JavaScript is disabled in your browser. Please enable JavaScript to view this website.
AB231161

Anti-PI 3 Kinase p85 beta antibody [EPR18416] - BSA and Azide free

Be the first to review this product! Submit a review

|

(1 Publication)

Rabbit Recombinant Monoclonal PI 3 Kinase p85 beta antibody. Carrier free. Suitable for IP, WB, ICC/IF, IHC-P and reacts with Human, Rat samples. Cited in 1 publication.

View Alternative Names

Phosphatidylinositol 3-kinase regulatory subunit beta, PI3-kinase regulatory subunit beta, PI3K regulatory subunit beta, PtdIns-3-kinase regulatory subunit beta, Phosphatidylinositol 3-kinase 85 kDa regulatory subunit beta, PI3-kinase subunit p85-beta, PtdIns-3-kinase regulatory subunit p85-beta, PIK3R2

7 Images
Immunohistochemistry (Formalin/PFA-fixed paraffin-embedded sections) - Anti-PI 3 Kinase p85 beta antibody [EPR18416] - BSA and Azide free (AB231161)
  • IHC-P

Supplier Data

Immunohistochemistry (Formalin/PFA-fixed paraffin-embedded sections) - Anti-PI 3 Kinase p85 beta antibody [EPR18416] - BSA and Azide free (AB231161)

This IHC data was generated using the same anti-PI 3 Kinase p85 beta antibody clone, EPR18416, in a different buffer formulation (cat# ab180967).

Immunohistochemical analysis of paraffin-embedded Human colon tissue labeling PI 3 Kinase p85 beta using ab180967 at 1/100 dilution. A Goat Anti-Rabbit IgG H&L (HRP) (ab97051) was used as secondary at 1/500 dilution. Cytoplasm staining on epithelial cells of Human colon was observed. Counter stained with Hematoxylin.

Negative control : Used PBS instead of primary antibody, secondary antibody is Goat Anti-Rabbit IgG H&L (HRP) (ab97051) at 1/500 dilution.

Heat mediated antigen retrieval was performed with Tris/EDTA buffer pH 9.0 before commencing with IHC staining protocol.

Immunohistochemistry (Formalin/PFA-fixed paraffin-embedded sections) - Anti-PI 3 Kinase p85 beta antibody [EPR18416] - BSA and Azide free (AB231161)
  • IHC-P

Supplier Data

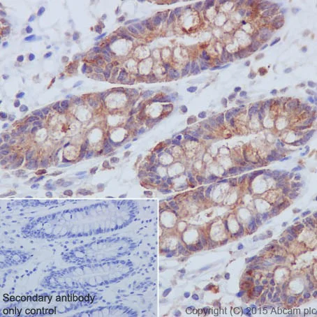
Immunohistochemistry (Formalin/PFA-fixed paraffin-embedded sections) - Anti-PI 3 Kinase p85 beta antibody [EPR18416] - BSA and Azide free (AB231161)

This IHC data was generated using the same anti-PI 3 Kinase p85 beta antibody clone, EPR18416, in a different buffer formulation (cat# ab180967).

Immunohistochemical analysis of paraffin-embedded Human colonic adenocarcinoma tissue labeling PI 3 Kinase p85 beta using ab180967 at 1/100 dilution. A Goat Anti-Rabbit IgG H&L (HRP) (ab97051) was used as secondary at 1/500 dilution. Nucleus and cytoplasm staining on tumor cells of colonic adenocarcinoma was observed. Counter stained with Hematoxylin.

Negative control : Used PBS instead of primary antibody, secondary antibody is Goat Anti-Rabbit IgG H&L (HRP) (ab97051) at 1/500 dilution.

Heat mediated antigen retrieval was performed with Tris/EDTA buffer pH 9.0 before commencing with IHC staining protocol.

Immunohistochemistry (Formalin/PFA-fixed paraffin-embedded sections) - Anti-PI 3 Kinase p85 beta antibody [EPR18416] - BSA and Azide free (AB231161)
  • IHC-P

Supplier Data

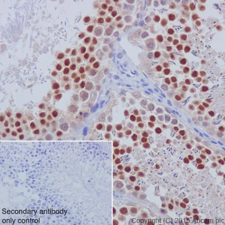
Immunohistochemistry (Formalin/PFA-fixed paraffin-embedded sections) - Anti-PI 3 Kinase p85 beta antibody [EPR18416] - BSA and Azide free (AB231161)

Immunohistochemical analysis of paraffin-embedded Rat testis tissue labeling PI 3 Kinase p85 beta using ab180967 at 1/100 dilution. A Goat Anti-Rabbit IgG H&L (HRP) (ab97051) was used as secondary at 1/500 dilution. Nucleus and cytoplasm staining on spermatogenic cell of rat testis was observed. Counter stained with Hematoxylin.

Negative control : Used PBS instead of primary antibody, secondary antibody is Goat Anti-Rabbit IgG H&L (HRP) (ab97051) at 1/500 dilution.

This data was developed using the same antibody clone in a different buffer formulation containing PBS, BSA, glycerol, and sodium azide (ab180967).

Heat mediated antigen retrieval was performed with Tris/EDTA buffer pH 9.0 before commencing with IHC staining protocol.

Immunocytochemistry/ Immunofluorescence - Anti-PI 3 Kinase p85 beta antibody [EPR18416] - BSA and Azide free (AB231161)
  • ICC/IF

Supplier Data

Immunocytochemistry/ Immunofluorescence - Anti-PI 3 Kinase p85 beta antibody [EPR18416] - BSA and Azide free (AB231161)

Immunofluorescent analysis of 4% paraformaldehyde-fixed, 0.1% Triton X-100 permeabilized HeLa (Human epithelial cells from cervix adenocarcinoma) cells labeling PI 3 Kinase p85 beta with ab180967 at 1/500 dilution, followed by Goat anti-rabbit IgG (Alexa Fluor® 488) (ab150077) secondary antibody at 1/1000 dilution (green).

Confocal image showing nuclear and cytoplasmic staining on HeLa cell line.

The nuclear counter stain is DAPI (blue).

Tubulin is detected with ab7291 (anti-Tubulin mouse mAb) at 1/1000 dilution and ab150120 (AlexaFluor®594 Goat anti-Mouse secondary) at 1/1000 dilution (red).
The negative controls are as follows :
1. ab180967 at 1/500 dilution followed by ab150120 (AlexaFluor®594 Goat anti-Mouse secondary) at 1/1000 dilution.
2. ab7291 (anti-Tubulin mouse mAb) at 1/1000 dilution followed by ab150077 (Alexa Fluor®488 Goat Anti-Rabbit IgG H&L) at 1/1000 dilution.

This data was developed using the same antibody clone in a different buffer formulation containing PBS, BSA, glycerol, and sodium azide (ab180967).

Immunocytochemistry/ Immunofluorescence - Anti-PI 3 Kinase p85 beta antibody [EPR18416] - BSA and Azide free (AB231161)
  • ICC/IF

Supplier Data

Immunocytochemistry/ Immunofluorescence - Anti-PI 3 Kinase p85 beta antibody [EPR18416] - BSA and Azide free (AB231161)

Immunofluorescent analysis of 4% paraformaldehyde-fixed, 0.1% Triton X-100 permeabilized Jurkat (Human T cell leukemia cells from peripheral blood) cells labeling PI 3 Kinase p85 beta with ab180967 at 1/500 dilution, followed by Goat anti-rabbit IgG (Alexa Fluor® 488) (ab150077) secondary antibody at 1/1000 dilution (green).

Confocal image showing nuclear and weakly cytoplasmic staining on Jurkat cell line.

The nuclear counter stain is DAPI (blue).

Tubulin is detected with ab7291 (anti-Tubulin mouse mAb) at 1/1000 dilution and ab150120 (AlexaFluor®594 Goat anti-Mouse secondary) at 1/1000 dilution (red).
The negative controls are as follows :
1. ab180967 at 1/500 dilution followed by ab150120 (AlexaFluor®594 Goat anti-Mouse secondary) at 1/1000 dilution.
2. ab7291 (anti-Tubulin mouse mAb) at 1/1000 dilution followed by ab150077 (Alexa Fluor®488 Goat Anti-Rabbit IgG H&L) at 1/1000 dilution.

This data was developed using the same antibody clone in a different buffer formulation containing PBS, BSA, glycerol, and sodium azide (ab180967).

Immunoprecipitation - Anti-PI 3 Kinase p85 beta antibody [EPR18416] - BSA and Azide free (AB231161)
  • IP

Supplier Data

Immunoprecipitation - Anti-PI 3 Kinase p85 beta antibody [EPR18416] - BSA and Azide free (AB231161)

PI 3 Kinase p85 beta was immunoprecipitated from 1mg of HeLa (Human epithelial cells from cervix adenocarcinoma) whole cell lysate with ab180967 at 1/80 dilution. Western blot was performed from the immunoprecipitate using ab180967 at 1/10000 dilution. Anti-Rabbit IgG (HRP), specific to the non-reduced form of IgG, was used as secondary antibody at 1/1500 dilution.

Lane 1 : HeLa whole cell lysate10 µg (Input).

Lane 2 : ab180967 IP in HeLa whole cell lysate.

Lane 3 : Rabbit monoclonal IgG (ab172730) instead of ab180967 in HeLa whole cell lysate.
Blocking and dilution buffer and concentration : 5% NFDM/TBST.

Exposure time : 10 seconds.

This data was developed using the same antibody clone in a different buffer formulation containing PBS, BSA, glycerol, and sodium azide (ab180967).

All lanes:

Immunoprecipitation - Anti-PI 3 Kinase p85 beta antibody [EPR18416] (<a href='/en-us/products/primary-antibodies/pi-3-kinase-p85-beta-antibody-epr18416-ab180967'>ab180967</a>)

Predicted band size: 81 kDa

false

Western blot - Anti-PI 3 Kinase p85 beta antibody [EPR18416] - BSA and Azide free (AB231161)
  • WB

Lab

Western blot - Anti-PI 3 Kinase p85 beta antibody [EPR18416] - BSA and Azide free (AB231161)

This data was developed using the same antibody clone in a different buffer formulation containing PBS, BSA, glycerol, and sodium azide (ab180967).

Lanes 1- 2 : Merged signal (red and green). Green - ab180967 observed at 85 kDa. Red - Anti-GAPDH antibody [6C5] - Loading Control (ab8245) observed at 37 kDa.

ab180967 was shown to react with PI 3 Kinase p85 beta in wild-type HEK-293T cells in western blot. Loss of signal was observed when knockout cell line ab266799 (knockout cell lysate ab257586) was used. Wild-type HEK-293T and PIK3R2 knockout HEK-293T cell lysates were subjected to SDS-PAGE. ab180967 and Anti-GAPDH antibody [6C5] - Loading Control (ab8245) overnight at 4°C at a 1 in 2000 dilution and a 1 in 20000 dilution respectively. Blots were developed with Goat anti-Rabbit IgG H&L (IRDye®800CW) preadsorbed (ab216773) and Goat anti-Mouse IgG H&L (IRDye®680RD) preadsorbed (ab216776) secondary antibodies at 1 in 20000 dilution for 1 hour at room temperature before imaging.

All lanes:

Western blot - Anti-PI 3 Kinase p85 beta antibody [EPR18416] (<a href='/en-us/products/primary-antibodies/pi-3-kinase-p85-beta-antibody-epr18416-ab180967'>ab180967</a>) at 1/2000 dilution

Lane 1:

Wild-type HEK-293T cell lysate at 20 µg

Lane 2:

PIK3R2 knockout HEK-293T cell lysate at 20 µg

Lane 2:

Western blot - Human PIK3R2 (PI 3 Kinase p85 beta) knockout HEK-293T cell line (<a href='/en-us/products/cell-lines/human-pik3r2-pi-3-kinase-p85-beta-knockout-hek-293t-cell-line-ab266799'>ab266799</a>)

Predicted band size: 56 kDa,81 kDa

Observed band size: 56 kDa,85 kDa

false

  • Unconjugated

    Anti-PI 3 Kinase p85 beta antibody [EPR18416]

  • 665 Alexa Fluor® 647

    Alexa Fluor® 647 Anti-PI 3 Kinase p85 beta antibody [EPR18416]

Key facts

Host species

Rabbit

Clonality

Monoclonal

Clone number

EPR18416

Isotype

IgG

Carrier free

Yes

Reacts with

Rat, Human

Applications

ICC/IF, IHC-P, WB, IP

applications

Immunogen

The exact immunogen used to generate this antibody is proprietary information.

Reactivity data

{ "title": "Reactivity Data", "filters": { "stats": ["", "Species", "Dilution Info", "Notes"], "tabs": { "all-applications": {"fullname" : "All Applications", "shortname": "All Applications"}, "IP" : {"fullname" : "Immunoprecipitation", "shortname":"IP"}, "FlowCyt" : {"fullname" : "Flow Cytometry", "shortname":"Flow Cyt"}, "WB" : {"fullname" : "Western blot", "shortname":"WB"}, "ICCIF" : {"fullname" : "Immunocytochemistry/ Immunofluorescence", "shortname":"ICC/IF"}, "IHCP" : {"fullname" : "Immunohistochemistry (Formalin/PFA-fixed paraffin-embedded sections)", "shortname":"IHC-P"} }, "product-promise": { "all": "all", "testedAndGuaranteed": "tested", "guaranteed": "expected", "predicted": "predicted", "notRecommended": "not-recommended" } }, "values": { "Human": { "IP-species-checked": "testedAndGuaranteed", "IP-species-dilution-info": "", "IP-species-notes": "<p></p> Perform heat-mediated antigen retrieval with Tris/EDTA buffer pH 9.0 before commencing with IHC staining protocol.", "FlowCyt-species-checked": "notRecommended", "FlowCyt-species-dilution-info": "", "FlowCyt-species-notes": "<p><a href='/en-us/products/primary-antibodies/rabbit-igg-monoclonal-epr25a-isotype-control-low-endotoxin-azide-free-ab199376'>ab199376</a> - Rabbit monoclonal IgG (Low endotoxin, Azide free), is suitable for use as an isotype control with this antibody.</p>", "WB-species-checked": "testedAndGuaranteed", "WB-species-dilution-info": "", "WB-species-notes": "<p></p>", "ICCIF-species-checked": "testedAndGuaranteed", "ICCIF-species-dilution-info": "", "ICCIF-species-notes": "<p></p>", "IHCP-species-checked": "testedAndGuaranteed", "IHCP-species-dilution-info": "", "IHCP-species-notes": "<p></p> Perform heat-mediated antigen retrieval with Tris/EDTA buffer pH 9.0 before commencing with IHC staining protocol." }, "Rat": { "IP-species-checked": "guaranteed", "IP-species-dilution-info": "", "IP-species-notes": "", "FlowCyt-species-checked": "notRecommended", "FlowCyt-species-dilution-info": "", "FlowCyt-species-notes": "<p><a href='/en-us/products/primary-antibodies/rabbit-igg-monoclonal-epr25a-isotype-control-low-endotoxin-azide-free-ab199376'>ab199376</a> - Rabbit monoclonal IgG (Low endotoxin, Azide free), is suitable for use as an isotype control with this antibody.</p>", "WB-species-checked": "testedAndGuaranteed", "WB-species-dilution-info": "", "WB-species-notes": "<p></p>", "ICCIF-species-checked": "guaranteed", "ICCIF-species-dilution-info": "", "ICCIF-species-notes": "", "IHCP-species-checked": "testedAndGuaranteed", "IHCP-species-dilution-info": "", "IHCP-species-notes": "<p></p> Perform heat-mediated antigen retrieval with Tris/EDTA buffer pH 9.0 before commencing with IHC staining protocol." } } }

Product details

ab231161 is the carrier-free version of ab180967.

Conjugation ready
Our carrier-free antibodies are typically supplied in a PBS-only formulation, purified and free of BSA, sodium azide and glycerol. This conjugation-ready format is designed for use with fluorochromes, metal isotopes, oligonucleotides, and enzymes, which makes them ideal for antibody labelling, functional and cell-based assays, flow-based assays (e.g. mass cytometry) and Multiplex Imaging applications.

Use our conjugation kits for antibody conjugates that are ready-to-use in as little as 20 minutes with 1 minute hands-on-time and 100% antibody recovery: available for fluorescent dyes, HRP, biotin and gold.

Compatibility
This product is compatible with the Maxpar® Antibody Labeling Kit from Fluidigm, without the need for antibody preparation. Maxpar® is a trademark of Fluidigm Canada Inc.

Properties and storage information

Form
Liquid
Purification technique
Affinity purification Protein A
Storage buffer
pH: 7.2 - 7.4 Constituents: PBS
Shipped at conditions
Blue Ice
Appropriate short-term storage conditions
+4°C
Appropriate long-term storage conditions
+4°C
Storage information
Do Not Freeze

Supplementary information

This supplementary information is collated from multiple sources and compiled automatically.

PI 3-kinase p85 beta also known as PIK3R2 is a regulatory subunit of phosphoinositide 3-kinases (PI3K). This protein has a molecular weight of approximately 85 kilodaltons. It expresses widely in various tissues including brain liver and skeletal muscle. The p85 protein form interacts with the catalytic subunit p110 allowing for the proper localization and activation of PI3K in response to various extracellular signals.
Biological function summary

The regulatory subunit PI 3-kinase p85 beta is responsible for maintaining the balance of PI3K activity within the cellular environment. It forms a dynamic complex with the catalytic subunit influencing downstream signaling pathways. The presence of p85 beta ensures the stability and function of the PI3K complex essential for processes such as cell growth survival and metabolism.

Pathways

This protein plays a significant role in the PI3K/AKT/mTOR signaling pathway and also contributes to insulin signaling. It partners with p110 and mediates the transmission of signals from receptor tyrosine kinases (RTKs) like insulin receptors. The regulation by p85 beta affects protein synthesis and glucose uptake highlighting its function in cellular energy management.

Dysregulation of PI 3-kinase p85 beta associates frequently with types of cancer and type 2 diabetes mellitus. Aberrant signaling through the PI3K pathway involving interactions between p85 beta and p110 contributes to oncogenesis. Similarly inappropriate regulation of insulin signaling links p85 beta with insulin resistance an important factor in type 2 diabetes where it may interact with proteins such as IRS-1 (Insulin Receptor Substrate 1) to influence disease progression.

Product protocols

For this product, it's our understanding that no specific protocols are required. You can visit:

Target data

Regulatory subunit of phosphoinositide-3-kinase (PI3K), a kinase that phosphorylates PtdIns(4,5)P2 (Phosphatidylinositol 4,5-bisphosphate) to generate phosphatidylinositol 3,4,5-trisphosphate (PIP3). PIP3 plays a key role by recruiting PH domain-containing proteins to the membrane, including AKT1 and PDPK1, activating signaling cascades involved in cell growth, survival, proliferation, motility and morphology. Binds to activated (phosphorylated) protein-tyrosine kinases, through its SH2 domain, and acts as an adapter, mediating the association of the p110 catalytic unit to the plasma membrane. Indirectly regulates autophagy (PubMed : 23604317). Promotes nuclear translocation of XBP1 isoform 2 in a ER stress- and/or insulin-dependent manner during metabolic overloading in the liver and hence plays a role in glucose tolerance improvement (By similarity).
See full target information PIK3R2

Publications (1)

Recent publications for all applications. Explore the full list and refine your search

iScience 25:105521 PubMed36425760

2022

Single-cell transcriptomic mapping of intestinal epithelium that undergoes 3D morphogenesis and mechanodynamic stimulation in a gut-on-a-chip.

Applications

Unspecified application

Species

Unspecified reactive species

Woojung Shin,Zhe Su,S Stephen Yi,Hyun Jung Kim
View all publications

Product promise

We are committed to supporting your work with high-quality reagents, and we're here for you every step of the way. In the unlikely event that one of our products does not perform as expected, you're protected by our Product Promise.
For full details, please see our Terms & Conditions

Please note: All products are 'FOR RESEARCH USE ONLY. NOT FOR USE IN DIAGNOSTIC OR THERAPEUTIC PROCEDURES'.

For licensing inquiries, please contact partnerships@abcam.com