JavaScript is disabled in your browser. Please enable JavaScript to view this website.
AB235338

Anti-PIGX antibody

Be the first to review this product! Submit a review

|

(1 Publication)

Rabbit Polyclonal PIGX antibody. Suitable for WB, IHC-P and reacts with Mouse, Human samples. Cited in 1 publication. Immunogen corresponding to Recombinant Fragment Protein within Human PIGX aa 1-250.

View Alternative Names

Phosphatidylinositol-glycan biosynthesis class X protein, PIG-X, PIGX

3 Images
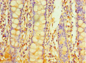
Immunohistochemistry (Formalin/PFA-fixed paraffin-embedded sections) - Anti-PIGX antibody (AB235338)
  • IHC-P

Supplier Data

Immunohistochemistry (Formalin/PFA-fixed paraffin-embedded sections) - Anti-PIGX antibody (AB235338)

Paraffin-embedded human rectum tissue stained for PIGX with ab235338 at 1/100 dilution in immunohistochemical analysis.

Immunohistochemistry (Formalin/PFA-fixed paraffin-embedded sections) - Anti-PIGX antibody (AB235338)
  • IHC-P

Supplier Data

Immunohistochemistry (Formalin/PFA-fixed paraffin-embedded sections) - Anti-PIGX antibody (AB235338)

Paraffin-embedded human placenta tissue stained for PIGX with ab235338 at 1/100 dilution in immunohistochemical analysis.

Western blot - Anti-PIGX antibody (AB235338)
  • WB

Supplier Data

Western blot - Anti-PIGX antibody (AB235338)

All lanes:

Western blot - Anti-PIGX antibody (ab235338) at 1/1000 dilution

Lane 1:

Mouse kidney tissue lysate

Lane 2:

HEK-293T (Human epithelial cell line from embryonic kidney transformed with large T antigen) whole cell lysate

Secondary

All lanes:

Goat polyclonal to rabbit IgG at 1/10000 dilution

Predicted band size: 29 kDa

false

Key facts

Host species

Rabbit

Clonality

Polyclonal

Isotype

IgG

Carrier free

No

Reacts with

Mouse, Human

Applications

WB, IHC-P

applications

Immunogen

Recombinant Fragment Protein within Human PIGX aa 1-250. The exact immunogen used to generate this antibody is proprietary information.

Q8TBF5

Reactivity data

{ "title": "Reactivity Data", "filters": { "stats": ["", "Species", "Dilution Info", "Notes"], "tabs": { "all-applications": {"fullname" : "All Applications", "shortname": "All Applications"}, "WB" : {"fullname" : "Western blot", "shortname":"WB"}, "IHCP" : {"fullname" : "Immunohistochemistry (Formalin/PFA-fixed paraffin-embedded sections)", "shortname":"IHC-P"} }, "product-promise": { "all": "all", "testedAndGuaranteed": "tested", "guaranteed": "expected", "predicted": "predicted", "notRecommended": "not-recommended" } }, "values": { "Human": { "WB-species-checked": "guaranteed", "WB-species-dilution-info": "", "WB-species-notes": "", "IHCP-species-checked": "testedAndGuaranteed", "IHCP-species-dilution-info": "1/20 - 1/200", "IHCP-species-notes": "<p></p>" }, "Mouse": { "WB-species-checked": "testedAndGuaranteed", "WB-species-dilution-info": "1/1000 - 1/5000", "WB-species-notes": "<p></p>", "IHCP-species-checked": "guaranteed", "IHCP-species-dilution-info": "", "IHCP-species-notes": "" } } }

Properties and storage information

Form
Liquid
Purification technique
Affinity purification Protein G
Purification notes
Purity >95%.
Storage buffer
pH: 7.4 Preservative: 0.03% Proclin 300 Constituents: PBS, 50% Glycerol (glycerin, glycerine)
Shipped at conditions
Blue Ice
Appropriate short-term storage duration
1-2 weeks
Appropriate short-term storage conditions
+4°C
Appropriate long-term storage conditions
-20°C
Aliquoting information
Upon delivery aliquot
Storage information
Avoid freeze / thaw cycle

Supplementary information

This supplementary information is collated from multiple sources and compiled automatically.

PIGX also known as phosphatidylinositol glycan anchor biosynthesis class X functions as a subunit in the glycosylphosphatidylinositol (GPI) anchor biosynthesis pathway. PIGX has a mass of approximately 25 kDa and shows expression in various tissues including the liver and kidney. This protein participates in the early step of GPI anchor formation specifically involved in anchoring proteins to membranes.
Biological function summary

This target is essential in the complex that initiates GPI anchor biosynthesis. PIGX partners with PIG-A PIG-C and other components to catalyze the transfer of N-acetylglucosamine to phosphatidylinositol a critical step in the production of GPI anchors. These anchors tether proteins to the cell surface impacting processes such as signal transduction cell adhesion and protein sorting.

Pathways

PIGX plays a significant role in the GPI-anchor biosynthesis pathway and glycosylation. Within these pathways PIGX closely interacts with other GPI biosynthesis proteins such as PIG-M and PIG-L coordinating the sequential steps necessary for anchor formation. This pathway ensures that proteins anchor properly to cell membranes influencing cellular communication and immune responses.

Defects in PIGX can lead to conditions like paroxysmal nocturnal hemoglobinuria (PNH) and inherited GPI deficiency (IGD). PNH manifests due to mutations affecting GPI anchor synthesis which also involves the PIG-A protein. Additionally issues in the GPI biosynthesis pathway where PIGX is integral can result in neurologic disorders and developmental delays linked to IGD. Understanding PIGX's role aids in diagnosing and developing therapies for these conditions.

Product protocols

For this product, it's our understanding that no specific protocols are required. You can visit:

Target data

Essential component of glycosylphosphatidylinositol-mannosyltransferase 1 which transfers the first of the 4 mannoses in the GPI-anchor precursors during GPI-anchor biosynthesis. Probably acts by stabilizing the mannosyltransferase PIGM (By similarity).
See full target information PIGX

Publications (1)

Recent publications for all applications. Explore the full list and refine your search

International journal of molecular medicine 43:1747-1757 PubMed30720051

2019

Nrdp1 is involved in hippocampus apoptosis in cardiopulmonary bypass-induced cognitive dysfunction via the regulation of ErbB3 protein levels.

Applications

Unspecified application

Species

Unspecified reactive species

Jie Zheng,Su Min,Bin Hu,Qin Liu,Yunqiang Wan
View all publications

Product promise

We are committed to supporting your work with high-quality reagents, and we're here for you every step of the way. In the unlikely event that one of our products does not perform as expected, you're protected by our Product Promise.
For full details, please see our Terms & Conditions

Please note: All products are 'FOR RESEARCH USE ONLY. NOT FOR USE IN DIAGNOSTIC OR THERAPEUTIC PROCEDURES'.

For licensing inquiries, please contact partnerships@abcam.com