JavaScript is disabled in your browser. Please enable JavaScript to view this website.
AB290742

Anti-PICK1 antibody [EPR25155-48] - BSA and Azide free

Be the first to review this product! Submit a review

|

(0 Publication)

Rabbit Recombinant Monoclonal PICK1 antibody. Carrier free. Suitable for ICC/IF, IP, WB, Flow Cyt (Intra) and reacts with Mouse, Human samples.

View Alternative Names

PRKCABP, PICK1, PRKCA-binding protein, Protein interacting with C kinase 1, Protein kinase C-alpha-binding protein

7 Images
Flow Cytometry (Intracellular) - Anti-PICK1 antibody [EPR25155-48] - BSA and Azide free (AB290742)
  • Flow Cyt (Intra)

Supplier Data

Flow Cytometry (Intracellular) - Anti-PICK1 antibody [EPR25155-48] - BSA and Azide free (AB290742)

This data was developed using ab290727, the same antibody clone in a different buffer formulation.

Intracellular Flow cytometric analysis of 4% paraformaldehyde fixed 90% methanol permeabilized RAW 264.7 (Mouse Abelson murine leukemia virus-induced tumor macrophage) cells labelling PICK1 with ab290727 at 1/500 dilution (0.1ug) (Red) compared with a Rabbit monoclonal IgG (ab172730) (Black) isotype control and an unlabelled control (cells without incubation with primary antibody and secondary antibody) (Blue). A Goat Anti-Rabbit IgG (Alexa Fluor® 488, ab150081) at 1/2000 dilution was used as the secondary antibody.

Immunocytochemistry/ Immunofluorescence - Anti-PICK1 antibody [EPR25155-48] - BSA and Azide free (AB290742)
  • ICC/IF

Supplier Data

Immunocytochemistry/ Immunofluorescence - Anti-PICK1 antibody [EPR25155-48] - BSA and Azide free (AB290742)

This data was developed using ab290727, the same antibody clone in a different buffer formulation.

Immunofluorescent analysis of 4% Paraformaldehyde-fixed, 0.1% TritonX-100 permeilized RAW 264.7 (mouse abelson murine leukemia virus-induced tumor macrophage) cells lebelling PICK1 with ab290727 at 1/50 (10.2 ug/ml) dilution, followed by ab150081 Goat Anti-Rabbit IgG H&L (Alexa Fluor® 488) preadsorbed antibody at 1/1000 (2ug/mL) dilution (Green). Confocal image showing cytoplasmic staining in RAW 264.7 cell line is observed. ab195889 Anti-alpha Tubulin mouse monoclonal antibody - Microtubule Marker (Alexa Fluor® 594) was used to counterstain tubulin at 1/200 (2.5ug/ml) dilution (Red). The Nuclear counterstain was DAPI (Blue).

Secondary antibody only control : Secondary antibody is ab150081 Goat Anti-Rabbit IgG H&L (Alexa Fluor® 488) preadsorbed at 1/1000 (2ug/mL) dilution.

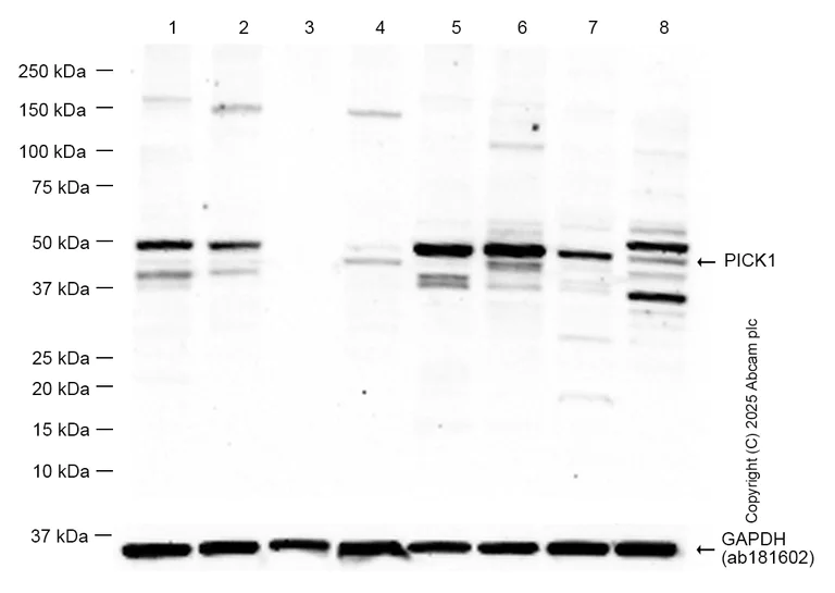
Western blot - Anti-PICK1 antibody [EPR25155-48] - BSA and Azide free (AB290742)
  • WB

Lab

Western blot - Anti-PICK1 antibody [EPR25155-48] - BSA and Azide free (AB290742)

This data was developed using ab290727, the same antibody clone in a different buffer formulation.

In Western blot, Anti-GAPDH antibody [EPR16891] - Loading Control (ab181602) staining at 1/1000000 dilution.

Low expression tissue : lung and liver (PMID : 18032668)

All lanes:

Western blot - Anti-PICK1 antibody [EPR25155-48] (<a href='/en-us/products/primary-antibodies/pick1-antibody-epr25155-48-ab290727'>ab290727</a>) at 1/1000 dilution

Lane 1:

Human pancreas tissue lysate at 20 µg

Lane 2:

Human testis tissue lysate at 20 µg

Lane 3:

Human lung tissue lysate at 20 µg

Lane 4:

Human liver tissue lysate at 20 µg

Lane 5:

Mouse pancreas tissue lysate at 20 µg

Lane 6:

Mouse testis tissue lysate at 20 µg

Lane 7:

Mouse lung tissue lysate at 20 µg

Lane 8:

Mouse liver tissue lysate at 20 µg

Secondary

All lanes:

Western blot - Goat Anti-Rabbit IgG H&L (HRP) (<a href='/en-us/products/secondary-antibodies/goat-rabbit-igg-h-l-hrp-ab97051'>ab97051</a>) at 1/20000 dilution

Observed band size: 46 kDa

false

Exposure time: 100s

Immunoprecipitation - Anti-PICK1 antibody [EPR25155-48] - BSA and Azide free (AB290742)
  • IP

Supplier Data

Immunoprecipitation - Anti-PICK1 antibody [EPR25155-48] - BSA and Azide free (AB290742)

This data was developed using ab290727, the same antibody clone in a different buffer formulation.

PICK1 was immunoprecipitated from 0.35 mg LNCaP (human prostate carcinoma epithelial cell) whole cell lysate 10 ug with ab290727 at 1/30 dilution (2ug in 0.35mg lysates). Western blot was performed on the immunoprecipitate using ab290727 at 1/1000 dilution. VeriBlot for IP secondary antibody(HRP)(ab131366) was used at 1/5000 dilution.

Lane 1 : LNCaP (human prostate carcinoma epithelial cell) whole cell lysate 10 ug

Lane 2 : ab290727 IP in LNCaP whole cell lysate

Lane 3 : Rabbit monoclonal IgG (ab172730) instead of ab290727 in LNCaP whole cell lysate

Blocking and dilution buffer and concentration : 5% NFDM/TBST.

Exposure time : 3 minutes

All lanes:

Immunoprecipitation - Anti-PICK1 antibody [EPR25155-48] (<a href='/en-us/products/primary-antibodies/pick1-antibody-epr25155-48-ab290727'>ab290727</a>)

Predicted band size: 46 kDa

false

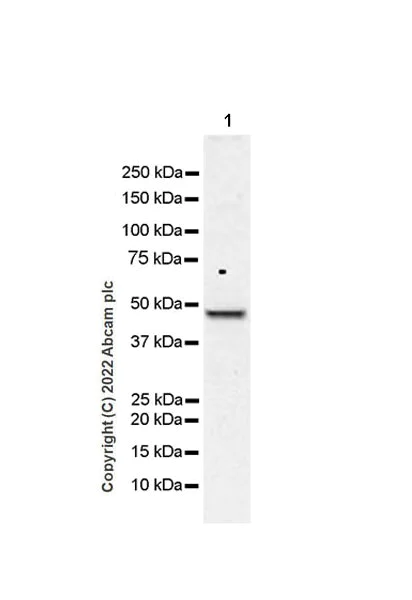
Western blot - Anti-PICK1 antibody [EPR25155-48] - BSA and Azide free (AB290742)
  • WB

Lab

Western blot - Anti-PICK1 antibody [EPR25155-48] - BSA and Azide free (AB290742)

This data was developed using ab290727, the same antibody clone in a different buffer formulation.

Blocking / Dilution buffer and concentration : 5% NFDM/TBST

The expression profile/ molecular weight observed is consistent with what has been described in the literature (PMID 10027300;PMID : 32336285).

All lanes:

Western blot - Anti-PICK1 antibody [EPR25155-48] (<a href='/en-us/products/primary-antibodies/pick1-antibody-epr25155-48-ab290727'>ab290727</a>) at 1/1000 dilution

All lanes:

HeLa (human cervix adenocarcinoma epithelial cell) whole cell lysate at 20 µg

Secondary

All lanes:

Western blot - Goat Anti-Rabbit IgG H&L (HRP) (<a href='/en-us/products/secondary-antibodies/goat-rabbit-igg-h-l-hrp-ab97051'>ab97051</a>) at 1/100000 dilution

Predicted band size: 46 kDa

Observed band size: 46 kDa

false

Exposure time: 3min

Western blot - Anti-PICK1 antibody [EPR25155-48] - BSA and Azide free (AB290742)
  • WB

Lab

Western blot - Anti-PICK1 antibody [EPR25155-48] - BSA and Azide free (AB290742)

This data was developed using ab290727, the same antibody clone in a different buffer formulation.

Blocking / Diluent buffer and concentration : 5% NFDM/TBST

The expression profile/ molecular weight observed is consistent with what has been described in the literature (PMID 10027300;PMID : 32336285).

All lanes:

Western blot - Anti-PICK1 antibody [EPR25155-48] (<a href='/en-us/products/primary-antibodies/pick1-antibody-epr25155-48-ab290727'>ab290727</a>) at 1/1000 dilution

Lane 1:

C2C12 (mouse myoblasts myoblast) whole cell lysate at 20 µg

Lane 2:

NIH/3T3 (mouse embryonic fibroblast) whole cell lysate at 20 µg

Lane 3:

RAW264.7 (mouse Abelson murine leukemia virus-induced tumor macrophage) whole cell lysate at 20 µg

Secondary

All lanes:

Western blot - Goat Anti-Rabbit IgG H&L (HRP) (<a href='/en-us/products/secondary-antibodies/goat-rabbit-igg-h-l-hrp-ab97051'>ab97051</a>) at 1/100000 dilution

Predicted band size: 46 kDa

Observed band size: 46 kDa

false

Exposure time: 3min

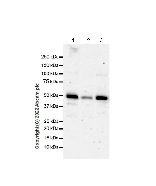
Western blot - Anti-PICK1 antibody [EPR25155-48] - BSA and Azide free (AB290742)
  • WB

Unknown

Western blot - Anti-PICK1 antibody [EPR25155-48] - BSA and Azide free (AB290742)

This data was developed using ab290727, the same antibody clone in a different buffer formulation.

Blocking / Dilution buffer and concentration : 5% NFDM/TBST

The expression profile/ molecular weight observed is consistent with what has been described in the literature (PMID 10027300;PMID : 32336285).

All lanes:

Western blot - Anti-PICK1 antibody [EPR25155-48] (<a href='/en-us/products/primary-antibodies/pick1-antibody-epr25155-48-ab290727'>ab290727</a>) at 1/1000 dilution

Lane 1:

293T (human embryonic kidney epithelial cell) transfected with scrambled siRNA control, whole cell lysate at 20 µg

Lane 2:

293T transfected with siRNA specifically targeting PICK1, whole cell lysate at 20 µg

Secondary

All lanes:

Western blot - Goat Anti-Rabbit IgG H&L (HRP) (<a href='/en-us/products/secondary-antibodies/goat-rabbit-igg-h-l-hrp-ab97051'>ab97051</a>) at 1/100000 dilution

Predicted band size: 46 kDa

Observed band size: 46 kDa

false

Exposure time: 3min

Key facts

Host species

Rabbit

Clonality

Monoclonal

Clone number

EPR25155-48

Isotype

IgG

Carrier free

Yes

Reacts with

Mouse, Human

Applications

Flow Cyt (Intra), WB, ICC/IF, IP

applications

Immunogen

The exact immunogen used to generate this antibody is proprietary information.

Specificity

Please note that this antibody does not react with Human species for ICC and FC application and does not react with Mouse species for IP application.

Reactivity data

{ "title": "Reactivity Data", "filters": { "stats": ["", "Species", "Dilution Info", "Notes"], "tabs": { "all-applications": {"fullname" : "All Applications", "shortname": "All Applications"}, "ICCIF" : {"fullname" : "Immunocytochemistry/ Immunofluorescence", "shortname":"ICC/IF"}, "IP" : {"fullname" : "Immunoprecipitation", "shortname":"IP"}, "WB" : {"fullname" : "Western blot", "shortname":"WB"}, "IHCP" : {"fullname" : "Immunohistochemistry (Formalin/PFA-fixed paraffin-embedded sections)", "shortname":"IHC-P"}, "FlowCytIntra" : {"fullname" : "Flow Cytometry (Intracellular)", "shortname":"Flow Cyt (Intra)"} }, "product-promise": { "all": "all", "testedAndGuaranteed": "tested", "guaranteed": "expected", "predicted": "predicted", "notRecommended": "not-recommended" } }, "values": { "Human": { "ICCIF-species-checked": "notRecommended", "ICCIF-species-dilution-info": "", "ICCIF-species-notes": "<p></p>", "IP-species-checked": "testedAndGuaranteed", "IP-species-dilution-info": "", "IP-species-notes": "<p></p>", "WB-species-checked": "testedAndGuaranteed", "WB-species-dilution-info": "", "WB-species-notes": "<p></p>", "IHCP-species-checked": "notRecommended", "IHCP-species-dilution-info": "", "IHCP-species-notes": "<p></p>", "FlowCytIntra-species-checked": "notRecommended", "FlowCytIntra-species-dilution-info": "", "FlowCytIntra-species-notes": "<p></p>" }, "Mouse": { "ICCIF-species-checked": "testedAndGuaranteed", "ICCIF-species-dilution-info": "", "ICCIF-species-notes": "<p></p>", "IP-species-checked": "notRecommended", "IP-species-dilution-info": "", "IP-species-notes": "<p></p>", "WB-species-checked": "testedAndGuaranteed", "WB-species-dilution-info": "", "WB-species-notes": "<p></p>", "IHCP-species-checked": "notRecommended", "IHCP-species-dilution-info": "", "IHCP-species-notes": "<p></p>", "FlowCytIntra-species-checked": "testedAndGuaranteed", "FlowCytIntra-species-dilution-info": "", "FlowCytIntra-species-notes": "<p></p>" }, "Rat": { "ICCIF-species-checked": "notRecommended", "ICCIF-species-dilution-info": "", "ICCIF-species-notes": "", "IP-species-checked": "notRecommended", "IP-species-dilution-info": "", "IP-species-notes": "", "WB-species-checked": "notRecommended", "WB-species-dilution-info": "", "WB-species-notes": "<p></p>", "IHCP-species-checked": "notRecommended", "IHCP-species-dilution-info": "", "IHCP-species-notes": "<p></p>", "FlowCytIntra-species-checked": "notRecommended", "FlowCytIntra-species-dilution-info": "", "FlowCytIntra-species-notes": "" } } }

Product details

ab290742 is the carrier-free version of ab290727.

Patented technology
Our RabMAb® technology is a patented hybridoma-based technology for making rabbit monoclonal antibodies. For details on our patents, please refer to RabMAb® patents.

What are the advantages of a recombinant monoclonal antibody?
This product is a recombinant monoclonal antibody, which offers several advantages including:

  • - High batch-to-batch consistency and reproducibility
  • - Improved sensitivity and specificity
  • - Long-term security of supply
  • - Animal-free batch production

For more information, read more on recombinant antibodies.

Conjugation ready
Our carrier-free antibodies are typically supplied in a PBS-only formulation, purified and free of BSA, sodium azide and glycerol. This conjugation-ready format is designed for use with fluorochromes, metal isotopes, oligonucleotides, and enzymes, which makes them ideal for antibody labelling, functional and cell-based assays, flow-based assays (e.g. mass cytometry) and Multiplex Imaging applications.

Use our conjugation kits for antibody conjugates that are ready-to-use in as little as 20 minutes with 1 minute hands-on-time and 100% antibody recovery: available for fluorescent dyes, HRP, biotin and gold.

Compatibility
This product is compatible with the Maxpar® Antibody Labeling Kit from Fluidigm, without the need for antibody preparation. Maxpar® is a trademark of Fluidigm Canada Inc.

Properties and storage information

Form
Liquid
Purification technique
Affinity purification Protein A
Storage buffer
pH: 7.2 - 7.4 Constituents: PBS
Shipped at conditions
Blue Ice
Appropriate short-term storage conditions
+4°C
Appropriate long-term storage conditions
+4°C

Supplementary information

This supplementary information is collated from multiple sources and compiled automatically.

PICK1 or Protein Interacting with C Kinase 1 is a protein that plays a significant role in cellular processes. With a molecular mass of approximately 47 kDa PICK1 is well known for its ability to bind to proteins through its PDZ domain. You can find PICK1 expressed highly in the brain but it is also present in other tissues like the pancreas and testes. This makes it an important target for understanding various cellular interactions and functions related to protein trafficking.
Biological function summary

PICK1 is known for its role in modulating the trafficking and synaptic targeting of AMPA receptors which are essential for synaptic plasticity and memory formation. It operates as part of a protein complex that influences the receptor's presence at the synaptic membrane. PICK1 binds with proteins like GluA2 subunit of AMPA receptors which allows it to regulate receptor internalization and surface expression impacting synaptic signaling and plasticity.

Pathways

PICK1 interacts within the glutamatergic signaling and insulin secretion pathways. In the glutamatergic signaling pathway it contributes to the regulation of synaptic strength by linking with other proteins such as protein kinase C (PKC) to facilitate synapse dynamics. In insulin secretion PICK1 partners with proteins like the insulin granule docking machinery to regulate insulin release in response to glucose.

Research has linked PICK1 function with conditions like schizophrenia and diabetes. PICK1's regulatory influence on AMPA receptors involves interactions with proteins such as protein kinase C which researchers have associated with synaptic abnormalities seen in schizophrenia. Regarding diabetes PICK1's role in insulin secretion connects it to the disease through the regulation of proteins involved in insulin granule dynamics. Understanding these connections aids in developing potential therapeutic strategies for these disorders.

Product protocols

For this product, it's our understanding that no specific protocols are required. You can visit:

Target data

Probable adapter protein that bind to and organize the subcellular localization of a variety of membrane proteins containing some PDZ recognition sequence. Involved in the clustering of various receptors, possibly by acting at the receptor internalization level. Plays a role in synaptic plasticity by regulating the trafficking and internalization of AMPA receptors. May be regulated upon PRKCA activation. May regulate ASIC1/ASIC3 channel. Regulates actin polymerization by inhibiting the actin-nucleating activity of the Arp2/3 complex; the function is competitive with nucleation promoting factors and is linked to neuronal morphology regulation and AMPA receptor (AMPAR) endocytosis. Via interaction with the Arp2/3 complex involved in regulation of synaptic plasicity of excitatory synapses and required for spine shrinkage during long-term depression (LTD). Involved in regulation of astrocyte morphology, antagonistic to Arp2/3 complex activator WASL/N-WASP function.
See full target information PICK1

Product promise

We are committed to supporting your work with high-quality reagents, and we're here for you every step of the way. In the unlikely event that one of our products does not perform as expected, you're protected by our Product Promise.
For full details, please see our Terms & Conditions

Please note: All products are 'FOR RESEARCH USE ONLY. NOT FOR USE IN DIAGNOSTIC OR THERAPEUTIC PROCEDURES'.

For licensing inquiries, please contact partnerships@abcam.com