JavaScript is disabled in your browser. Please enable JavaScript to view this website.
AB251125

Anti-Pigu antibody [EPR16424] - BSA and Azide free

Be the first to review this product! Submit a review

|

(1 Publication)

Rabbit Recombinant Monoclonal PIGU antibody. Carrier free. Suitable for WB, IHC-P and reacts with Rat, Mouse, Human samples. Cited in 1 publication.

View Alternative Names

CDC91L1, PSEC0205, UNQ3055/PRO9875, PIGU, Phosphatidylinositol glycan anchor biosynthesis class U protein, Cell division cycle protein 91-like 1, GPI transamidase component PIG-U, Protein CDC91-like 1

5 Images
Western blot - Anti-Pigu antibody [EPR16424] - BSA and Azide free (AB251125)
  • WB

Supplier Data

Western blot - Anti-Pigu antibody [EPR16424] - BSA and Azide free (AB251125)

This data was developed using ab192255, the same antibody clone in a different buffer formulation.

All lanes:

Western blot - Anti-Pigu antibody [EPR16424] - C-terminal (<a href='/en-us/products/primary-antibodies/pigu-antibody-epr16424-c-terminal-ab192255'>ab192255</a>) at 1/10000 dilution

All lanes:

HeLa cell lysate at 20 µg

Secondary

All lanes:

Goat Anti-Rabbit IgG, (H+L), Peroxidase conjugated at 1/1000 dilution

Predicted band size: 50 kDa

false

Western blot - Anti-Pigu antibody [EPR16424] - BSA and Azide free (AB251125)
  • WB

Supplier Data

Western blot - Anti-Pigu antibody [EPR16424] - BSA and Azide free (AB251125)

This data was developed using ab192255, the same antibody clone in a different buffer formulation.

All lanes:

Western blot - Anti-Pigu antibody [EPR16424] - C-terminal (<a href='/en-us/products/primary-antibodies/pigu-antibody-epr16424-c-terminal-ab192255'>ab192255</a>) at 1/1000 dilution

Lane 1:

C6 cell lysate at 10 µg

Lane 2:

RAW 264.7 cell lysate at 10 µg

Lane 3:

PC12 cell lysate at 10 µg

Lane 4:

NIH 3T3 cell lysate at 10 µg

Secondary

All lanes:

Goat Anti-Rabbit IgG, (H+L), Peroxidase conjugated at 1/1000 dilution

Predicted band size: 50 kDa

false

Immunohistochemistry (Formalin/PFA-fixed paraffin-embedded sections) - Anti-Pigu antibody [EPR16424] - BSA and Azide free (AB251125)
  • IHC-P

Supplier Data

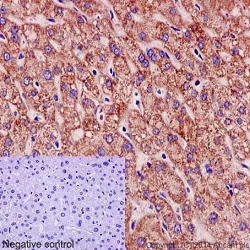
Immunohistochemistry (Formalin/PFA-fixed paraffin-embedded sections) - Anti-Pigu antibody [EPR16424] - BSA and Azide free (AB251125)

This data was developed using ab192255, the same antibody clone in a different buffer formulation.

Immunohistochemical analysis of paraffin-embedded Human liver tissue labeling Pigu with ab192255 at 1/1000 dilution. A ready to use HRP Polymer for Rabbit IgG was used as the secondary. Hematoxylin counterstain.

Perform heat mediated antigen retrieval with Tris/EDTA buffer pH 9.0 before commencing with IHC staining protocol.

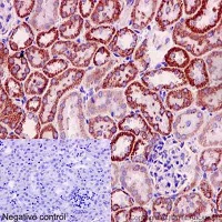
Immunohistochemistry (Formalin/PFA-fixed paraffin-embedded sections) - Anti-Pigu antibody [EPR16424] - BSA and Azide free (AB251125)
  • IHC-P

Supplier Data

Immunohistochemistry (Formalin/PFA-fixed paraffin-embedded sections) - Anti-Pigu antibody [EPR16424] - BSA and Azide free (AB251125)

This data was developed using ab192255, the same antibody clone in a different buffer formulation.

Immunohistochemical analysis of paraffin-embedded Mouse kidney tissue labeling Pigu with ab192255 at 1/1000 dilution. A ready to use HRP Polymer for Rabbit IgG was used as the secondary. Hematoxylin counterstain.

Perform heat mediated antigen retrieval with Tris/EDTA buffer pH 9.0 before commencing with IHC staining protocol.

Western blot - Anti-Pigu antibody [EPR16424] - BSA and Azide free (AB251125)
  • WB

Supplier Data

Western blot - Anti-Pigu antibody [EPR16424] - BSA and Azide free (AB251125)

This data was developed using ab192255, the same antibody clone in a different buffer formulation.

All lanes:

Western blot - Anti-Pigu antibody [EPR16424] - C-terminal (<a href='/en-us/products/primary-antibodies/pigu-antibody-epr16424-c-terminal-ab192255'>ab192255</a>) at 1/1000 dilution

Lane 1:

HT-1376 cell lysate at 20 µg

Lane 2:

293 cell lysate at 20 µg

Lane 3:

Human fetal brain tissue lysate at 20 µg

Secondary

All lanes:

Goat Anti-Rabbit IgG, (H+L), Peroxidase conjugated at 1/1000 dilution

Predicted band size: 50 kDa

false

Key facts

Host species

Rabbit

Clonality

Monoclonal

Clone number

EPR16424

Isotype

IgG

Carrier free

Yes

Reacts with

Mouse, Rat, Human

Applications

IHC-P, WB

applications

Immunogen

The exact immunogen used to generate this antibody is proprietary information.

Reactivity data

{ "title": "Reactivity Data", "filters": { "stats": ["", "Species", "Dilution Info", "Notes"], "tabs": { "all-applications": {"fullname" : "All Applications", "shortname": "All Applications"}, "WB" : {"fullname" : "Western blot", "shortname":"WB"}, "IHCP" : {"fullname" : "Immunohistochemistry (Formalin/PFA-fixed paraffin-embedded sections)", "shortname":"IHC-P"} }, "product-promise": { "all": "all", "testedAndGuaranteed": "tested", "guaranteed": "expected", "predicted": "predicted", "notRecommended": "not-recommended" } }, "values": { "Human": { "WB-species-checked": "testedAndGuaranteed", "WB-species-dilution-info": "", "WB-species-notes": "<p></p>", "IHCP-species-checked": "testedAndGuaranteed", "IHCP-species-dilution-info": "", "IHCP-species-notes": "<p></p>" }, "Mouse": { "WB-species-checked": "testedAndGuaranteed", "WB-species-dilution-info": "", "WB-species-notes": "<p></p>", "IHCP-species-checked": "testedAndGuaranteed", "IHCP-species-dilution-info": "", "IHCP-species-notes": "<p></p>" }, "Rat": { "WB-species-checked": "testedAndGuaranteed", "WB-species-dilution-info": "", "WB-species-notes": "<p></p>", "IHCP-species-checked": "guaranteed", "IHCP-species-dilution-info": "", "IHCP-species-notes": "" } } }

Product details

ab251125 is the carrier-free version of ab192255.

Patented technology
Our RabMAb® technology is a patented hybridoma-based technology for making rabbit monoclonal antibodies. For details on our patents, please refer to RabMAb® patents.

What are the advantages of a recombinant monoclonal antibody?
This product is a recombinant monoclonal antibody, which offers several advantages including:

  • - High batch-to-batch consistency and reproducibility
  • - Improved sensitivity and specificity
  • - Long-term security of supply
  • - Animal-free batch production

For more information, read more on recombinant antibodies.

Conjugation ready
Our carrier-free antibodies are typically supplied in a PBS-only formulation, purified and free of BSA, sodium azide and glycerol. This conjugation-ready format is designed for use with fluorochromes, metal isotopes, oligonucleotides, and enzymes, which makes them ideal for antibody labelling, functional and cell-based assays, flow-based assays (e.g. mass cytometry) and Multiplex Imaging applications.

Use our conjugation kits for antibody conjugates that are ready-to-use in as little as 20 minutes with 1 minute hands-on-time and 100% antibody recovery: available for fluorescent dyes, HRP, biotin and gold.

Compatibility
This product is compatible with the Maxpar® Antibody Labeling Kit from Fluidigm, without the need for antibody preparation. Maxpar® is a trademark of Fluidigm Canada Inc.

Properties and storage information

Form
Liquid
Purification technique
Affinity purification Protein A
Storage buffer
pH: 7.2 - 7.4 Constituents: PBS
Shipped at conditions
Blue Ice
Appropriate short-term storage conditions
+4°C
Appropriate long-term storage conditions
+4°C
Storage information
Do Not Freeze

Supplementary information

This supplementary information is collated from multiple sources and compiled automatically.

The target known as PIG-U also referred to as Phosphatidylinositol Glycan Anchor Biosynthesis Class U is an essential component in cellular processes. PIG-U is part of the glycosylphosphatidylinositol (GPI) transamidase complex important for GPI-anchor biosynthesis. This process allows proteins to attach to membranes essential for cell surface functionality. The approximate molecular mass of PIG-U is 50 kDa. It is widely expressed in various tissues especially those with high rates of cell division and growth.
Biological function summary

PIG-U plays an important role in enabling proteins to attach to the cell membrane via GPI anchors. This protein forms a part of a multi-subunit complex including other critical proteins like PIG-S and PIG-T. The function of PIG-U ensures that proteins needing a GPI-anchor for their localization and function on cellular membranes get tethered correctly. GPI-anchored proteins are involved in cell signaling cell adhesion and interactions with the extracellular matrix highlighting the functional diversity PIG-U supports.

Pathways

GPI-anchor synthesis involves PIG-U as a central node in the GPI biosynthesis pathway. This pathway is essential for the post-translational modification of proteins that will become GPI-anchored. An important protein associated with PIG-U through this pathway is the GPI-Anchor Transamidase complex. Another significant pathway related to PIG-U is the N-Glycan biosynthesis where proper glycosylation of proteins is coordinated sharing a network with proteins like GnT-1.

Mutations or dysfunctions in PIG-U have links to the pathogenesis of Paroxysmal Nocturnal Hemoglobinuria (PNH) which involves the body's inability to regulate complement on the surface of blood cells. Additionally various forms of intellectual disability relate to abnormalities in the GPI-anchor biosynthesis pathway influenced by PIG-U's functionality. PIG-T and other components of the GPI Transamidase complex are also implicated in these disorders highlighting the importance of PIG-U in maintaining normal cellular function and health.

Product protocols

For this product, it's our understanding that no specific protocols are required. You can visit:

Target data

Component of the GPI transamidase complex, necessary for transfer of GPI to proteins (PubMed : 34576938). May be involved in the recognition of either the GPI attachment signal or the lipid portion of GPI.
See full target information PIGU

Publications (1)

Recent publications for all applications. Explore the full list and refine your search

International journal of molecular sciences 22: PubMed34769092

2021

11,12 Epoxyeicosatrienoic Acid Rescues Deteriorated Wound Healing in Diabetes.

Applications

Unspecified application

Species

Unspecified reactive species

Katharina Sommer,Heike Jakob,Caroline Reiche,Dirk Henrich,Jasmina Sterz,Johannes Frank,Ingo Marzi,Anna Lena Sander
View all publications

Product promise

We are committed to supporting your work with high-quality reagents, and we're here for you every step of the way. In the unlikely event that one of our products does not perform as expected, you're protected by our Product Promise.
For full details, please see our Terms & Conditions

Please note: All products are 'FOR RESEARCH USE ONLY. NOT FOR USE IN DIAGNOSTIC OR THERAPEUTIC PROCEDURES'.

For licensing inquiries, please contact partnerships@abcam.com