JavaScript is disabled in your browser. Please enable JavaScript to view this website.
AB302958

Anti-PI 3 Kinase catalytic subunit gamma/PI3K-gamma antibody [EPR25156-60]

  • BOND RX™ Validated
  • 20ul selling size
  • RabMAb
  • Recombinant
  • What is this?

Be the first to review this product! Submit a review

|

(4 Publications)

Rabbit Recombinant Monoclonal PI 3 Kinase catalytic subunit gamma/PI3K-gamma antibody. Suitable for WB, IHC-P, IP and reacts with Human, Mouse, Rat, Transfected cell line - Human samples. Cited in 4 publications.

View Alternative Names

PI3-kinase subunit gamma, PI3K-gamma, PI3Kgamma, PtdIns-3-kinase subunit gamma, Phosphoinositide-3-kinase catalytic gamma polypeptide, Serine/threonine protein kinase PIK3CG, p120-PI3K, PtdIns-3-kinase subunit p110-gamma, p110gamma, PIK3CG

6 Images
Immunohistochemistry - Anti-PI 3 Kinase catalytic subunit gamma/PI3K-gamma antibody [EPR25156-60] (AB302958)
  • IHC

Supplier Data

Immunohistochemistry - Anti-PI 3 Kinase catalytic subunit gamma/PI3K-gamma antibody [EPR25156-60] (AB302958)

Immunohistochemical analysis of paraffin-embedded (A) HEK-293T cells t tissue labeling PI 3 Kinase catalytic subunit gamma/PI3K-gamma with ab302958 at 1/2000 (0.251 ug/ml) followed by a LeicaDS9800 (Bond™ Polymer Refine Detection) was used at Ready to use dilution. Postive staining on (A) HEK-293T cells transfected with a PIK3CG expression vector containing a his tag. No staining on (B) HEK-293T cells transfected with empty vector containing a his tag. The section was incubated with ab302958 for 30 mins at room temperature.The immunostaining was performed on a Leica Biosystems BOND® RX instrument Counterstained with Hematoxylin. Secondary antibody only control : Secondary antibody is LeicaDS9800 (Bond™ Polymer Refine Detection) was used at Ready to use dilution. Heat mediated antigen retrieval was performed with Tris-EDTA buffer (pH 9.0, Epitope Retrieval Solution2) for 20 mins

Immunohistochemistry - Anti-PI 3 Kinase catalytic subunit gamma/PI3K-gamma antibody [EPR25156-60] (AB302958)
  • IHC

Supplier Data

Immunohistochemistry - Anti-PI 3 Kinase catalytic subunit gamma/PI3K-gamma antibody [EPR25156-60] (AB302958)

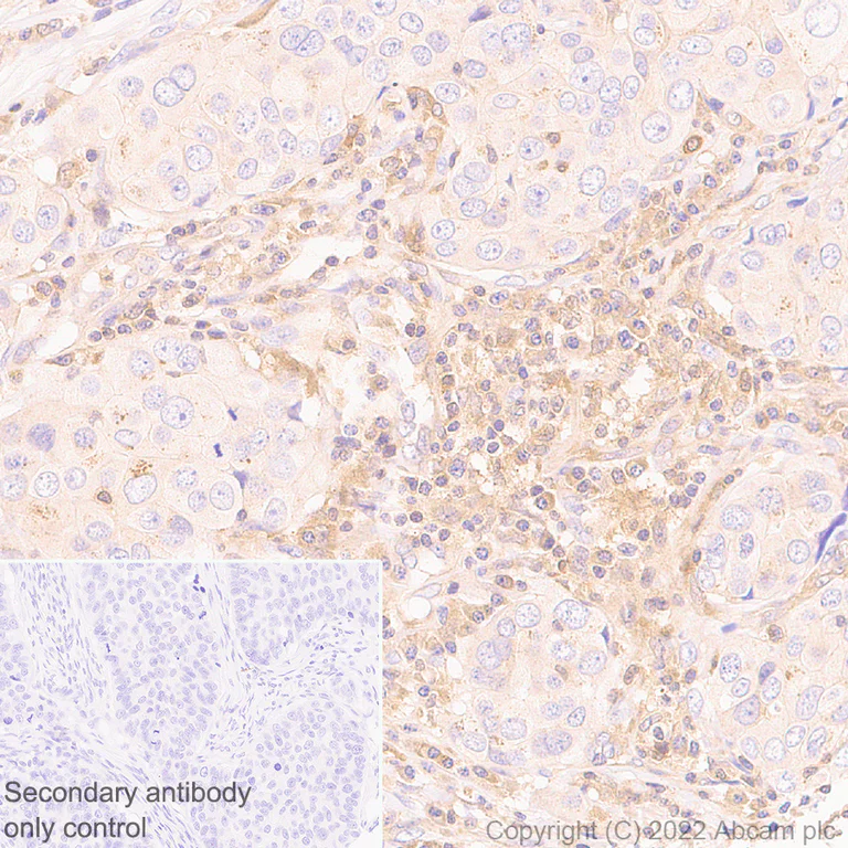
Immunohistochemical analysis of paraffin-embedded Human breast carcino tissue labeling PI 3 Kinase catalytic subunit gamma/PI3K-gamma with ab302958 at 1/100 (5.02 ug/ml) followed by a LeicaDS9800 (Bond™ Polymer Refine Detection) was used at Ready to use dilution. Postive staining on human breast carcinoma. The section was incubated with ab302958 for 30 mins at room temperature.The immunostaining was performed on a Leica Biosystems BOND® RX instrument Counterstained with Hematoxylin. Secondary antibody only control : Secondary antibody is LeicaDS9800 (Bond™ Polymer Refine Detection) was used at Ready to use dilution. Heat mediated antigen retrieval was performed with Tris-EDTA buffer (pH 9.0, Epitope Retrieval Solution2) for 20 mins

Immunohistochemistry - Anti-PI 3 Kinase catalytic subunit gamma/PI3K-gamma antibody [EPR25156-60] (AB302958)
  • IHC

Supplier Data

Immunohistochemistry - Anti-PI 3 Kinase catalytic subunit gamma/PI3K-gamma antibody [EPR25156-60] (AB302958)

Immunohistochemical analysis of paraffin-embedded Human spleen tissue labeling PI 3 Kinase catalytic subunit gamma/PI3K-gamma with ab302958 at 1/100 (5.02 ug/ml) followed by a LeicaDS9800 (Bond™ Polymer Refine Detection) was used at Ready to use dilution. Postive staining on human spleen. The section was incubated with ab302958 for 30 mins at room temperature.The immunostaining was performed on a Leica Biosystems BOND® RX instrument Counterstained with Hematoxylin. Secondary antibody only control : Secondary antibody is LeicaDS9800 (Bond™ Polymer Refine Detection) was used at Ready to use dilution. Heat mediated antigen retrieval was performed with Tris-EDTA buffer (pH 9.0, Epitope Retrieval Solution2) for 20 mins

Immunohistochemistry - Anti-PI 3 Kinase catalytic subunit gamma/PI3K-gamma antibody [EPR25156-60] (AB302958)
  • IHC

Supplier Data

Immunohistochemistry - Anti-PI 3 Kinase catalytic subunit gamma/PI3K-gamma antibody [EPR25156-60] (AB302958)

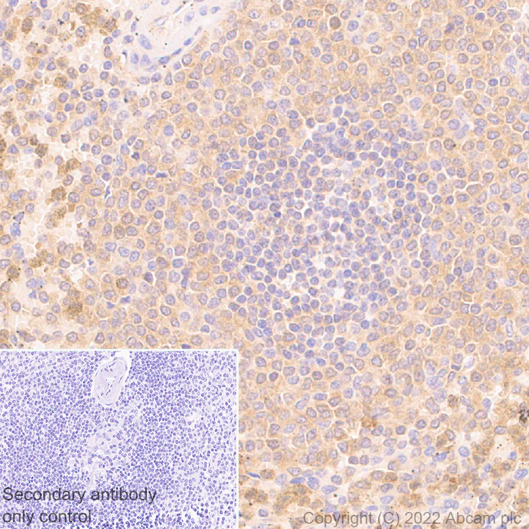
Immunohistochemical analysis of paraffin-embedded Human tonsil tissue labeling PI 3 Kinase catalytic subunit gamma/PI3K-gamma with ab302958 at 1/100 (5.02 ug/ml) followed by a LeicaDS9800 (Bond™ Polymer Refine Detection) was used at Ready to use dilution. Positive staining on human tonsil. The section was incubated with ab302958 for 30 mins at room temperature.The immunostaining was performed on a Leica Biosystems BOND® RX instrument Counterstained with Hematoxylin. Secondary antibody only control : Secondary antibody is LeicaDS9800 (Bond™ Polymer Refine Detection) was used at Ready to use dilution. Heat mediated antigen retrieval was performed with Tris-EDTA buffer (pH 9.0, Epitope Retrieval Solution2) for 20 mins

Immunohistochemistry - Anti-PI 3 Kinase catalytic subunit gamma/PI3K-gamma antibody [EPR25156-60] (AB302958)
  • IHC

Supplier Data

Immunohistochemistry - Anti-PI 3 Kinase catalytic subunit gamma/PI3K-gamma antibody [EPR25156-60] (AB302958)

Immunohistochemical analysis of paraffin-embedded Rat spleen tissue labeling PI 3 Kinase catalytic subunit gamma/PI3K-gamma with ab302958 at 1/100 (5.02 ug/ml) followed by a LeicaDS9800 (Bond™ Polymer Refine Detection) was used at Ready to use dilution. Positive staining on rat spleen. The section was incubated with ab302958 for 30 mins at room temperature. The immunostaining was performed on a Leica Biosystems BOND® RX instrument Counterstained with Hematoxylin. Secondary antibody only control : Secondary antibody is LeicaDS9800 (Bond™ Polymer Refine Detection) was used at Ready to use dilution. Heat mediated antigen retrieval was performed with Tris-EDTA buffer (pH 9.0, Epitope Retrieval Solution2) for 20 mins

Immunohistochemistry - Anti-PI 3 Kinase catalytic subunit gamma/PI3K-gamma antibody [EPR25156-60] (AB302958)
  • IHC

Supplier Data

Immunohistochemistry - Anti-PI 3 Kinase catalytic subunit gamma/PI3K-gamma antibody [EPR25156-60] (AB302958)

Immunohistochemical analysis of paraffin-embedded Mouse spleen tissue labeling PI 3 Kinase catalytic subunit gamma/PI3K-gamma with ab302958 at 1/100 (5.02 ug/ml) followed by a LeicaDS9800 (Bond™ Polymer Refine Detection) was used at Ready to use dilution. Postive staining on mouse spleen. The section was incubated with ab302958 for 30 mins at room temperature.The immunostaining was performed on a Leica Biosystems BOND® RX instrument Counterstained with Hematoxylin. Secondary antibody only control : Secondary antibody is LeicaDS9800 (Bond™ Polymer Refine Detection) was used at Ready to use dilution. Heat mediated antigen retrieval was performed with Tris-EDTA buffer (pH 9.0, Epitope Retrieval Solution2) for 20 mins

  • Carrier free

    Anti-PI 3 Kinase catalytic subunit gamma/PI3K-gamma antibody [EPR25156-60] - BSA and Azide free

Key facts

Host species

Rabbit

Clonality

Monoclonal

Clone number

EPR25156-60

Isotype

IgG

Carrier free

No

Reacts with

Human, Mouse, Rat

Applications

IHC-P, WB, IP

applications

Immunogen

The exact immunogen used to generate this antibody is proprietary information.

Reactivity data

{ "title": "Reactivity Data", "filters": { "stats": ["", "Species", "Dilution Info", "Notes"], "tabs": { "all-applications": {"fullname" : "All Applications", "shortname": "All Applications"}, "WB" : {"fullname" : "Western blot", "shortname":"WB"}, "IHCP" : {"fullname" : "Immunohistochemistry (Formalin/PFA-fixed paraffin-embedded sections)", "shortname":"IHC-P"}, "ICCIF" : {"fullname" : "Immunocytochemistry/ Immunofluorescence", "shortname":"ICC/IF"}, "FlowCytIntra" : {"fullname" : "Flow Cytometry (Intracellular)", "shortname":"Flow Cyt (Intra)"}, "IP" : {"fullname" : "Immunoprecipitation", "shortname":"IP"} }, "product-promise": { "all": "all", "testedAndGuaranteed": "tested", "guaranteed": "expected", "predicted": "predicted", "notRecommended": "not-recommended" } }, "values": { "Human": { "WB-species-checked": "testedAndGuaranteed", "WB-species-dilution-info": "1/1000", "WB-species-notes": "<p></p>", "IHCP-species-checked": "testedAndGuaranteed", "IHCP-species-dilution-info": "1/100", "IHCP-species-notes": "<p></p> Perform heat-mediated antigen retrieval with Tris/EDTA buffer pH 9.0 before commencing with IHC staining protocol.", "ICCIF-species-checked": "notRecommended", "ICCIF-species-dilution-info": "", "ICCIF-species-notes": "<p></p>", "FlowCytIntra-species-checked": "notRecommended", "FlowCytIntra-species-dilution-info": "", "FlowCytIntra-species-notes": "<p></p>", "IP-species-checked": "testedAndGuaranteed", "IP-species-dilution-info": "1/30", "IP-species-notes": "<p></p>" }, "Mouse": { "WB-species-checked": "testedAndGuaranteed", "WB-species-dilution-info": "1/1000", "WB-species-notes": "<p></p>", "IHCP-species-checked": "testedAndGuaranteed", "IHCP-species-dilution-info": "1/100", "IHCP-species-notes": "<p></p> Perform heat-mediated antigen retrieval with Tris/EDTA buffer pH 9.0 before commencing with IHC staining protocol.", "ICCIF-species-checked": "notRecommended", "ICCIF-species-dilution-info": "", "ICCIF-species-notes": "<p></p>", "FlowCytIntra-species-checked": "notRecommended", "FlowCytIntra-species-dilution-info": "", "FlowCytIntra-species-notes": "<p></p>", "IP-species-checked": "testedAndGuaranteed", "IP-species-dilution-info": "1/30", "IP-species-notes": "<p></p>" }, "Rat": { "WB-species-checked": "testedAndGuaranteed", "WB-species-dilution-info": "1/1000", "WB-species-notes": "<p></p>", "IHCP-species-checked": "testedAndGuaranteed", "IHCP-species-dilution-info": "1/100", "IHCP-species-notes": "<p></p> Perform heat-mediated antigen retrieval with Tris/EDTA buffer pH 9.0 before commencing with IHC staining protocol.", "ICCIF-species-checked": "notRecommended", "ICCIF-species-dilution-info": "", "ICCIF-species-notes": "<p></p>", "FlowCytIntra-species-checked": "notRecommended", "FlowCytIntra-species-dilution-info": "", "FlowCytIntra-species-notes": "<p></p>", "IP-species-checked": "guaranteed", "IP-species-dilution-info": "", "IP-species-notes": "" }, "Transfected cell line - Human": { "WB-species-checked": "notRecommended", "WB-species-dilution-info": "", "WB-species-notes": "", "IHCP-species-checked": "testedAndGuaranteed", "IHCP-species-dilution-info": "1/100", "IHCP-species-notes": "<p></p> Perform heat-mediated antigen retrieval with Tris/EDTA buffer pH 9.0 before commencing with IHC staining protocol.", "ICCIF-species-checked": "notRecommended", "ICCIF-species-dilution-info": "", "ICCIF-species-notes": "", "FlowCytIntra-species-checked": "notRecommended", "FlowCytIntra-species-dilution-info": "", "FlowCytIntra-species-notes": "", "IP-species-checked": "notRecommended", "IP-species-dilution-info": "", "IP-species-notes": "" } } }

Product details

Patented technology
Our RabMAb® technology is a patented hybridoma-based technology for making rabbit monoclonal antibodies. For details on our patents, please refer to RabMAb® patents.

What are the advantages of a recombinant monoclonal antibody?
This product is a recombinant monoclonal antibody, which offers several advantages including:

  • - High batch-to-batch consistency and reproducibility
  • - Improved sensitivity and specificity
  • - Long-term security of supply
  • - Animal-free batch production

For more information, read more on recombinant antibodies.

Properties and storage information

Form
Liquid
Purification technique
Affinity purification Protein A
Storage buffer
pH: 7.2 - 7.4 Preservative: 0.01% Sodium azide Constituents: PBS, 40% Glycerol (glycerin, glycerine), 0.05% BSA
Shipped at conditions
Blue Ice
Appropriate short-term storage duration
1-2 weeks
Appropriate short-term storage conditions
+4°C
Appropriate long-term storage conditions
-20°C
Aliquoting information
Upon delivery aliquot
Storage information
Avoid freeze / thaw cycle

Supplementary information

This supplementary information is collated from multiple sources and compiled automatically.

PI 3 Kinase catalytic subunit gamma also known as PI3K-gamma is an enzyme important in cellular signaling. PI3K-gamma is part of the PI3K family which includes different classes of signal transducing enzymes. The catalytic subunit with a molecular weight of approximately 110 kDa becomes activated primarily in response to activation of G protein-coupled receptors. It is abundantly expressed in hematopoietic cells but also found in other tissues like the heart and lungs indicating its significant role in diverse cellular contexts. The enzyme functions by phosphorylating phosphoinositides an important step in initiating various downstream signaling pathways.
Biological function summary

PI3K-gamma plays an important role in mediating immune responses. It is a part of a larger dimeric complex coupling with a regulatory subunit to modulate its activity and specificity. This complex formation is vital in regulating leukocyte chemotaxis endothelial cell migration and cardiac function. Signaling through PI3K-gamma influences the activation and migration of immune cells aiding in the body's defense mechanism against infections and inflammation. Additionally the protein regulates heart contractility contributing to cardiac physiology.

Pathways

PI3K-gamma is an essential component in the PI3K-Akt signaling pathway. This pathway modulates various cellular processes including cell proliferation survival and metabolism. Reports link PI3K-gamma to the regulation of mTOR pathway which further affects protein synthesis and autophagy. Within these pathways it aligns with proteins such as Akt and mTORC1 facilitating signals that control cell growth and resistance to apoptosis. These pathways demonstrate the enzyme's involvement in maintenance of cellular homeostasis and adaptability.

PI3K-gamma has been implicated in inflammatory diseases and cardiovascular disorders. Enhanced PI3K-gamma activity often correlates with hyperactive immune responses contributing to conditions like rheumatoid arthritis and asthma. Its aberrant signaling also associates with heart failure due to its regulatory role in cardiac myocyte function. In the context of these diseases there is interaction with proteins such as NF-kB and Bcl-2 which get involved in pro-inflammatory signaling and cell survival respectively. The regulation of PI3K-gamma offers potential therapeutic targets for managing these conditions effectively.

Product protocols

For this product, it's our understanding that no specific protocols are required. You can visit:

Target data

Phosphoinositide-3-kinase (PI3K) that phosphorylates PtdIns(4,5)P2 (Phosphatidylinositol 4,5-bisphosphate) to generate phosphatidylinositol 3,4,5-trisphosphate (PIP3). PIP3 plays a key role by recruiting PH domain-containing proteins to the membrane, including AKT1 and PDPK1, activating signaling cascades involved in cell growth, survival, proliferation, motility and morphology. Links G-protein coupled receptor activation to PIP3 production. Involved in immune, inflammatory and allergic responses. Modulates leukocyte chemotaxis to inflammatory sites and in response to chemoattractant agents. May control leukocyte polarization and migration by regulating the spatial accumulation of PIP3 and by regulating the organization of F-actin formation and integrin-based adhesion at the leading edge. Controls motility of dendritic cells. Together with PIK3CD is involved in natural killer (NK) cell development and migration towards the sites of inflammation. Participates in T-lymphocyte migration. Regulates T-lymphocyte proliferation, activation, and cytokine production. Together with PIK3CD participates in T-lymphocyte development. Required for B-lymphocyte development and signaling. Together with PIK3CD participates in neutrophil respiratory burst. Together with PIK3CD is involved in neutrophil chemotaxis and extravasation. Together with PIK3CB promotes platelet aggregation and thrombosis. Regulates alpha-IIb/beta-3 integrins (ITGA2B/ ITGB3) adhesive function in platelets downstream of P2Y12 through a lipid kinase activity-independent mechanism. May have also a lipid kinase activity-dependent function in platelet aggregation. Involved in endothelial progenitor cell migration. Negative regulator of cardiac contractility. Modulates cardiac contractility by anchoring protein kinase A (PKA) and PDE3B activation, reducing cAMP levels. Regulates cardiac contractility also by promoting beta-adrenergic receptor internalization by binding to GRK2 and by non-muscle tropomyosin phosphorylation. Also has serine/threonine protein kinase activity : both lipid and protein kinase activities are required for beta-adrenergic receptor endocytosis. May also have a scaffolding role in modulating cardiac contractility. Contributes to cardiac hypertrophy under pathological stress. Through simultaneous binding of PDE3B to RAPGEF3 and PIK3R6 is assembled in a signaling complex in which the PI3K gamma complex is activated by RAPGEF3 and which is involved in angiogenesis. In neutrophils, participates in a phospholipase C-activating N-formyl peptide-activated GPCR (G protein-coupled receptor) signaling pathway downstream of RASGRP4-mediated Ras-activation, to promote neutrophil functional responses (By similarity).
See full target information PIK3CG

Publications (4)

Recent publications for all applications. Explore the full list and refine your search

Heliyon 9:e20185 PubMed37809806

2023

Fibronectin promotes tumor progression through integrin αvβ3/PI3K/AKT/SOX2 signaling in non-small cell lung cancer.

Applications

Unspecified application

Species

Unspecified reactive species

Jin-Long Wu,Cheng-Feng Xu,Xu-Hui Yang,Ming-Song Wang

Journal of Cancer 14:2811-2819 PubMed37781075

2023

Down-regulation of miR-424 inhibited the metastasis of endometrial carcinoma via targeting PTEN/PI3K/AKT signaling pathway.

Applications

Unspecified application

Species

Unspecified reactive species

Yongwei Lu,Qiaoyan Lin,Cuibo Lin,Jian Chen,Xinyan Jiang,Haixin He

BMC women's health 23:432 PubMed37582772

2023

Roles of increased NUCKS1 expression in endometriosis.

Applications

Unspecified application

Species

Unspecified reactive species

Bo Li,Bocen Chen,Xiaoli Wang,Man Xiao,Kan Zhang,Wenjiao Ye,Da Zhao,Xiaohua Wang,Yan Yu,Jun Li,Xun Xu,Wenhui Zhang,Yanhua Zhang

Molecular cancer 22:99 PubMed37353784

2023

mA methylation reader IGF2BP2 activates endothelial cells to promote angiogenesis and metastasis of lung adenocarcinoma.

Applications

Unspecified application

Species

Unspecified reactive species

Han Fang,Qi Sun,Jin Zhou,Huijuan Zhang,Qiong Song,Hua Zhang,Guohua Yu,Ying Guo,Chengyu Huang,Yakui Mou,Chuanliang Jia,Yingjian Song,Aina Liu,Kaiyu Song,Congxian Lu,Ruxian Tian,Shizhuang Wei,Dengfeng Yang,Yixuan Chen,Ting Li,Kejian Wang,Yilan Yu,Yufeng Lv,Ke Mo,Ping Sun,Xiaofeng Yu,Xicheng Song
View all publications

Product promise

We are committed to supporting your work with high-quality reagents, and we're here for you every step of the way. In the unlikely event that one of our products does not perform as expected, you're protected by our Product Promise.
For full details, please see our Terms & Conditions

Please note: All products are 'FOR RESEARCH USE ONLY. NOT FOR USE IN DIAGNOSTIC OR THERAPEUTIC PROCEDURES'.

For licensing inquiries, please contact partnerships@abcam.com