JavaScript is disabled in your browser. Please enable JavaScript to view this website.
AB58406

Anti-PIAS3 antibody

4

(1 Review)

|

(8 Publications)

Rabbit Polyclonal PIAS3 antibody. Suitable for WB, IHC-P and reacts with Human samples. Cited in 8 publications. Immunogen corresponding to Synthetic Peptide within Human PIAS3.

View Alternative Names

E3 SUMO-protein ligase PIAS3, E3 SUMO-protein transferase PIAS3, Protein inhibitor of activated STAT protein 3, PIAS3

2 Images
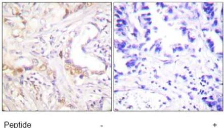
Immunohistochemistry (Formalin/PFA-fixed paraffin-embedded sections) - Anti-PIAS3 antibody (AB58406)
  • IHC-P

Unknown

Immunohistochemistry (Formalin/PFA-fixed paraffin-embedded sections) - Anti-PIAS3 antibody (AB58406)

Immunohistochemical analysis of paraffin embedded human lung carcinoma tissue using ab58406 at 1/50-1/100 dilution. Samples were treated -/+ peptide.

Western blot - Anti-PIAS3 antibody (AB58406)
  • WB

Unknown

Western blot - Anti-PIAS3 antibody (AB58406)

All lanes:

Western blot - Anti-PIAS3 antibody (ab58406) at 1/500 dilution

Lane 1:

293 cell extract treated with UV (5 min)

Lane 2:

293 cell extract treated with UV (5 min) with peptide

Predicted band size: 68 kDa

Observed band size: 67 kDa

false

Key facts

Host species

Rabbit

Clonality

Polyclonal

Isotype

IgG

Carrier free

No

Reacts with

Human

Applications

WB, IHC-P

applications

Immunogen

Synthetic Peptide within Human PIAS3. The exact immunogen used to generate this antibody is proprietary information.

Q9Y6X2

Reactivity data

{ "title": "Reactivity Data", "filters": { "stats": ["", "Species", "Dilution Info", "Notes"], "tabs": { "all-applications": {"fullname" : "All Applications", "shortname": "All Applications"}, "WB" : {"fullname" : "Western blot", "shortname":"WB"}, "IHCP" : {"fullname" : "Immunohistochemistry (Formalin/PFA-fixed paraffin-embedded sections)", "shortname":"IHC-P"} }, "product-promise": { "all": "all", "testedAndGuaranteed": "tested", "guaranteed": "expected", "predicted": "predicted", "notRecommended": "not-recommended" } }, "values": { "Human": { "WB-species-checked": "testedAndGuaranteed", "WB-species-dilution-info": "1/500 - 1/1000", "WB-species-notes": "<p></p>", "IHCP-species-checked": "testedAndGuaranteed", "IHCP-species-dilution-info": "", "IHCP-species-notes": "<p></p>" }, "Mouse": { "WB-species-checked": "predicted", "WB-species-dilution-info": "", "WB-species-notes": "", "IHCP-species-checked": "predicted", "IHCP-species-dilution-info": "", "IHCP-species-notes": "" }, "Rat": { "WB-species-checked": "predicted", "WB-species-dilution-info": "", "WB-species-notes": "", "IHCP-species-checked": "predicted", "IHCP-species-dilution-info": "", "IHCP-species-notes": "" } } }

Properties and storage information

Form
Liquid
Purification technique
Affinity purification Immunogen
Purification notes
Affinity purified from rabbit antiserum by affinity chromatography using epitope specific immunogen
Storage buffer
pH: 7.4 Preservative: 0.02% Sodium azide Constituents: PBS, 50% Glycerol (glycerin, glycerine), 0.87% Sodium chloride
Shipped at conditions
Blue Ice
Appropriate short-term storage conditions
+4°C
Appropriate long-term storage conditions
-20°C
Storage information
Stable for 12 months at -20°C

Supplementary information

This supplementary information is collated from multiple sources and compiled automatically.

PIAS3 also known as Protein Inhibitor of Activated STAT3 plays a role in regulating transcription by modulating the activity of signal transducer and activator of transcription (STAT) proteins particularly STAT3. PIAS3 exerts its function through SUMOylation a post-translational modification that alters the function of target proteins. This protein has a mass of approximately 67 kDa and is widely expressed in various tissues including the brain lung and spleen.
Biological function summary

PIAS3 influences cellular processes such as cell growth survival and differentiation through its interaction with STAT3. It is part of a multiprotein complex involving several transcription factors that influence gene expression. By modifying STAT3 activity PIAS3 plays an essential role in maintaining cellular homeostasis and responding to extracellular stimuli.

Pathways

PIAS3 directly affects the JAK-STAT signaling cascade a pathway important in transmitting information from chemical signals outside the cell to the cell nucleus resulting in DNA transcription. It interacts predominantly with the STAT family of proteins including STAT1 impacting processes like immune regulation. PIAS3's role in this pathway positions it as a significant modulator of cytokine signaling and immune responses.

Abnormal PIAS3 function has links to cancer and autoimmune diseases. In cancer overactive STAT3 signaling often resulting from impaired PIAS3 function contributes to tumorigenesis. In autoimmune disorders PIAS3 dysregulation may exacerbate conditions due to its role in immune signaling. Connections between PIAS3 and proteins such as STAT3 highlight its disease relevance and offer potential therapeutic targets for managing these conditions.

Product protocols

For this product, it's our understanding that no specific protocols are required. You can visit:

Target data

Functions as an E3-type small ubiquitin-like modifier (SUMO) ligase, stabilizing the interaction between UBE2I and the substrate, and as a SUMO-tethering factor. Plays a crucial role as a transcriptional coregulation in various cellular pathways, including the STAT pathway and the steroid hormone signaling pathway. Involved in regulating STAT3 signaling via inhibiting STAT3 DNA-binding and suppressing cell growth. Enhances the sumoylation of MTA1 and may participate in its paralog-selective sumoylation (PubMed : 21965678, PubMed : 9388184). Sumoylates CCAR2 which promotes its interaction with SIRT1 (PubMed : 25406032). Diminishes the sumoylation of ZFHX3 by preventing the colocalization of ZFHX3 with SUMO1 in the nucleus (PubMed : 24651376).
See full target information PIAS3

Publications (8)

Recent publications for all applications. Explore the full list and refine your search

International journal of molecular sciences 26: PubMed40003884

2025

Association of Selected STAT Inhibitors with Prolactin-Induced Protein (PIP) in Breast Cancer.

Applications

Unspecified application

Species

Unspecified reactive species

Karolina Jabłońska,Alicja Kmiecik,Katarzyna Nowińska,Aleksandra Piotrowska,Jarosław Suchański,Katarzyna Ratajczak-Wielgomas,Aleksandra Partyńska,Hanna Romanowicz,Beata Smolarz,Rafał Matkowski,Piotr Dzięgiel

American journal of translational research 13:12395-12409 PubMed34956461

2021

PIAS3/SOCS1-STAT3 axis responses to oxidative stress in hepatocellular cancer cells.

Applications

Unspecified application

Species

Unspecified reactive species

Honghua Sun,Yanglong Li,Xianglan Quan,Ning Chen,Xinglin Jin,Wenbiao Jin,Yongmin Jin,Xionghu Shen

Virulence 12:2883-2901 PubMed34747321

2021

Site-specific SUMOylation of viral polymerase processivity factor: a way of localizingtoND10 subnuclear domains for restricted and self-controlled reproduction of herpesvirus.

Applications

Unspecified application

Species

Unspecified reactive species

Shuyan Lai,Mengqiong Xu,Yaohao Wang,Ruilin Li,Chuan Xia,Sisi Xia,Jun Chen

Autoimmunity 54:254-263 PubMed34030529

2021

LncRNA FOXD2-AS1 promotes cell proliferation and invasion of fibroblast-like synoviocytes by regulation of miR-331-3p/PIAS3 pathway in rheumatoid arthritis.

Applications

Unspecified application

Species

Unspecified reactive species

Qirui Zhao,Fengnian Zhao,Chang Liu,Tongtong Xu,Keguan Song

Bioscience, biotechnology, and biochemistry 84:279-289 PubMed31581881

2019

GRM4 inhibits the proliferation, migration, and invasion of human osteosarcoma cells through interaction with CBX4.

Applications

Unspecified application

Species

Unspecified reactive species

Zengliang Zhang,Nan Li,Xing Wei,Bingyao Chen,Yinglong Zhang,Yantao Zhao,Xiantong Hu,Shuxun Hou

The Prostate 79:468-479 PubMed30569541

2018

Coffee diterpenes kahweol acetate and cafestol synergistically inhibit the proliferation and migration of prostate cancer cells.

Applications

Unspecified application

Species

Unspecified reactive species

Hiroaki Iwamoto,Kouji Izumi,Ariunbold Natsagdorj,Renato Naito,Tomoyuki Makino,Suguru Kadomoto,Kaoru Hiratsuka,Kazuyoshi Shigehara,Yoshifumi Kadono,Kazutaka Narimoto,Yohei Saito,Kyoko Nakagawa-Goto,Atsushi Mizokami

Molecular carcinogenesis 57:536-548 PubMed29280516

2018

Suppression of STAT3 NH -terminal domain chemosensitizes medulloblastoma cells by activation of protein inhibitor of activated STAT3 via de-repression by microRNA-21.

Applications

Unspecified application

Species

Unspecified reactive species

Sutapa Ray,Don W Coulter,Shawn D Gray,Jason A Sughroue,Shrabasti Roychoudhury,Erin M McIntyre,Nagendra K Chaturvedi,Kishor K Bhakat,Shantaram S Joshi,Timothy R McGuire,John G Sharp

Cellular signalling 22:1734-44 PubMed20603212

2010

TGF-beta1 suppresses IL-6-induced STAT3 activation through regulation of Jak2 expression in prostate epithelial cells.

Applications

WB

Species

Human

Andrea Starsíchová,Eva Lincová,Zuzana Pernicová,Alois Kozubík,Karel Soucek
View all publications

Product promise

We are committed to supporting your work with high-quality reagents, and we're here for you every step of the way. In the unlikely event that one of our products does not perform as expected, you're protected by our Product Promise.
For full details, please see our Terms & Conditions

Please note: All products are 'FOR RESEARCH USE ONLY. NOT FOR USE IN DIAGNOSTIC OR THERAPEUTIC PROCEDURES'.

For licensing inquiries, please contact partnerships@abcam.com