JavaScript is disabled in your browser. Please enable JavaScript to view this website.
AB131067

Anti-PI 3 Kinase p85 beta antibody

Be the first to review this product! Submit a review

|

(8 Publications)

Rabbit Polyclonal PI 3 Kinase p85 beta antibody. Suitable for IHC-P, WB and reacts with Human, Mouse, Rat samples. Cited in 8 publications. Immunogen corresponding to Synthetic Peptide within Human PIK3R2 aa 400-500.

View Alternative Names

Phosphatidylinositol 3-kinase regulatory subunit beta, PI3-kinase regulatory subunit beta, PI3K regulatory subunit beta, PtdIns-3-kinase regulatory subunit beta, Phosphatidylinositol 3-kinase 85 kDa regulatory subunit beta, PI3-kinase subunit p85-beta, PtdIns-3-kinase regulatory subunit p85-beta, PIK3R2

3 Images
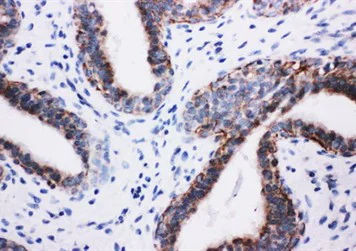
Immunohistochemistry (Formalin/PFA-fixed paraffin-embedded sections) - Anti-PI 3 Kinase p85 beta antibody (AB131067)
  • IHC-P

Unknown

Immunohistochemistry (Formalin/PFA-fixed paraffin-embedded sections) - Anti-PI 3 Kinase p85 beta antibody (AB131067)

Immunohistochemical analysis of paraffin embedded Human Mammary Cancer Tissue labelled with ab131067 PI 3 Kinase p85 beta antibody at 1 µg/ml.

Western blot - Anti-PI 3 Kinase p85 beta antibody (AB131067)
  • WB

Supplier Data

Western blot - Anti-PI 3 Kinase p85 beta antibody (AB131067)

All lanes:

Western blot - Anti-PI 3 Kinase p85 beta antibody (ab131067) at 0.5 µg/mL

Lane 1:

mouse liver tissue lysates at 50 µg

Lane 2:

mouse brain tissue lysates at 50 µg

Secondary

All lanes:

goat anti-rabbit IgG-HRP at 1/10000 dilution

Predicted band size: 81 kDa

false

Western blot - Anti-PI 3 Kinase p85 beta antibody (AB131067)
  • WB

Supplier Data

Western blot - Anti-PI 3 Kinase p85 beta antibody (AB131067)

All lanes:

Western blot - Anti-PI 3 Kinase p85 beta antibody (ab131067) at 0.5 µg/mL

Lane 1:

Rat testis tissue lysate at 50 µg

Lane 2:

293T whole cell lysate at 40 µg

Lane 3:

HeLa whole cell lysate at 40 µg

Predicted band size: 81 kDa

Observed band size: 81 kDa

false

Key facts

Host species

Rabbit

Clonality

Polyclonal

Isotype

IgG

Carrier free

No

Reacts with

Mouse, Rat, Human

Applications

WB, IHC-P

applications

Immunogen

Synthetic Peptide within Human PIK3R2 aa 400-500. The exact immunogen used to generate this antibody is proprietary information.

O00459

Reactivity data

{ "title": "Reactivity Data", "filters": { "stats": ["", "Species", "Dilution Info", "Notes"], "tabs": { "all-applications": {"fullname" : "All Applications", "shortname": "All Applications"}, "IHCP" : {"fullname" : "Immunohistochemistry (Formalin/PFA-fixed paraffin-embedded sections)", "shortname":"IHC-P"}, "WB" : {"fullname" : "Western blot", "shortname":"WB"} }, "product-promise": { "all": "all", "testedAndGuaranteed": "tested", "guaranteed": "expected", "predicted": "predicted", "notRecommended": "not-recommended" } }, "values": { "Human": { "IHCP-species-checked": "testedAndGuaranteed", "IHCP-species-dilution-info": "0.5-1 µg/mL", "IHCP-species-notes": "<p></p> Perform heat-mediated antigen retrieval before commencing with IHC staining protocol.", "WB-species-checked": "guaranteed", "WB-species-dilution-info": "", "WB-species-notes": "" }, "Mouse": { "IHCP-species-checked": "guaranteed", "IHCP-species-dilution-info": "", "IHCP-species-notes": "", "WB-species-checked": "testedAndGuaranteed", "WB-species-dilution-info": "0.1-0.5 µg/mL", "WB-species-notes": "<p></p>" }, "Rat": { "IHCP-species-checked": "guaranteed", "IHCP-species-dilution-info": "", "IHCP-species-notes": "", "WB-species-checked": "testedAndGuaranteed", "WB-species-dilution-info": "0.1-0.5 µg/mL", "WB-species-notes": "<p></p>" } } }

Properties and storage information

Form
Liquid
Purification technique
Affinity purification Immunogen
Storage buffer
Preservative: 0.025% Sodium azide, 0.025% Thimerosal (merthiolate) Constituents: 2.5% BSA, 0.45% Sodium chloride, 0.1% Disodium hydrogenorthophosphate
Shipped at conditions
Blue Ice
Appropriate short-term storage duration
1-2 weeks
Appropriate short-term storage conditions
+4°C
Appropriate long-term storage conditions
-20°C
Aliquoting information
Upon delivery aliquot
Storage information
Avoid freeze / thaw cycle

Supplementary information

This supplementary information is collated from multiple sources and compiled automatically.

PI 3-kinase p85 beta also known as PIK3R2 is a regulatory subunit of phosphoinositide 3-kinases (PI3K). This protein has a molecular weight of approximately 85 kilodaltons. It expresses widely in various tissues including brain liver and skeletal muscle. The p85 protein form interacts with the catalytic subunit p110 allowing for the proper localization and activation of PI3K in response to various extracellular signals.
Biological function summary

The regulatory subunit PI 3-kinase p85 beta is responsible for maintaining the balance of PI3K activity within the cellular environment. It forms a dynamic complex with the catalytic subunit influencing downstream signaling pathways. The presence of p85 beta ensures the stability and function of the PI3K complex essential for processes such as cell growth survival and metabolism.

Pathways

This protein plays a significant role in the PI3K/AKT/mTOR signaling pathway and also contributes to insulin signaling. It partners with p110 and mediates the transmission of signals from receptor tyrosine kinases (RTKs) like insulin receptors. The regulation by p85 beta affects protein synthesis and glucose uptake highlighting its function in cellular energy management.

Dysregulation of PI 3-kinase p85 beta associates frequently with types of cancer and type 2 diabetes mellitus. Aberrant signaling through the PI3K pathway involving interactions between p85 beta and p110 contributes to oncogenesis. Similarly inappropriate regulation of insulin signaling links p85 beta with insulin resistance an important factor in type 2 diabetes where it may interact with proteins such as IRS-1 (Insulin Receptor Substrate 1) to influence disease progression.

Product protocols

For this product, it's our understanding that no specific protocols are required. You can visit:

Target data

Regulatory subunit of phosphoinositide-3-kinase (PI3K), a kinase that phosphorylates PtdIns(4,5)P2 (Phosphatidylinositol 4,5-bisphosphate) to generate phosphatidylinositol 3,4,5-trisphosphate (PIP3). PIP3 plays a key role by recruiting PH domain-containing proteins to the membrane, including AKT1 and PDPK1, activating signaling cascades involved in cell growth, survival, proliferation, motility and morphology. Binds to activated (phosphorylated) protein-tyrosine kinases, through its SH2 domain, and acts as an adapter, mediating the association of the p110 catalytic unit to the plasma membrane. Indirectly regulates autophagy (PubMed : 23604317). Promotes nuclear translocation of XBP1 isoform 2 in a ER stress- and/or insulin-dependent manner during metabolic overloading in the liver and hence plays a role in glucose tolerance improvement (By similarity).
See full target information PIK3R2

Publications (8)

Recent publications for all applications. Explore the full list and refine your search

Drug development research 85:e70032 PubMed39670965

2024

AEBP1 Silencing Protects Against Cerebral Ischemia/Reperfusion Injury by Regulating Neuron Ferroptosis and Microglia M2 Polarization Through PRKCA-PI3K-Akt Axis.

Applications

Unspecified application

Species

Unspecified reactive species

Yafen Zhang,Yan Li,Fengli Liu

The Kaohsiung journal of medical sciences 39:468-477 PubMed36912344

2023

Mechanism of human chorionic gonadotropin in endometrial receptivity via the miR-126-3p/PI3K/Akt/eNOS axis.

Applications

Unspecified application

Species

Unspecified reactive species

Wei Wang,Liang Ge,Li-Li Zhang,Li-Rong Wang,Yong-Yan Lu,Li Gou,Rui-Qiang Gou,Tong-Yu Xu,Xiao-Ling Ma,Xue-Hong Zhang

Journal of oleo science 71:95-104 PubMed35013040

2022

Pink Lotus Essential Oil and Alleviates on Free Fatty Acid Induced Steatosis in HepG2 Cells via PI3K/Akt and NF-κB Pathways.

Applications

Unspecified application

Species

Unspecified reactive species

Runzhou Sun,Ruixin Xiao,Pengfei Lv,Feifei Guo,Yanling Gong,Meixing Yan

Histology and histopathology 36:1309-1324 PubMed34730838

2021

Circ_0000376 downregulation inhibits the progression of non-small cell lung cancer by mediating the miR-488-3p/BRD4 axis and the PI3K/PKB signaling pathway.

Applications

Unspecified application

Species

Unspecified reactive species

Hongmei Yuan,Hongge Wu,Jing Cheng,Jie Xiong

Journal of cellular and molecular medicine 25:2148-2162 PubMed33350092

2020

Exosomes from microRNA-126 overexpressing mesenchymal stem cells promote angiogenesis by targeting the PIK3R2-mediated PI3K/Akt signalling pathway.

Applications

Unspecified application

Species

Unspecified reactive species

Lei Zhang,Pengrong Ouyang,Gaole He,Xiaowei Wang,Defu Song,Yijun Yang,Xijing He

Oncology letters 15:7369-7375 PubMed29725450

2018

miR-126 suppresses epithelial-to-mesenchymal transition and metastasis by targeting PI3K/AKT/Snail signaling of lung cancer cells.

Applications

Unspecified application

Species

Unspecified reactive species

Zhijun Jia,Ying Zhang,Qinfeng Xu,Wanhua Guo,Aibin Guo

Molecular medicine reports 13:1204-10 PubMed26677064

2015

MicroRNA‑126 inhibits proliferation and metastasis by targeting pik3r2 in prostate cancer.

Applications

Unspecified application

Species

Unspecified reactive species

Lei Song,Xubio Xie,Shaojie Yu,Fenghua Peng,Longkai Peng

Arteriosclerosis, thrombosis, and vascular biology 35:2401-11 PubMed26381870

2015

Therapeutic Angiogenesis by Ultrasound-Mediated MicroRNA-126-3p Delivery.

Applications

Unspecified application

Species

Unspecified reactive species

Wei J Cao,Joshua D Rosenblat,Nathan C Roth,Michael A Kuliszewski,Pratiek N Matkar,Dmitriy Rudenko,Christine Liao,Paul J H Lee,Howard Leong-Poi
View all publications

Product promise

We are committed to supporting your work with high-quality reagents, and we're here for you every step of the way. In the unlikely event that one of our products does not perform as expected, you're protected by our Product Promise.
For full details, please see our Terms & Conditions

Please note: All products are 'FOR RESEARCH USE ONLY. NOT FOR USE IN DIAGNOSTIC OR THERAPEUTIC PROCEDURES'.

For licensing inquiries, please contact partnerships@abcam.com