JavaScript is disabled in your browser. Please enable JavaScript to view this website.
AB197925

Anti-PICH antibody

Be the first to review this product! Submit a review

|

(2 Publications)

Rabbit Polyclonal PICH antibody. Suitable for IHC-P and reacts with Human samples. Cited in 2 publications. Immunogen corresponding to Recombinant Fragment Protein within Human ERCC6L.

View Alternative Names

PICH, ERCC6L, DNA excision repair protein ERCC-6-like, ATP-dependent helicase ERCC6-like, PLK1-interacting checkpoint helicase, Tumor antigen BJ-HCC-15

2 Images
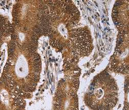
Immunohistochemistry (Formalin/PFA-fixed paraffin-embedded sections) - Anti-PICH antibody (AB197925)
  • IHC-P

Supplier Data

Immunohistochemistry (Formalin/PFA-fixed paraffin-embedded sections) - Anti-PICH antibody (AB197925)

Immunohistochemical analysis of paraffin-embedded Human colon cancer tissue labeling PICH using ab197925 at 1/30 dilution.

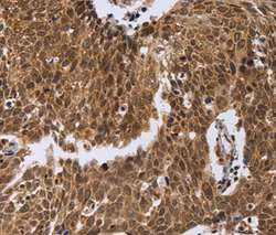
Immunohistochemistry (Formalin/PFA-fixed paraffin-embedded sections) - Anti-PICH antibody (AB197925)
  • IHC-P

Supplier Data

Immunohistochemistry (Formalin/PFA-fixed paraffin-embedded sections) - Anti-PICH antibody (AB197925)

Immunohistochemical analysis of paraffin-embedded Human cervical cancer tissue labeling PICH using ab197925 at 1/30 dilution.

Key facts

Host species

Rabbit

Clonality

Polyclonal

Isotype

IgG

Carrier free

No

Reacts with

Human

Applications

IHC-P

applications

Immunogen

Recombinant Fragment Protein within Human ERCC6L. The exact immunogen used to generate this antibody is proprietary information.

Q2NKX8

Reactivity data

{ "title": "Reactivity Data", "filters": { "stats": ["", "Species", "Dilution Info", "Notes"], "tabs": { "all-applications": {"fullname" : "All Applications", "shortname": "All Applications"}, "IHCP" : {"fullname" : "Immunohistochemistry (Formalin/PFA-fixed paraffin-embedded sections)", "shortname":"IHC-P"} }, "product-promise": { "all": "all", "testedAndGuaranteed": "tested", "guaranteed": "expected", "predicted": "predicted", "notRecommended": "not-recommended" } }, "values": { "Human": { "IHCP-species-checked": "testedAndGuaranteed", "IHCP-species-dilution-info": "1/50 - 1/200", "IHCP-species-notes": "<p></p>" } } }

Properties and storage information

Form
Liquid
Purification technique
Affinity purification Immunogen
Storage buffer
pH: 7.4 Preservative: 0.05% Sodium azide Constituents: PBS, 50% Glycerol (glycerin, glycerine)
Shipped at conditions
Blue Ice
Appropriate short-term storage duration
1-2 weeks
Appropriate short-term storage conditions
+4°C
Appropriate long-term storage conditions
-20°C
Aliquoting information
Upon delivery aliquot
Storage information
Avoid freeze / thaw cycle

Supplementary information

This supplementary information is collated from multiple sources and compiled automatically.

The protein PICH also known as Plk1-interacting checkpoint helicase is an important factor in maintaining chromosome integrity during cell division. PICH is a helicase with a molecular mass of approximately 135 kDa. This protein is mainly expressed in tissues with a high rate of cell division. It possesses ATPase activity which allows it to unwind DNA structures playing a mechanical role in chromosome segregation. The helicase activity of PICH is necessary in mitosis where it interacts with centromeres during spindle assembly checkpoint activation.
Biological function summary

PICH contributes to the resolution of ultra-fine DNA bridges which occur during the late stages of mitosis. These DNA bridges can compromise genome stability leading to genetic disorders if not properly resolved. PICH works with other proteins like topoisomerase II and Bloom syndrome protein (BLM) to manage these structures. This activity suggests PICH is part of a complex necessary for protecting chromosomal stability during cell division ensuring accurate segregation of sister chromatids.

Pathways

PICH plays a role in the spindle assembly checkpoint (SAC) and mitotic exit pathway. Within these pathways PICH interacts with proteins such as Polo-like kinase 1 (Plk1) and Aurora B both important for the regulation of mitosis. PICH's interaction with these proteins highlights its significance in controlling the proper timing and execution of chromosome separation which is essential for correct mitotic progression and prevention of aneuploidy.

PICH is associated with conditions that involve genomic instability like cancer. Aberrations in PICH function can result in incorrect chromosome segregation contributing to tumorigenesis. Additionally PICH is linked with disorders involving defective DNA repair mechanisms such as those involving BRCA1 a protein important for repairing DNA double-strand breaks. Dysfunctional PICH leads to enhanced chromosomal aberrations highlighting its relevance in maintaining genomic integrity and linking it to significant pathological states.

Product protocols

For this product, it's our understanding that no specific protocols are required. You can visit:

Target data

DNA helicase that acts as a tension sensor that associates with catenated DNA which is stretched under tension until it is resolved during anaphase (PubMed : 17218258, PubMed : 23973328). Functions as ATP-dependent DNA translocase (PubMed : 23973328, PubMed : 28977671). Can promote Holliday junction branch migration (in vitro) (PubMed : 23973328).
See full target information ERCC6L

Publications (2)

Recent publications for all applications. Explore the full list and refine your search

Frontiers in cell and developmental biology 11:1136537 PubMed38020915

2023

CatSper mediates not only chemotactic behavior but also the motility of ascidian sperm.

Applications

Unspecified application

Species

Unspecified reactive species

Taiga Kijima,Daisuke Kurokawa,Yasunori Sasakura,Michio Ogasawara,Satoe Aratake,Kaoru Yoshida,Manabu Yoshida

Scientific reports 11:6255 PubMed33737617

2021

Adipose most abundant 2 protein is a predictive marker for cisplatin sensitivity in cancers.

Applications

Unspecified application

Species

Unspecified reactive species

Kenya Kamimura,Takeshi Suda,Yasuo Fukuhara,Shujiro Okuda,Yu Watanabe,Takeshi Yokoo,Akihiko Osaki,Nobuo Waguri,Toru Ishikawa,Toshihiro Sato,Yutaka Aoyagi,Masaaki Takamura,Toshifumi Wakai,Shuji Terai
View all publications

Product promise

We are committed to supporting your work with high-quality reagents, and we're here for you every step of the way. In the unlikely event that one of our products does not perform as expected, you're protected by our Product Promise.
For full details, please see our Terms & Conditions

Please note: All products are 'FOR RESEARCH USE ONLY. NOT FOR USE IN DIAGNOSTIC OR THERAPEUTIC PROCEDURES'.

For licensing inquiries, please contact partnerships@abcam.com