JavaScript is disabled in your browser. Please enable JavaScript to view this website.
AB135384

Anti-PI 3 Kinase catalytic subunit alpha/PIK3CA antibody [SP139]

  • 20ul selling size
  • RabMAb
  • Recombinant
  • BOND RX™ Validated
  • What is this?

Be the first to review this product! Submit a review

|

(5 Publications)

Rabbit Recombinant Monoclonal PI 3 Kinase catalytic subunit alpha/PIK3CA antibody. Suitable for ICC/IF, Flow Cyt (Intra), IHC-P and reacts with Rat, Human samples. Cited in 5 publications.

View Alternative Names

PI3-kinase subunit alpha, PI3K-alpha, PI3Kalpha, PtdIns-3-kinase subunit alpha, Phosphoinositide 3-kinase alpha, Phosphoinositide-3-kinase catalytic alpha polypeptide, Serine/threonine protein kinase PIK3CA, PtdIns-3-kinase subunit p110-alpha, p110alpha, PIK3CA

7 Images
Flow Cytometry (Intracellular) - Anti-PI 3 Kinase catalytic subunit alpha/PIK3CA antibody [SP139] (AB135384)
  • Flow Cyt (Intra)

Unknown

Flow Cytometry (Intracellular) - Anti-PI 3 Kinase catalytic subunit alpha/PIK3CA antibody [SP139] (AB135384)

Flow Cytometry analysis of HeLa (human cervix adenocarcinoma epithelial cell) cells labeling PI 3 Kinase catalytic subunit alpha/PIK3CA with purified ab135384 at 1 : 250 dilution (1.00 µg/ml) Red. Cells were fixed with 4% paraformaldehyde . A Goat anti rabbit IgG (Alexa Fluor® 488, ab150077) secondary antibody was used at 1 : 2000 dilution. Isotype control - Rabbit monoclonal IgG (ab172730) / Black. Unlabeled control - Unlabelled cells / Blue.

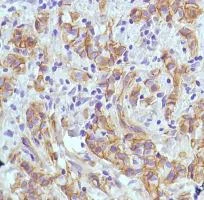
Immunohistochemistry (Formalin/PFA-fixed paraffin-embedded sections) - Anti-PI 3 Kinase catalytic subunit alpha/PIK3CA antibody [SP139] (AB135384)
  • IHC-P

Unknown

Immunohistochemistry (Formalin/PFA-fixed paraffin-embedded sections) - Anti-PI 3 Kinase catalytic subunit alpha/PIK3CA antibody [SP139] (AB135384)

Immunohistochemical analysis of formalin-fixed, paraffin-embedded Human breast carcinoma tissue labelling PI 3 Kinase catalytic subunit alpha/PIK3CA with ab135384 at 1/100 dilution.

Immunocytochemistry - Anti-PI 3 Kinase catalytic subunit alpha/PIK3CA antibody [SP139] (AB135384)
  • ICC

Lab

Immunocytochemistry - Anti-PI 3 Kinase catalytic subunit alpha/PIK3CA antibody [SP139] (AB135384)

Immunocytochemistry/ Immunofluorescence analysis of HeLa (human cervix adenocarcinoma epithelial cell) cells labeling PI 3 Kinase catalytic subunit alpha/PIK3CA with purified ab135384 at 1/25 dilution (10 μg/mL). Cells were fixed in 4% paraformaldehyde and permeabilized with 0.1% Triton X-100. Cells were counterstained with ab195889 Anti-alpha Tubulin antibody [DM1A] - Microtubule Marker (Alexa Fluor® 594) 1/200 dilution (2.5 μg/mL). Goat anti rabbit IgG (Alexa Fluor® 488, ab150077) was used as the secondary antibody at 1/1000 dilution (2 μg/mL). DAPI nuclear counterstain. PBS instead of the primary antibody was used as the secondary antibody only control. Confocal image showing cytoplasmic staining in HeLa cells.

Flow Cytometry (Intracellular) - Anti-PI 3 Kinase catalytic subunit alpha/PIK3CA antibody [SP139] (AB135384)
  • Flow Cyt (Intra)

Unknown

Flow Cytometry (Intracellular) - Anti-PI 3 Kinase catalytic subunit alpha/PIK3CA antibody [SP139] (AB135384)

Flow Cytometry analysis of C6(Rat glial tumor glial cell) cells labeling PI 3 Kinase catalytic subunit alpha/PIK3CA with purified ab135384 at 1 : 250 dilution (1.00 µg/ml) Red. Cells were fixed with 4% paraformaldehyde . A Goat anti rabbit IgG (Alexa Fluor® 488, ab150077) secondary antibody was used at 1 : 2000 dilution. Isotype control - Rabbit monoclonal IgG (ab172730) / Black. Unlabeled control - Unlabelled cells / Blue.

Immunocytochemistry/ Immunofluorescence - Anti-PI 3 Kinase catalytic subunit alpha/PIK3CA antibody [SP139] (AB135384)
  • ICC/IF

Lab

Immunocytochemistry/ Immunofluorescence - Anti-PI 3 Kinase catalytic subunit alpha/PIK3CA antibody [SP139] (AB135384)

Immunocytochemistry/ Immunofluorescence analysis of C6 (rat glial tumor glial cell) cells labeling PI 3 Kinase catalytic subunit alpha/PIK3CA with purified ab135384 at 1 : 25(10 µg/ml). Cells were fixed in 4% paraformaldehyde and permeabilized with 0.1% Triton X-100. Cells were counterstained with ab195889 Anti-alpha Tubulin antibody [DM1A] - Microtubule Marker (Alexa Fluor® 594) 1 : 200 (2.5 µg/ml). Goat anti rabbit IgG (Alexa Fluor® 488, ab150077) was used as the secondary antibody at 1 : 1000 (2 µg/ml) dilution. DAPI nuclear counterstain. PBS instead of the primary antibody was used as the secondary antibody only control.

Immunohistochemistry (Formalin/PFA-fixed paraffin-embedded sections) - Anti-PI 3 Kinase catalytic subunit alpha/PIK3CA antibody [SP139] (AB135384)
  • IHC-P

Lab

Immunohistochemistry (Formalin/PFA-fixed paraffin-embedded sections) - Anti-PI 3 Kinase catalytic subunit alpha/PIK3CA antibody [SP139] (AB135384)

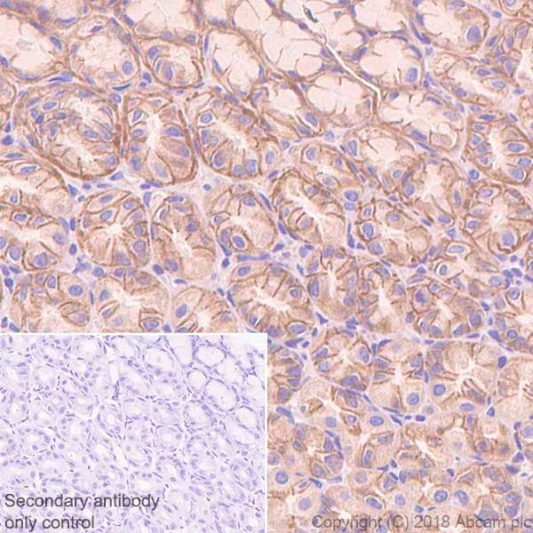
Immunohistochemical analysis of paraffin-embedded Rat stomach tissue labelling PI 3 Kinase catalytic subunit alpha/PIK3CA with ab135384 at 1/100 dilution, followed by Goat Anti-Rabbit & Mouse IgG (HRP). Mainly membranous staining on the rat stomach, performed on a Leica Biosystems BOND® RX instrument.

The section was incubated with ab135384 for 10 mins at room temperature. Counter stained with Hematoxylin. Secondary antibody only control : Used PBS instead of primary antibody, secondary antibody is Goat Anti-Rabbit & Mouse IgG (HRP).

Immunohistochemistry (Formalin/PFA-fixed paraffin-embedded sections) - Anti-PI 3 Kinase catalytic subunit alpha/PIK3CA antibody [SP139] (AB135384)
  • IHC-P

Lab

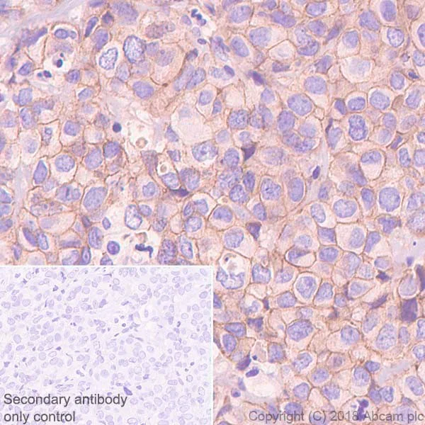
Immunohistochemistry (Formalin/PFA-fixed paraffin-embedded sections) - Anti-PI 3 Kinase catalytic subunit alpha/PIK3CA antibody [SP139] (AB135384)

Immunohistochemical analysis of paraffin-embedded Human breast carcinoma tissue labelling PI 3 Kinase catalytic subunit alpha/PIK3CA with ab135384 at 1/100 dilution, followed by Goat Anti-Rabbit & Mouse IgG (HRP). Mainly membranous staining on the human breast carcinoma, performed on a Leica Biosystems BOND® RX instrument.

The section was incubated with ab135384 for 10 mins at room temperature. Counter stained with Hematoxylin. Secondary antibody only control : Used PBS instead of primary antibody, secondary antibody is Goat Anti-Rabbit & Mouse IgG (HRP).

  • 665 Alexa Fluor® 647

    Alexa Fluor® 647 Anti-PI 3 Kinase catalytic subunit alpha/PIK3CA antibody [SP139]

  • 617 Alexa Fluor® 594

    Alexa Fluor® 594 Anti-PI 3 Kinase catalytic subunit alpha/PIK3CA antibody [SP139]

  • Carrier free

    Anti-PI 3 Kinase catalytic subunit alpha/PIK3CA antibody [SP139] - BSA and Azide free

Key facts

Host species

Rabbit

Clonality

Monoclonal

Clone number

SP139

Isotype

IgG

Carrier free

No

Reacts with

Rat, Human

Applications

Flow Cyt (Intra), IHC-P, ICC/IF

applications

Immunogen

The exact immunogen used to generate this antibody is proprietary information.

Reactivity data

{ "title": "Reactivity Data", "filters": { "stats": ["", "Species", "Dilution Info", "Notes"], "tabs": { "all-applications": {"fullname" : "All Applications", "shortname": "All Applications"}, "ICCIF" : {"fullname" : "Immunocytochemistry/ Immunofluorescence", "shortname":"ICC/IF"}, "FlowCytIntra" : {"fullname" : "Flow Cytometry (Intracellular)", "shortname":"Flow Cyt (Intra)"}, "IHCP" : {"fullname" : "Immunohistochemistry (Formalin/PFA-fixed paraffin-embedded sections)", "shortname":"IHC-P"} }, "product-promise": { "all": "all", "testedAndGuaranteed": "tested", "guaranteed": "expected", "predicted": "predicted", "notRecommended": "not-recommended" } }, "values": { "Human": { "ICCIF-species-checked": "testedAndGuaranteed", "ICCIF-species-dilution-info": "1/25", "ICCIF-species-notes": "<p></p>", "FlowCytIntra-species-checked": "testedAndGuaranteed", "FlowCytIntra-species-dilution-info": "1/250", "FlowCytIntra-species-notes": "<p></p>", "IHCP-species-checked": "testedAndGuaranteed", "IHCP-species-dilution-info": "1/100", "IHCP-species-notes": "<p>Perform heat mediated antigen retrieval by boiling tissue section in 1mM EDTA buffer, pH 8.0 for 10 min followed by cooling at room temperature for 20 min. Incubate with primary antibody for 10 minutes at room temperature.</p><p>IHC Note: 1:100, Recommend Hu and Rt species. IHC result showed staining on the epithelial cells and the stromal cells in human tissues such as colon and stomach, and several carcinomas such as breast carcinomas. The mouse and rat tissues showed staining on the colon and stomach, but the staining intensity on mouse tissues was too weak.<br>Use Leica DS9800 as the IHC staining kit.</p>" }, "Mouse": { "ICCIF-species-checked": "predicted", "ICCIF-species-dilution-info": "", "ICCIF-species-notes": "", "FlowCytIntra-species-checked": "predicted", "FlowCytIntra-species-dilution-info": "", "FlowCytIntra-species-notes": "", "IHCP-species-checked": "predicted", "IHCP-species-dilution-info": "", "IHCP-species-notes": "" }, "Rat": { "ICCIF-species-checked": "testedAndGuaranteed", "ICCIF-species-dilution-info": "1/25", "ICCIF-species-notes": "<p></p>", "FlowCytIntra-species-checked": "testedAndGuaranteed", "FlowCytIntra-species-dilution-info": "1/250", "FlowCytIntra-species-notes": "<p></p>", "IHCP-species-checked": "testedAndGuaranteed", "IHCP-species-dilution-info": "1/100", "IHCP-species-notes": "<p>IHC Note: 1:100, Recommend Hu and Rt species. IHC result showed staining on the epithelial cells and the stromal cells in human tissues such as colon and stomach, and several carcinomas such as breast carcinomas. The mouse and rat tissues showed staining on the colon and stomach, but the staining intensity on mouse tissues was too weak.<br>Use Leica DS9800 as the IHC staining kit.</p>" }, "Chicken": { "ICCIF-species-checked": "predicted", "ICCIF-species-dilution-info": "", "ICCIF-species-notes": "", "FlowCytIntra-species-checked": "predicted", "FlowCytIntra-species-dilution-info": "", "FlowCytIntra-species-notes": "", "IHCP-species-checked": "predicted", "IHCP-species-dilution-info": "", "IHCP-species-notes": "" }, "Cow": { "ICCIF-species-checked": "predicted", "ICCIF-species-dilution-info": "", "ICCIF-species-notes": "", "FlowCytIntra-species-checked": "predicted", "FlowCytIntra-species-dilution-info": "", "FlowCytIntra-species-notes": "", "IHCP-species-checked": "predicted", "IHCP-species-dilution-info": "", "IHCP-species-notes": "" } } }

Product details

What are the advantages of a recombinant monoclonal antibody?
This product is a recombinant monoclonal antibody, which offers several advantages including:

  • - High batch-to-batch consistency and reproducibility
  • - Improved sensitivity and specificity
  • - Long-term security of supply
  • - Animal-free batch production

For more information, read more on recombinant antibodies.

Properties and storage information

Form
Liquid
Purification technique
Affinity purification Protein A/G
Purification notes
Purified from TCS by protein A/G.
Storage buffer
pH: 7.6 Preservative: 0.1% Sodium azide Constituents: PBS, 1% BSA
Shipped at conditions
Blue Ice
Appropriate short-term storage conditions
+4°C
Appropriate long-term storage conditions
+4°C
Storage information
Do Not Freeze

Supplementary information

This supplementary information is collated from multiple sources and compiled automatically.

PI 3 kinase catalytic subunit alpha also known as PIK3CA or PI3K-alpha is a protein kinase with significant roles in cellular signaling. This protein has a mass of approximately 124 kDa and is part of the PI3 kinase family. PIK3CA is primarily expressed in various tissues including the liver breast and pancreas where it plays an important role in the regulation of cell growth and survival. The structure of PI3 kinase involves a complex of p110 catalytic subunits and p85 regulatory subunits which facilitate its enzymatic functions.
Biological function summary

The PIK3CA protein phosphorylates the inositol ring of phosphoinositides generating phosphatidylinositol (345)-trisphosphate (PIP3) a lipid second messenger involved in numerous signaling pathways. PIK3CA often acts within a complex interacting with regulatory subunits such as p85 to control its activity. The complex formation enhances its stability and localization to the cell membrane where it can exert its enzymatic actions effectively. In its biological capacity PIK3CA plays a role in cellular proliferation survival and metabolism.

Pathways

The PI3K/Akt signaling pathway involves PIK3CA as an important mediator. This pathway is integral to numerous cellular processes including metabolism growth and survival. PIK3CA links closely with Akt a downstream protein kinase that propagates the signal initiated by PIP3 generation. The mTOR pathway is another critical route involving PIK3CA where it regulates translation and cellular growth. These pathways emphasize the importance of PIK3CA in maintaining cellular homeostasis and responding to external growth signals.

Mutations and aberrations in PIK3CA associate with several cancers especially breast and colorectal cancers. The altered activity of PIK3CA can cause uncontrolled cell proliferation due to constant activation of the PI3K/Akt signaling pathway. This disrupts normal cellular apoptosis and fosters tumor growth. Additionally PIK3CA mutations are linked to certain genetic disorders such as PIK3CA-related overgrowth spectrum (PROS) where overactivation alters normal tissue growth and development. The interaction of PIK3CA with proteins like PTEN a tumor suppressor involved in cancer pathways also highlights its significance in oncogenic processes.

Product protocols

For this product, it's our understanding that no specific protocols are required. You can visit:

Target data

Phosphoinositide-3-kinase (PI3K) phosphorylates phosphatidylinositol (PI) and its phosphorylated derivatives at position 3 of the inositol ring to produce 3-phosphoinositides (PubMed : 15135396, PubMed : 23936502, PubMed : 28676499). Uses ATP and PtdIns(4,5)P2 (phosphatidylinositol 4,5-bisphosphate) to generate phosphatidylinositol 3,4,5-trisphosphate (PIP3) (PubMed : 15135396, PubMed : 28676499). PIP3 plays a key role by recruiting PH domain-containing proteins to the membrane, including AKT1 and PDPK1, activating signaling cascades involved in cell growth, survival, proliferation, motility and morphology. Participates in cellular signaling in response to various growth factors. Involved in the activation of AKT1 upon stimulation by receptor tyrosine kinases ligands such as EGF, insulin, IGF1, VEGFA and PDGF. Involved in signaling via insulin-receptor substrate (IRS) proteins. Essential in endothelial cell migration during vascular development through VEGFA signaling, possibly by regulating RhoA activity. Required for lymphatic vasculature development, possibly by binding to RAS and by activation by EGF and FGF2, but not by PDGF. Regulates invadopodia formation through the PDPK1-AKT1 pathway. Participates in cardiomyogenesis in embryonic stem cells through a AKT1 pathway. Participates in vasculogenesis in embryonic stem cells through PDK1 and protein kinase C pathway. In addition to its lipid kinase activity, it displays a serine-protein kinase activity that results in the autophosphorylation of the p85alpha regulatory subunit as well as phosphorylation of other proteins such as 4EBP1, H-Ras, the IL-3 beta c receptor and possibly others (PubMed : 23936502, PubMed : 28676499). Plays a role in the positive regulation of phagocytosis and pinocytosis (By similarity).
See full target information PIK3CA

Publications (5)

Recent publications for all applications. Explore the full list and refine your search

Sichuan da xue xue bao. Yi xue ban = Journal of Sichuan University. Medical science edition 56:434-441 PubMed40599290

2025

[ Somatic Mutations Are Associated With Lymph Node Metastasis in Endometrial Cancer].

Applications

Unspecified application

Species

Unspecified reactive species

Qingyu Shen,Chenfan Tian,Xiaoxiao Luo,Fan Yang,Peng Jiang,Yunfeng Zheng

Biomedical reports 19:104 PubMed38025833

2023

Association of KRAS, NRAS, BRAF and PIK3CA gene mutations with clinicopathological features, prognosis and ring finger protein 215 expression in patients with colorectal cancer.

Applications

Unspecified application

Species

Unspecified reactive species

Jing-Bo Wu,Xiao-Jing Li,Hui Liu,Yong-Juan Liu,Xiu-Ping Liu

International journal of oncology 59: PubMed34036385

2021

QPCT regulation by CTCF leads to sunitinib resistance in renal cell carcinoma by promoting angiogenesis.

Applications

Unspecified application

Species

Unspecified reactive species

Tangliang Zhao,Yulin Zhou,Qingyun Wang,Xiaoming Yi,Silun Ge,Haowei He,Song Xue,Bowen Du,Jingping Ge,Jie Dong,Le Qu,Linhui Wang,Wenquan Zhou

Molecular medicine (Cambridge, Mass.) 26:14 PubMed32000660

2020

Aspirin has a better effect on PIK3CA mutant colorectal cancer cells by PI3K/Akt/Raptor pathway.

Applications

Unspecified application

Species

Unspecified reactive species

Zhihang Chen,Chun Wang,Hao Dong,Xing Wang,Feng Gao,Sen Zhang,Xiaolong Zhang

The Journal of clinical endocrinology and metabolism 105: PubMed31586196

2019

The Efficacy of Mitotane in Human Primary Adrenocortical Carcinoma Cultures.

Applications

Unspecified application

Species

Unspecified reactive species

Peter M van Koetsveld,Sara G Creemers,Fadime Dogan,Gaston J H Franssen,Wouter W de Herder,Richard A Feelders,Leo J Hofland
View all publications

Product promise

We are committed to supporting your work with high-quality reagents, and we're here for you every step of the way. In the unlikely event that one of our products does not perform as expected, you're protected by our Product Promise.
For full details, please see our Terms & Conditions

Please note: All products are 'FOR RESEARCH USE ONLY. NOT FOR USE IN DIAGNOSTIC OR THERAPEUTIC PROCEDURES'.

For licensing inquiries, please contact partnerships@abcam.com