JavaScript is disabled in your browser. Please enable JavaScript to view this website.
AB183741

Anti-PHOX2B antibody [EPR14423] - C-terminal

5

(5 Reviews)

|

(21 Publications)

Anti-PHOX2B antibody [EPR14423] - C-terminal (ab183741) is a rabbit monoclonal antibody detecting PHOX2B in Western Blot, IHC-P, ICC/IF. Suitable for Human, Mouse.

- Biophysical QC for unrivalled batch-batch consistency
- Over 10 publications

View Alternative Names

PMX2B, PHOX2B, Paired mesoderm homeobox protein 2B, Neuroblastoma Phox, PHOX2B homeodomain protein, Paired-like homeobox 2B, NBPhox

6 Images
Immunocytochemistry/ Immunofluorescence - Anti-PHOX2B antibody [EPR14423] - C-terminal (AB183741)
  • ICC/IF

Supplier Data

Immunocytochemistry/ Immunofluorescence - Anti-PHOX2B antibody [EPR14423] - C-terminal (AB183741)

Immunofluorescence analysis of 4% paraformaldehyde-fixed SH-SY5Y cells labeling PHOX2B with ab183741 at 1/100 dilution (red). Goat anti-rabbit IgG (Alexa Fluor® 555) at 1/200 dilution was used as the secondary antibody. The slide on the right is stained with Dapi (blue).

Immunocytochemistry/ Immunofluorescence - Anti-PHOX2B antibody [EPR14423] - C-terminal (AB183741)
  • ICC/IF

Supplier Data

Immunocytochemistry/ Immunofluorescence - Anti-PHOX2B antibody [EPR14423] - C-terminal (AB183741)

Immunofluorescence analysis of acetone-fixed HeLa cells labeling PHOX2B with ab183741 at 1/100 dilution (red). Goat anti-rabbit IgG (Alexa Fluor® 555) at 1/200 dilution was used as the secondary antibody. The slide on the right is stained with Dapi (blue).

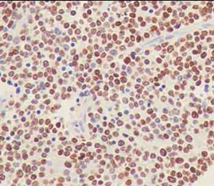
Immunohistochemistry (Formalin/PFA-fixed paraffin-embedded sections) - Anti-PHOX2B antibody [EPR14423] - C-terminal (AB183741)
  • IHC-P

Supplier Data

Immunohistochemistry (Formalin/PFA-fixed paraffin-embedded sections) - Anti-PHOX2B antibody [EPR14423] - C-terminal (AB183741)

Immunohistochemical analysis of paraffin-embedded Human neuroblastoma tissue labeling PHOX2B with ab183741 at 1/1000 dilution. The slide is counterstained with Hematoxylin.

Perform heat mediated antigen retrieval with EDTA buffer pH 9 before commencing with IHC staining protocol.

Immunohistochemistry (Formalin/PFA-fixed paraffin-embedded sections) - Anti-PHOX2B antibody [EPR14423] - C-terminal (AB183741)
  • IHC-P

Lab

Immunohistochemistry (Formalin/PFA-fixed paraffin-embedded sections) - Anti-PHOX2B antibody [EPR14423] - C-terminal (AB183741)

Immunohistochemical analysis of formalin fixed paraffin embedded human adrenal labelling PHOX2B with ab183741 at a concentration of 3μg/ml. The immunostaining was performed on a Ventana DISCOVERY ULTRA (Roche Tissue Diagnostics) instrument with a OptiView DAB IHC Detection Kit. Heat mediated antigen retrieval was performed with DISCOVERY cell conditioning solution (CC1) 100°C, pH8.5 for 32mins.

ab183741 Anti-PHOX2B antibody [EPR14423] antibody was incubated for 16mins at 37°C. Sections were counterstained with Hematoxylin II. Image inset shows absence of staining in secondary antibody only control.

Customers are encouraged to optimise antigen retrieval conditions, antibody concentration, incubation times and temperature for best results in their own IHC assay workflow (automated and manual).

Immunocytochemistry/ Immunofluorescence - Anti-PHOX2B antibody [EPR14423] - C-terminal (AB183741)
  • ICC/IF

Lab

Immunocytochemistry/ Immunofluorescence - Anti-PHOX2B antibody [EPR14423] - C-terminal (AB183741)

Immunofluorescent analysis of 4% Paraformaldehyde-fixed, 0.1% Triton X-100 permeabilized Neuro-2a (mouse neuroblastoma neuroblast) cell line labelling PHOX2B with ab183741 at 1/100 (10 μg/ml) dilution, followed by ab150077 Goat Anti-Rabbit IgG H&L (Alexa Fluor® 488) antibody at 1/1000 dilution (Green).

Confocal image showing nuclear staining in Neuro-2a cell line.

ab195889 Anti-alpha Tubulin mouse monoclonal antibody - Microtubule Marker (Alexa Fluor® 594) was used to counterstain tubulin at 1/200 dilution (Red). The nuclear counterstain was DAPI (Blue).

Secondary antibody only control : Secondary antibody is ab150077 Goat Anti-Rabbit IgG H&L (Alexa Fluor® 488) at 1/1000 dilution.

Western blot - Anti-PHOX2B antibody [EPR14423] - C-terminal (AB183741)
  • WB

Supplier Data

Western blot - Anti-PHOX2B antibody [EPR14423] - C-terminal (AB183741)

All lanes:

Western blot - Anti-PHOX2B antibody [EPR14423] - C-terminal (ab183741) at 1/1000 dilution

Lane 1:

Neuro-2a cell lysate at 20 µg

Lane 2:

SH-SY5Y cell lysate at 20 µg

Secondary

All lanes:

Goat Anti-Rabbit IgG, (H+L), Peroxidase conjugated at 1/1000 dilution

Predicted band size: 32 kDa

false

  • 617 Alexa Fluor® 594

    Alexa Fluor® 594 Anti-PHOX2B antibody [EPR14423] - C-terminal

  • 519 Alexa Fluor® 488

    Alexa Fluor® 488 Anti-PHOX2B antibody [EPR14423] - C-terminal

  • Carrier free

    Anti-PHOX2B antibody [EPR14423] - BSA and Azide free

  • 603 Alexa Fluor® 568

    Alexa Fluor® 568 Anti-PHOX2B antibody [EPR14423] - C-terminal

  • 565 Alexa Fluor® 555

    Alexa Fluor® 555 Anti-PHOX2B antibody [EPR14423] - C-terminal

  • 665 Alexa Fluor® 647

    Alexa Fluor® 647 Anti-PHOX2B antibody [EPR14423] - C-terminal

  • 775 Alexa Fluor® 750

    Alexa Fluor® 750 Anti-PHOX2B antibody [EPR14423] - C-terminal

Key facts

Host species

Rabbit

Clonality

Monoclonal

Clone number

EPR14423

Isotype

IgG

Carrier free

No

Reacts with

Mouse, Human

Applications

WB, ICC/IF, IHC-P

applications

Immunogen

The exact immunogen used to generate this antibody is proprietary information.

Reactivity data

{ "title": "Reactivity Data", "filters": { "stats": ["", "Species", "Dilution Info", "Notes"], "tabs": { "all-applications": {"fullname" : "All Applications", "shortname": "All Applications"}, "ICCIF" : {"fullname" : "Immunocytochemistry/ Immunofluorescence", "shortname":"ICC/IF"}, "WB" : {"fullname" : "Western blot", "shortname":"WB"}, "IHCP" : {"fullname" : "Immunohistochemistry (Formalin/PFA-fixed paraffin-embedded sections)", "shortname":"IHC-P"} }, "product-promise": { "all": "all", "testedAndGuaranteed": "tested", "guaranteed": "expected", "predicted": "predicted", "notRecommended": "not-recommended" } }, "values": { "Human": { "ICCIF-species-checked": "testedAndGuaranteed", "ICCIF-species-dilution-info": "1/100", "ICCIF-species-notes": "<p></p>", "WB-species-checked": "testedAndGuaranteed", "WB-species-dilution-info": "1/1000 - 1/2000", "WB-species-notes": "<p></p>", "IHCP-species-checked": "testedAndGuaranteed", "IHCP-species-dilution-info": "1/1000", "IHCP-species-notes": "<p></p> Perform heat-mediated antigen retrieval with Tris/EDTA buffer pH 9.0 before commencing with IHC staining protocol." }, "Mouse": { "ICCIF-species-checked": "guaranteed", "ICCIF-species-dilution-info": "", "ICCIF-species-notes": "", "WB-species-checked": "testedAndGuaranteed", "WB-species-dilution-info": "1/1000 - 1/2000", "WB-species-notes": "<p></p>", "IHCP-species-checked": "guaranteed", "IHCP-species-dilution-info": "", "IHCP-species-notes": "" } } }

Product details

What is this antibody validated in?
Anti-PHOX2B antibody [EPR14423] - C-terminal (ab183741) is a rabbit recombinant monoclonal antibody and is validated for use in Western Blot (WB), Immunohistochemistry (IHC-P), Immunocytochemistry/immunofluorescence (ICC/IF) in Human, Mouse samples.

What is the molecular weight of PHOX2B?
Anti-PHOX2B [EPR14423] - C-terminal (ab183741) specifically detects a band for PHOX2B (UniProt: Q99453) at a molecular weight of 32kDa.

Trusted by the scientific community
Anti-PHOX2B [EPR14423] - C-terminal (ab183741) was first used in a scientific publication in 2014 and has been cited over 10 times in peer-reviewed journals.

Trial sizes available!
Test your antibody or perform pre-screening before committing to a larger quantity. Sold in 10µl. Discover our selection of trial-size antibodies.

Other related products
We have a range of other formats of antibody clone [EPR14423] also available for your convenience: ab183741, Alexa Fluor® 488 - ab210459, Alexa Fluor® 594 - ab210658, Carrier free - ab216456, Alexa Fluor® 647 - ab311130, Alexa Fluor® 568 - ab313043, Alexa Fluor® 555 - ab313244, Alexa Fluor® 750 - ab321283

Patented technology
Our RabMAb® technology is a patented hybridoma-based technology for making rabbit monoclonal antibodies. For details on our patents, please refer to RabMAb® patents.

What are the advantages of a recombinant monoclonal antibody?
This product is a recombinant monoclonal antibody, which offers several advantages including:

  • - High batch-to-batch consistency and reproducibility
  • - Improved sensitivity and specificity
  • - Long-term security of supply
  • - Animal-free batch production

For more information, read more on recombinant antibodies.

Properties and storage information

Form
Liquid
Purification technique
Affinity purification Protein A
Storage buffer
pH: 7.2 Preservative: 0.01% Sodium azide Constituents: PBS, 40% Glycerol (glycerin, glycerine), 0.05% BSA
Shipped at conditions
Blue Ice
Appropriate short-term storage duration
1-2 weeks
Appropriate short-term storage conditions
+4°C
Appropriate long-term storage conditions
-20°C
Aliquoting information
Upon delivery aliquot
Storage information
Avoid freeze / thaw cycle

Supplementary information

This supplementary information is collated from multiple sources and compiled automatically.

PHOX2B also known as Paired-like Homeobox 2B is a transcription factor that plays a significant role in neural development. It is encoded by the PHOX2B gene and has a molecular weight of approximately 31 kDa. This protein is highly expressed in the central and peripheral nervous systems where it influences the differentiation and function of neural crest-derived cells. PHOX2B is particularly active in the brainstem regions that control vital autonomic functions.
Biological function summary

PHOX2B influences the development of noradrenergic neurons and parasympathetic ganglia. It often functions as part of a transcription factor complex interacting with other proteins to drive the expression of genes required for the autonomic nervous system. The control PHOX2B exerts over neuronal differentiation makes it essential for maintaining the proper functioning of neurons responsible for involuntary bodily processes.

Pathways

PHOX2B is integral to the development and maintenance of the autonomic nervous and respiratory systems. It interacts closely with RET a receptor tyrosine kinase within the neurotrophic signaling pathways that regulate neuronal growth and survival. Additionally the protein plays a role in the endothelin signaling pathway further demonstrating its importance in neurodevelopment.

Alterations in PHOX2B have been linked to disorders such as congenital central hypoventilation syndrome (CCHS) and neuroblastoma. CCHS results from mutations in the PHOX2B gene affecting respiratory control. In the context of cancer PHOX2B neuroblastoma pertains to its potential role in tumor formation alongside MYCN amplification which is a common alteration in neuroblastoma. Understanding PHOX2B's interactions provides insights into its potential as a target for therapeutic interventions.

Product protocols

For this product, it's our understanding that no specific protocols are required. You can visit:

Target data

Involved in the development of several major noradrenergic neuron populations, including the locus coeruleus. Transcription factor which could determine a neurotransmitter phenotype in vertebrates. Enhances second-messenger-mediated activation of the dopamine beta-hydrolase and c-fos promoters, and of several enhancers including cAMP-response element and serum-response element.
See full target information PHOX2B

Publications (21)

Recent publications for all applications. Explore the full list and refine your search

Genome medicine 17:102 PubMed40999499

2025

EMB is essential for enteric nervous system development mediated by PI3K signaling.

Applications

Unspecified application

Species

Unspecified reactive species

Zhi Li,Didi Zhuansun,Xinyao Meng,Heying Yang,Jun Xiao,Yingjian Chen,Jing Wang,Xiaosi Yu,Zejian Li,Jingyi You,Xuyong Chen,Chenzhao Feng,Luyao Wu,Xufeng Chu,Weicheng Duan,Kang Wang,Zongzhe Li,Jinfa Tou,Lei Yu,Weibing Tang,Yuanmei Liu,Xuewu Jiang,Hongxia Ren,Mei Yu,Qiang Yin,Xiang Liu,Zhilin Xu,Dianming Wu,Chunlei Jiao,Donghai Yu,Xiaojuan Wu,Tianqi Zhu,Jixin Yang,Lei Xiang,Jing Wang,Qiong Wang,Bingyan Zhou,Di Wang,Ke Chen,Handan Mao,Bin Wang,Jianghua Zhan,Cong-Yi Wang,Wanjiang Zeng,Feng Chen,Bo Xiong,Jiexiong Feng

Nature communications 16:3840 PubMed40268933

2025

Neural representation of cytokines by vagal sensory neurons.

Applications

Unspecified application

Species

Unspecified reactive species

Tomás S Huerta,Adrian C Chen,Saher Chaudhry,Aisling Tynan,Timothy Morgan,Kicheon Park,Richard Adamovich-Zeitlin,Bilal Haider,Jian Hua Li,Mitali Nagpal,Stavros Zanos,Valentin A Pavlov,Michael Brines,Theodoros P Zanos,Sangeeta S Chavan,Kevin J Tracey,Eric H Chang

Genome biology 25:161 PubMed38898465

2024

An integrated single-cell RNA-seq map of human neuroblastoma tumors and preclinical models uncovers divergent mesenchymal-like gene expression programs.

Applications

Unspecified application

Species

Unspecified reactive species

Richard H Chapple,Xueying Liu,Sivaraman Natarajan,Margaret I M Alexander,Yuna Kim,Anand G Patel,Christy W LaFlamme,Min Pan,William C Wright,Hyeong-Min Lee,Yinwen Zhang,Meifen Lu,Selene C Koo,Courtney Long,John Harper,Chandra Savage,Melissa D Johnson,Thomas Confer,Walter J Akers,Michael A Dyer,Heather Sheppard,John Easton,Paul Geeleher

Cell stem cell 31:734-753.e8 PubMed38608707

2024

Parasympathetic neurons derived from human pluripotent stem cells model human diseases and development.

Applications

Unspecified application

Species

Unspecified reactive species

Hsueh-Fu Wu,Kenyi Saito-Diaz,Chia-Wei Huang,Jessica L McAlpine,Dong Eun Seo,D Sumner Magruder,Mohamed Ishan,Harrison C Bergeron,William H Delaney,Fabio R Santori,Smita Krishnaswamy,Gerald W Hart,Ya-Wen Chen,Robert J Hogan,Hong-Xiang Liu,Natalia B Ivanova,Nadja Zeltner

Cell reports 43:113927 PubMed38451815

2024

ALK upregulates POSTN and WNT signaling to drive neuroblastoma.

Applications

Unspecified application

Species

Unspecified reactive species

Miller Huang,Wanqi Fang,Alvin Farrel,Linwei Li,Antonios Chronopoulos,Nicole Nasholm,Bo Cheng,Tina Zheng,Hiroyuki Yoda,Megumi J Barata,Tania Porras,Matthew L Miller,Qiqi Zhen,Lisa Ghiglieri,Lauren McHenry,Linyu Wang,Shahab Asgharzadeh,JinSeok Park,W Clay Gustafson,Katherine K Matthay,John M Maris,William A Weiss

Scientific reports 13:20214 PubMed37980388

2023

Survival following complete resection of neuroblastoma in novel orthotopic rat xenograft model.

Applications

Unspecified application

Species

Unspecified reactive species

ReidAnn E Sever,Lauren Taylor Rosenblum,Miguel Reyes-Múgica,W Barry Edwards,Marcus M Malek,Gary Kohanbash

Nature 623:820-827 PubMed37938771

2023

Targeting of intracellular oncoproteins with peptide-centric CARs.

Applications

Unspecified application

Species

Unspecified reactive species

Mark Yarmarkovich,Quinlen F Marshall,John M Warrington,Rasika Premaratne,Alvin Farrel,David Groff,Wei Li,Moreno di Marco,Erin Runbeck,Hau Truong,Jugmohit S Toor,Sarvind Tripathi,Son Nguyen,Helena Shen,Tiffany Noel,Nicole L Church,Amber Weiner,Nathan Kendsersky,Dan Martinez,Rebecca Weisberg,Molly Christie,Laurence Eisenlohr,Kristopher R Bosse,Dimiter S Dimitrov,Stefan Stevanovic,Nikolaos G Sgourakis,Ben R Kiefel,John M Maris

Pediatric blood & cancer 70:e30318 PubMed36973999

2023

Prognostic value of xenograft engraftment in patients with metastatic high-risk neuroblastoma.

Applications

Unspecified application

Species

Unspecified reactive species

Rosario Aschero,Helena Castillo-Ecija,Merce Baulenas-Farres,Claudia Resa-Pares,Ana Jimenez-Cabaco,Eva Rodriguez,Carles Monterrubio,Sara Perez-Jaume,Mariona Suñol,Guillermo L Chantada,Cinzia Lavarino,Jaume Mora,Angel M Carcaboso

Science advances 8:eabq4617 PubMed36306349

2022

Clinically relevant treatment of PDX models reveals patterns of neuroblastoma chemoresistance.

Applications

Unspecified application

Species

Unspecified reactive species

Adriana Mañas,Kristina Aaltonen,Natalie Andersson,Karin Hansson,Aleksandra Adamska,Alexandra Seger,Hiroaki Yasui,Hilda van den Bos,Katarzyna Radke,Javanshir Esfandyari,Madhura Satish Bhave,Jenny Karlsson,Diana Spierings,Floris Foijer,David Gisselsson,Daniel Bexell

Frontiers in oncology 12:939460 PubMed36176417

2022

Pro-metastatic and mesenchymal gene expression signatures characterize circulating tumor cells of neuroblastoma patients with bone marrow metastases and relapse.

Applications

Unspecified application

Species

Unspecified reactive species

Amos H P Loh,Clara Angelina,Meng Kang Wong,Sheng Hui Tan,Sarvesh A Sukhatme,Trifanny Yeo,Su Bin Lim,York Tien Lee,Shui Yen Soh,Wing Leung,Kenneth T E Chang,Yong Wei Chua,Syed M F Alkaff,Tony K H Lim,Chwee Teck Lim,Zhi Xiong Chen
View all publications

Product promise

We are committed to supporting your work with high-quality reagents, and we're here for you every step of the way. In the unlikely event that one of our products does not perform as expected, you're protected by our Product Promise.
For full details, please see our Terms & Conditions

Please note: All products are 'FOR RESEARCH USE ONLY. NOT FOR USE IN DIAGNOSTIC OR THERAPEUTIC PROCEDURES'.

For licensing inquiries, please contact partnerships@abcam.com