JavaScript is disabled in your browser. Please enable JavaScript to view this website.
AB227204

Anti-PI 3 Kinase p85 alpha antibody

Be the first to review this product! Submit a review

|

(30 Publications)

Rabbit Polyclonal PI 3 Kinase p85 alpha antibody. Suitable for IP, WB, IHC-P and reacts with Human, Mouse, Rat samples. Cited in 30 publications. Immunogen corresponding to Recombinant Fragment Protein within Human PIK3R1.

View Alternative Names

GRB1, PIK3R1, Phosphatidylinositol 3-kinase regulatory subunit alpha, PI3-kinase regulatory subunit alpha, PI3K regulatory subunit alpha, PtdIns-3-kinase regulatory subunit alpha, Phosphatidylinositol 3-kinase 85 kDa regulatory subunit alpha, PI3-kinase subunit p85-alpha, PtdIns-3-kinase regulatory subunit p85-alpha

5 Images
Immunoprecipitation - Anti-PI 3 Kinase p85 alpha antibody (AB227204)
  • IP

Supplier Data

Immunoprecipitation - Anti-PI 3 Kinase p85 alpha antibody (AB227204)

PI 3 Kinase p85 alpha was immunoprecipitated from Jurkat (human T cell leukemia cell line from peripheral blood) whole cell extract with 5 μg ab227204. Western blot was performed from the immunoprecipitate using ab227204 at 1/500 dilution.

Lane 1 : Control IgG IP in Jurkat whole cell extract.

Lane 2 : ab227204 IP in Jurkat whole cell extract.

10% SDS-PAGE.

All lanes:

Immunoprecipitation - Anti-PI 3 Kinase p85 alpha antibody (ab227204)

Predicted band size: 83 kDa

true

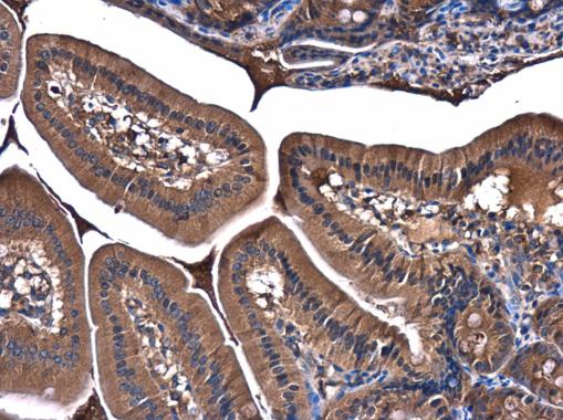
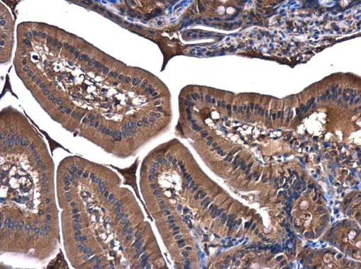
Immunohistochemistry (Formalin/PFA-fixed paraffin-embedded sections) - Anti-PI 3 Kinase p85 alpha antibody (AB227204)
  • IHC-P

Supplier Data

Immunohistochemistry (Formalin/PFA-fixed paraffin-embedded sections) - Anti-PI 3 Kinase p85 alpha antibody (AB227204)

Paraffin-embedded mouse duodenum stained for PI 3 Kinase p85 alpha with ab227204 at 1/500 dilution in immunohistochemical analysis.

Western blot - Anti-PI 3 Kinase p85 alpha antibody (AB227204)
  • WB

Supplier Data

Western blot - Anti-PI 3 Kinase p85 alpha antibody (AB227204)

7.5% SDS-PAGE

All lanes:

Western blot - Anti-PI 3 Kinase p85 alpha antibody (ab227204) at 1/1000 dilution

Lane 1:

Jurkat (human T cell leukemia cell line from peripheral blood) whole cell extract at 30 µg

Lane 2:

K562 (human chronic myelogenous leukemia cell line from bone marrow ) whole cell extract at 30 µg

Lane 3:

THP-1 (human monocytic leukemia cell line) whole cell extract at 30 µg

Secondary

All lanes:

HRP-conjugated anti-rabbit IgG

Predicted band size: 83 kDa

true

Western blot - Anti-PI 3 Kinase p85 alpha antibody (AB227204)
  • WB

Supplier Data

Western blot - Anti-PI 3 Kinase p85 alpha antibody (AB227204)

7.5% SDS-PAGE

All lanes:

Western blot - Anti-PI 3 Kinase p85 alpha antibody (ab227204) at 1/1000 dilution

Lane 1:

PC-12 (rat adrenal gland pheochromocytoma cell line) whole cell extract at 30 µg

Lane 2:

Rat2 (rat fibroblast cell line) whole cell extract at 30 µg

Secondary

All lanes:

HRP-conjugated anti-rabbit IgG

Predicted band size: 83 kDa

true

Western blot - Anti-PI 3 Kinase p85 alpha antibody (AB227204)
  • WB

Unknown

Western blot - Anti-PI 3 Kinase p85 alpha antibody (AB227204)

7.5% SDS-PAGE

All lanes:

Western blot - Anti-PI 3 Kinase p85 alpha antibody (ab227204) at 1/500 dilution

Lane 1:

Neuro-2a (mouse neuroblastoma cell line) whole cell extract at 30 µg

Lane 2:

C8D30 whole cell extract at 30 µg

Lane 3:

NIH/3T3 (mouse embryo fibroblast cell line) whole cell extract at 30 µg

Lane 4:

Raw 264.7 (mouse macrophage cell line transformed with Abelson murine leukemia virus) whole cell extract at 30 µg

Lane 5:

C2C12 (mouse myoblast cell line) whole cell extract at 30 µg

Secondary

All lanes:

HRP-conjugated anti-rabbit IgG

Predicted band size: 83 kDa

true

Key facts

Host species

Rabbit

Clonality

Polyclonal

Isotype

IgG

Carrier free

No

Reacts with

Rat, Human, Mouse

Applications

IP, WB, IHC-P

applications

Immunogen

Recombinant Fragment Protein within Human PIK3R1. The exact immunogen used to generate this antibody is proprietary information.

P27986

Reactivity data

{ "title": "Reactivity Data", "filters": { "stats": ["", "Species", "Dilution Info", "Notes"], "tabs": { "all-applications": {"fullname" : "All Applications", "shortname": "All Applications"}, "IP" : {"fullname" : "Immunoprecipitation", "shortname":"IP"}, "WB" : {"fullname" : "Western blot", "shortname":"WB"}, "IHCP" : {"fullname" : "Immunohistochemistry (Formalin/PFA-fixed paraffin-embedded sections)", "shortname":"IHC-P"} }, "product-promise": { "all": "all", "testedAndGuaranteed": "tested", "guaranteed": "expected", "predicted": "predicted", "notRecommended": "not-recommended" } }, "values": { "Human": { "IP-species-checked": "testedAndGuaranteed", "IP-species-dilution-info": "1/100 - 1/500", "IP-species-notes": "<p></p>", "WB-species-checked": "testedAndGuaranteed", "WB-species-dilution-info": "1/500 - 1/3000", "WB-species-notes": "<p></p>", "IHCP-species-checked": "guaranteed", "IHCP-species-dilution-info": "", "IHCP-species-notes": "" }, "Mouse": { "IP-species-checked": "guaranteed", "IP-species-dilution-info": "", "IP-species-notes": "", "WB-species-checked": "testedAndGuaranteed", "WB-species-dilution-info": "1/500 - 1/3000", "WB-species-notes": "<p></p>", "IHCP-species-checked": "testedAndGuaranteed", "IHCP-species-dilution-info": "1/100 - 1/1000", "IHCP-species-notes": "<p></p>" }, "Rat": { "IP-species-checked": "guaranteed", "IP-species-dilution-info": "", "IP-species-notes": "", "WB-species-checked": "testedAndGuaranteed", "WB-species-dilution-info": "1/500 - 1/3000", "WB-species-notes": "<p></p>", "IHCP-species-checked": "guaranteed", "IHCP-species-dilution-info": "", "IHCP-species-notes": "" }, "Cow": { "IP-species-checked": "predicted", "IP-species-dilution-info": "", "IP-species-notes": "", "WB-species-checked": "predicted", "WB-species-dilution-info": "", "WB-species-notes": "", "IHCP-species-checked": "predicted", "IHCP-species-dilution-info": "", "IHCP-species-notes": "" }, "Rhesus monkey": { "IP-species-checked": "predicted", "IP-species-dilution-info": "", "IP-species-notes": "", "WB-species-checked": "predicted", "WB-species-dilution-info": "", "WB-species-notes": "", "IHCP-species-checked": "predicted", "IHCP-species-dilution-info": "", "IHCP-species-notes": "" } } }

Properties and storage information

Form
Liquid
Purification technique
Affinity purification Immunogen
Storage buffer
pH: 7 Preservative: 0.01% Thimerosal (merthiolate) Constituents: PBS, 20% Glycerol (glycerin, glycerine)
Shipped at conditions
Blue Ice
Appropriate short-term storage duration
1-2 weeks
Appropriate short-term storage conditions
+4°C
Appropriate long-term storage conditions
-20°C
Aliquoting information
Upon delivery aliquot
Storage information
Avoid freeze / thaw cycle

Supplementary information

This supplementary information is collated from multiple sources and compiled automatically.

PI 3 Kinase p85 alpha also known as PI3KR1 or phospho PI3K is a regulatory subunit of phosphoinositide 3-kinase (PI3K) that plays a fundamental role in various signaling pathways. The p85 protein has a molecular weight of approximately 85 kDa. This protein is widely expressed in many cell types facilitating essential cellular functions by forming a heterodimer with the class I PI3K catalytic subunit often implicated in regulating lipid signaling pathways.
Biological function summary

P85 alpha modulates intracellular signaling by interacting with other proteins in a complex formation with catalytic subunit p110. This interaction enables the initiation of downstream signaling cascades controlling cell growth proliferation and survival. PI 3 kinase activity mediated by p85 alpha is integral to cellular homeostasis and metabolism helping to execute cellular responses to a variety of growth factors and hormones.

Pathways

PI 3 Kinase p85 alpha integrates into two principal signaling networks: the PI3K-Akt and mTOR pathways. These pathways are instrumental for regulating anabolic processes and cell survival. The p85 form of PI3K interacts with additional proteins such as Akt and mTOR coordinating cellular energy balance promoting protein synthesis and inhibiting apoptosis. Through these interactions the protein ensures that cells respond accurately to nutritional and stress signals.

Alterations in PI 3 Kinase p85 alpha function have been linked to cancer and type 2 diabetes. Aberrant signaling involving PI3K-Akt-mTOR pathways due to mutations in PI3KR1 can contribute to tumor progression and chemoresistance. Moreover dysfunction of this pathway affects insulin signaling connecting p85 alpha to diabetic pathologies. Proteins such as IRS-1 (insulin receptor substrate 1) act alongside p85 alpha in mediating these disease-associated processes emphasizing its importance in maintaining physiological balance.

Product protocols

For this product, it's our understanding that no specific protocols are required. You can visit:

Target data

Binds to activated (phosphorylated) protein-Tyr kinases, through its SH2 domain, and acts as an adapter, mediating the association of the p110 catalytic unit to the plasma membrane. Necessary for the insulin-stimulated increase in glucose uptake and glycogen synthesis in insulin-sensitive tissues. Plays an important role in signaling in response to FGFR1, FGFR2, FGFR3, FGFR4, KITLG/SCF, KIT, PDGFRA and PDGFRB. Likewise, plays a role in ITGB2 signaling (PubMed : 17626883, PubMed : 19805105, PubMed : 7518429). Modulates the cellular response to ER stress by promoting nuclear translocation of XBP1 isoform 2 in a ER stress- and/or insulin-dependent manner during metabolic overloading in the liver and hence plays a role in glucose tolerance improvement (PubMed : 20348923).
See full target information PIK3R1

Publications (30)

Recent publications for all applications. Explore the full list and refine your search

Heliyon 11:e42095 PubMed39916855

2025

Dihydroartemisinin inhibits EphA2/PI3K/Akt pathway-mediated malignant behaviors and vasculogenic mimicry in glioma stem cells.

Applications

Unspecified application

Species

Unspecified reactive species

Huangde Fu,Shengtian Wu,Hechun Shen,Kai Luo,Zhongxiang Huang,Nankun Lu,Yaolin Li,Qian Lan,Yishun Xian

PloS one 19:e0311419 PubMed39413115

2024

MiR-27a inhibits the growth and metastasis of multiple myeloma through regulating Th17/Treg balance.

Applications

Unspecified application

Species

Unspecified reactive species

Weiguo Lu,Hui Huang,Zhanjie Xu,Shumin Xu,Kewei Zhao,Mingfeng Xiao

Frontiers in pharmacology 15:1410810 PubMed39045053

2024

Pilose antler extracts promotes hair growth in androgenetic alopecia mice by activating hair follicle stem cells via the AKT and Wnt pathways.

Applications

Unspecified application

Species

Unspecified reactive species

Fenglong Wang,Gaiying He,Menghua Liu,Yanan Sun,Shuhua Ma,Zhenxiao Sun,Yi Wang

Neoplasma 71:22-36 PubMed38506034

2024

The role of HMGA2 in activating the IGFBP2 expression to promote angiogenesis and LUAD metastasis via the PI3K/AKT/VEGFA signaling pathway.

Applications

Unspecified application

Species

Unspecified reactive species

Shuai Qian,Fengping Wang,Wenliang Liao,Jun Liu

Cell death & disease 14:564 PubMed37633911

2023

MiR-297 inhibits tumour progression of liver cancer by targeting PTBP3.

Applications

Unspecified application

Species

Unspecified reactive species

Na Lu,Jiali Min,Lin Peng,Shengjian Huang,Xiahua Chai,Susu Wang,Jian Wang

Journal of Cancer 14:1531-1540 PubMed37325059

2023

PRR14 acts a novel oncogene activating the PI3K signal pathway in human cutaneous squamous cell carcinoma.

Applications

Unspecified application

Species

Unspecified reactive species

Lili Zhang,Jie Yang,Zhoujing Ji,Jie Zhang,Shengju Yang

Journal of orthopaedic surgery and research 18:21 PubMed36624462

2023

Study on the treatment of postmenopausal osteoporosis with quercetin in Liuwei Dihuang Pill based on network pharmacology.

Applications

Unspecified application

Species

Unspecified reactive species

Fuping Zhu,Wuping Li,Linhua Wang,Bing Dai,Zongyi Liu,Hang Wu,Ting Deng

Journal of orthopaedic translation 37:113-125 PubMed36262960

2022

Niobium promotes fracture healing in rats by regulating the PI3K-Akt signalling pathway: An and study.

Applications

Unspecified application

Species

Unspecified reactive species

Jia Tan,Jiaxin Li,Bojun Cao,Junxiang Wu,Dinghao Luo,Zhaoyang Ran,Liang Deng,Xiaoping Li,Wenbo Jiang,Kai Xie,Lei Wang,Yongqiang Hao

Frontiers in pharmacology 13:1003614 PubMed36278192

2022

Mingmu Xiaoyao granules regulate the PI3K/Akt/mTOR signaling pathway to reduce anxiety and depression and reverse retinal abnormalities in rats.

Applications

Unspecified application

Species

Unspecified reactive species

Qiuyan Ma,Jian Zhou,Ziyi Yang,Yuxin Xue,Xinran Xie,Tiejun Li,Yingxin Yang

BioMed research international 2022:4469766 PubMed36046447

2022

Qizhi Kebitong Formula Ameliorates Streptozocin-Induced Diabetic Osteoporosis through Regulating the PI3K/Akt/NF-B Pathway.

Applications

Unspecified application

Species

Unspecified reactive species

Lulu Tian,Lu Ding,Guoqiang Wang,Yu Guo,Yunyun Zhao,Yuchi Wei,Xingquan Li,Wei Zhang,Jia Mi,Xiangyan Li,Zeyu Wang,Xiuge Wang
View all publications

Product promise

We are committed to supporting your work with high-quality reagents, and we're here for you every step of the way. In the unlikely event that one of our products does not perform as expected, you're protected by our Product Promise.
For full details, please see our Terms & Conditions

Please note: All products are 'FOR RESEARCH USE ONLY. NOT FOR USE IN DIAGNOSTIC OR THERAPEUTIC PROCEDURES'.

For licensing inquiries, please contact partnerships@abcam.com