JavaScript is disabled in your browser. Please enable JavaScript to view this website.
AB192255

Anti-Pigu antibody [EPR16424] - C-terminal

Be the first to review this product! Submit a review

|

(4 Publications)

Rabbit Recombinant Monoclonal PIGU antibody. C-terminal. Suitable for WB, IHC-P and reacts with Rat, Mouse, Human samples. Cited in 4 publications.

View Alternative Names

CDC91L1, PSEC0205, UNQ3055/PRO9875, PIGU, Phosphatidylinositol glycan anchor biosynthesis class U protein, Cell division cycle protein 91-like 1, GPI transamidase component PIG-U, Protein CDC91-like 1

5 Images
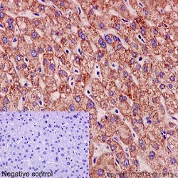
Immunohistochemistry (Formalin/PFA-fixed paraffin-embedded sections) - Anti-Pigu antibody [EPR16424] - C-terminal (AB192255)
  • IHC-P

Supplier Data

Immunohistochemistry (Formalin/PFA-fixed paraffin-embedded sections) - Anti-Pigu antibody [EPR16424] - C-terminal (AB192255)

Immunohistochemical analysis of paraffin-embedded Human liver tissue labeling Pigu with ab192255 at 1/1000 dilution. A ready to use HRP Polymer for Rabbit IgG was used as the secondary. Hematoxylin counterstain.

Perform heat mediated antigen retrieval with Tris/EDTA buffer pH 9.0 before commencing with IHC staining protocol.

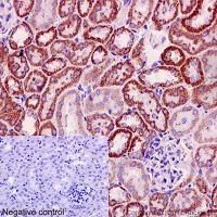
Immunohistochemistry (Formalin/PFA-fixed paraffin-embedded sections) - Anti-Pigu antibody [EPR16424] - C-terminal (AB192255)
  • IHC-P

Supplier Data

Immunohistochemistry (Formalin/PFA-fixed paraffin-embedded sections) - Anti-Pigu antibody [EPR16424] - C-terminal (AB192255)

Immunohistochemical analysis of paraffin-embedded Mouse kidney tissue labeling Pigu with ab192255 at 1/1000 dilution. A ready to use HRP Polymer for Rabbit IgG was used as the secondary. Hematoxylin counterstain.

Perform heat mediated antigen retrieval with Tris/EDTA buffer pH 9.0 before commencing with IHC staining protocol.

Western blot - Anti-Pigu antibody [EPR16424] - C-terminal (AB192255)
  • WB

Supplier Data

Western blot - Anti-Pigu antibody [EPR16424] - C-terminal (AB192255)

All lanes:

Western blot - Anti-Pigu antibody [EPR16424] - C-terminal (ab192255) at 1/1000 dilution

Lane 1:

HT-1376 cell lysate at 20 µg

Lane 2:

293 cell lysate at 20 µg

Lane 3:

Human fetal brain tissue lysate at 20 µg

Secondary

All lanes:

Goat Anti-Rabbit IgG, (H+L), Peroxidase conjugated at 1/1000 dilution

Predicted band size: 50 kDa

false

Western blot - Anti-Pigu antibody [EPR16424] - C-terminal (AB192255)
  • WB

Supplier Data

Western blot - Anti-Pigu antibody [EPR16424] - C-terminal (AB192255)

All lanes:

Western blot - Anti-Pigu antibody [EPR16424] - C-terminal (ab192255) at 1/10000 dilution

All lanes:

HeLa cell lysate at 20 µg

Secondary

All lanes:

Goat Anti-Rabbit IgG, (H+L), Peroxidase conjugated at 1/1000 dilution

Predicted band size: 50 kDa

false

Western blot - Anti-Pigu antibody [EPR16424] - C-terminal (AB192255)
  • WB

Supplier Data

Western blot - Anti-Pigu antibody [EPR16424] - C-terminal (AB192255)

All lanes:

Western blot - Anti-Pigu antibody [EPR16424] - C-terminal (ab192255) at 1/1000 dilution

Lane 1:

C6 cell lysate at 10 µg

Lane 2:

RAW 264.7 cell lysate at 10 µg

Lane 3:

PC12 cell lysate at 10 µg

Lane 4:

NIH 3T3 cell lysate at 10 µg

Secondary

All lanes:

Goat Anti-Rabbit IgG, (H+L), Peroxidase conjugated at 1/1000 dilution

Predicted band size: 50 kDa

false

  • Carrier free

    Anti-Pigu antibody [EPR16424] - BSA and Azide free

Key facts

Host species

Rabbit

Clonality

Monoclonal

Clone number

EPR16424

Isotype

IgG

Carrier free

No

Reacts with

Mouse, Rat, Human

Applications

WB, IHC-P

applications

Immunogen

The exact immunogen used to generate this antibody is proprietary information.

Reactivity data

{ "title": "Reactivity Data", "filters": { "stats": ["", "Species", "Dilution Info", "Notes"], "tabs": { "all-applications": {"fullname" : "All Applications", "shortname": "All Applications"}, "WB" : {"fullname" : "Western blot", "shortname":"WB"}, "IHCP" : {"fullname" : "Immunohistochemistry (Formalin/PFA-fixed paraffin-embedded sections)", "shortname":"IHC-P"} }, "product-promise": { "all": "all", "testedAndGuaranteed": "tested", "guaranteed": "expected", "predicted": "predicted", "notRecommended": "not-recommended" } }, "values": { "Human": { "WB-species-checked": "testedAndGuaranteed", "WB-species-dilution-info": "1/1000 - 1/10000", "WB-species-notes": "<p></p>", "IHCP-species-checked": "testedAndGuaranteed", "IHCP-species-dilution-info": "1/500 - 1/1000", "IHCP-species-notes": "<p></p>" }, "Mouse": { "WB-species-checked": "testedAndGuaranteed", "WB-species-dilution-info": "1/1000 - 1/10000", "WB-species-notes": "<p></p>", "IHCP-species-checked": "testedAndGuaranteed", "IHCP-species-dilution-info": "1/500 - 1/1000", "IHCP-species-notes": "<p></p>" }, "Rat": { "WB-species-checked": "testedAndGuaranteed", "WB-species-dilution-info": "1/1000 - 1/10000", "WB-species-notes": "<p></p>", "IHCP-species-checked": "guaranteed", "IHCP-species-dilution-info": "", "IHCP-species-notes": "" } } }

Product details

Patented technology
Our RabMAb® technology is a patented hybridoma-based technology for making rabbit monoclonal antibodies. For details on our patents, please refer to RabMAb® patents.

What are the advantages of a recombinant monoclonal antibody?
This product is a recombinant monoclonal antibody, which offers several advantages including:

  • - High batch-to-batch consistency and reproducibility
  • - Improved sensitivity and specificity
  • - Long-term security of supply
  • - Animal-free batch production

For more information, read more on recombinant antibodies.

Properties and storage information

Form
Liquid
Purification technique
Affinity purification Protein A
Storage buffer
pH: 7.2 - 7.4 Preservative: 0.01% Sodium azide Constituents: PBS, 40% Glycerol (glycerin, glycerine), 0.05% BSA
Shipped at conditions
Blue Ice
Appropriate short-term storage duration
1-2 weeks
Appropriate short-term storage conditions
+4°C
Appropriate long-term storage conditions
-20°C
Aliquoting information
Upon delivery aliquot
Storage information
Avoid freeze / thaw cycle

Supplementary information

This supplementary information is collated from multiple sources and compiled automatically.

The target known as PIG-U also referred to as Phosphatidylinositol Glycan Anchor Biosynthesis Class U is an essential component in cellular processes. PIG-U is part of the glycosylphosphatidylinositol (GPI) transamidase complex important for GPI-anchor biosynthesis. This process allows proteins to attach to membranes essential for cell surface functionality. The approximate molecular mass of PIG-U is 50 kDa. It is widely expressed in various tissues especially those with high rates of cell division and growth.
Biological function summary

PIG-U plays an important role in enabling proteins to attach to the cell membrane via GPI anchors. This protein forms a part of a multi-subunit complex including other critical proteins like PIG-S and PIG-T. The function of PIG-U ensures that proteins needing a GPI-anchor for their localization and function on cellular membranes get tethered correctly. GPI-anchored proteins are involved in cell signaling cell adhesion and interactions with the extracellular matrix highlighting the functional diversity PIG-U supports.

Pathways

GPI-anchor synthesis involves PIG-U as a central node in the GPI biosynthesis pathway. This pathway is essential for the post-translational modification of proteins that will become GPI-anchored. An important protein associated with PIG-U through this pathway is the GPI-Anchor Transamidase complex. Another significant pathway related to PIG-U is the N-Glycan biosynthesis where proper glycosylation of proteins is coordinated sharing a network with proteins like GnT-1.

Mutations or dysfunctions in PIG-U have links to the pathogenesis of Paroxysmal Nocturnal Hemoglobinuria (PNH) which involves the body's inability to regulate complement on the surface of blood cells. Additionally various forms of intellectual disability relate to abnormalities in the GPI-anchor biosynthesis pathway influenced by PIG-U's functionality. PIG-T and other components of the GPI Transamidase complex are also implicated in these disorders highlighting the importance of PIG-U in maintaining normal cellular function and health.

Product protocols

For this product, it's our understanding that no specific protocols are required. You can visit:

Target data

Component of the GPI transamidase complex, necessary for transfer of GPI to proteins (PubMed : 34576938). May be involved in the recognition of either the GPI attachment signal or the lipid portion of GPI.
See full target information PIGU

Publications (4)

Recent publications for all applications. Explore the full list and refine your search

Scientific reports 15:31237 PubMed40854921

2025

Silencing of PIGU inhibits the progression of esophageal squamous cell carcinoma through the PI3K/AKT signaling pathway.

Applications

Unspecified application

Species

Unspecified reactive species

Ji Zuo,Haiyang Guo,Guangbing Hu,Yuman He,Yong Tang,Jie Li,Yutong Cui,Shiqi Liang,Xinrui Chen,Zichen Luo,Xiaobo Wang,Xianfei Wang

Biochemistry and biophysics reports 43:102181 PubMed40787250

2025

Identification of immune escape-related prognostic genes and immune infiltration analysis in hepatocellular carcinoma based on bioinformatics.

Applications

Unspecified application

Species

Unspecified reactive species

Xue-Song Wu,Dong Wei,Ya Zhu,Song-Ling Zhao,Li-Xin Liu,Fang-Ming Tian,Xin Liu,Zhi-Tian Shi

Human pathology 83:90-99 PubMed30171988

2018

PIGU overexpression adds value to TNM staging in the prognostic stratification of patients with hepatocellular carcinoma.

Applications

Unspecified application

Species

Unspecified reactive species

Jianzhong Cao,Penghui Wang,Jiemin Chen,Xiaodong He

Molecular genetics and metabolism 115:128-140 PubMed25943031

2015

Expanding the clinical and molecular characteristics of PIGT-CDG, a disorder of glycosylphosphatidylinositol anchors.

Applications

Unspecified application

Species

Unspecified reactive species

Christina Lam,Gretchen A Golas,Mariska Davids,Marjan Huizing,Megan S Kane,Donna M Krasnewich,May Christine V Malicdan,David R Adams,Thomas C Markello,Wadih M Zein,Andrea L Gropman,Maya B Lodish,Constantine A Stratakis,Irina Maric,Sergio D Rosenzweig,Eva H Baker,Carlos R Ferreira,Noelle R Danylchuk,Stephen Kahler,Adolfo D Garnica,G Bradley Schaefer,Cornelius F Boerkoel,William A Gahl,Lynne A Wolfe
View all publications

Product promise

We are committed to supporting your work with high-quality reagents, and we're here for you every step of the way. In the unlikely event that one of our products does not perform as expected, you're protected by our Product Promise.
For full details, please see our Terms & Conditions

Please note: All products are 'FOR RESEARCH USE ONLY. NOT FOR USE IN DIAGNOSTIC OR THERAPEUTIC PROCEDURES'.

For licensing inquiries, please contact partnerships@abcam.com