JavaScript is disabled in your browser. Please enable JavaScript to view this website.
AB154598

Anti-PI 3 Kinase catalytic subunit gamma/PI3K-gamma antibody

Be the first to review this product! Submit a review

|

(36 Publications)

Rabbit Polyclonal PI 3 Kinase catalytic subunit gamma/PI3K-gamma antibody. Suitable for WB, IHC-P and reacts with Mouse, Rat, Human samples. Cited in 36 publications. Immunogen corresponding to Synthetic Peptide within Human PIK3CG aa 1000 to C-terminus.

View Alternative Names

PI3-kinase subunit gamma, PI3K-gamma, PI3Kgamma, PtdIns-3-kinase subunit gamma, Phosphoinositide-3-kinase catalytic gamma polypeptide, Serine/threonine protein kinase PIK3CG, p120-PI3K, PtdIns-3-kinase subunit p110-gamma, p110gamma, PIK3CG

4 Images
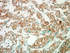
Immunohistochemistry (Formalin/PFA-fixed paraffin-embedded sections) - Anti-PI 3 Kinase catalytic subunit gamma/PI3K-gamma antibody (AB154598)
  • IHC-P

Unknown

Immunohistochemistry (Formalin/PFA-fixed paraffin-embedded sections) - Anti-PI 3 Kinase catalytic subunit gamma/PI3K-gamma antibody (AB154598)

Immunohistochemical analysis of paraffin-embedded human breast cancer tissue staining PI 3 Kinase catalytic subunit gamma with ab154598 at 1/100 dilution.

Antigen Retrieval : EDTA based buffer, pH 8.0, 15min.

Western blot - Anti-PI 3 Kinase catalytic subunit gamma/PI3K-gamma antibody (AB154598)
  • WB

Supplier Data

Western blot - Anti-PI 3 Kinase catalytic subunit gamma/PI3K-gamma antibody (AB154598)

5% SDS-PAGE

All lanes:

Western blot - Anti-PI 3 Kinase catalytic subunit gamma/PI3K-gamma antibody (ab154598) at 1/500 dilution

Lane 1:

Neuro-2a (mouse neuroblastoma cell line) whole cell lysate at 30 µg

Lane 2:

RAW 264.7 (mouse macrophage cell line transformed with Abelson murine leukemia virus) whole cell lysate at 30 µg

Lane 3:

C8-D30 (mouse astrocyte type III cerebellum cell line) whole cell lysate at 30 µg

Secondary

All lanes:

HRP-conjugated anti-rabbit IgG antibody

Predicted band size: 126 kDa

false

Western blot - Anti-PI 3 Kinase catalytic subunit gamma/PI3K-gamma antibody (AB154598)
  • WB

Unknown

Western blot - Anti-PI 3 Kinase catalytic subunit gamma/PI3K-gamma antibody (AB154598)

7.5% SDS PAGE

All lanes:

Western blot - Anti-PI 3 Kinase catalytic subunit gamma/PI3K-gamma antibody (ab154598) at 1/500 dilution

Lane 1:

Non-transfected HEK-293T (human epithelial cell line from embryonic kidney transformed with large T antigen) whole cell lysate at 30 µg

Lane 2:

PI3K-gamma-transfected HEK-293T whole cell lysate at 30 µg

Secondary

All lanes:

HRP-conjugated anti-rabbit IgG antibody

Predicted band size: 126 kDa

false

Western blot - Anti-PI 3 Kinase catalytic subunit gamma/PI3K-gamma antibody (AB154598)
  • WB

Supplier Data

Western blot - Anti-PI 3 Kinase catalytic subunit gamma/PI3K-gamma antibody (AB154598)

7.5% SDS-PAGE

All lanes:

Western blot - Anti-PI 3 Kinase catalytic subunit gamma/PI3K-gamma antibody (ab154598) at 1/1000 dilution

All lanes:

PC-12 (rat adrenal gland pheochromocytoma cell line) whole cell lysate at 30 µg

Predicted band size: 126 kDa

false

Key facts

Host species

Rabbit

Clonality

Polyclonal

Isotype

IgG

Carrier free

No

Reacts with

Mouse, Rat, Human

Applications

IHC-P, WB

applications

Immunogen

Synthetic Peptide within Human PIK3CG aa 1000 to C-terminus. The exact immunogen used to generate this antibody is proprietary information.

P48736

Reactivity data

{ "title": "Reactivity Data", "filters": { "stats": ["", "Species", "Dilution Info", "Notes"], "tabs": { "all-applications": {"fullname" : "All Applications", "shortname": "All Applications"}, "WB" : {"fullname" : "Western blot", "shortname":"WB"}, "IHCP" : {"fullname" : "Immunohistochemistry (Formalin/PFA-fixed paraffin-embedded sections)", "shortname":"IHC-P"} }, "product-promise": { "all": "all", "testedAndGuaranteed": "tested", "guaranteed": "expected", "predicted": "predicted", "notRecommended": "not-recommended" } }, "values": { "Human": { "WB-species-checked": "testedAndGuaranteed", "WB-species-dilution-info": "1/500 - 1/3000", "WB-species-notes": "<p></p>", "IHCP-species-checked": "testedAndGuaranteed", "IHCP-species-dilution-info": "1/100 - 1/1000", "IHCP-species-notes": "<p>Perform heat mediated antigen retrieval before commencing with IHC staining protocol using 10mM Citrate buffer (pH6.0) or Tris-EDTA buffer (pH8.0).</p>" }, "Mouse": { "WB-species-checked": "testedAndGuaranteed", "WB-species-dilution-info": "1/500 - 1/3000", "WB-species-notes": "<p></p>", "IHCP-species-checked": "guaranteed", "IHCP-species-dilution-info": "", "IHCP-species-notes": "" }, "Rat": { "WB-species-checked": "testedAndGuaranteed", "WB-species-dilution-info": "1/500 - 1/3000", "WB-species-notes": "<p></p>", "IHCP-species-checked": "guaranteed", "IHCP-species-dilution-info": "", "IHCP-species-notes": "" } } }

Properties and storage information

Form
Liquid
Purification technique
Affinity purification Immunogen
Storage buffer
pH: 7 Preservative: 0.01% Thimerosal (merthiolate) Constituents: 59.99% PBS, 40% Glycerol (glycerin, glycerine)
Shipped at conditions
Blue Ice
Appropriate short-term storage duration
1-2 weeks
Appropriate short-term storage conditions
+4°C
Appropriate long-term storage conditions
-20°C
Aliquoting information
Upon delivery aliquot
Storage information
Avoid freeze / thaw cycle

Supplementary information

This supplementary information is collated from multiple sources and compiled automatically.

PI 3 Kinase catalytic subunit gamma also known as PI3K-gamma is an enzyme important in cellular signaling. PI3K-gamma is part of the PI3K family which includes different classes of signal transducing enzymes. The catalytic subunit with a molecular weight of approximately 110 kDa becomes activated primarily in response to activation of G protein-coupled receptors. It is abundantly expressed in hematopoietic cells but also found in other tissues like the heart and lungs indicating its significant role in diverse cellular contexts. The enzyme functions by phosphorylating phosphoinositides an important step in initiating various downstream signaling pathways.
Biological function summary

PI3K-gamma plays an important role in mediating immune responses. It is a part of a larger dimeric complex coupling with a regulatory subunit to modulate its activity and specificity. This complex formation is vital in regulating leukocyte chemotaxis endothelial cell migration and cardiac function. Signaling through PI3K-gamma influences the activation and migration of immune cells aiding in the body's defense mechanism against infections and inflammation. Additionally the protein regulates heart contractility contributing to cardiac physiology.

Pathways

PI3K-gamma is an essential component in the PI3K-Akt signaling pathway. This pathway modulates various cellular processes including cell proliferation survival and metabolism. Reports link PI3K-gamma to the regulation of mTOR pathway which further affects protein synthesis and autophagy. Within these pathways it aligns with proteins such as Akt and mTORC1 facilitating signals that control cell growth and resistance to apoptosis. These pathways demonstrate the enzyme's involvement in maintenance of cellular homeostasis and adaptability.

PI3K-gamma has been implicated in inflammatory diseases and cardiovascular disorders. Enhanced PI3K-gamma activity often correlates with hyperactive immune responses contributing to conditions like rheumatoid arthritis and asthma. Its aberrant signaling also associates with heart failure due to its regulatory role in cardiac myocyte function. In the context of these diseases there is interaction with proteins such as NF-kB and Bcl-2 which get involved in pro-inflammatory signaling and cell survival respectively. The regulation of PI3K-gamma offers potential therapeutic targets for managing these conditions effectively.

Product protocols

For this product, it's our understanding that no specific protocols are required. You can visit:

Target data

Phosphoinositide-3-kinase (PI3K) that phosphorylates PtdIns(4,5)P2 (Phosphatidylinositol 4,5-bisphosphate) to generate phosphatidylinositol 3,4,5-trisphosphate (PIP3). PIP3 plays a key role by recruiting PH domain-containing proteins to the membrane, including AKT1 and PDPK1, activating signaling cascades involved in cell growth, survival, proliferation, motility and morphology. Links G-protein coupled receptor activation to PIP3 production. Involved in immune, inflammatory and allergic responses. Modulates leukocyte chemotaxis to inflammatory sites and in response to chemoattractant agents. May control leukocyte polarization and migration by regulating the spatial accumulation of PIP3 and by regulating the organization of F-actin formation and integrin-based adhesion at the leading edge. Controls motility of dendritic cells. Together with PIK3CD is involved in natural killer (NK) cell development and migration towards the sites of inflammation. Participates in T-lymphocyte migration. Regulates T-lymphocyte proliferation, activation, and cytokine production. Together with PIK3CD participates in T-lymphocyte development. Required for B-lymphocyte development and signaling. Together with PIK3CD participates in neutrophil respiratory burst. Together with PIK3CD is involved in neutrophil chemotaxis and extravasation. Together with PIK3CB promotes platelet aggregation and thrombosis. Regulates alpha-IIb/beta-3 integrins (ITGA2B/ ITGB3) adhesive function in platelets downstream of P2Y12 through a lipid kinase activity-independent mechanism. May have also a lipid kinase activity-dependent function in platelet aggregation. Involved in endothelial progenitor cell migration. Negative regulator of cardiac contractility. Modulates cardiac contractility by anchoring protein kinase A (PKA) and PDE3B activation, reducing cAMP levels. Regulates cardiac contractility also by promoting beta-adrenergic receptor internalization by binding to GRK2 and by non-muscle tropomyosin phosphorylation. Also has serine/threonine protein kinase activity : both lipid and protein kinase activities are required for beta-adrenergic receptor endocytosis. May also have a scaffolding role in modulating cardiac contractility. Contributes to cardiac hypertrophy under pathological stress. Through simultaneous binding of PDE3B to RAPGEF3 and PIK3R6 is assembled in a signaling complex in which the PI3K gamma complex is activated by RAPGEF3 and which is involved in angiogenesis. In neutrophils, participates in a phospholipase C-activating N-formyl peptide-activated GPCR (G protein-coupled receptor) signaling pathway downstream of RASGRP4-mediated Ras-activation, to promote neutrophil functional responses (By similarity).
See full target information PIK3CG

Publications (36)

Recent publications for all applications. Explore the full list and refine your search

Polish journal of pathology : official journal of the Polish Society of Pathologists 74:182-193 PubMed37955537

2023

S100A16 cooperates with DEPDC1 to promote the progression and angiogenesis of nephroblastoma through PI3K/Akt/mTOR pathway.

Applications

Unspecified application

Species

Unspecified reactive species

Geng Geng,Yongtao Xu,Qingfang Li,Qinghao Li,Lili Yuan,Mengyao Dong,Ming Ming

BMC complementary medicine and therapies 23:198 PubMed37322430

2023

A whole transcriptome profiling analysis for antidepressant mechanism of Xiaoyaosan mediated synapse loss via BDNF/trkB/PI3K signal axis in CUMS rats.

Applications

Unspecified application

Species

Unspecified reactive species

Pan Meng,Xi Zhang,Tong-Tong Liu,Jian Liu,Yan Luo,Ming-Xia Xie,Hui Yang,Rui Fang,Dong-Wei Guo,Zi-Yan Zhong,Yu-Hong Wang,Jin-Wen Ge

International journal of molecular sciences 24: PubMed37175945

2023

Effects of Therapeutic Platelet-Rich Plasma on Overactive Bladder via Modulating Hyaluronan Synthesis in Ovariectomized Rat.

Applications

Unspecified application

Species

Unspecified reactive species

Jian-He Lu,Kuang-Shun Chueh,Tai-Jui Juan,Jing-Wen Mao,Rong-Jyh Lin,Yi-Chen Lee,Mei-Chen Shen,Ting-Wei Sun,Hung-Yu Lin,Yung-Shun Juan

Central-European journal of immunology 47:308-322 PubMed36817393

2023

ELF3-induced miR-182 inhibits adipogenic differentiation in Graves' orbitopathy by targeting thyrotropin receptor.

Applications

Unspecified application

Species

Unspecified reactive species

Sha Wang,Lu Chen,Bei Xu

Iranian journal of biotechnology 21:e3339 PubMed36811106

2023

Promotes Laryngeal Carcinoma Proliferation and Migration Through Pathway by .

Applications

Unspecified application

Species

Unspecified reactive species

Liang Gong,Xue-Feng Wang,Hao Liu,Li Li

Bioscience reports 42: PubMed36367210

2022

Leptin alleviates endoplasmic reticulum stress induced by cerebral ischemia/reperfusion injury via the PI3K/Akt signaling pathway.

Applications

Unspecified application

Species

Unspecified reactive species

Yan Zhang,Daobin Cheng,Chunxiao Jie,Tao Liu,Shixiong Huang,Shijun Hu

Journal of oncology 2022:6435431 PubMed36131794

2022

Chelerythrine Inhibits Stemness of Cancer Stem-Like Cells of Osteosarcoma and PI3K/AKT/mTOR Signal.

Applications

Unspecified application

Species

Unspecified reactive species

Zhixing Chen,Hui Yang,Qianlu Zhang,Qiongying Hu,Ziyi Zhao

Journal of nanobiotechnology 20:309 PubMed35764963

2022

MiR-21 regulating PVT1/PTEN/IL-17 axis towards the treatment of infectious diabetic wound healing by modified GO-derived biomaterial in mouse models.

Applications

Unspecified application

Species

Unspecified reactive species

Xi Chen,Yizhong Peng,Hang Xue,Guohui Liu,Ning Wang,Zengwu Shao

Aging 14:4888-4896 PubMed35696643

2022

Effects of Qidantang Granule on early stage of diabetic kidney disease in rats.

Applications

Unspecified application

Species

Unspecified reactive species

Tengfei Wu,Xinyu Yang,Yilei Cong,Shisi Xia,Bowen Liu,Ran Zou,Juanhua Zeng,Hua Yang

Bioengineered 13:12625-12636 PubMed35609324

2022

Gastrodin protects retinal ganglion cells from ischemic injury by activating phosphatidylinositol 3-kinase/protein kinase B/nuclear factor erythroid 2-related factor 2 (PI3K/AKT/Nrf2) signaling pathway.

Applications

Unspecified application

Species

Unspecified reactive species

Sizhen Li,Qingsong Yang,Zixiu Zhou,Xiaodong Yang,Yating Liu,Kuanxiao Hao,Min Fu
View all publications

Product promise

We are committed to supporting your work with high-quality reagents, and we're here for you every step of the way. In the unlikely event that one of our products does not perform as expected, you're protected by our Product Promise.
For full details, please see our Terms & Conditions

Associated Products

Select an associated product type
Alternative Product
Primary Antibodies

AB140307

Anti-PI 3 Kinase catalytic subunit gamma/PI3K-gamma antibody [OTI4G10]

primary-antibodies

pi-3-kinase-catalytic-subunit-gamma-pi3k-gamma-antibody-oti4g10-ab140307

0

(0 reviews)

Alternative Product
Primary Antibodies

AB139307

Anti-PI 3 Kinase catalytic subunit gamma/PI3K-gamma antibody [OTI4H9]

primary-antibodies

pi-3-kinase-catalytic-subunit-gamma-pi3k-gamma-antibody-oti4h9-ab139307

0

(0 reviews)

Please note: All products are 'FOR RESEARCH USE ONLY. NOT FOR USE IN DIAGNOSTIC OR THERAPEUTIC PROCEDURES'.

For licensing inquiries, please contact partnerships@abcam.com