JavaScript is disabled in your browser. Please enable JavaScript to view this website.
AB140307

Anti-PI 3 Kinase catalytic subunit gamma/PI3K-gamma antibody [OTI4G10]

Be the first to review this product! Submit a review

|

(63 Publications)

Mouse Monoclonal PI 3 Kinase catalytic subunit gamma/PI3K-gamma antibody. Suitable for IHC-P, WB, ICC/IF and reacts with Human, African green monkey samples. Cited in 63 publications. Immunogen corresponding to Recombinant Full Length Protein corresponding to Human PIK3CG.

View Alternative Names

PI3-kinase subunit gamma, PI3K-gamma, PI3Kgamma, PtdIns-3-kinase subunit gamma, Phosphoinositide-3-kinase catalytic gamma polypeptide, Serine/threonine protein kinase PIK3CG, p120-PI3K, PtdIns-3-kinase subunit p110-gamma, p110gamma, PIK3CG

5 Images
Immunohistochemistry (Formalin/PFA-fixed paraffin-embedded sections) - Anti-PI 3 Kinase catalytic subunit gamma/PI3K-gamma antibody [OTI4G10] (AB140307)
  • IHC-P

Unknown

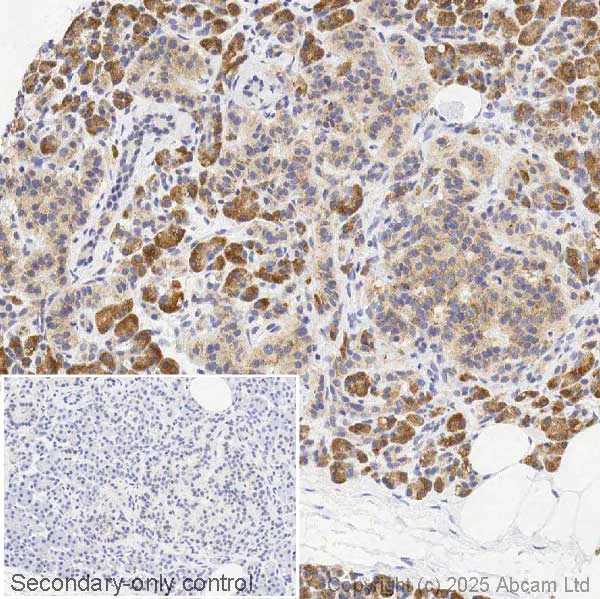
Immunohistochemistry (Formalin/PFA-fixed paraffin-embedded sections) - Anti-PI 3 Kinase catalytic subunit gamma/PI3K-gamma antibody [OTI4G10] (AB140307)

Paraffin-embedded human ovary adenocarcinoma tissue stained for PI 3 Kinase catalytic subunit gamma/PI3K-gamma using ab140307 at 1/150 dilution in immunohistochemical analysis.

Immunohistochemistry (Formalin/PFA-fixed paraffin-embedded sections) - Anti-PI 3 Kinase catalytic subunit gamma/PI3K-gamma antibody [OTI4G10] (AB140307)
  • IHC-P

Lab

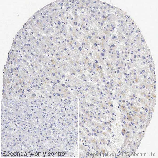
Immunohistochemistry (Formalin/PFA-fixed paraffin-embedded sections) - Anti-PI 3 Kinase catalytic subunit gamma/PI3K-gamma antibody [OTI4G10] (AB140307)

Negative control image : IHC image of PI3K gamma staining in a section of formalin-fixed paraffin-embedded normal human liver* performed on a Leica Biosystems BOND® RX instrument using the standard protocol. The section was pre-treated using heat mediated antigen retrieval with sodium citrate buffer (pH6, epitope retrieval solution 1) for 20mins. The section was then incubated with ab140307, 10ug/ml, for 15 mins at room temperature and detected using an HRP conjugated compact polymer system. DAB was used as the chromogen. The section was then counterstained with haematoxylin and mounted with DPX. The inset secondary-only control image is taken from an identical assay without primary antibody.

For other IHC staining systems (automated and non-automated) customers should optimize variable parameters such as antigen retrieval conditions, primary antibody concentration and antibody incubation times.

*Tissue obtained from the Human Research Tissue Bank, supported by the NIHR Cambridge Biomedical Research Centre

Immunohistochemistry (Formalin/PFA-fixed paraffin-embedded sections) - Anti-PI 3 Kinase catalytic subunit gamma/PI3K-gamma antibody [OTI4G10] (AB140307)
  • IHC-P

Lab

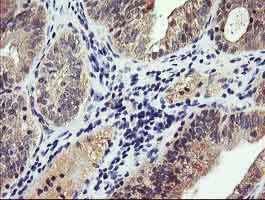
Immunohistochemistry (Formalin/PFA-fixed paraffin-embedded sections) - Anti-PI 3 Kinase catalytic subunit gamma/PI3K-gamma antibody [OTI4G10] (AB140307)

IHC image of PI3K gamma staining in a section of formalin-fixed paraffin-embedded normal human pancreas* performed on a Leica Biosystems BOND® RX instrument using the standard protocol. The section was pre-treated using heat mediated antigen retrieval with sodium citrate buffer (pH6, epitope retrieval solution 1) for 20mins. The section was then incubated with ab140307, 10ug/ml, for 15 mins at room temperature and detected using an HRP conjugated compact polymer system. DAB was used as the chromogen. The section was then counterstained with haematoxylin and mounted with DPX. The inset secondary-only control image is taken from an identical assay without primary antibody.

For other IHC staining systems (automated and non-automated) customers should optimize variable parameters such as antigen retrieval conditions, primary antibody concentration and antibody incubation times.

*Tissue obtained from the Human Research Tissue Bank, supported by the NIHR Cambridge Biomedical Research Centre

Immunocytochemistry/ Immunofluorescence - Anti-PI 3 Kinase catalytic subunit gamma/PI3K-gamma antibody [OTI4G10] (AB140307)
  • ICC/IF

Unknown

Immunocytochemistry/ Immunofluorescence - Anti-PI 3 Kinase catalytic subunit gamma/PI3K-gamma antibody [OTI4G10] (AB140307)

COS-7 (african green monkey kidney fibroblast-like cell line) cells transiently transfected by pCMV6-ENTRY PI 3 Kinase catalytic subunit gamma/PI3K-gamma cDNA, labelling PI 3 Kinase catalytic subunit gamma/PI3K-gamma (green) with ab140307 at 1/100 dilution in ICC/IF.

Western blot - Anti-PI 3 Kinase catalytic subunit gamma/PI3K-gamma antibody [OTI4G10] (AB140307)
  • WB

Unknown

Western blot - Anti-PI 3 Kinase catalytic subunit gamma/PI3K-gamma antibody [OTI4G10] (AB140307)

All lanes:

Western blot - Anti-PI 3 Kinase catalytic subunit gamma/PI3K-gamma antibody [OTI4G10] (ab140307) at 1/2000 dilution

Lane 1:

HEK-293T (human epithelial cell line from embryonic kidney transformed with large T antigen) cell lysate transfected with pCMV6-ENTRY control cDNA at 5 µg

Lane 2:

HEK-293T cell lysate transfected with pCMV6-ENTRY PI 3 Kinase catalytic subunit gamma/PI3K-gamma cDNA at 5 µg

Predicted band size: 126 kDa

false

Key facts

Host species

Mouse

Clonality

Monoclonal

Clone number

OTI4G10

Isotype

IgG2a

Carrier free

No

Reacts with

Human, African green monkey

Applications

IHC-P, ICC/IF, WB

applications

Immunogen

Recombinant Full Length Protein corresponding to Human PIK3CG.

P48736

Reactivity data

{ "title": "Reactivity Data", "filters": { "stats": ["", "Species", "Dilution Info", "Notes"], "tabs": { "all-applications": {"fullname" : "All Applications", "shortname": "All Applications"}, "IHCP" : {"fullname" : "Immunohistochemistry (Formalin/PFA-fixed paraffin-embedded sections)", "shortname":"IHC-P"}, "WB" : {"fullname" : "Western blot", "shortname":"WB"}, "ICCIF" : {"fullname" : "Immunocytochemistry/ Immunofluorescence", "shortname":"ICC/IF"} }, "product-promise": { "all": "all", "testedAndGuaranteed": "tested", "guaranteed": "expected", "predicted": "predicted", "notRecommended": "not-recommended" } }, "values": { "Human": { "IHCP-species-checked": "testedAndGuaranteed", "IHCP-species-dilution-info": "1/150", "IHCP-species-notes": "<p></p>", "WB-species-checked": "testedAndGuaranteed", "WB-species-dilution-info": "1/2000", "WB-species-notes": "<p></p>", "ICCIF-species-checked": "guaranteed", "ICCIF-species-dilution-info": "", "ICCIF-species-notes": "" }, "Mouse": { "IHCP-species-checked": "predicted", "IHCP-species-dilution-info": "", "IHCP-species-notes": "", "WB-species-checked": "predicted", "WB-species-dilution-info": "", "WB-species-notes": "", "ICCIF-species-checked": "predicted", "ICCIF-species-dilution-info": "", "ICCIF-species-notes": "" }, "African green monkey": { "IHCP-species-checked": "guaranteed", "IHCP-species-dilution-info": "", "IHCP-species-notes": "", "WB-species-checked": "guaranteed", "WB-species-dilution-info": "", "WB-species-notes": "", "ICCIF-species-checked": "testedAndGuaranteed", "ICCIF-species-dilution-info": "1/100", "ICCIF-species-notes": "<p></p>" }, "Pig": { "IHCP-species-checked": "predicted", "IHCP-species-dilution-info": "", "IHCP-species-notes": "", "WB-species-checked": "predicted", "WB-species-dilution-info": "", "WB-species-notes": "", "ICCIF-species-checked": "predicted", "ICCIF-species-dilution-info": "", "ICCIF-species-notes": "" } } }

Product details

Clone OTI4G10 (formerly 4G10).

Properties and storage information

Form
Liquid
Purification technique
Affinity purification
Purification notes
Purified from cell culture supernatant.
Storage buffer
pH: 7.3 Preservative: 0.02% Sodium azide Constituents: PBS, 50% Glycerol (glycerin, glycerine), 1% BSA
Shipped at conditions
Blue Ice
Appropriate short-term storage duration
1-2 weeks
Appropriate short-term storage conditions
+4°C
Appropriate long-term storage conditions
-20°C
Aliquoting information
Upon delivery aliquot
Storage information
Avoid freeze / thaw cycle

Supplementary information

This supplementary information is collated from multiple sources and compiled automatically.

PI 3 Kinase catalytic subunit gamma also known as PI3K-gamma is an enzyme important in cellular signaling. PI3K-gamma is part of the PI3K family which includes different classes of signal transducing enzymes. The catalytic subunit with a molecular weight of approximately 110 kDa becomes activated primarily in response to activation of G protein-coupled receptors. It is abundantly expressed in hematopoietic cells but also found in other tissues like the heart and lungs indicating its significant role in diverse cellular contexts. The enzyme functions by phosphorylating phosphoinositides an important step in initiating various downstream signaling pathways.
Biological function summary

PI3K-gamma plays an important role in mediating immune responses. It is a part of a larger dimeric complex coupling with a regulatory subunit to modulate its activity and specificity. This complex formation is vital in regulating leukocyte chemotaxis endothelial cell migration and cardiac function. Signaling through PI3K-gamma influences the activation and migration of immune cells aiding in the body's defense mechanism against infections and inflammation. Additionally the protein regulates heart contractility contributing to cardiac physiology.

Pathways

PI3K-gamma is an essential component in the PI3K-Akt signaling pathway. This pathway modulates various cellular processes including cell proliferation survival and metabolism. Reports link PI3K-gamma to the regulation of mTOR pathway which further affects protein synthesis and autophagy. Within these pathways it aligns with proteins such as Akt and mTORC1 facilitating signals that control cell growth and resistance to apoptosis. These pathways demonstrate the enzyme's involvement in maintenance of cellular homeostasis and adaptability.

PI3K-gamma has been implicated in inflammatory diseases and cardiovascular disorders. Enhanced PI3K-gamma activity often correlates with hyperactive immune responses contributing to conditions like rheumatoid arthritis and asthma. Its aberrant signaling also associates with heart failure due to its regulatory role in cardiac myocyte function. In the context of these diseases there is interaction with proteins such as NF-kB and Bcl-2 which get involved in pro-inflammatory signaling and cell survival respectively. The regulation of PI3K-gamma offers potential therapeutic targets for managing these conditions effectively.

Product protocols

For this product, it's our understanding that no specific protocols are required. You can visit:

Target data

Phosphoinositide-3-kinase (PI3K) that phosphorylates PtdIns(4,5)P2 (Phosphatidylinositol 4,5-bisphosphate) to generate phosphatidylinositol 3,4,5-trisphosphate (PIP3). PIP3 plays a key role by recruiting PH domain-containing proteins to the membrane, including AKT1 and PDPK1, activating signaling cascades involved in cell growth, survival, proliferation, motility and morphology. Links G-protein coupled receptor activation to PIP3 production. Involved in immune, inflammatory and allergic responses. Modulates leukocyte chemotaxis to inflammatory sites and in response to chemoattractant agents. May control leukocyte polarization and migration by regulating the spatial accumulation of PIP3 and by regulating the organization of F-actin formation and integrin-based adhesion at the leading edge. Controls motility of dendritic cells. Together with PIK3CD is involved in natural killer (NK) cell development and migration towards the sites of inflammation. Participates in T-lymphocyte migration. Regulates T-lymphocyte proliferation, activation, and cytokine production. Together with PIK3CD participates in T-lymphocyte development. Required for B-lymphocyte development and signaling. Together with PIK3CD participates in neutrophil respiratory burst. Together with PIK3CD is involved in neutrophil chemotaxis and extravasation. Together with PIK3CB promotes platelet aggregation and thrombosis. Regulates alpha-IIb/beta-3 integrins (ITGA2B/ ITGB3) adhesive function in platelets downstream of P2Y12 through a lipid kinase activity-independent mechanism. May have also a lipid kinase activity-dependent function in platelet aggregation. Involved in endothelial progenitor cell migration. Negative regulator of cardiac contractility. Modulates cardiac contractility by anchoring protein kinase A (PKA) and PDE3B activation, reducing cAMP levels. Regulates cardiac contractility also by promoting beta-adrenergic receptor internalization by binding to GRK2 and by non-muscle tropomyosin phosphorylation. Also has serine/threonine protein kinase activity : both lipid and protein kinase activities are required for beta-adrenergic receptor endocytosis. May also have a scaffolding role in modulating cardiac contractility. Contributes to cardiac hypertrophy under pathological stress. Through simultaneous binding of PDE3B to RAPGEF3 and PIK3R6 is assembled in a signaling complex in which the PI3K gamma complex is activated by RAPGEF3 and which is involved in angiogenesis. In neutrophils, participates in a phospholipase C-activating N-formyl peptide-activated GPCR (G protein-coupled receptor) signaling pathway downstream of RASGRP4-mediated Ras-activation, to promote neutrophil functional responses (By similarity).
See full target information PIK3CG

Publications (63)

Recent publications for all applications. Explore the full list and refine your search

PloS one 20:e0333343 PubMed41004429

2025

Impacts of resistance training combined with vibration training on the IGF-1/PI3K/AKT/FOXO3 axis and clinical outcomes in patients with sarcopenia: A protocol for a randomized controlled trial.

Applications

Unspecified application

Species

Unspecified reactive species

Haoyang Zhou,Jinfeng Yang,Na Li,Jinying Li,Jianxin Ran,Yan Zheng,Yifan Long,Fang Cheng,Yuanpeng Liao

Open life sciences 20:20251084 PubMed40321159

2025

GRB14: A prognostic biomarker driving tumor progression in gastric cancer through the PI3K/AKT signaling pathway by interacting with COBLL1.

Applications

Unspecified application

Species

Unspecified reactive species

Chun-Bin Gu,Chuang Wang

Journal of diabetes research 2025:4656485 PubMed40225010

2025

Revealing the Mechanisms of Shikonin Against Diabetic Wounds: A Combined Network Pharmacology and In Vitro Investigation.

Applications

Unspecified application

Species

Unspecified reactive species

Meng Tian,Junchao Wu,Qian Du,Jiale Han,Meng Yang,Xiang Li,Mingzhu Li,Xiaofeng Ding,Yeqiang Song

World journal of surgical oncology 22:268 PubMed39380001

2024

Inhibition of HOXC11 by artesunate induces ferroptosis and suppresses ovarian cancer progression through transcriptional regulation of the PROM2/PI3K/AKT pathway.

Applications

Unspecified application

Species

Unspecified reactive species

Jun Li,Lu Feng,Yijun Yuan,Tianwen He,Xinru Zou,Bin Su,Kang Liu,Xiaojun Yang

Discover oncology 15:191 PubMed38802621

2024

Interferon-induced transmembrane protein 2 is a prognostic marker in colorectal cancer and promotes its progression by activating the PI3K/AKT pathway.

Applications

Unspecified application

Species

Unspecified reactive species

Yonggang Liu,Jiyun Liang,Xi Li,Junyong Huang,Jiangyuan Huang,Jiale Wang

General physiology and biophysics 43:175-183 PubMed38477607

2024

miR-497-5p promoted neuronal injury in ischemic stroke by inhibiting the BDNF/TrkB/PI3K/Akt pathway.

Applications

Unspecified application

Species

Unspecified reactive species

Chunyan Gong,Xiaona He,Guiliang Li,Dayu Wang,Yonghua Yang,Yanping Shi,Wenbing Su,Yuanxian Wu

CNS neuroscience & therapeutics 30:e14396 PubMed37551838

2023

MiR-4524b-5p-targeting ALDH1A3 attenuates the proliferation and radioresistance of glioblastoma via PI3K/AKT/mTOR signaling.

Applications

Unspecified application

Species

Unspecified reactive species

Hai Yu,Xiaodong Li,Yi Li,Tuo Wang,Maode Wang,Ping Mao

Cell and tissue research 393:455-470 PubMed37450039

2023

BDNF alleviates Parkinson's disease by promoting STAT3 phosphorylation and regulating neuronal autophagy.

Applications

Unspecified application

Species

Unspecified reactive species

Xin Geng,Yanghong Zou,Jinghui Li,Shipeng Li,Renli Qi,Hualin Yu,Lianmei Zhong

Exploration (Beijing, China) 3:20220141 PubMed37933289

2023

Small-molecule nanoprodrug with high drug loading and EGFR, PI3K/AKT dual-inhibiting properties for bladder cancer treatment.

Applications

Unspecified application

Species

Unspecified reactive species

Guoyin Li,Zewen Song,Yi Ru,Jing Zhang,Lianxiang Luo,Wei Yang,Hao Wu,Haibao Jin,Xuanwen Bao,Di Wei,Zhao Yan,Haijing Qu,Zheng Zhu,Xiangdong Xue,Gang Zhou

European journal of histochemistry : EJH 67: PubMed37170915

2023

Knockdown of ARHGAP30 inhibits ovarian cancer cell proliferation, migration, and invasiveness by suppressing the PI3K/AKT/mTOR signaling pathway.

Applications

Unspecified application

Species

Unspecified reactive species

Xiaoyan Chu,Jun Lou,Yun Yi,Linlin Zhong,Ouping Huang
View all publications

Product promise

We are committed to supporting your work with high-quality reagents, and we're here for you every step of the way. In the unlikely event that one of our products does not perform as expected, you're protected by our Product Promise.
For full details, please see our Terms & Conditions

Please note: All products are 'FOR RESEARCH USE ONLY. NOT FOR USE IN DIAGNOSTIC OR THERAPEUTIC PROCEDURES'.

For licensing inquiries, please contact partnerships@abcam.com