JavaScript is disabled in your browser. Please enable JavaScript to view this website.
AB233443

Anti-PI-9 antibody

Be the first to review this product! Submit a review

|

(2 Publications)

Rabbit Polyclonal PI-9 antibody. Suitable for WB, IHC-P, ICC/IF and reacts with Recombinant full length protein - Human, Human, Mouse samples. Cited in 2 publications. Immunogen corresponding to Recombinant Full Length Protein corresponding to Human SERPINB9.

View Alternative Names

PI9, SERPINB9, Serpin B9, Cytoplasmic antiproteinase 3, Peptidase inhibitor 9, CAP-3, CAP3, PI-9

11 Images
Immunocytochemistry/ Immunofluorescence - Anti-PI-9 antibody (AB233443)
  • ICC/IF

Supplier Data

Immunocytochemistry/ Immunofluorescence - Anti-PI-9 antibody (AB233443)

HeLa (human epithelial cell line from cervix adenocarcinoma) cells labeling PI-9 using ab233443 at 10 μg/ml in ICC/IF. FITC-Linked Caprine Anti-Rabbit IgG Polyclonal Antibody was used as the secondary antibody at 1 μg/ml.

Immunohistochemistry (Formalin/PFA-fixed paraffin-embedded sections) - Anti-PI-9 antibody (AB233443)
  • IHC-P

Supplier Data

Immunohistochemistry (Formalin/PFA-fixed paraffin-embedded sections) - Anti-PI-9 antibody (AB233443)

Formalin-fixed, paraffin-embedded human bile duct cancer tissue stained for PI-9 using ab233443 at 10 μg/ml in immunohistochemical analysis.

Secondary Antibody : 2 μg/ml HRP-Linked Caprine Anti-Rabbit IgG Polyclonal Antibody.

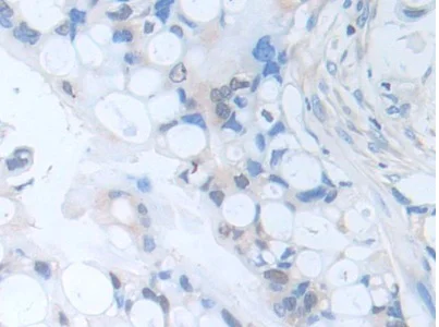
Immunohistochemistry (Formalin/PFA-fixed paraffin-embedded sections) - Anti-PI-9 antibody (AB233443)
  • IHC-P

Supplier Data

Immunohistochemistry (Formalin/PFA-fixed paraffin-embedded sections) - Anti-PI-9 antibody (AB233443)

Formalin-fixed, paraffin-embedded human stomach tissue stained for PI-9 using ab233443 at 10 μg/ml in immunohistochemical analysis.

Secondary Antibody : 2 μg/ml HRP-Linked Caprine Anti-Rabbit IgG Polyclonal Antibody.

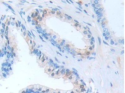
Immunohistochemistry (Formalin/PFA-fixed paraffin-embedded sections) - Anti-PI-9 antibody (AB233443)
  • IHC-P

Supplier Data

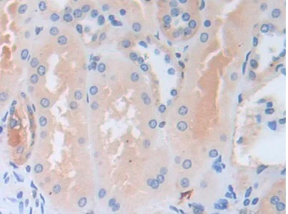
Immunohistochemistry (Formalin/PFA-fixed paraffin-embedded sections) - Anti-PI-9 antibody (AB233443)

Formalin-fixed, paraffin-embedded human kidney tissue stained for PI-9 using ab233443 at 10 μg/ml in immunohistochemical analysis.

Secondary Antibody : 2μg/ml HRP-Linked Caprine Anti-Rabbit IgG Polyclonal Antibody.

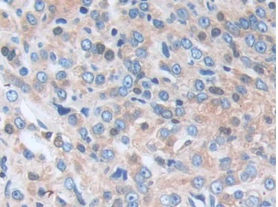
Immunohistochemistry (Formalin/PFA-fixed paraffin-embedded sections) - Anti-PI-9 antibody (AB233443)
  • IHC-P

Supplier Data

Immunohistochemistry (Formalin/PFA-fixed paraffin-embedded sections) - Anti-PI-9 antibody (AB233443)

Formalin-fixed, paraffin-embedded human prostate cancer tissue stained for PI-9 using ab233443 at 10 μg/ml in immunohistochemical analysis.

Secondary Antibody : 2μg/ml HRP-Linked Caprine Anti-Rabbit IgG Polyclonal Antibody.

Immunohistochemistry (Formalin/PFA-fixed paraffin-embedded sections) - Anti-PI-9 antibody (AB233443)
  • IHC-P

Supplier Data

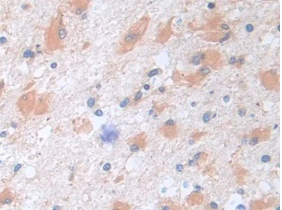
Immunohistochemistry (Formalin/PFA-fixed paraffin-embedded sections) - Anti-PI-9 antibody (AB233443)

Formalin-fixed, paraffin-embedded human cerebrum tissue stained for PI-9 using ab233443 at 10 μg/ml in immunohistochemical analysis.

Secondary Antibody : 2 μg/ml HRP-Linked Caprine Anti-Rabbit IgG Polyclonal Antibody.

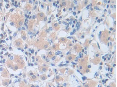
Immunohistochemistry (Formalin/PFA-fixed paraffin-embedded sections) - Anti-PI-9 antibody (AB233443)
  • IHC-P

Supplier Data

Immunohistochemistry (Formalin/PFA-fixed paraffin-embedded sections) - Anti-PI-9 antibody (AB233443)

Formalin-fixed, paraffin-embedded human prostate tissue stained for PI-9 using ab233443 at 10 μg/ml in immunohistochemical analysis.

Secondary Antibody : 2 μg/ml HRP-Linked Caprine Anti-Rabbit IgG Polyclonal Antibody.

Western blot - Anti-PI-9 antibody (AB233443)
  • WB

Supplier Data

Western blot - Anti-PI-9 antibody (AB233443)

All lanes:

Western blot - Anti-PI-9 antibody (ab233443) at 2 µg/mL

All lanes:

Mouse placenta lysate

Predicted band size: 42 kDa

false

Western blot - Anti-PI-9 antibody (AB233443)
  • WB

Supplier Data

Western blot - Anti-PI-9 antibody (AB233443)

All lanes:

Western blot - Anti-PI-9 antibody (ab233443) at 2 µg/mL

All lanes:

K562 (human chronic myelogenous leukemia cell line from bone marrow) cell lysate

Predicted band size: 42 kDa

false

Western blot - Anti-PI-9 antibody (AB233443)
  • WB

Supplier Data

Western blot - Anti-PI-9 antibody (AB233443)

All lanes:

Western blot - Anti-PI-9 antibody (ab233443) at 3 µg/mL

All lanes:

Recombinant human PI-9 protein

Secondary

All lanes:

HRP-Linked Guinea pig Anti-Rabbit at 1/2000 dilution

Predicted band size: 42 kDa

false

Western blot - Anti-PI-9 antibody (AB233443)
  • WB

Supplier Data

Western blot - Anti-PI-9 antibody (AB233443)

All lanes:

Western blot - Anti-PI-9 antibody (ab233443) at 3 µg/mL

All lanes:

Human serum

Predicted band size: 42 kDa

false

Key facts

Host species

Rabbit

Clonality

Polyclonal

Isotype

IgG

Carrier free

No

Reacts with

Mouse, Human

Applications

IHC-P, ICC/IF, WB

applications

Immunogen

Recombinant Full Length Protein corresponding to Human SERPINB9.

P50453

Specificity

Mouse species is recommended based on WB results, we do not guarantee IHC-P and ICC/IF for mouse.

Reactivity data

{ "title": "Reactivity Data", "filters": { "stats": ["", "Species", "Dilution Info", "Notes"], "tabs": { "all-applications": {"fullname" : "All Applications", "shortname": "All Applications"}, "WB" : {"fullname" : "Western blot", "shortname":"WB"}, "IHCP" : {"fullname" : "Immunohistochemistry (Formalin/PFA-fixed paraffin-embedded sections)", "shortname":"IHC-P"}, "ICCIF" : {"fullname" : "Immunocytochemistry/ Immunofluorescence", "shortname":"ICC/IF"} }, "product-promise": { "all": "all", "testedAndGuaranteed": "tested", "guaranteed": "expected", "predicted": "predicted", "notRecommended": "not-recommended" } }, "values": { "Human": { "WB-species-checked": "testedAndGuaranteed", "WB-species-dilution-info": "0.5-2 µg/mL", "WB-species-notes": "<p></p>", "IHCP-species-checked": "testedAndGuaranteed", "IHCP-species-dilution-info": "5-20 µg/mL", "IHCP-species-notes": "<p></p>", "ICCIF-species-checked": "testedAndGuaranteed", "ICCIF-species-dilution-info": "5-20 µg/mL", "ICCIF-species-notes": "<p></p>" }, "Mouse": { "WB-species-checked": "testedAndGuaranteed", "WB-species-dilution-info": "0.5-2 µg/mL", "WB-species-notes": "<p></p>", "IHCP-species-checked": "notRecommended", "IHCP-species-dilution-info": "", "IHCP-species-notes": "<p></p>", "ICCIF-species-checked": "notRecommended", "ICCIF-species-dilution-info": "", "ICCIF-species-notes": "<p></p>" }, "Recombinant full length protein - Human": { "WB-species-checked": "testedAndGuaranteed", "WB-species-dilution-info": "0.5-2 µg/mL", "WB-species-notes": "<p></p>", "IHCP-species-checked": "notRecommended", "IHCP-species-dilution-info": "", "IHCP-species-notes": "", "ICCIF-species-checked": "notRecommended", "ICCIF-species-dilution-info": "", "ICCIF-species-notes": "" } } }

Properties and storage information

Form
Liquid
Purification technique
Affinity purification Immunogen
Purification notes
ab233443 was purified by antigen-specific affinity chromatography followed by Protein A affinity chromatography.
Storage buffer
pH: 7.4 Preservative: 0.011% Proclin 300 Constituents: PBS, 55.77% Glycerol (glycerin, glycerine)
Shipped at conditions
Blue Ice
Appropriate short-term storage duration
1-2 weeks
Appropriate short-term storage conditions
+4°C
Appropriate long-term storage conditions
-20°C
Aliquoting information
Upon delivery aliquot
Storage information
Avoid freeze / thaw cycle

Supplementary information

This supplementary information is collated from multiple sources and compiled automatically.

The PI-9 protein also known as serpinB9 is a serine protease inhibitor with a molecular mass of approximately 42 kDa. It is expressed primarily in immune cells such as cytotoxic T lymphocytes and natural killer cells as well as in some neurons and hepatocytes. The protein inhibits proteolytic enzymes to prevent unwanted cell death mainly controlling granzyme B activity.
Biological function summary

PI-9 helps regulate immune cell activity and prevent autoimmunity by inhibiting granule-mediated apoptosis. It functions as part of a complex that manages cell death pathways acting as a guardian against excessive cytotoxic actions by the immune system. Its regulatory role ensures the balance between attacking pathogens and protecting host cells from unnecessary destruction.

Pathways

PI-9 plays an integral role in the apoptotic pathway interacting with proteins like granzyme B to protect host cells from immune-mediated killing. It is also involved in the cellular response to stress especially within the immune system's cytotoxic responses. The protein's interaction with granzyme B highlights its role in maintaining the balance between immune defense and cellular protection.

PI-9 has been linked to autoimmune conditions and cancer. It helps regulate autoimmune responses by preventing excessive apoptosis which could otherwise lead to tissue damage. In cancer PI-9 overexpression is sometimes observed potentially allowing tumor cells to evade immune surveillance. The relationship between PI-9 and granzyme B is important in understanding its dual role in disease contexts.

Product protocols

For this product, it's our understanding that no specific protocols are required. You can visit:

Target data

Granzyme B inhibitor.
See full target information SERPINB9

Publications (2)

Recent publications for all applications. Explore the full list and refine your search

Nature communications 16:7827 PubMed40846845

2025

Targeting spermine metabolism to overcome immunotherapy resistance in pancreatic cancer.

Applications

Unspecified application

Species

Unspecified reactive species

Hanshen Yang,Xiaozhen Zhang,Sirui Zhang,Yanqing Yang,Yan Chen,Yangwei Jiang,Qingsong Lu,Lingyue Liu,Mengyi Lao,Weiran Du,Kang Sun,Lihong He,Jiatao Shi,Xinyuan Liu,Jinyuan Song,Na Lu,Junming Huang,Jinyan Huang,Ruhong Zhou,Xiongbin Lu,Tingbo Liang,Xueli Bai

Biomolecules 12: PubMed36139155

2022

Expression of Major Lipid Raft Protein Raftlin in Chronic Rhinosinusitis with Nasal Polyps in Smoking and Non-Smoking Patients Correlated with Interleukin-17 and Tumor Necrosis Factor-α Levels.

Applications

Unspecified application

Species

Unspecified reactive species

Yu-Tsai Lin,Ming-Hsien Tsai,Yan-Ye Su,Wei-Chih Chen,Shun-Chen Huang,Chih-Yen Chien
View all publications

Product promise

We are committed to supporting your work with high-quality reagents, and we're here for you every step of the way. In the unlikely event that one of our products does not perform as expected, you're protected by our Product Promise.
For full details, please see our Terms & Conditions

Please note: All products are 'FOR RESEARCH USE ONLY. NOT FOR USE IN DIAGNOSTIC OR THERAPEUTIC PROCEDURES'.

For licensing inquiries, please contact partnerships@abcam.com