JavaScript is disabled in your browser. Please enable JavaScript to view this website.
AB172962

Anti-PICALM antibody [EPR12177]

5

(6 Reviews)

|

(7 Publications)

Rabbit Recombinant Monoclonal PICALM antibody. Suitable for IHC-P, WB, ICC/IF and reacts with Human samples. Cited in 7 publications.

View Alternative Names

CALM, PICALM, Phosphatidylinositol-binding clathrin assembly protein, Clathrin assembly lymphoid myeloid leukemia protein

6 Images
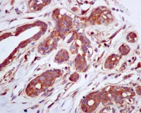
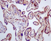
Immunohistochemistry (Formalin/PFA-fixed paraffin-embedded sections) - Anti-PICALM antibody [EPR12177] (AB172962)
  • IHC-P

Supplier Data

Immunohistochemistry (Formalin/PFA-fixed paraffin-embedded sections) - Anti-PICALM antibody [EPR12177] (AB172962)

Immunohistochemical analysis of paraffin-embedded Human Placenta tissue labeling PICALM with ab172962 at 1/50 dilution.

Perform heat mediated antigen retrieval before commencing with IHC staining protocol.

Immunocytochemistry/ Immunofluorescence - Anti-PICALM antibody [EPR12177] (AB172962)
  • ICC/IF

Supplier Data

Immunocytochemistry/ Immunofluorescence - Anti-PICALM antibody [EPR12177] (AB172962)

Immunofluorescent analysis of HeLa cells labeling PICALM with ab172962 at 1/100 dilution.

Immunohistochemistry (Formalin/PFA-fixed paraffin-embedded sections) - Anti-PICALM antibody [EPR12177] (AB172962)
  • IHC-P

Supplier Data

Immunohistochemistry (Formalin/PFA-fixed paraffin-embedded sections) - Anti-PICALM antibody [EPR12177] (AB172962)

Immunohistochemical analysis of paraffin-embedded Human Breast tissue labeling PICALM with ab172962 at 1/50 dilution.

Perform heat mediated antigen retrieval before commencing with IHC staining protocol.

Western blot - Anti-PICALM antibody [EPR12177] (AB172962)
  • WB

Lab

Western blot - Anti-PICALM antibody [EPR12177] (AB172962)

Lanes 1 - 4 : Merged signal (red and green). Green - ab172962 observed at 70-75 kDa. Red - loading control, ab7291 (Mouse anti-Alpha Tubulin [DM1A] observed at 55kDa.

ab172962 was shown to react with PICALM in U-2 OS wild-type cells in Western blot. Loss of signal was observed when PICALM knockout sample was used. U-2 OS wild-type and PICALM knockout cell lysates were subjected to SDS-PAGE. Membranes were blocked in 3% Milk in TBS-T (0.1% Tween®) before incubation with ab172962 and ab7291 (Mouse anti-Alpha Tubulin [DM1A] overnight at 4°C at a 1 in 5000 dilution and a 1 in 20000 dilution respectively. Blots were developed with Goat anti-Rabbit IgG H&L (IRDye® 800CW) preabsorbed (ab216773) and Goat anti-Mouse IgG H&L (IRDye® 680RD) preabsorbed (ab216776) secondary antibodies at 1 in 20000 dilution for 1 hour at room temperature before imaging.

All lanes:

Western blot - Anti-PICALM antibody [EPR12177] (ab172962) at 1/5000 dilution

Lane 1:

Wild-type U-2 OS whole cell lysate at 20 µg

Lane 2:

PICALM knockout U-2 OS whole cell lysate at 20 µg

Lane 2:

Western blot - Human PICALM knockout U-2 OS cell line (<a href='/en-us/products/cell-lines/human-picalm-knockout-u-2-os-cell-line-ab262500'>ab262500</a>)

Lane 3:

PC3 (Human prostate adenocarcinoma cell line) whole cell lysate at 20 µg

Lane 4:

Caco-2 (Human colorectal adenocarcinoma cell line) whole cell lysate at 20 µg

Predicted band size: 70 kDa

Observed band size: 70-75 kDa

false

Western blot - Anti-PICALM antibody [EPR12177] (AB172962)
  • WB

Lab

Western blot - Anti-PICALM antibody [EPR12177] (AB172962)

Lanes 1-3 : Merged signal (red and green). Green - ab172962 observed at 70-75 kDa. Red - loading control ab8245 observed at 36 kDa.

ab172962 Anti-PICALM antibody [EPR12177] was shown to specifically react with PICALM in wild-type HeLa cells. Loss of signal was observed when knockout cell line ab265653 (knockout cell lysate ab258113) was used. Wild-type and PICALM knockout samples were subjected to SDS-PAGE. ab172962 and Anti-GAPDH antibody [6C5] - Loading Control (ab8245) were incubated overnight at 4°C at 1 in 1000 dilution and 1 in 20000 dilution respectively. Blots were developed with Goat anti-Rabbit IgG H&L (IRDye® 800CW) preadsorbed (ab216773) and Goat anti-Mouse IgG H&L (IRDye® 680RD) preadsorbed (ab216776) secondary antibodies at 1 in 20000 dilution for 1 hour at room temperature before imaging.

All lanes:

Western blot - Anti-PICALM antibody [EPR12177] (ab172962) at 1/1000 dilution

Lane 1:

Wild-type HeLa cell lysate at 20 µg

Lane 2:

PICALM knockout HeLa cell lysate at 20 µg

Lane 2:

Western blot - Human PICALM knockout HeLa cell line (<a href='/en-us/products/cell-lines/human-picalm-knockout-hela-cell-line-ab265653'>ab265653</a>)

Lane 3:

Caco-2 cell lysate at 20 µg

Secondary

All lanes:

Western blot - Goat anti-Rabbit IgG H&L (IRDye® 800CW) preadsorbed (<a href='/en-us/products/secondary-antibodies/goat-rabbit-igg-h-l-irdye-800cw-preadsorbed-ab216773'>ab216773</a>) at 1/10000 dilution

Predicted band size: 70 kDa

Observed band size: 70-75 kDa

false

Western blot - Anti-PICALM antibody [EPR12177] (AB172962)
  • WB

Supplier Data

Western blot - Anti-PICALM antibody [EPR12177] (AB172962)

All lanes:

Western blot - Anti-PICALM antibody [EPR12177] (ab172962) at 1/1000 dilution

Lane 1:

HepG2 lysate at 10 µg

Lane 2:

HeLa lysate at 10 µg

Lane 3:

A431 lysate at 10 µg

Lane 4:

Human fetal brain lysate at 10 µg

Secondary

All lanes:

Goat anti-rabbit HRP at 1/2000 dilution

Predicted band size: 70 kDa

false

  • Carrier free

    Anti-PICALM antibody [EPR12177] - BSA and Azide free

Key facts

Host species

Rabbit

Clonality

Monoclonal

Clone number

EPR12177

Isotype

IgG

Carrier free

No

Reacts with

Human

Applications

WB, ICC/IF, IHC-P

applications

Immunogen

The exact immunogen used to generate this antibody is proprietary information.

Reactivity data

{ "title": "Reactivity Data", "filters": { "stats": ["", "Species", "Dilution Info", "Notes"], "tabs": { "all-applications": {"fullname" : "All Applications", "shortname": "All Applications"}, "IHCP" : {"fullname" : "Immunohistochemistry (Formalin/PFA-fixed paraffin-embedded sections)", "shortname":"IHC-P"}, "IP" : {"fullname" : "Immunoprecipitation", "shortname":"IP"}, "FlowCyt" : {"fullname" : "Flow Cytometry", "shortname":"Flow Cyt"}, "WB" : {"fullname" : "Western blot", "shortname":"WB"}, "ICCIF" : {"fullname" : "Immunocytochemistry/ Immunofluorescence", "shortname":"ICC/IF"} }, "product-promise": { "all": "all", "testedAndGuaranteed": "tested", "guaranteed": "expected", "predicted": "predicted", "notRecommended": "not-recommended" } }, "values": { "Human": { "IHCP-species-checked": "testedAndGuaranteed", "IHCP-species-dilution-info": "1/50 - 1/100", "IHCP-species-notes": "<p></p>", "IP-species-checked": "notRecommended", "IP-species-dilution-info": "", "IP-species-notes": "<p></p>", "FlowCyt-species-checked": "notRecommended", "FlowCyt-species-dilution-info": "", "FlowCyt-species-notes": "<p></p>", "WB-species-checked": "testedAndGuaranteed", "WB-species-dilution-info": "1/1000 - 1/5000", "WB-species-notes": "<p></p>", "ICCIF-species-checked": "testedAndGuaranteed", "ICCIF-species-dilution-info": "1/100 - 1/250", "ICCIF-species-notes": "<p></p>" }, "Mouse": { "IHCP-species-checked": "predicted", "IHCP-species-dilution-info": "", "IHCP-species-notes": "", "IP-species-checked": "notRecommended", "IP-species-dilution-info": "", "IP-species-notes": "", "FlowCyt-species-checked": "notRecommended", "FlowCyt-species-dilution-info": "", "FlowCyt-species-notes": "", "WB-species-checked": "predicted", "WB-species-dilution-info": "", "WB-species-notes": "", "ICCIF-species-checked": "predicted", "ICCIF-species-dilution-info": "", "ICCIF-species-notes": "" } } }

Product details

Patented technology
Our RabMAb® technology is a patented hybridoma-based technology for making rabbit monoclonal antibodies. For details on our patents, please refer to RabMAb® patents.

What are the advantages of a recombinant monoclonal antibody?
This product is a recombinant monoclonal antibody, which offers several advantages including:

  • - High batch-to-batch consistency and reproducibility
  • - Improved sensitivity and specificity
  • - Long-term security of supply
  • - Animal-free batch production

For more information, read more on recombinant antibodies.

Species reactivity
Rat: We have preliminary internal testing data to indicate this antibody may not react with this species.
Please contact us for more information.

Properties and storage information

Form
Liquid
Purification technique
Affinity purification Protein A
Storage buffer
pH: 7.2 - 7.4 Preservative: 0.01% Sodium azide Constituents: PBS, 50% Tissue culture supernatant, 40% Glycerol (glycerin, glycerine), 0.05% BSA
Shipped at conditions
Blue Ice
Appropriate short-term storage duration
1-2 weeks
Appropriate short-term storage conditions
+4°C
Appropriate long-term storage conditions
-20°C
Aliquoting information
Upon delivery aliquot
Storage information
Avoid freeze / thaw cycle

Supplementary information

This supplementary information is collated from multiple sources and compiled automatically.

PICALM also known as Phosphatidylinositol binding clathrin assembly protein is a protein weighing approximately 70 kDa. It plays an important role in clathrin-mediated endocytosis where it helps assembly of the clathrin coat on the cytoplasmic face of the cell membrane. Expression of the PICALM gene is found in various tissues with significant levels in the brain lungs and spleen. The gene encoding PICALM is located on chromosome 11.
Biological function summary

PICALM is essential in the trafficking of molecules within cells particularly in the endocytosis and endosomal sorting pathways. This protein is part of large protein complexes assembled during the formation of vesicles. Through these complexes PICALM influences the transport and recycling of membrane receptors and other molecules ensuring proper cellular functions. The clathrin coat assembly and disassembly rely heavily on its function for effective cellular trafficking processes.

Pathways

PICALM integrates into the clathrin-mediated endocytosis and vesicle-mediated transport pathways. It works alongside proteins such as adaptin and dynamin to facilitate the internalization of proteins and later processing within cellular compartments. In the context of cellular signaling and homeostasis these pathways involving PICALM contribute significantly to receptor recycling and downregulation maintaining proper cellular responses to external stimuli.

PICALM has been linked to Alzheimer's disease and acute myeloid leukemia (AML). In Alzheimer's disease altered PICALM function or expression can affect amyloid precursor protein processing implicating proteins such as presenilins and tau as well. For acute myeloid leukemia the PICALM-MLLT10 fusion protein resulting from chromosomal translocations can contribute to leukemogenesis by disrupting normal gene regulation. These associations highlight the diverse roles and importance of PICALM in both normal physiology and pathology.

Product protocols

For this product, it's our understanding that no specific protocols are required. You can visit:

Target data

Cytoplasmic adapter protein that plays a critical role in clathrin-mediated endocytosis which is important in processes such as internalization of cell receptors, synaptic transmission or removal of apoptotic cells. Recruits AP-2 and attaches clathrin triskelions to the cytoplasmic side of plasma membrane leading to clathrin-coated vesicles (CCVs) assembly (PubMed : 10436022, PubMed : 16262731, PubMed : 27574975). Furthermore, regulates clathrin-coated vesicle size and maturation by directly sensing and driving membrane curvature (PubMed : 25898166). In addition to binding to clathrin, mediates the endocytosis of small R-SNARES (Soluble NSF Attachment Protein REceptors) between plasma membranes and endosomes including VAMP2, VAMP3, VAMP4, VAMP7 or VAMP8 (PubMed : 21808019, PubMed : 22118466, PubMed : 23741335). In turn, PICALM-dependent SNARE endocytosis is required for the formation and maturation of autophagic precursors (PubMed : 25241929). Modulates thereby autophagy and the turnover of autophagy substrates such as MAPT/TAU or amyloid precursor protein cleaved C-terminal fragment (APP-CTF) (PubMed : 24067654, PubMed : 25241929).
See full target information PICALM

Publications (7)

Recent publications for all applications. Explore the full list and refine your search

iScience 27:110131 PubMed38957789

2024

An HIV-1 CRISPR-Cas9 membrane trafficking screen reveals a role for PICALM intersecting endolysosomes and immunity.

Applications

Unspecified application

Species

Unspecified reactive species

Paola Guizar,Ana Luiza Abdalla,Anne Monette,Kristin Davis,Ramon Edwin Caballero,Meijuan Niu,Xinyun Liu,Oluwaseun Ajibola,Thomas T Murooka,Chen Liang,Andrew J Mouland

Cancer cell international 22:178 PubMed35501863

2022

PICALM exerts a role in promoting CRC progression through ERK/MAPK signaling pathway.

Applications

Unspecified application

Species

Unspecified reactive species

Xitao Zhang,Tianlai Liu,Jinlin Huang,Jianping He

Proceedings of the National Academy of Sciences of the United States of America 118: PubMed34155137

2021

CALM supports clathrin-coated vesicle completion upon membrane tension increase.

Applications

Unspecified application

Species

Unspecified reactive species

Nathan M Willy,Federico Colombo,Scott Huber,Anna C Smith,Erienne G Norton,Comert Kural,Emanuele Cocucci

The Journal of clinical investigation 131: PubMed33373325

2020

Multiorgan failure with abnormal receptor metabolism in mice mimicking Samd9/9L syndromes.

Applications

Unspecified application

Species

Unspecified reactive species

Akiko Nagamachi,Akinori Kanai,Megumi Nakamura,Hiroshi Okuda,Akihiko Yokoyama,Satoru Shinriki,Hirotaka Matsui,Toshiya Inaba

eLife 9: PubMed32352376

2020

DASC, a sensitive classifier for measuring discrete early stages in clathrin-mediated endocytosis.

Applications

Unspecified application

Species

Unspecified reactive species

Xinxin Wang,Zhiming Chen,Marcel Mettlen,Jungsik Noh,Sandra L Schmid,Gaudenz Danuser

Journal of periodontology 90:775-787 PubMed30499115

2018

Membrane proteome characterization of periodontal ligament cell sets from deciduous and permanent teeth.

Applications

Unspecified application

Species

Unspecified reactive species

Priscila A Giovani,Cristiane R Salmon,Luciane Martins,Adriana F P Leme,Regina M Puppin-Rontani,Luciana S Mofatto,Francisco H Nociti,Kamila R Kantovitz

Human molecular genetics 25:4939-4950 PubMed28171541

2017

Cis-acting single nucleotide polymorphisms alter MicroRNA-mediated regulation of human brain-expressed transcripts.

Applications

Unspecified application

Species

Unspecified reactive species

Shyam Ramachandran,Stephanie L Coffin,Tin-Yun Tang,Chintan D Jobaliya,Ryan M Spengler,Beverly L Davidson
View all publications

Product promise

We are committed to supporting your work with high-quality reagents, and we're here for you every step of the way. In the unlikely event that one of our products does not perform as expected, you're protected by our Product Promise.
For full details, please see our Terms & Conditions

Please note: All products are 'FOR RESEARCH USE ONLY. NOT FOR USE IN DIAGNOSTIC OR THERAPEUTIC PROCEDURES'.

For licensing inquiries, please contact partnerships@abcam.com