JavaScript is disabled in your browser. Please enable JavaScript to view this website.
AB180967

Anti-PI 3 Kinase p85 beta antibody [EPR18416]

Be the first to review this product! Submit a review

|

(29 Publications)

Rabbit Recombinant Monoclonal PI 3 Kinase p85 beta antibody. Suitable for IP, WB, ICC/IF, IHC-P and reacts with Human, Rat samples. Cited in 29 publications.

View Alternative Names

Phosphatidylinositol 3-kinase regulatory subunit beta, PI3-kinase regulatory subunit beta, PI3K regulatory subunit beta, PtdIns-3-kinase regulatory subunit beta, Phosphatidylinositol 3-kinase 85 kDa regulatory subunit beta, PI3-kinase subunit p85-beta, PtdIns-3-kinase regulatory subunit p85-beta, PIK3R2

11 Images
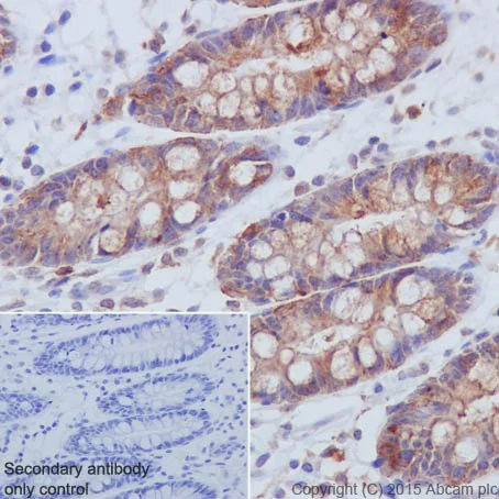
Immunohistochemistry (Formalin/PFA-fixed paraffin-embedded sections) - Anti-PI 3 Kinase p85 beta antibody [EPR18416] (AB180967)
  • IHC-P

Supplier Data

Immunohistochemistry (Formalin/PFA-fixed paraffin-embedded sections) - Anti-PI 3 Kinase p85 beta antibody [EPR18416] (AB180967)

Immunohistochemical analysis of paraffin-embedded Human colon tissue labeling PI 3 Kinase p85 beta using ab180967 at 1/100 dilution. A Goat Anti-Rabbit IgG H&L (HRP) (ab97051) was used as secondary at 1/500 dilution. Cytoplasm staining on epithelial cells of Human colon was observed. Counter stained with Hematoxylin.

Negative control : Used PBS instead of primary antibody, secondary antibody is Goat Anti-Rabbit IgG H&L (HRP) (ab97051) at 1/500 dilution.

Perform heat mediated antigen retrieval with Tris/EDTA buffer pH 9.0 before commencing with IHC staining protocol.

Western blot - Anti-PI 3 Kinase p85 beta antibody [EPR18416] (AB180967)
  • WB

Supplier Data

Western blot - Anti-PI 3 Kinase p85 beta antibody [EPR18416] (AB180967)

5% NFDM/TBST : Blocking and diluting buffer.

All lanes:

Western blot - Anti-PI 3 Kinase p85 beta antibody [EPR18416] (ab180967) at 1/2000 dilution

Lane 1:

Human fetal brain lysate at 10 µg

Lane 2:

Human fetal kidney lysate at 10 µg

Secondary

All lanes:

Anti-Rabbit IgG (HRP), specific to the non-reduced form of IgG at 1/1000 dilution

Predicted band size: 81 kDa

Observed band size: 82 kDa

false

Exposure time: 3min

Western blot - Anti-PI 3 Kinase p85 beta antibody [EPR18416] (AB180967)
  • WB

Supplier Data

Western blot - Anti-PI 3 Kinase p85 beta antibody [EPR18416] (AB180967)

5% NFDM/TBST : Blocking and diluting buffer.

All lanes:

Western blot - Anti-PI 3 Kinase p85 beta antibody [EPR18416] (ab180967) at 1/2000 dilution

Lane 1:

HeLa (Human epithelial cells from cervix adenocarcinoma) whole cell lysate at 20 µg

Lane 2:

Jurkat (Human T cell leukemia cells from peripheral blood) whole cell lysate at 20 µg

Lane 3:

HEK293 (Human epithelial cells from embryonic kidney) whole cell lysate at 20 µg

Secondary

All lanes:

Western blot - Goat Anti-Rabbit IgG H&L (HRP) (<a href='/en-us/products/secondary-antibodies/goat-rabbit-igg-h-l-hrp-ab97051'>ab97051</a>) at 1/1000 dilution

Predicted band size: 81 kDa

Observed band size: 82 kDa

false

Exposure time: 30s

Immunocytochemistry/ Immunofluorescence - Anti-PI 3 Kinase p85 beta antibody [EPR18416] (AB180967)
  • ICC/IF

Supplier Data

Immunocytochemistry/ Immunofluorescence - Anti-PI 3 Kinase p85 beta antibody [EPR18416] (AB180967)

Immunofluorescent analysis of 4% paraformaldehyde-fixed, 0.1% Triton X-100 permeabilized Jurkat (Human T cell leukemia cells from peripheral blood) cells labeling PI 3 Kinase p85 beta with ab180967 at 1/500 dilution, followed by Goat anti-rabbit IgG (Alexa Fluor® 488) (ab150077) secondary antibody at 1/1000 dilution (green).

Confocal image showing nuclear and weakly cytoplasmic staining on Jurkat cell line.

The nuclear counter stain is DAPI (blue).

Tubulin is detected with ab7291 (anti-Tubulin mouse mAb) at 1/1000 dilution and ab150120 (AlexaFluor®594 Goat anti-Mouse secondary) at 1/1000 dilution (red).
The negative controls are as follows :
1. ab180967 at 1/500 dilution followed by ab150120 (AlexaFluor®594 Goat anti-Mouse secondary) at 1/1000 dilution.
2. ab7291 (anti-Tubulin mouse mAb) at 1/1000 dilution followed by ab150077 (Alexa Fluor®488 Goat Anti-Rabbit IgG H&L) at 1/1000 dilution.

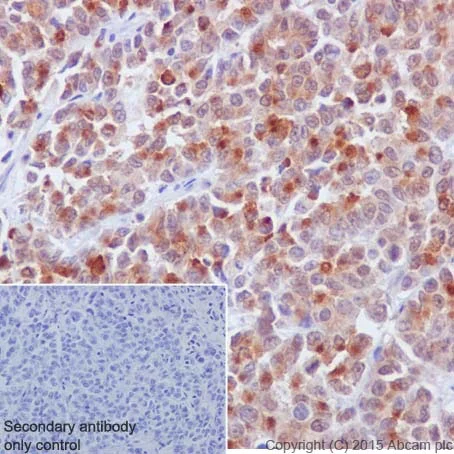
Immunohistochemistry (Formalin/PFA-fixed paraffin-embedded sections) - Anti-PI 3 Kinase p85 beta antibody [EPR18416] (AB180967)
  • IHC-P

Supplier Data

Immunohistochemistry (Formalin/PFA-fixed paraffin-embedded sections) - Anti-PI 3 Kinase p85 beta antibody [EPR18416] (AB180967)

Immunohistochemical analysis of paraffin-embedded Human colonic adenocarcinoma tissue labeling PI 3 Kinase p85 beta using ab180967 at 1/100 dilution. A Goat Anti-Rabbit IgG H&L (HRP) (ab97051) was used as secondary at 1/500 dilution. Nucleus and cytoplasm staining on tumor cells of colonic adenocarcinoma was observed. Counter stained with Hematoxylin.

Negative control : Used PBS instead of primary antibody, secondary antibody is Goat Anti-Rabbit IgG H&L (HRP) (ab97051) at 1/500 dilution.

Perform heat mediated antigen retrieval with Tris/EDTA buffer pH 9.0 before commencing with IHC staining protocol.

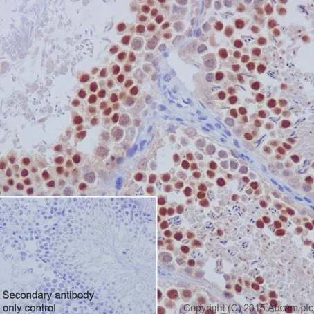
Immunohistochemistry (Formalin/PFA-fixed paraffin-embedded sections) - Anti-PI 3 Kinase p85 beta antibody [EPR18416] (AB180967)
  • IHC-P

Supplier Data

Immunohistochemistry (Formalin/PFA-fixed paraffin-embedded sections) - Anti-PI 3 Kinase p85 beta antibody [EPR18416] (AB180967)

Immunohistochemical analysis of paraffin-embedded Rat testis tissue labeling PI 3 Kinase p85 beta using ab180967 at 1/100 dilution. A Goat Anti-Rabbit IgG H&L (HRP) (ab97051) was used as secondary at 1/500 dilution. Nucleus and cytoplasm staining on spermatogenic cell of rat testis was observed. Counter stained with Hematoxylin.

Negative control : Used PBS instead of primary antibody, secondary antibody is Goat Anti-Rabbit IgG H&L (HRP) (ab97051) at 1/500 dilution.

Perform heat mediated antigen retrieval with Tris/EDTA buffer pH 9.0 before commencing with IHC staining protocol.

Immunocytochemistry/ Immunofluorescence - Anti-PI 3 Kinase p85 beta antibody [EPR18416] (AB180967)
  • ICC/IF

Supplier Data

Immunocytochemistry/ Immunofluorescence - Anti-PI 3 Kinase p85 beta antibody [EPR18416] (AB180967)

Immunofluorescent analysis of 4% paraformaldehyde-fixed, 0.1% Triton X-100 permeabilized HeLa (Human epithelial cells from cervix adenocarcinoma) cells labeling PI 3 Kinase p85 beta with ab180967 at 1/500 dilution, followed by Goat anti-rabbit IgG (Alexa Fluor® 488) (ab150077) secondary antibody at 1/1000 dilution (green).

Confocal image showing nuclear and cytoplasmic staining on HeLa cell line.

The nuclear counter stain is DAPI (blue).

Tubulin is detected with ab7291 (anti-Tubulin mouse mAb) at 1/1000 dilution and ab150120 (AlexaFluor®594 Goat anti-Mouse secondary) at 1/1000 dilution (red).
The negative controls are as follows :
1. ab180967 at 1/500 dilution followed by ab150120 (AlexaFluor®594 Goat anti-Mouse secondary) at 1/1000 dilution.
2. ab7291 (anti-Tubulin mouse mAb) at 1/1000 dilution followed by ab150077 (Alexa Fluor®488 Goat Anti-Rabbit IgG H&L) at 1/1000 dilution.

Immunoprecipitation - Anti-PI 3 Kinase p85 beta antibody [EPR18416] (AB180967)
  • IP

Supplier Data

Immunoprecipitation - Anti-PI 3 Kinase p85 beta antibody [EPR18416] (AB180967)

PI 3 Kinase p85 beta was immunoprecipitated from 1mg of HeLa (Human epithelial cells from cervix adenocarcinoma) whole cell lysate with ab180967 at 1/80 dilution. Western blot was performed from the immunoprecipitate using ab180967 at 1/10000 dilution. Anti-Rabbit IgG (HRP), specific to the non-reduced form of IgG, was used as secondary antibody at 1/1500 dilution.

Lane 1 : HeLa whole cell lysate10 μg (Input).

Lane 2 : ab180967 IP in HeLa whole cell lysate.

Lane 3 : Rabbit monoclonal IgG (ab172730) instead of ab180967 in HeLa whole cell lysate.
Blocking and dilution buffer and concentration : 5% NFDM/TBST.

Exposure time : 10 seconds.

All lanes:

Immunoprecipitation - Anti-PI 3 Kinase p85 beta antibody [EPR18416] (ab180967)

Predicted band size: 81 kDa

false

Western blot - Anti-PI 3 Kinase p85 beta antibody [EPR18416] (AB180967)
  • WB

Lab

Western blot - Anti-PI 3 Kinase p85 beta antibody [EPR18416] (AB180967)

Lane 1 : Wild type HAP1 whole cell lysate (20 μg)
Lane 2 : PIK3R2 knockout HAP1 whole cell lysate (20 μg)
Lane 3 : HeLa whole cell lysate (20 μg)
Lanes 1 - 3 : Merged signal (red and green). Green - ab180967 observed at 85 kDa. Red - loading control, ab8245, observed at 37 kDa.

ab180967 was shown to specifically react with PIK3R2 (KO) when PIK3R2 (KO) knockout samples were used. Wild-type and PIK3R2 (KO) knockout samples were subjected to SDS-PAGE. ab180967 and ab8245 (Mouse anti GAPDH loading control) were incubated overnight at 4°C at 2000 dilution and 1/10000 dilution respectively. Blots were developed with Goat anti-Rabbit IgG H&L (IRDye® 800CW) preabsorbed ab216773 and Goat anti-Mouse IgG H&L (IRDye® 680RD) preabsorbed ab216776 secondary antibodies at 1/10000 dilution for 1 hour at room temperature before imaging.

All lanes:

Western blot - Anti-PI 3 Kinase p85 beta antibody [EPR18416] (ab180967)

Predicted band size: 81 kDa

false

Western blot - Anti-PI 3 Kinase p85 beta antibody [EPR18416] (AB180967)
  • WB

Lab

Western blot - Anti-PI 3 Kinase p85 beta antibody [EPR18416] (AB180967)

Lanes 1- 2 : Merged signal (red and green). Green - ab180967 observed at 85 kDa. Red - Anti-GAPDH antibody [6C5] - Loading Control (ab8245) observed at 37 kDa.

ab180967 was shown to react with PI 3 Kinase p85 beta in wild-type HEK-293T cells in western blot. Loss of signal was observed when knockout cell line ab266799 (knockout cell lysate ab257586) was used. Wild-type HEK-293T and PIK3R2 knockout HEK-293T cell lysates were subjected to SDS-PAGE. ab180967 and Anti-GAPDH antibody [6C5] - Loading Control (ab8245) overnight at 4°C at a 1 in 2000 dilution and a 1 in 20000 dilution respectively. Blots were developed with Goat anti-Rabbit IgG H&L (IRDye®800CW) preadsorbed (ab216773) and Goat anti-Mouse IgG H&L (IRDye®680RD) preadsorbed (ab216776) secondary antibodies at 1 in 20000 dilution for 1 hour at room temperature before imaging.

All lanes:

Western blot - Anti-PI 3 Kinase p85 beta antibody [EPR18416] (ab180967) at 1/2000 dilution

Lane 1:

Wild-type HEK-293T cell lysate at 20 µg

Lane 2:

PIK3R2 knockout HEK-293T cell lysate at 20 µg

Lane 2:

Western blot - Human PIK3R2 (PI 3 Kinase p85 beta) knockout HEK-293T cell line (<a href='/en-us/products/cell-lines/human-pik3r2-pi-3-kinase-p85-beta-knockout-hek-293t-cell-line-ab266799'>ab266799</a>)

Predicted band size: 56 kDa,81 kDa

Observed band size: 56 kDa,85 kDa

false

Western blot - Anti-PI 3 Kinase p85 beta antibody [EPR18416] (AB180967)
  • WB

Supplier Data

Western blot - Anti-PI 3 Kinase p85 beta antibody [EPR18416] (AB180967)

5% NFDM/TBST : Blocking and diluting buffer.

All lanes:

Western blot - Anti-PI 3 Kinase p85 beta antibody [EPR18416] (ab180967) at 1/2000 dilution

Lane 1:

Rat brain lysate at 10 µg

Lane 2:

Rat spleen lysate at 10 µg

Lane 3:

PC-12 (Rat adrenal gland pheochromocytoma) whole cell lysate at 10 µg

Secondary

All lanes:

Western blot - Goat Anti-Rabbit IgG H&L (HRP) (<a href='/en-us/products/secondary-antibodies/goat-rabbit-igg-h-l-hrp-ab97051'>ab97051</a>) at 1/1000 dilution

Predicted band size: 81 kDa

Observed band size: 82 kDa

false

Exposure time: 30s

  • Carrier free

    Anti-PI 3 Kinase p85 beta antibody [EPR18416] - BSA and Azide free

  • 665 Alexa Fluor® 647

    Alexa Fluor® 647 Anti-PI 3 Kinase p85 beta antibody [EPR18416]

Key facts

Host species

Rabbit

Clonality

Monoclonal

Clone number

EPR18416

Isotype

IgG

Carrier free

No

Reacts with

Rat, Human

Applications

WB, ICC/IF, IHC-P, IP

applications

Immunogen

The exact immunogen used to generate this antibody is proprietary information.

Reactivity data

{ "title": "Reactivity Data", "filters": { "stats": ["", "Species", "Dilution Info", "Notes"], "tabs": { "all-applications": {"fullname" : "All Applications", "shortname": "All Applications"}, "IP" : {"fullname" : "Immunoprecipitation", "shortname":"IP"}, "FlowCyt" : {"fullname" : "Flow Cytometry", "shortname":"Flow Cyt"}, "WB" : {"fullname" : "Western blot", "shortname":"WB"}, "ICCIF" : {"fullname" : "Immunocytochemistry/ Immunofluorescence", "shortname":"ICC/IF"}, "IHCP" : {"fullname" : "Immunohistochemistry (Formalin/PFA-fixed paraffin-embedded sections)", "shortname":"IHC-P"} }, "product-promise": { "all": "all", "testedAndGuaranteed": "tested", "guaranteed": "expected", "predicted": "predicted", "notRecommended": "not-recommended" } }, "values": { "Human": { "IP-species-checked": "testedAndGuaranteed", "IP-species-dilution-info": "1/80", "IP-species-notes": "<p></p> Perform heat-mediated antigen retrieval with Tris/EDTA buffer pH 9.0 before commencing with IHC staining protocol.", "FlowCyt-species-checked": "notRecommended", "FlowCyt-species-dilution-info": "1/250", "FlowCyt-species-notes": "<p><a href='/en-us/products/primary-antibodies/rabbit-igg-monoclonal-epr25a-isotype-control-ab172730'>ab172730</a> - Rabbit monoclonal IgG, is suitable for use as an isotype control with this antibody.</p>", "WB-species-checked": "testedAndGuaranteed", "WB-species-dilution-info": "1/2000", "WB-species-notes": "<p></p>", "ICCIF-species-checked": "testedAndGuaranteed", "ICCIF-species-dilution-info": "1/500", "ICCIF-species-notes": "<p></p>", "IHCP-species-checked": "testedAndGuaranteed", "IHCP-species-dilution-info": "1/100", "IHCP-species-notes": "<p></p> Perform heat-mediated antigen retrieval with Tris/EDTA buffer pH 9.0 before commencing with IHC staining protocol." }, "Rat": { "IP-species-checked": "guaranteed", "IP-species-dilution-info": "", "IP-species-notes": "", "FlowCyt-species-checked": "notRecommended", "FlowCyt-species-dilution-info": "1/250", "FlowCyt-species-notes": "<p><a href='/en-us/products/primary-antibodies/rabbit-igg-monoclonal-epr25a-isotype-control-ab172730'>ab172730</a> - Rabbit monoclonal IgG, is suitable for use as an isotype control with this antibody.</p> Perform heat-mediated antigen retrieval with Tris/EDTA buffer pH 9.0 before commencing with IHC staining protocol.", "WB-species-checked": "testedAndGuaranteed", "WB-species-dilution-info": "1/2000", "WB-species-notes": "<p></p>", "ICCIF-species-checked": "guaranteed", "ICCIF-species-dilution-info": "", "ICCIF-species-notes": "", "IHCP-species-checked": "testedAndGuaranteed", "IHCP-species-dilution-info": "1/100", "IHCP-species-notes": "<p></p> Perform heat-mediated antigen retrieval with Tris/EDTA buffer pH 9.0 before commencing with IHC staining protocol." } } }

Product details

Patented technology
Our RabMAb® technology is a patented hybridoma-based technology for making rabbit monoclonal antibodies. For details on our patents, please refer to RabMAb® patents.

What are the advantages of a recombinant monoclonal antibody?
This product is a recombinant monoclonal antibody, which offers several advantages including:

  • - High batch-to-batch consistency and reproducibility
  • - Improved sensitivity and specificity
  • - Long-term security of supply
  • - Animal-free batch production

For more information, read more on recombinant antibodies.

Properties and storage information

Form
Liquid
Purification technique
Affinity purification Protein A
Storage buffer
Preservative: 0.01% Sodium azide Constituents: 59% PBS, 40% Glycerol (glycerin, glycerine), 0.05% BSA
Shipped at conditions
Blue Ice
Appropriate short-term storage duration
1-2 weeks
Appropriate short-term storage conditions
+4°C
Appropriate long-term storage conditions
-20°C
Aliquoting information
Upon delivery aliquot
Storage information
Avoid freeze / thaw cycle

Supplementary information

This supplementary information is collated from multiple sources and compiled automatically.

PI 3-kinase p85 beta also known as PIK3R2 is a regulatory subunit of phosphoinositide 3-kinases (PI3K). This protein has a molecular weight of approximately 85 kilodaltons. It expresses widely in various tissues including brain liver and skeletal muscle. The p85 protein form interacts with the catalytic subunit p110 allowing for the proper localization and activation of PI3K in response to various extracellular signals.
Biological function summary

The regulatory subunit PI 3-kinase p85 beta is responsible for maintaining the balance of PI3K activity within the cellular environment. It forms a dynamic complex with the catalytic subunit influencing downstream signaling pathways. The presence of p85 beta ensures the stability and function of the PI3K complex essential for processes such as cell growth survival and metabolism.

Pathways

This protein plays a significant role in the PI3K/AKT/mTOR signaling pathway and also contributes to insulin signaling. It partners with p110 and mediates the transmission of signals from receptor tyrosine kinases (RTKs) like insulin receptors. The regulation by p85 beta affects protein synthesis and glucose uptake highlighting its function in cellular energy management.

Dysregulation of PI 3-kinase p85 beta associates frequently with types of cancer and type 2 diabetes mellitus. Aberrant signaling through the PI3K pathway involving interactions between p85 beta and p110 contributes to oncogenesis. Similarly inappropriate regulation of insulin signaling links p85 beta with insulin resistance an important factor in type 2 diabetes where it may interact with proteins such as IRS-1 (Insulin Receptor Substrate 1) to influence disease progression.

Product protocols

For this product, it's our understanding that no specific protocols are required. You can visit:

Target data

Regulatory subunit of phosphoinositide-3-kinase (PI3K), a kinase that phosphorylates PtdIns(4,5)P2 (Phosphatidylinositol 4,5-bisphosphate) to generate phosphatidylinositol 3,4,5-trisphosphate (PIP3). PIP3 plays a key role by recruiting PH domain-containing proteins to the membrane, including AKT1 and PDPK1, activating signaling cascades involved in cell growth, survival, proliferation, motility and morphology. Binds to activated (phosphorylated) protein-tyrosine kinases, through its SH2 domain, and acts as an adapter, mediating the association of the p110 catalytic unit to the plasma membrane. Indirectly regulates autophagy (PubMed : 23604317). Promotes nuclear translocation of XBP1 isoform 2 in a ER stress- and/or insulin-dependent manner during metabolic overloading in the liver and hence plays a role in glucose tolerance improvement (By similarity).
See full target information PIK3R2

Publications (29)

Recent publications for all applications. Explore the full list and refine your search

American journal of cancer research 13:5577-5589 PubMed38058835

2023

Detection of CSTF2 by nano fluorescent probe and its correlation with malignant biological characteristics in liver cancer.

Applications

Unspecified application

Species

Unspecified reactive species

Zhongmin Jiang,Xiaozhi Liu,Yongqing Deng, Duojierenqing, Renqingcuo,Wenhan Wu,Wei Meng,Zhijiang Shao

Biological & pharmaceutical bulletin 46:382-393 PubMed36385013

2022

The Antimicrobial Peptide Esculentin-1a(1-21)NH Stimulates Wound Healing by Promoting Angiogenesis through the PI3K/AKT Pathway.

Applications

Unspecified application

Species

Unspecified reactive species

Qiong Hu,Chujun Chen,Zhenming Lin,Liyao Zhang,Sujiuan Guan,Xiaoyan Zhuang,Guangfu Dong,Juan Shen

Genes and environment : the official journal of the Japanese Environmental Mutagen Society 44:23 PubMed36163195

2022

MicroRNA miR-627-5p restrains pulmonary artery smooth muscle cell dysfunction by targeting MAP 2 K4 and PI3K/AKT signaling.

Applications

Unspecified application

Species

Unspecified reactive species

Ting Li,Xiaoqin Tan,Yuexia Huang,Jun Cui,Fan Chen,Ying Xiong

Chemical biology & drug design 101:24-39 PubMed35730258

2022

Upregulation of miR-144-3p alleviates Doxorubicin-induced heart failure and cardiomyocytes apoptosis via SOCS2/PI3K/AKT axis.

Applications

Unspecified application

Species

Unspecified reactive species

Donglin Zhang,Aiqin Pan,Jianke Gu,Renfeng Liao,Xueyu Chen,Zhaozhu Xu

International journal of molecular sciences 23: PubMed35628294

2022

Platelet-Derived miR-126-3p Directly Targets AKT2 and Exerts Anti-Tumor Effects in Breast Cancer Cells: Further Insights in Platelet-Cancer Interplay.

Applications

Unspecified application

Species

Unspecified reactive species

Matteo Sibilano,Valentina Tullio,Gaspare Adorno,Isabella Savini,Valeria Gasperi,Maria Valeria Catani

Experimental and therapeutic medicine 23:142 PubMed35069823

2022

MicroRNA-126 and VEGF enhance the function of endothelial progenitor cells in acute myocardial infarction.

Applications

Unspecified application

Species

Unspecified reactive species

Ying Zhang,Yi Xu,Ke Zhou,Guoying Kao,Jun Xiao

EMBO reports 22:e53693 PubMed34661367

2021

Phase-separated foci of EML4-ALK facilitate signalling and depend upon an active kinase conformation.

Applications

Unspecified application

Species

Unspecified reactive species

Josephina Sampson,Mark W Richards,Jene Choi,Andrew M Fry,Richard Bayliss

Molecular therapy. Nucleic acids 25:328-341 PubMed34484860

2021

EFNA4 promotes cell proliferation and tumor metastasis in hepatocellular carcinoma through a PIK3R2/GSK3β/β-catenin positive feedback loop.

Applications

Unspecified application

Species

Unspecified reactive species

Junhao Lin,Chunting Zeng,JiaKang Zhang,Zhenghui Song,Na Qi,Xinhui Liu,Ziyan Zhang,Aimin Li,Fengsheng Chen

Frontiers in genetics 12:596709 PubMed34040629

2021

A Mutation in Familial Temporal Lobe Epilepsy as a Possible Pathogenic Variant.

Applications

Unspecified application

Species

Unspecified reactive species

Yishu Wang,Jing Peng,Shuwei Bai,Haojun Yu,Hong He,Chunxiang Fan,Yong Hao,Yangtai Guan

Experimental and therapeutic medicine 21:613 PubMed33936270

2021

PHLDA3 inhibition attenuates endoplasmic reticulum stress-induced apoptosis in myocardial hypoxia/reoxygenation injury by activating the PI3K/AKT signaling pathway.

Applications

Unspecified application

Species

Unspecified reactive species

Kai Liu,Ying Chen,Fen Ai,Yun-Qian Li,Kun Zhang,Wei-Tong Zhang
View all publications

Product promise

We are committed to supporting your work with high-quality reagents, and we're here for you every step of the way. In the unlikely event that one of our products does not perform as expected, you're protected by our Product Promise.
For full details, please see our Terms & Conditions

Associated Products

Select an associated product type
Alternative Product
Primary Antibodies

AB28356

Anti-PI 3 Kinase p85 beta antibody [T15]

primary-antibodies

pi-3-kinase-p85-beta-antibody-t15-ab28356

0

(0 reviews)

Alternative Product
Primary Antibodies

AB131067

Anti-PI 3 Kinase p85 beta antibody

primary-antibodies

pi-3-kinase-p85-beta-antibody-ab131067

0

(0 reviews)

Alternative Product
Primary Antibodies

AB138364

Anti-PI 3 Kinase p85 beta (phospho Y464) antibody

primary-antibodies

pi-3-kinase-p85-beta-phospho-y464-antibody-ab138364

0

(0 reviews)

Please note: All products are 'FOR RESEARCH USE ONLY. NOT FOR USE IN DIAGNOSTIC OR THERAPEUTIC PROCEDURES'.

For licensing inquiries, please contact partnerships@abcam.com