JavaScript is disabled in your browser. Please enable JavaScript to view this website.
AB225720

Anti-PI 3 Kinase p85 alpha antibody [SP62]

Be the first to review this product! Submit a review

|

(3 Publications)

Rabbit Recombinant Monoclonal PI 3 Kinase p85 alpha antibody. Suitable for IHC-P, Flow Cyt (Intra), ICC/IF and reacts with Human, Mouse, Rat samples. Cited in 3 publications.

View Alternative Names

GRB1, PIK3R1, Phosphatidylinositol 3-kinase regulatory subunit alpha, PI3-kinase regulatory subunit alpha, PI3K regulatory subunit alpha, PtdIns-3-kinase regulatory subunit alpha, Phosphatidylinositol 3-kinase 85 kDa regulatory subunit alpha, PI3-kinase subunit p85-alpha, PtdIns-3-kinase regulatory subunit p85-alpha

16 Images
Flow Cytometry (Intracellular) - Anti-PI 3 Kinase p85 alpha antibody [SP62] (AB225720)
  • Flow Cyt (Intra)

Supplier Data

Flow Cytometry (Intracellular) - Anti-PI 3 Kinase p85 alpha antibody [SP62] (AB225720)

Flow cytometric analysis of MCF7 (human breast adenocarcinoma cell line) cell line labeling PI 3 Kinase p85 alpha with ab225720 (green) compared with a negative control of rabbit IgG (blue).

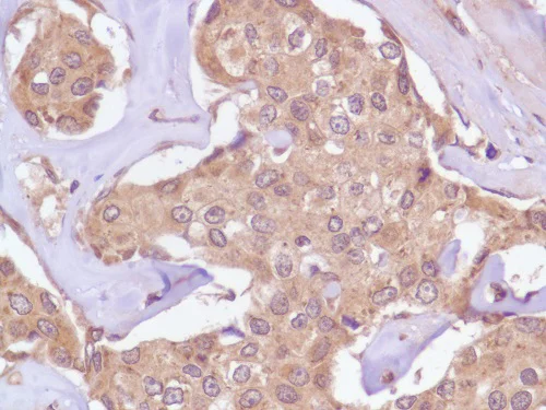
Immunohistochemistry (Formalin/PFA-fixed paraffin-embedded sections) - Anti-PI 3 Kinase p85 alpha antibody [SP62] (AB225720)
  • IHC-P

Unknown

Immunohistochemistry (Formalin/PFA-fixed paraffin-embedded sections) - Anti-PI 3 Kinase p85 alpha antibody [SP62] (AB225720)

Formalin-fixed, paraffin-embedded human pancreatic adenocarcinoma tissue stained for PI 3 Kinase p85 alpha using ab225720 at 1/100 dilution in immunohistochemical analysis.

Immunohistochemistry (Formalin/PFA-fixed paraffin-embedded sections) - Anti-PI 3 Kinase p85 alpha antibody [SP62] (AB225720)
  • IHC-P

Supplier Data

Immunohistochemistry (Formalin/PFA-fixed paraffin-embedded sections) - Anti-PI 3 Kinase p85 alpha antibody [SP62] (AB225720)

Formalin-fixed, paraffin-embedded human stomach adenocarcinoma tissue stained for PI 3 Kinase p85 alpha using ab225720 at 1/100 dilution in immunohistochemical analysis.

Immunohistochemistry (Formalin/PFA-fixed paraffin-embedded sections) - Anti-PI 3 Kinase p85 alpha antibody [SP62] (AB225720)
  • IHC-P

Supplier Data

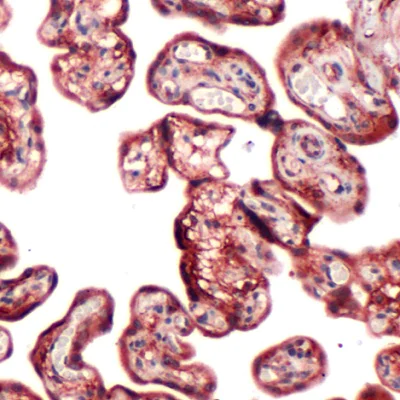
Immunohistochemistry (Formalin/PFA-fixed paraffin-embedded sections) - Anti-PI 3 Kinase p85 alpha antibody [SP62] (AB225720)

Formalin-fixed, paraffin-embedded human placenta tissue stained for PI 3 Kinase p85 alpha using ab225720 at 1/100 dilution in immunohistochemical analysis.

Immunohistochemistry (Formalin/PFA-fixed paraffin-embedded sections) - Anti-PI 3 Kinase p85 alpha antibody [SP62] (AB225720)
  • IHC-P

Supplier Data

Immunohistochemistry (Formalin/PFA-fixed paraffin-embedded sections) - Anti-PI 3 Kinase p85 alpha antibody [SP62] (AB225720)

Formalin-fixed, paraffin-embedded human lung adenocarcinoma tissue stained for PI 3 Kinase p85 alpha using ab225720 at 1/100 dilution in immunohistochemical analysis.

Flow Cytometry (Intracellular) - Anti-PI 3 Kinase p85 alpha antibody [SP62] (AB225720)
  • Flow Cyt (Intra)

Unknown

Flow Cytometry (Intracellular) - Anti-PI 3 Kinase p85 alpha antibody [SP62] (AB225720)

Flow cytometry analysis of MCF-7 (human breast carcinoma) labeling PI 3 Kinase p85 alpha with purified ab225720 (red). Cells were fixed with 4% paraformaldehyde and permeabilised with 90% methanol. Goat anti rabbit IgG (Alexa Fluor® 488, ab150077) was used as a secondary antibody. Isotype control -Rabbit monoclonal IgG (ab172730) (Black). Unlableled control -Unlabelled cells (blue).

Immunohistochemistry (Formalin/PFA-fixed paraffin-embedded sections) - Anti-PI 3 Kinase p85 alpha antibody [SP62] (AB225720)
  • IHC-P

Supplier Data

Immunohistochemistry (Formalin/PFA-fixed paraffin-embedded sections) - Anti-PI 3 Kinase p85 alpha antibody [SP62] (AB225720)

Formalin-fixed, paraffin-embedded human bladder transitional cell carcinoma tissue stained for PI 3 Kinase p85 alpha using ab225720 at 1/100 dilution in immunohistochemical analysis.

Immunohistochemistry (Formalin/PFA-fixed paraffin-embedded sections) - Anti-PI 3 Kinase p85 alpha antibody [SP62] (AB225720)
  • IHC-P

Unknown

Immunohistochemistry (Formalin/PFA-fixed paraffin-embedded sections) - Anti-PI 3 Kinase p85 alpha antibody [SP62] (AB225720)

Formalin-fixed, paraffin-embedded human colon adenocarcinoma tissue stained for PI 3 Kinase p85 alpha using ab225720 at 1/100 dilution in immunohistochemical analysis.

Immunohistochemistry (Formalin/PFA-fixed paraffin-embedded sections) - Anti-PI 3 Kinase p85 alpha antibody [SP62] (AB225720)
  • IHC-P

Unknown

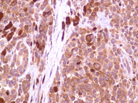
Immunohistochemistry (Formalin/PFA-fixed paraffin-embedded sections) - Anti-PI 3 Kinase p85 alpha antibody [SP62] (AB225720)

Formalin-fixed, paraffin-embedded human melanoma tissue stained for PI 3 Kinase p85 alpha using ab225720 at 1/100 dilution in immunohistochemical analysis.

Immunocytochemistry/ Immunofluorescence - Anti-PI 3 Kinase p85 alpha antibody [SP62] (AB225720)
  • ICC/IF

Unknown

Immunocytochemistry/ Immunofluorescence - Anti-PI 3 Kinase p85 alpha antibody [SP62] (AB225720)

Immunocytochemistry/ Immunofluorescence analysis of MCF7 (human breast adenocarcinoma epithelial cell) cells labeling PI 3 Kinase p85 alpha with purified ab225720. Cells were fixed in 4% paraformaldehyde and permeabilized with 0.1% Triton X-100. Cells were counterstained with ab195889 Anti-alpha Tubulin antibody [DM1A] - Microtubule Marker (Alexa Fluor® 594). Goat anti rabbit IgG (Alexa Fluor® 488, ab150077) was used as the secondary antibody at dilution. DAPI was used as nuclear counterstain. PBS instead of the primary antibody was used as the secondary antibody only control.

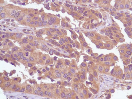
Immunohistochemistry (Formalin/PFA-fixed paraffin-embedded sections) - Anti-PI 3 Kinase p85 alpha antibody [SP62] (AB225720)
  • IHC-P

Unknown

Immunohistochemistry (Formalin/PFA-fixed paraffin-embedded sections) - Anti-PI 3 Kinase p85 alpha antibody [SP62] (AB225720)

Formalin-fixed, paraffin-embedded human prostate adenocarcinoma tissue stained for PI 3 Kinase p85 alpha using ab225720 at 1/100 dilution in immunohistochemical analysis.

Immunohistochemistry (Formalin/PFA-fixed paraffin-embedded sections) - Anti-PI 3 Kinase p85 alpha antibody [SP62] (AB225720)
  • IHC-P

Supplier Data

Immunohistochemistry (Formalin/PFA-fixed paraffin-embedded sections) - Anti-PI 3 Kinase p85 alpha antibody [SP62] (AB225720)

Formalin-fixed, paraffin-embedded human testis tissue stained for PI 3 Kinase p85 alpha using ab225720 at 1/100 dilution in immunohistochemical analysis.

Immunohistochemistry (Formalin/PFA-fixed paraffin-embedded sections) - Anti-PI 3 Kinase p85 alpha antibody [SP62] (AB225720)
  • IHC-P

Supplier Data

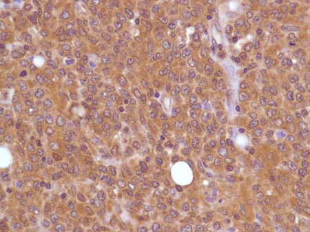
Immunohistochemistry (Formalin/PFA-fixed paraffin-embedded sections) - Anti-PI 3 Kinase p85 alpha antibody [SP62] (AB225720)

Formalin-fixed, paraffin-embedded human breast adenocarcinoma tissue stained for PI 3 Kinase p85 alpha using ab225720 at 1/100 dilution in immunohistochemical analysis.

Flow Cytometry (Intracellular) - Anti-PI 3 Kinase p85 alpha antibody [SP62] (AB225720)
  • Flow Cyt (Intra)

Unknown

Flow Cytometry (Intracellular) - Anti-PI 3 Kinase p85 alpha antibody [SP62] (AB225720)

Flow cytometry analysis of NIH/3T3 (mouse embryo) labeling PI 3 Kinase p85 alpha with purified ab225720 at 1/250 dilution (10.32 μg/ml) (red). Cells were fixed with 4% paraformaldehyde and permeabilised with 90% methanol. Goat anti rabbit IgG (Alexa Fluor® 488, ab150077) at 1/2000 dilution was used as a secondary antibody. Isotype control -Rabbit monoclonal IgG (ab172730) (Black). Unlableled control -Unlabelled cells (blue).

Immunocytochemistry/ Immunofluorescence - Anti-PI 3 Kinase p85 alpha antibody [SP62] (AB225720)
  • ICC/IF

Unknown

Immunocytochemistry/ Immunofluorescence - Anti-PI 3 Kinase p85 alpha antibody [SP62] (AB225720)

Immunocytochemistry/ Immunofluorescence analysis of NIH/3T3 (mouse embryonic fibroblast) cells labeling PI 3 Kinase p85 alpha with purified ab225720 at 1/250 (10 μg/ml). Cells were fixed in 4% paraformaldehyde and permeabilized with 0.1% Triton X-100. Cells were counterstained with ab195889 Anti-alpha Tubulin antibody [DM1A] - Microtubule Marker (Alexa Fluor® 594) 1/200 (2.5 μg/ml). Goat anti rabbit IgG (Alexa Fluor® 488, ab150077) was used as the secondary antibody at 1/1000 (2 μg/ml) dilution. DAPI was used as nuclear counterstain. PBS instead of the primary antibody was used as the secondary antibody only control.

Flow Cytometry (Intracellular) - Anti-PI 3 Kinase p85 alpha antibody [SP62] (AB225720)
  • Flow Cyt (Intra)

Unknown

Flow Cytometry (Intracellular) - Anti-PI 3 Kinase p85 alpha antibody [SP62] (AB225720)

Flow cytometry analysis of PC-12 (rat adrenal gland pheochromocytoma) labeling PI 3 Kinase p85 alpha with purified ab225720 (red). Cells were fixed with 4% paraformaldehyde and permeabilised with 90% methanol. Goat anti rabbit IgG (Alexa Fluor® 488, ab150077) was used as a secondary antibody. Isotype control -Rabbit monoclonal IgG (ab172730) (Black). Unlableled control -Unlabelled cells (blue).

  • Carrier free

    Anti-PI 3 Kinase p85 alpha antibody [SP62] - BSA and Azide free

Key facts

Host species

Rabbit

Clonality

Monoclonal

Clone number

SP62

Isotype

IgG

Carrier free

No

Reacts with

Mouse, Rat, Human

Applications

ICC/IF, Flow Cyt (Intra), IHC-P

applications

Immunogen

The exact immunogen used to generate this antibody is proprietary information.

Reactivity data

{ "title": "Reactivity Data", "filters": { "stats": ["", "Species", "Dilution Info", "Notes"], "tabs": { "all-applications": {"fullname" : "All Applications", "shortname": "All Applications"}, "IHCP" : {"fullname" : "Immunohistochemistry (Formalin/PFA-fixed paraffin-embedded sections)", "shortname":"IHC-P"}, "FlowCytIntra" : {"fullname" : "Flow Cytometry (Intracellular)", "shortname":"Flow Cyt (Intra)"}, "ICCIF" : {"fullname" : "Immunocytochemistry/ Immunofluorescence", "shortname":"ICC/IF"} }, "product-promise": { "all": "all", "testedAndGuaranteed": "tested", "guaranteed": "expected", "predicted": "predicted", "notRecommended": "not-recommended" } }, "values": { "Human": { "IHCP-species-checked": "testedAndGuaranteed", "IHCP-species-dilution-info": "1/100", "IHCP-species-notes": "<p>Primary incubation for 30 minutes at room temperature.</p>", "FlowCytIntra-species-checked": "testedAndGuaranteed", "FlowCytIntra-species-dilution-info": "", "FlowCytIntra-species-notes": "<p>Primary incubation for 30 minutes at 4°C.</p>", "ICCIF-species-checked": "testedAndGuaranteed", "ICCIF-species-dilution-info": "", "ICCIF-species-notes": "<p></p>" }, "Mouse": { "IHCP-species-checked": "guaranteed", "IHCP-species-dilution-info": "", "IHCP-species-notes": "", "FlowCytIntra-species-checked": "testedAndGuaranteed", "FlowCytIntra-species-dilution-info": "", "FlowCytIntra-species-notes": "<p>Primary incubation for 30 minutes at 4°C.</p>", "ICCIF-species-checked": "testedAndGuaranteed", "ICCIF-species-dilution-info": "", "ICCIF-species-notes": "<p></p>" }, "Rat": { "IHCP-species-checked": "guaranteed", "IHCP-species-dilution-info": "", "IHCP-species-notes": "", "FlowCytIntra-species-checked": "testedAndGuaranteed", "FlowCytIntra-species-dilution-info": "", "FlowCytIntra-species-notes": "<p>Primary incubation for 30 minutes at 4°C.</p>", "ICCIF-species-checked": "guaranteed", "ICCIF-species-dilution-info": "", "ICCIF-species-notes": "" }, "Cow": { "IHCP-species-checked": "predicted", "IHCP-species-dilution-info": "", "IHCP-species-notes": "", "FlowCytIntra-species-checked": "predicted", "FlowCytIntra-species-dilution-info": "", "FlowCytIntra-species-notes": "", "ICCIF-species-checked": "predicted", "ICCIF-species-dilution-info": "", "ICCIF-species-notes": "" } } }

Properties and storage information

Form
Liquid
Purification technique
Affinity purification Protein A
Purification notes
Purified from TCS by protein A.
Storage buffer
pH: 7.6 Preservative: 0.1% Sodium azide Constituents: PBS, 1% BSA
Shipped at conditions
Blue Ice
Appropriate short-term storage duration
1-2 weeks
Appropriate short-term storage conditions
+4°C
Appropriate long-term storage conditions
-20°C
Aliquoting information
Upon delivery aliquot
Storage information
Avoid freeze / thaw cycle

Supplementary information

This supplementary information is collated from multiple sources and compiled automatically.

PI 3 Kinase p85 alpha also known as PI3KR1 or phospho PI3K is a regulatory subunit of phosphoinositide 3-kinase (PI3K) that plays a fundamental role in various signaling pathways. The p85 protein has a molecular weight of approximately 85 kDa. This protein is widely expressed in many cell types facilitating essential cellular functions by forming a heterodimer with the class I PI3K catalytic subunit often implicated in regulating lipid signaling pathways.
Biological function summary

P85 alpha modulates intracellular signaling by interacting with other proteins in a complex formation with catalytic subunit p110. This interaction enables the initiation of downstream signaling cascades controlling cell growth proliferation and survival. PI 3 kinase activity mediated by p85 alpha is integral to cellular homeostasis and metabolism helping to execute cellular responses to a variety of growth factors and hormones.

Pathways

PI 3 Kinase p85 alpha integrates into two principal signaling networks: the PI3K-Akt and mTOR pathways. These pathways are instrumental for regulating anabolic processes and cell survival. The p85 form of PI3K interacts with additional proteins such as Akt and mTOR coordinating cellular energy balance promoting protein synthesis and inhibiting apoptosis. Through these interactions the protein ensures that cells respond accurately to nutritional and stress signals.

Alterations in PI 3 Kinase p85 alpha function have been linked to cancer and type 2 diabetes. Aberrant signaling involving PI3K-Akt-mTOR pathways due to mutations in PI3KR1 can contribute to tumor progression and chemoresistance. Moreover dysfunction of this pathway affects insulin signaling connecting p85 alpha to diabetic pathologies. Proteins such as IRS-1 (insulin receptor substrate 1) act alongside p85 alpha in mediating these disease-associated processes emphasizing its importance in maintaining physiological balance.

Product protocols

For this product, it's our understanding that no specific protocols are required. You can visit:

Target data

Binds to activated (phosphorylated) protein-Tyr kinases, through its SH2 domain, and acts as an adapter, mediating the association of the p110 catalytic unit to the plasma membrane. Necessary for the insulin-stimulated increase in glucose uptake and glycogen synthesis in insulin-sensitive tissues. Plays an important role in signaling in response to FGFR1, FGFR2, FGFR3, FGFR4, KITLG/SCF, KIT, PDGFRA and PDGFRB. Likewise, plays a role in ITGB2 signaling (PubMed : 17626883, PubMed : 19805105, PubMed : 7518429). Modulates the cellular response to ER stress by promoting nuclear translocation of XBP1 isoform 2 in a ER stress- and/or insulin-dependent manner during metabolic overloading in the liver and hence plays a role in glucose tolerance improvement (PubMed : 20348923).
See full target information PIK3R1

Publications (3)

Recent publications for all applications. Explore the full list and refine your search

The journal of obstetrics and gynaecology research 50:1945-1951 PubMed39225708

2024

Effect of irisin on ovarian phosphatidylinositol-3-kinase/protein kinase B signaling pathway and mitogen-activated protein kinase/extracellular signal-regulated kinase pathways of rats with polycystic ovary syndrome.

Applications

Unspecified application

Species

Unspecified reactive species

Cheng-Gang Li,Li Zhou,Ying-Jun Zhang,Yong Li,Li-Yan Zhao

JBMR plus 5:e10456 PubMed33778324

2021

Resveratrol Reduces COMPopathy in Mice Through Activation of Autophagy.

Applications

Unspecified application

Species

Unspecified reactive species

Jacqueline T Hecht,Francoise Coustry,Alka C Veerisetty,Mohammad G Hossain,Karen L Posey

Contemporary oncology (Poznan, Poland) 18:234-40 PubMed25258580

2014

Evaluation of PTEN, PI3K, MTOR, and KRAS expression and their clinical and prognostic relevance to differentiated thyroid carcinoma.

Applications

Unspecified application

Species

Unspecified reactive species

Berna B Duman,Oğuz I Kara,Aysum Uğuz,Berna T Ates
View all publications

Product promise

We are committed to supporting your work with high-quality reagents, and we're here for you every step of the way. In the unlikely event that one of our products does not perform as expected, you're protected by our Product Promise.
For full details, please see our Terms & Conditions

Please note: All products are 'FOR RESEARCH USE ONLY. NOT FOR USE IN DIAGNOSTIC OR THERAPEUTIC PROCEDURES'.

For licensing inquiries, please contact partnerships@abcam.com