Aberrant activation or overexpression of phosphotyrosine residues on receptors like HER2 and insulin receptors can promote uncontrolled cell proliferation often seen in tumors and contribute to insulin resistance respectively. As such phosphotyrosine serves not only as a biological target but also as a potential therapeutic target in the treatment of these disorders.

Product protocols

For this product, it's our understanding that no specific protocols are required. You can visit:

Product promise

We are committed to supporting your work with high-quality reagents, and we're here for you every step of the way. In the unlikely event that one of our products does not perform as expected, you're protected by our Product Promise.
For full details, please see our Terms & Conditions

Please note: All products are 'FOR RESEARCH USE ONLY. NOT FOR USE IN DIAGNOSTIC OR THERAPEUTIC PROCEDURES'.

For licensing inquiries, please contact partnerships@abcam.com