JavaScript is disabled in your browser. Please enable JavaScript to view this website.
AB307657

Anti-Piccolo antibody [EPR26840-80] - BSA and Azide free

Be the first to review this product! Submit a review

|

(0 Publication)

Rabbit Recombinant Monoclonal Piccolo antibody. Carrier free. Suitable for ICC/IF, IHC-Fr, IHC-P and reacts with Rat, Mouse samples.

View Alternative Names

Acz, Pclo, Protein piccolo, Aczonin, Brain-derived HLMN protein, Multidomain presynaptic cytomatrix protein

11 Images
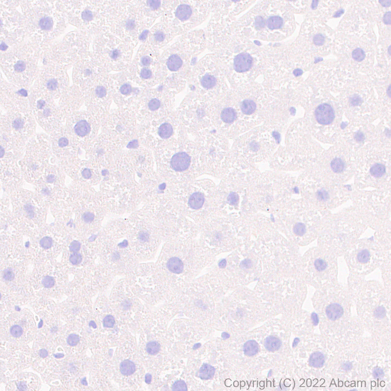
Immunohistochemistry (Formalin/PFA-fixed paraffin-embedded sections) - Anti-Piccolo antibody [EPR26840-80] - BSA and Azide free (AB307657)
  • IHC-P

Supplier Data

Immunohistochemistry (Formalin/PFA-fixed paraffin-embedded sections) - Anti-Piccolo antibody [EPR26840-80] - BSA and Azide free (AB307657)

This data was developed using ab307656, the same antibody clone in a different buffer formulation. Immunohistochemical analysis of paraffin-embedded Mouse liver tissue labeling Piccolo with ab307656 at 1/500 (1.04 ug/ml) followed by a ready to use LeicaDS9800 (Bond™ Polymer Refine Detection). Negative control : no staining on mouse liver (PMID : 10508862). The section was incubated with ab307656 for 30 mins at room temperature.The immunostaining was performed on a Leica Biosystems BOND® RX instrument Counterstained with Hematoxylin. Secondary antibody only control : Secondary antibody is a ready to use LeicaDS9800 (Bond™ Polymer Refine Detection). Heat mediated antigen retrieval was performed with Tris-EDTA buffer (pH 9.0, Epitope Retrieval Solution2) for 20 mins

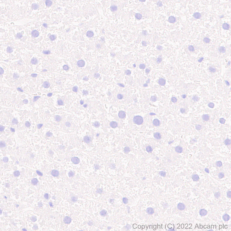
Immunohistochemistry (Formalin/PFA-fixed paraffin-embedded sections) - Anti-Piccolo antibody [EPR26840-80] - BSA and Azide free (AB307657)
  • IHC-P

Supplier Data

Immunohistochemistry (Formalin/PFA-fixed paraffin-embedded sections) - Anti-Piccolo antibody [EPR26840-80] - BSA and Azide free (AB307657)

This data was developed using ab307656, the same antibody clone in a different buffer formulation. Immunohistochemical analysis of paraffin-embedded Rat liver tissue labeling Piccolo with ab307656 at 1/500 (1.04 ug/ml) followed by a ready to use LeicaDS9800 (Bond™ Polymer Refine Detection). Negative control : no staining on rat liver. The section was incubated with ab307656 for 30 mins at room temperature.The immunostaining was performed on a Leica Biosystems BOND® RX instrument Counterstained with Hematoxylin. Secondary antibody only control : Secondary antibody is a ready to use LeicaDS9800 (Bond™ Polymer Refine Detection). Heat mediated antigen retrieval was performed with Tris-EDTA buffer (pH 9.0, Epitope Retrieval Solution2) for 20 mins

Immunohistochemistry (Frozen sections) - Anti-Piccolo antibody [EPR26840-80] - BSA and Azide free (AB307657)
  • IHC-Fr

Supplier Data

Immunohistochemistry (Frozen sections) - Anti-Piccolo antibody [EPR26840-80] - BSA and Azide free (AB307657)

This data was developed using ab307656, the same antibody clone in a different buffer formulation. Immunohistochemical analysis of 4% PFA-fixed, 0.2% Triton X-100 permeabilized frozen Mouse liver (fresh) tissue labeling Piccolo with ab307656 at 1/50 (10.4 ug/ml) dilution followed by ab150081 Goat Anti-Rabbit IgG H&L (Alexa Fluor® 488) preadsorbed at 1/1000 2 ug/mL dilution (Green). Negative control : confocal image showing no staining on mouse liver (PMID : 10508862). The nuclear counterstain was DAPI (Blue). The section was incubated with ab307656 for 60 mins at room temperature. The section was then mounted using Fluoromount®.The immunostaining was performed on a Leica Biosystems BOND® RX instrument. Image was taken with a confocal microscope (Leica-Microsystems, TCS SP8). The nuclear counterstain was DAPI (Blue). Secondary antibody control : Secondary antibody is ab150081 Goat Anti-Rabbit IgG H&L (Alexa Fluor® 488) preadsorbedat 1/1000 2 ug/mL dilution.

Immunohistochemistry (Frozen sections) - Anti-Piccolo antibody [EPR26840-80] - BSA and Azide free (AB307657)
  • IHC-Fr

Supplier Data

Immunohistochemistry (Frozen sections) - Anti-Piccolo antibody [EPR26840-80] - BSA and Azide free (AB307657)

This data was developed using ab307656, the same antibody clone in a different buffer formulation. Immunohistochemical analysis of 4% PFA-fixed, 0.2% Triton X-100 permeabilized frozen Rat liver (fresh) tissue labeling Piccolo with ab307656 at 1/50 (10.4 ug/ml) dilution followed by ab150081 Goat Anti-Rabbit IgG H&L (Alexa Fluor® 488) preadsorbed at 1/1000 2 ug/mL dilution (Green). Negative control : confocal image showing no staining on rat liver (PMID : 10508862). The nuclear counterstain was DAPI (Blue). The section was incubated with ab307656 for 60 mins at room temperature. The section was then mounted using Fluoromount®.The immunostaining was performed on a Leica Biosystems BOND® RX instrument. Image was taken with a confocal microscope (Leica-Microsystems, TCS SP8). The nuclear counterstain was DAPI (Blue). Secondary antibody control : Secondary antibody is ab150081 Goat Anti-Rabbit IgG H&L (Alexa Fluor® 488) preadsorbedat 1/1000 2 ug/mL dilution.

Immunohistochemistry (Formalin/PFA-fixed paraffin-embedded sections) - Anti-Piccolo antibody [EPR26840-80] - BSA and Azide free (AB307657)
  • IHC-P

Supplier Data

Immunohistochemistry (Formalin/PFA-fixed paraffin-embedded sections) - Anti-Piccolo antibody [EPR26840-80] - BSA and Azide free (AB307657)

This data was developed using ab307656, the same antibody clone in a different buffer formulation. Immunohistochemical analysis of paraffin-embedded Rat hippocampus tissue labeling Piccolo with ab307656 at 1/500 (1.04 ug/ml) followed by a ready to use LeicaDS9800 (Bond™ Polymer Refine Detection). Positive staining on rat hippocampus. The section was incubated with ab307656 for 30 mins at room temperature.The immunostaining was performed on a Leica Biosystems BOND® RX instrument Counterstained with Hematoxylin. Secondary antibody only control : Secondary antibody is a ready to use LeicaDS9800 (Bond™ Polymer Refine Detection). Heat mediated antigen retrieval was performed with Tris-EDTA buffer (pH 9.0, Epitope Retrieval Solution2) for 20 mins

Immunohistochemistry (Formalin/PFA-fixed paraffin-embedded sections) - Anti-Piccolo antibody [EPR26840-80] - BSA and Azide free (AB307657)
  • IHC-P

Supplier Data

Immunohistochemistry (Formalin/PFA-fixed paraffin-embedded sections) - Anti-Piccolo antibody [EPR26840-80] - BSA and Azide free (AB307657)

This data was developed using ab307656, the same antibody clone in a different buffer formulation. Immunohistochemical analysis of paraffin-embedded Mouse hippocampus tissue labeling Piccolo with ab307656 at 1/500 (1.04 ug/ml) followed by a ready to use LeicaDS9800 (Bond™ Polymer Refine Detection). Positive staining on mouse hippocampus (PMID : 10508862). The section was incubated with ab307656 for 30 mins at room temperature.The immunostaining was performed on a Leica Biosystems BOND® RX instrument Counterstained with Hematoxylin. Secondary antibody only control : Secondary antibody is a ready to use LeicaDS9800 (Bond™ Polymer Refine Detection). Heat mediated antigen retrieval was performed with Tris-EDTA buffer (pH 9.0, Epitope Retrieval Solution2) for 20 mins

Immunohistochemistry (Formalin/PFA-fixed paraffin-embedded sections) - Anti-Piccolo antibody [EPR26840-80] - BSA and Azide free (AB307657)
  • IHC-P

Supplier Data

Immunohistochemistry (Formalin/PFA-fixed paraffin-embedded sections) - Anti-Piccolo antibody [EPR26840-80] - BSA and Azide free (AB307657)

This data was developed using ab307656, the same antibody clone in a different buffer formulation. Immunohistochemical analysis of paraffin-embedded Mouse cerebellum tissue labeling Piccolo with ab307656 at 1/500 (1.04 ug/ml) followed by a ready to use LeicaDS9800 (Bond™ Polymer Refine Detection). Positive staining on mouse cerebellum (PMID : 10508862). The section was incubated with ab307656 for 30 mins at room temperature.The immunostaining was performed on a Leica Biosystems BOND® RX instrument Counterstained with Hematoxylin. Secondary antibody only control : Secondary antibody is a ready to use LeicaDS9800 (Bond™ Polymer Refine Detection). Heat mediated antigen retrieval was performed with Tris-EDTA buffer (pH 9.0, Epitope Retrieval Solution2) for 20 mins

Immunohistochemistry (Frozen sections) - Anti-Piccolo antibody [EPR26840-80] - BSA and Azide free (AB307657)
  • IHC-Fr

Supplier Data

Immunohistochemistry (Frozen sections) - Anti-Piccolo antibody [EPR26840-80] - BSA and Azide free (AB307657)

This data was developed using ab307656, the same antibody clone in a different buffer formulation. Immunohistochemical analysis of 4% PFA-fixed, 0.2% Triton X-100 permeabilized frozen Rat hippocampus (fresh) tissue labeling Piccolo with ab307656 at 1/50 (10.4 ug/ml) dilution followed by ab150081 Goat Anti-Rabbit IgG H&L (Alexa Fluor® 488) preadsorbed at 1/1000 2 ug/mL dilution (Green). Confocal image showing positive staining on rat hippocampus. The nuclear counterstain was DAPI (Blue). The section was incubated with ab307656 for 60 mins at room temperature. The section was then mounted using Fluoromount®.The immunostaining was performed on a Leica Biosystems BOND® RX instrument. Image was taken with a confocal microscope (Leica-Microsystems, TCS SP8). The nuclear counterstain was DAPI (Blue). Secondary antibody control : Secondary antibody is ab150081 Goat Anti-Rabbit IgG H&L (Alexa Fluor® 488) preadsorbedat 1/1000 2 ug/mL dilution.

Immunohistochemistry (Frozen sections) - Anti-Piccolo antibody [EPR26840-80] - BSA and Azide free (AB307657)
  • IHC-Fr

Supplier Data

Immunohistochemistry (Frozen sections) - Anti-Piccolo antibody [EPR26840-80] - BSA and Azide free (AB307657)

This data was developed using ab307656, the same antibody clone in a different buffer formulation. Immunohistochemical analysis of 4% PFA-fixed, 0.2% Triton X-100 permeabilized frozen Mouse hippocampus (fresh) tissue labeling Piccolo with ab307656 at 1/50 (10.4 ug/ml) dilution followed by ab150081 Goat Anti-Rabbit IgG H&L (Alexa Fluor® 488) preadsorbed at 1/1000 2 ug/mL dilution (Green). Confocal image showing positive staining on mouse hippocampus. The nuclear counterstain was DAPI (Blue). The section was incubated with ab307656 for 60 mins at room temperature. The section was then mounted using Fluoromount®.The immunostaining was performed on a Leica Biosystems BOND® RX instrument. Image was taken with a confocal microscope (Leica-Microsystems, TCS SP8). The nuclear counterstain was DAPI (Blue). Secondary antibody control : Secondary antibody is ab150081 Goat Anti-Rabbit IgG H&L (Alexa Fluor® 488) preadsorbedat 1/1000 2 ug/mL dilution.

Immunocytochemistry/ Immunofluorescence - Anti-Piccolo antibody [EPR26840-80] - BSA and Azide free (AB307657)
  • ICC/IF

Supplier Data

Immunocytochemistry/ Immunofluorescence - Anti-Piccolo antibody [EPR26840-80] - BSA and Azide free (AB307657)

This data was developed using ab307656, the same antibody clone in a different buffer formulation. Immunofluorescent analysis of 4% Paraformaldehyde-fixed, 0.1% TritonX-100 permeabilized mouse primary neuron cells labelling Piccolo with ab307656 at 1/50 (10.4 ug/ml) dilution, followed by ab150081 Goat Anti-Rabbit IgG H&L (Alexa Fluor® 488) preadsorbed antibody at 1/1000 2 ug/mL dilution (Green). Confocal image showing synaptic staining in mouse primary neuron.Confocal scanning Z step was set as 0.3 μm followed by image processing with maximum Z projection.Image was taken with a confocal microscope(Leica-Microsystems, TCS SP8). ab11267 Anti-MAP2 mouse monoclonal antibody was used to counterstain tubulin at 1/500 4 ug/mL dilution (Red). The Nuclear counterstain was DAPI (Blue). Secondary antibody only control : Secondary antibody is ab150081 Goat Anti-Rabbit IgG H&L (Alexa Fluor® 488) preadsorbed at 1/1000 2 ug/mL dilution.

Immunocytochemistry/ Immunofluorescence - Anti-Piccolo antibody [EPR26840-80] - BSA and Azide free (AB307657)
  • ICC/IF

Supplier Data

Immunocytochemistry/ Immunofluorescence - Anti-Piccolo antibody [EPR26840-80] - BSA and Azide free (AB307657)

This data was developed using ab307656, the same antibody clone in a different buffer formulation. Immunofluorescent analysis of 4% Paraformaldehyde-fixed, 0.1% TritonX-100 permeabilized rat primary neuron cells labelling Piccolo with ab307656 at 1/50 (10.4 ug/ml) dilution, followed by ab150081 Goat Anti-Rabbit IgG H&L (Alexa Fluor® 488) preadsorbed antibody at 1/1000 2 ug/mL dilution (Green). Confocal image showing synaptic staining in rat primary neuron.Confocal scanning Z step was set as 0.3 μm followed by image processing with maximum Z projection.Image was taken with a confocal microscope(Leica-Microsystems, TCS SP8). ab11267 Anti-MAP2 mouse monoclonal antibody was used to counterstain tubulin at 1/500 4 ug/mL dilution (Red). The Nuclear counterstain was DAPI (Blue). Secondary antibody only control : Secondary antibody is ab150081 Goat Anti-Rabbit IgG H&L (Alexa Fluor® 488) preadsorbed at 1/1000 2 ug/mL dilution.

Key facts

Host species

Rabbit

Clonality

Monoclonal

Clone number

EPR26840-80

Isotype

IgG

Carrier free

Yes

Reacts with

Rat, Mouse

Applications

IHC-Fr, IHC-P, ICC/IF

applications

Immunogen

The exact immunogen used to generate this antibody is proprietary information.

Reactivity data

{ "title": "Reactivity Data", "filters": { "stats": ["", "Species", "Dilution Info", "Notes"], "tabs": { "all-applications": {"fullname" : "All Applications", "shortname": "All Applications"}, "ICCIF" : {"fullname" : "Immunocytochemistry/ Immunofluorescence", "shortname":"ICC/IF"}, "IHCFr" : {"fullname" : "Immunohistochemistry (Frozen sections)", "shortname":"IHC-Fr"}, "IHCP" : {"fullname" : "Immunohistochemistry (Formalin/PFA-fixed paraffin-embedded sections)", "shortname":"IHC-P"}, "IP" : {"fullname" : "Immunoprecipitation", "shortname":"IP"}, "FlowCyt" : {"fullname" : "Flow Cytometry", "shortname":"Flow Cyt"}, "WB" : {"fullname" : "Western blot", "shortname":"WB"} }, "product-promise": { "all": "all", "testedAndGuaranteed": "tested", "guaranteed": "expected", "predicted": "predicted", "notRecommended": "not-recommended" } }, "values": { "Human": { "ICCIF-species-checked": "notRecommended", "ICCIF-species-dilution-info": "", "ICCIF-species-notes": "", "IHCFr-species-checked": "notRecommended", "IHCFr-species-dilution-info": "", "IHCFr-species-notes": "", "IHCP-species-checked": "notRecommended", "IHCP-species-dilution-info": "", "IHCP-species-notes": "", "IP-species-checked": "notRecommended", "IP-species-dilution-info": "", "IP-species-notes": "", "FlowCyt-species-checked": "notRecommended", "FlowCyt-species-dilution-info": "", "FlowCyt-species-notes": "<p></p>", "WB-species-checked": "notRecommended", "WB-species-dilution-info": "", "WB-species-notes": "<p></p>" }, "Mouse": { "ICCIF-species-checked": "testedAndGuaranteed", "ICCIF-species-dilution-info": "", "ICCIF-species-notes": "<p></p>", "IHCFr-species-checked": "testedAndGuaranteed", "IHCFr-species-dilution-info": "", "IHCFr-species-notes": "<p></p>", "IHCP-species-checked": "testedAndGuaranteed", "IHCP-species-dilution-info": "", "IHCP-species-notes": "<p></p>", "IP-species-checked": "notRecommended", "IP-species-dilution-info": "", "IP-species-notes": "<p></p>", "FlowCyt-species-checked": "notRecommended", "FlowCyt-species-dilution-info": "", "FlowCyt-species-notes": "<p></p>", "WB-species-checked": "notRecommended", "WB-species-dilution-info": "", "WB-species-notes": "<p></p>" }, "Rat": { "ICCIF-species-checked": "testedAndGuaranteed", "ICCIF-species-dilution-info": "", "ICCIF-species-notes": "<p></p>", "IHCFr-species-checked": "testedAndGuaranteed", "IHCFr-species-dilution-info": "", "IHCFr-species-notes": "<p></p>", "IHCP-species-checked": "testedAndGuaranteed", "IHCP-species-dilution-info": "", "IHCP-species-notes": "<p></p>", "IP-species-checked": "notRecommended", "IP-species-dilution-info": "", "IP-species-notes": "", "FlowCyt-species-checked": "notRecommended", "FlowCyt-species-dilution-info": "", "FlowCyt-species-notes": "<p></p>", "WB-species-checked": "notRecommended", "WB-species-dilution-info": "", "WB-species-notes": "<p></p>" } } }

Product details

Patented technology
Our RabMAb® technology is a patented hybridoma-based technology for making rabbit monoclonal antibodies. For details on our patents, please refer to RabMAb® patents.

What are the advantages of a recombinant monoclonal antibody?
This product is a recombinant monoclonal antibody, which offers several advantages including:

  • - High batch-to-batch consistency and reproducibility
  • - Improved sensitivity and specificity
  • - Long-term security of supply
  • - Animal-free batch production

For more information, read more on recombinant antibodies.

Conjugation ready
Our carrier-free antibodies are typically supplied in a PBS-only formulation, purified and free of BSA, sodium azide and glycerol. This conjugation-ready format is designed for use with fluorochromes, metal isotopes, oligonucleotides, and enzymes, which makes them ideal for antibody labelling, functional and cell-based assays, flow-based assays (e.g. mass cytometry) and Multiplex Imaging applications.

Use our conjugation kits for antibody conjugates that are ready-to-use in as little as 20 minutes with 1 minute hands-on-time and 100% antibody recovery: available for fluorescent dyes, HRP, biotin and gold.

Compatibility
This product is compatible with the Maxpar® Antibody Labeling Kit from Fluidigm, without the need for antibody preparation. Maxpar® is a trademark of Fluidigm Canada Inc.

Properties and storage information

Form
Liquid
Purification technique
Affinity purification Protein A
Storage buffer
pH: 7.2 - 7.4 Constituents: PBS
Shipped at conditions
Blue Ice
Appropriate short-term storage conditions
+4°C
Appropriate long-term storage conditions
+4°C

Supplementary information

This supplementary information is collated from multiple sources and compiled automatically.

Piccolo also known as PCLO is a protein with a molecular weight of about 550 kDa. It is located at the presynaptic active zone of neurons where it performs essential mechanical roles. The presence of Piccolo is universal especially in the brain and it plays a critical part in maintaining the proper structure and function of synapses. The protein contributes to the assembly and modulation of the presynaptic scaffold aiding neurotransmitter release and synaptic vesicle cycling.
Biological function summary

Piccolo interacts with multiple components of the synaptic machinery as it is part of the active zone complex. It associates with proteins such as Bassoon which together help to modulate neurotransmission efficacy. Piccolo contributes to the regulation of synaptic vesicle pools shaping the speed and timing of synaptic responses. These interactions emphasize its role in synaptic plasticity and maintain overall neural network stability.

Pathways

Piccolo engages in the synaptic vesicle cycle and neurotransmitter release pathway. It connects closely with proteins such as Synapsin and Rab3A involved in these processes. Through these pathways Piccolo aligns presynaptic components to facilitate rapid synaptic responses. Consequently it plays a role in processes like learning and memory where fast neurotransmitter release is necessary.

Piccolo relates to neurological diseases like major depressive disorder and schizophrenia. Alterations in its expression or function impact synapse structure and may contribute to these conditions. It particularly intersects with proteins like Synapsin in the context of these disorders suggesting disruptions in neurotransmission can have wide-reaching effects on mental health and cognitive functions. These connections highlight the importance of Piccolo in maintaining normal neural function and its potential as a therapeutic target.

Product protocols

For this product, it's our understanding that no specific protocols are required. You can visit:

Target data

Scaffold protein of the presynaptic cytomatrix at the active zone (CAZ) which is the place in the synapse where neurotransmitter is released (PubMed : 19812333). After synthesis, participates in the formation of Golgi-derived membranous organelles termed Piccolo-Bassoon transport vesicles (PTVs) that are transported along axons to sites of nascent synaptic contacts (By similarity). At the presynaptic active zone, regulates the spatial organization of synaptic vesicle cluster, the protein complexes that execute membrane fusion and compensatory endocytosis (By similarity). Organizes as well the readily releasable pool of synaptic vesicles and safeguards a fraction of them to be not immediately available for action potential-induced release (By similarity). Functions also in processes other than assembly such as the regulation of specific presynaptic protein ubiquitination by interacting with SIAH1 or the regulation of presynaptic autophagy (By similarity) (PubMed : 28231469). Mediates also synapse to nucleus communication leading to reconfiguration of gene expression by associating with the transcriptional corepressor CTBP1 and by subsequently reducing the size of its pool available for nuclear import (By similarity).
See full target information Pclo

Product promise

We are committed to supporting your work with high-quality reagents, and we're here for you every step of the way. In the unlikely event that one of our products does not perform as expected, you're protected by our Product Promise.
For full details, please see our Terms & Conditions

Please note: All products are 'FOR RESEARCH USE ONLY. NOT FOR USE IN DIAGNOSTIC OR THERAPEUTIC PROCEDURES'.

For licensing inquiries, please contact partnerships@abcam.com