JavaScript is disabled in your browser. Please enable JavaScript to view this website.
AB243914

Anti-PI 3 Kinase catalytic subunit alpha/PIK3CA antibody [SP139] - BSA and Azide free

Be the first to review this product! Submit a review

|

(0 Publication)

Rabbit Recombinant Monoclonal PI 3 Kinase catalytic subunit alpha/PIK3CA antibody. Carrier free. Suitable for Flow Cyt (Intra), IHC-P, ICC/IF and reacts with Rat, Human samples.

View Alternative Names

PI3-kinase subunit alpha, PI3K-alpha, PI3Kalpha, PtdIns-3-kinase subunit alpha, Phosphoinositide 3-kinase alpha, Phosphoinositide-3-kinase catalytic alpha polypeptide, Serine/threonine protein kinase PIK3CA, PtdIns-3-kinase subunit p110-alpha, p110alpha, PIK3CA

4 Images
Immunocytochemistry/ Immunofluorescence - Anti-PI 3 Kinase catalytic subunit alpha/PIK3CA antibody [SP139] - BSA and Azide free (AB243914)
  • ICC/IF

Lab

Immunocytochemistry/ Immunofluorescence - Anti-PI 3 Kinase catalytic subunit alpha/PIK3CA antibody [SP139] - BSA and Azide free (AB243914)

Immunocytochemistry/ Immunofluorescence analysis of C6 (rat glial tumor glial cell) cells labeling PI 3 Kinase catalytic subunit alpha/PIK3CA with purified ab135384 at 1 : 25(10 µg/ml). Cells were fixed in 4% paraformaldehyde and permeabilized with 0.1% Triton X-100. Cells were counterstained with ab195889 Anti-alpha Tubulin antibody [DM1A] - Microtubule Marker (Alexa Fluor® 594) 1 : 200 (2.5 µg/ml). Goat anti rabbit IgG (Alexa Fluor® 488, ab150077) was used as the secondary antibody at 1 : 1000 (2 µg/ml) dilution. DAPI nuclear counterstain. PBS instead of the primary antibody was used as the secondary antibody only control.
This data was developed using the same antibody clone in a different buffer formulation containing PBS, BSA, glycerol, and sodium azide (ab225716).

Flow Cytometry (Intracellular) - Anti-PI 3 Kinase catalytic subunit alpha/PIK3CA antibody [SP139] - BSA and Azide free (AB243914)
  • Flow Cyt (Intra)

Unknown

Flow Cytometry (Intracellular) - Anti-PI 3 Kinase catalytic subunit alpha/PIK3CA antibody [SP139] - BSA and Azide free (AB243914)

Flow Cytometry analysis of HeLa (human cervix adenocarcinoma epithelial cell) cells labeling PI 3 Kinase catalytic subunit alpha/PIK3CA with purified ab135384 at 1 : 250 dilution (1.00 µg/ml) Red. Cells were fixed with 4% paraformaldehyde . A Goat anti rabbit IgG (Alexa Fluor® 488, ab150077) secondary antibody was used at 1 : 2000 dilution. Isotype control - Rabbit monoclonal IgG (ab172730) / Black. Unlabeled control - Unlabelled cells / Blue.
This data was developed using the same antibody clone in a different buffer formulation containing PBS, BSA, glycerol, and sodium azide (ab135384).

Flow Cytometry (Intracellular) - Anti-PI 3 Kinase catalytic subunit alpha/PIK3CA antibody [SP139] - BSA and Azide free (AB243914)
  • Flow Cyt (Intra)

Unknown

Flow Cytometry (Intracellular) - Anti-PI 3 Kinase catalytic subunit alpha/PIK3CA antibody [SP139] - BSA and Azide free (AB243914)

Flow Cytometry analysis of C6(Rat glial tumor glial cell) cells labeling PI 3 Kinase catalytic subunit alpha/PIK3CA with purified ab135384 at 1 : 250 dilution (1.00 µg/ml) Red. Cells were fixed with 4% paraformaldehyde . A Goat anti rabbit IgG (Alexa Fluor® 488, ab150077) secondary antibody was used at 1 : 2000 dilution. Isotype control - Rabbit monoclonal IgG (ab172730) / Black. Unlabeled control - Unlabelled cells / Blue.
This data was developed using the same antibody clone in a different buffer formulation containing PBS, BSA, glycerol, and sodium azide (ab225716).

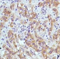
Immunohistochemistry (Formalin/PFA-fixed paraffin-embedded sections) - Anti-PI 3 Kinase catalytic subunit alpha/PIK3CA antibody [SP139] - BSA and Azide free (AB243914)
  • IHC-P

Unknown

Immunohistochemistry (Formalin/PFA-fixed paraffin-embedded sections) - Anti-PI 3 Kinase catalytic subunit alpha/PIK3CA antibody [SP139] - BSA and Azide free (AB243914)

Immunohistochemical analysis of formalin-fixed, paraffin-embedded Human breast carcinoma tissue labelling PI 3 Kinase catalytic subunit alpha/PIK3CA with ab135384 at 1/100 dilution.

This data was developed using the same antibody clone in a different buffer formulation containing PBS, BSA, and sodium azide (ab135384).

  • Unconjugated

    Anti-PI 3 Kinase catalytic subunit alpha/PIK3CA antibody [SP139]

  • 665 Alexa Fluor® 647

    Alexa Fluor® 647 Anti-PI 3 Kinase catalytic subunit alpha/PIK3CA antibody [SP139]

  • 617 Alexa Fluor® 594

    Alexa Fluor® 594 Anti-PI 3 Kinase catalytic subunit alpha/PIK3CA antibody [SP139]

Key facts

Host species

Rabbit

Clonality

Monoclonal

Clone number

SP139

Isotype

IgG

Carrier free

Yes

Reacts with

Rat, Human

Applications

IHC-P, Flow Cyt (Intra), ICC/IF

applications

Immunogen

The exact immunogen used to generate this antibody is proprietary information.

Reactivity data

{ "title": "Reactivity Data", "filters": { "stats": ["", "Species", "Dilution Info", "Notes"], "tabs": { "all-applications": {"fullname" : "All Applications", "shortname": "All Applications"}, "FlowCytIntra" : {"fullname" : "Flow Cytometry (Intracellular)", "shortname":"Flow Cyt (Intra)"}, "IHCP" : {"fullname" : "Immunohistochemistry (Formalin/PFA-fixed paraffin-embedded sections)", "shortname":"IHC-P"}, "ICCIF" : {"fullname" : "Immunocytochemistry/ Immunofluorescence", "shortname":"ICC/IF"} }, "product-promise": { "all": "all", "testedAndGuaranteed": "tested", "guaranteed": "expected", "predicted": "predicted", "notRecommended": "not-recommended" } }, "values": { "Human": { "FlowCytIntra-species-checked": "testedAndGuaranteed", "FlowCytIntra-species-dilution-info": "", "FlowCytIntra-species-notes": "<p></p>", "IHCP-species-checked": "testedAndGuaranteed", "IHCP-species-dilution-info": "", "IHCP-species-notes": "<p>Perform heat mediated antigen retrieval by boiling tissue section in 1mM EDTA buffer, pH 8.0 for 10 min followed by cooling at room temperature for 20 min. Incubate with primary antibody for 10 minutes at room temperature.</p>", "ICCIF-species-checked": "testedAndGuaranteed", "ICCIF-species-dilution-info": "", "ICCIF-species-notes": "<p></p>" }, "Mouse": { "FlowCytIntra-species-checked": "predicted", "FlowCytIntra-species-dilution-info": "", "FlowCytIntra-species-notes": "", "IHCP-species-checked": "predicted", "IHCP-species-dilution-info": "", "IHCP-species-notes": "", "ICCIF-species-checked": "predicted", "ICCIF-species-dilution-info": "", "ICCIF-species-notes": "" }, "Rat": { "FlowCytIntra-species-checked": "testedAndGuaranteed", "FlowCytIntra-species-dilution-info": "", "FlowCytIntra-species-notes": "<p></p>", "IHCP-species-checked": "guaranteed", "IHCP-species-dilution-info": "", "IHCP-species-notes": "", "ICCIF-species-checked": "testedAndGuaranteed", "ICCIF-species-dilution-info": "", "ICCIF-species-notes": "<p></p>" }, "Chicken": { "FlowCytIntra-species-checked": "predicted", "FlowCytIntra-species-dilution-info": "", "FlowCytIntra-species-notes": "", "IHCP-species-checked": "predicted", "IHCP-species-dilution-info": "", "IHCP-species-notes": "", "ICCIF-species-checked": "predicted", "ICCIF-species-dilution-info": "", "ICCIF-species-notes": "" }, "Cow": { "FlowCytIntra-species-checked": "predicted", "FlowCytIntra-species-dilution-info": "", "FlowCytIntra-species-notes": "", "IHCP-species-checked": "predicted", "IHCP-species-dilution-info": "", "IHCP-species-notes": "", "ICCIF-species-checked": "predicted", "ICCIF-species-dilution-info": "", "ICCIF-species-notes": "" } } }

Product details

ab243914 is the carrier-free version of ab135384.

What are the advantages of a recombinant monoclonal antibody?
This product is a recombinant monoclonal antibody, which offers several advantages including:

  • - High batch-to-batch consistency and reproducibility
  • - Improved sensitivity and specificity
  • - Long-term security of supply
  • - Animal-free batch production

For more information, read more on recombinant antibodies.

Conjugation ready
Our carrier-free antibodies are typically supplied in a PBS-only formulation, purified and free of BSA, sodium azide and glycerol. This conjugation-ready format is designed for use with fluorochromes, metal isotopes, oligonucleotides, and enzymes, which makes them ideal for antibody labelling, functional and cell-based assays, flow-based assays (e.g. mass cytometry) and Multiplex Imaging applications.

Use our conjugation kits for antibody conjugates that are ready-to-use in as little as 20 minutes with 1 minute hands-on-time and 100% antibody recovery: available for fluorescent dyes, HRP, biotin and gold.

Compatibility
This product is compatible with the Maxpar® Antibody Labeling Kit from Fluidigm, without the need for antibody preparation. Maxpar® is a trademark of Fluidigm Canada Inc.

Properties and storage information

Form
Liquid
Purification technique
Affinity purification Protein A/G
Purification notes
Purified from TCS by protein A/G.
Storage buffer
pH: 7.2 - 7.4 Constituents: PBS
Shipped at conditions
Blue Ice
Appropriate short-term storage conditions
+4°C
Appropriate long-term storage conditions
+4°C
Storage information
Do Not Freeze

Supplementary information

This supplementary information is collated from multiple sources and compiled automatically.

PI 3 kinase catalytic subunit alpha also known as PIK3CA or PI3K-alpha is a protein kinase with significant roles in cellular signaling. This protein has a mass of approximately 124 kDa and is part of the PI3 kinase family. PIK3CA is primarily expressed in various tissues including the liver breast and pancreas where it plays an important role in the regulation of cell growth and survival. The structure of PI3 kinase involves a complex of p110 catalytic subunits and p85 regulatory subunits which facilitate its enzymatic functions.
Biological function summary

The PIK3CA protein phosphorylates the inositol ring of phosphoinositides generating phosphatidylinositol (345)-trisphosphate (PIP3) a lipid second messenger involved in numerous signaling pathways. PIK3CA often acts within a complex interacting with regulatory subunits such as p85 to control its activity. The complex formation enhances its stability and localization to the cell membrane where it can exert its enzymatic actions effectively. In its biological capacity PIK3CA plays a role in cellular proliferation survival and metabolism.

Pathways

The PI3K/Akt signaling pathway involves PIK3CA as an important mediator. This pathway is integral to numerous cellular processes including metabolism growth and survival. PIK3CA links closely with Akt a downstream protein kinase that propagates the signal initiated by PIP3 generation. The mTOR pathway is another critical route involving PIK3CA where it regulates translation and cellular growth. These pathways emphasize the importance of PIK3CA in maintaining cellular homeostasis and responding to external growth signals.

Mutations and aberrations in PIK3CA associate with several cancers especially breast and colorectal cancers. The altered activity of PIK3CA can cause uncontrolled cell proliferation due to constant activation of the PI3K/Akt signaling pathway. This disrupts normal cellular apoptosis and fosters tumor growth. Additionally PIK3CA mutations are linked to certain genetic disorders such as PIK3CA-related overgrowth spectrum (PROS) where overactivation alters normal tissue growth and development. The interaction of PIK3CA with proteins like PTEN a tumor suppressor involved in cancer pathways also highlights its significance in oncogenic processes.

Product protocols

For this product, it's our understanding that no specific protocols are required. You can visit:

Target data

Phosphoinositide-3-kinase (PI3K) phosphorylates phosphatidylinositol (PI) and its phosphorylated derivatives at position 3 of the inositol ring to produce 3-phosphoinositides (PubMed : 15135396, PubMed : 23936502, PubMed : 28676499). Uses ATP and PtdIns(4,5)P2 (phosphatidylinositol 4,5-bisphosphate) to generate phosphatidylinositol 3,4,5-trisphosphate (PIP3) (PubMed : 15135396, PubMed : 28676499). PIP3 plays a key role by recruiting PH domain-containing proteins to the membrane, including AKT1 and PDPK1, activating signaling cascades involved in cell growth, survival, proliferation, motility and morphology. Participates in cellular signaling in response to various growth factors. Involved in the activation of AKT1 upon stimulation by receptor tyrosine kinases ligands such as EGF, insulin, IGF1, VEGFA and PDGF. Involved in signaling via insulin-receptor substrate (IRS) proteins. Essential in endothelial cell migration during vascular development through VEGFA signaling, possibly by regulating RhoA activity. Required for lymphatic vasculature development, possibly by binding to RAS and by activation by EGF and FGF2, but not by PDGF. Regulates invadopodia formation through the PDPK1-AKT1 pathway. Participates in cardiomyogenesis in embryonic stem cells through a AKT1 pathway. Participates in vasculogenesis in embryonic stem cells through PDK1 and protein kinase C pathway. In addition to its lipid kinase activity, it displays a serine-protein kinase activity that results in the autophosphorylation of the p85alpha regulatory subunit as well as phosphorylation of other proteins such as 4EBP1, H-Ras, the IL-3 beta c receptor and possibly others (PubMed : 23936502, PubMed : 28676499). Plays a role in the positive regulation of phagocytosis and pinocytosis (By similarity).
See full target information PIK3CA

Product promise

We are committed to supporting your work with high-quality reagents, and we're here for you every step of the way. In the unlikely event that one of our products does not perform as expected, you're protected by our Product Promise.
For full details, please see our Terms & Conditions

Associated Products

Select an associated product type
Alternative Product
Primary Antibodies

AB202671

Alexa Fluor® 488 Anti-PI 3 Kinase catalytic subunit alpha/PIK3CA antibody [EP383Y]

primary-antibodies

alexa-fluor-488-pi-3-kinase-catalytic-subunit-alpha-pik3ca-antibody-ep383y-ab202671

0

(0 reviews)

Alternative Product
Primary Antibodies

AB183957

Anti-PI 3 Kinase catalytic subunit alpha/PIK3CA antibody [EPR19693]

primary-antibodies

pi-3-kinase-catalytic-subunit-alpha-pik3ca-antibody-epr19693-ab183957

0

(0 reviews)

Alternative Product
Primary Antibodies

AB40776

Anti-PI 3 Kinase catalytic subunit alpha/PIK3CA antibody [EP383Y]

primary-antibodies

pi-3-kinase-catalytic-subunit-alpha-pik3ca-antibody-ep383y-ab40776

0

(1 reviews)

Alternative Product
Primary Antibodies

AB185927

Anti-PI 3 Kinase catalytic subunit alpha/PIK3CA antibody [EP383Y] - BSA and Azide free

primary-antibodies

pi-3-kinase-catalytic-subunit-alpha-pik3ca-antibody-ep383y-bsa-and-azide-free-ab185927

0

(0 reviews)

Alternative Product
Primary Antibodies

AB223532

Anti-PI 3 Kinase catalytic subunit alpha/PIK3CA antibody [EPR19693] - BSA and Azide free

primary-antibodies

pi-3-kinase-catalytic-subunit-alpha-pik3ca-antibody-epr19693-bsa-and-azide-free-ab223532

0

(0 reviews)

Alternative Version
Primary Antibodies

AB283820

Alexa Fluor® 647 Anti-PI 3 Kinase catalytic subunit alpha/PIK3CA antibody [SP139]

primary-antibodies

alexa-fluor-647-pi-3-kinase-catalytic-subunit-alpha-pik3ca-antibody-sp139-ab283820

0

(0 reviews)

Please note: All products are 'FOR RESEARCH USE ONLY. NOT FOR USE IN DIAGNOSTIC OR THERAPEUTIC PROCEDURES'.

For licensing inquiries, please contact partnerships@abcam.com