JavaScript is disabled in your browser. Please enable JavaScript to view this website.
AB308006

Anti-PIM1 antibody [RP23040089]

Be the first to review this product! Submit a review

|

(0 Publication)

Rabbit Recombinant Multiclonal PIM1 antibody. Suitable for WB, ICC/IF, IHC-P and reacts with Human, Mouse samples. Immunogen corresponding to Synthetic Peptide within Human PIM1.

View Alternative Names

Serine/threonine-protein kinase pim-1, PIM1

3 Images
Immunocytochemistry/ Immunofluorescence - Anti-PIM1 antibody [RP23040089] (AB308006)
  • ICC/IF

Supplier Data

Immunocytochemistry/ Immunofluorescence - Anti-PIM1 antibody [RP23040089] (AB308006)

For immunofluorescence analysis, 70% confluent log phase K-562 cells were fixed with 4% paraformaldehyde for 10 minutes, permeabilized with 0.1% Triton X-100 for 15 minutes, and blocked with 2% BSA for 1 hour at room temperature. Detection of PIM1 was performed using ab308006 at 1/100 dilution in 0.1% BSA, incubated at 4 degree Celsius overnight and then labeled with Donkey anti-Rabbit IgG (H+L) Highly Cross-Adsorbed Secondary Antibody, Alexa Fluor 488 at 1/2000 dilution, for 45 minutes at room temperature (Panel a : Green) Nuclei (Panel b : Blue) were stained with DAPI F-actin (Panel c : Red) was stained with Rhodamine Phalloidin at 1/300 dilution Panel d represents the merged image showing Cytoplasmic localization. Panel e represents Jurkat Panel f represents control cells with no primary antibody to assess background The images were captured at 60X magnification

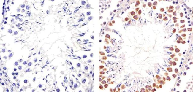
Immunohistochemistry (Formalin/PFA-fixed paraffin-embedded sections) - Anti-PIM1 antibody [RP23040089] (AB308006)
  • IHC-P

Supplier Data

Immunohistochemistry (Formalin/PFA-fixed paraffin-embedded sections) - Anti-PIM1 antibody [RP23040089] (AB308006)

Immunohistochemistry analysis of paraffin-embedded mouse testis tissue labelling PIM1 with ab308006 at 1/50 dilution followed by HRP-conjugated secondary antibody followed by colorimetric detection using a DAB kit (right). Antigen retrieval was performed using 10mM sodium citrate (pH 6.0), microwaved for 8-15 min. Following antigen retrieval, tissues were blocked in 3% H2O2-methanol for 15 min at room temperature, washed with ddH2O and PBS The section was incubated overnight at 4degC with ab308006 diluted in 3% BSA-PBS. Counterstained with hematoxylin and dehydrated with ethanol and xylene to prep for mounting. Secondary antibody only control (left) : Primary diluent was used instead of primary antibody, followed by a HRP-conjugated secondary antibody followed by colorimetric detection using a DAB kit

Western blot - Anti-PIM1 antibody [RP23040089] (AB308006)
  • WB

Supplier Data

Western blot - Anti-PIM1 antibody [RP23040089] (AB308006)

Western blot analysis of Pim-1 in whole cell extracts of Raji and Jurkat cells (lanes 1-2) using ab308006 at a dilution of 1 µg/mL. Detection was performed using an HRP-conjugated Goat anti-Rabbit secondary antibody followed by chemiluminescence (ECL). Results show a band at ~34kDa.

All lanes:

Western blot - Anti-PIM1 antibody [RP23040089] (ab308006) at 1 µg/mL

Lane 1:

Raji cells

Lane 2:

Jurkat cells

Secondary

All lanes:

HRP-conjugated Goat anti-Rabbit secondary antibody

Observed band size: 36 kDa

true

Key facts

Host species

Rabbit

Clonality

Multiclonal

Clone number

RP23040089

Isotype

IgG

Carrier free

No

Reacts with

Human, Mouse

Applications

IHC-P, ICC/IF, WB

applications

Immunogen

Synthetic Peptide within Human PIM1.

P11309

Reactivity data

{ "title": "Reactivity Data", "filters": { "stats": ["", "Species", "Dilution Info", "Notes"], "tabs": { "all-applications": {"fullname" : "All Applications", "shortname": "All Applications"}, "WB" : {"fullname" : "Western blot", "shortname":"WB"}, "ICCIF" : {"fullname" : "Immunocytochemistry/ Immunofluorescence", "shortname":"ICC/IF"}, "IHCP" : {"fullname" : "Immunohistochemistry (Formalin/PFA-fixed paraffin-embedded sections)", "shortname":"IHC-P"} }, "product-promise": { "all": "all", "testedAndGuaranteed": "tested", "guaranteed": "expected", "predicted": "predicted", "notRecommended": "not-recommended" } }, "values": { "Human": { "WB-species-checked": "testedAndGuaranteed", "WB-species-dilution-info": "1 µg/mL", "WB-species-notes": "<p></p>", "ICCIF-species-checked": "testedAndGuaranteed", "ICCIF-species-dilution-info": "1/100", "ICCIF-species-notes": "<p></p>", "IHCP-species-checked": "guaranteed", "IHCP-species-dilution-info": "", "IHCP-species-notes": "" }, "Mouse": { "WB-species-checked": "guaranteed", "WB-species-dilution-info": "", "WB-species-notes": "", "ICCIF-species-checked": "guaranteed", "ICCIF-species-dilution-info": "", "ICCIF-species-notes": "", "IHCP-species-checked": "testedAndGuaranteed", "IHCP-species-dilution-info": "1/50", "IHCP-species-notes": "<p></p> Perform heat-mediated antigen retrieval with citrate buffer pH 6 before commencing with IHC staining protocol." } } }

Product details

What are recombinant multiclonals?
Recombinant multiclonals are a mixture of recombinant antibodies co-expressed from a library of heavy and light chains. They offer several advantages including:

  • - The sensitivity of polyclonal antibodies by recognising multiple epitopes
  • - High batch-to-batch consistency and reproducibility
  • - Improved sensitivity and specificity
  • - Long-term security of supply
  • - Animal-free batch production

View our range of recombinant multiclonal antibodies.

Properties and storage information

Form
Liquid
Storage buffer
Preservative: 0.09% Sodium azide Constituents: 99.91% PBS
Shipped at conditions
Blue Ice
Appropriate short-term storage duration
1-2 weeks
Appropriate short-term storage conditions
+4°C
Appropriate long-term storage conditions
-20°C
Aliquoting information
Upon delivery aliquot
Storage information
Avoid freeze / thaw cycle

Supplementary information

This supplementary information is collated from multiple sources and compiled automatically.

The PIM1 protein also known as Proto-oncogene serine/threonine-protein kinase Pim-1 is a serine/threonine kinase with a mass of approximately 44 kDa. PIM1 is expressed ubiquitously in the body but shows higher expression levels in hematopoietic tissues such as spleen thymus and bone marrow. Within the cell PIM1 predominantly locates to the cytoplasm but can also be found in the nucleus. The PIM1 protein contains conserved kinase domains which are essential for its catalytic activity.
Biological function summary

PIM1 protein plays an important role in cell survival proliferation and differentiation. It functions as a regulator within signal transduction pathways and although not forming part of a larger complex its kinase activity affects other proteins' phosphorylation status influencing various cellular processes. High levels of PIM1 expression are often associated with increased cellular proliferation and are involved in feedback loops enhancing cell survival.

Pathways

PIM1 protein contributes significantly to the JAK/STAT and PI3K/AKT signaling pathways which are important for the regulation of immune responses and cell growth. Within these pathways PIM1 interacts with other proteins such as STAT5 and AKT mediating signals that promote cell cycle progression and apoptosis inhibition. Its role is particularly important for the modulation of hematopoietic and immune functions where it facilitates cellular responses to external growth stimuli.

PIM1 protein is implicated in several cancers notably hematological malignancies like leukemia and lymphomas. The overexpression of PIM1 cooperates with oncogenes like MYC and BCL2 contributing to tumorigenesis by promoting uncontrolled cell proliferation and survival. Additionally PIM1 is under investigation for its role in cardiovascular diseases where it may impact cardiomyocyte survival and heart repair mechanisms. Targeting PIM1 and its associated pathways may offer therapeutic potentials in these conditions.

Product protocols

For this product, it's our understanding that no specific protocols are required. You can visit:

Target data

Proto-oncogene with serine/threonine kinase activity involved in cell survival and cell proliferation and thus providing a selective advantage in tumorigenesis (PubMed : 15528381, PubMed : 1825810, PubMed : 31548394). Exerts its oncogenic activity through : the regulation of MYC transcriptional activity, the regulation of cell cycle progression and by phosphorylation and inhibition of proapoptotic proteins (BAD, MAP3K5, FOXO3) (PubMed : 18593906). Phosphorylation of MYC leads to an increase of MYC protein stability and thereby an increase of transcriptional activity (By similarity). The stabilization of MYC exerted by PIM1 might explain partly the strong synergism between these two oncogenes in tumorigenesis (By similarity). Mediates survival signaling through phosphorylation of BAD, which induces release of the anti-apoptotic protein Bcl-X(L)/BCL2L1 (By similarity). Phosphorylation of MAP3K5, another proapoptotic protein, by PIM1, significantly decreases MAP3K5 kinase activity and inhibits MAP3K5-mediated phosphorylation of JNK and JNK/p38MAPK subsequently reducing caspase-3 activation and cell apoptosis (PubMed : 19749799). Stimulates cell cycle progression at the G1-S and G2-M transitions by phosphorylation of CDC25A and CDC25C (PubMed : 16356754). Phosphorylation of CDKN1A, a regulator of cell cycle progression at G1, results in the relocation of CDKN1A to the cytoplasm and enhanced CDKN1A protein stability (PubMed : 12431783). Promotes cell cycle progression and tumorigenesis by down-regulating expression of a regulator of cell cycle progression, CDKN1B, at both transcriptional and post-translational levels (PubMed : 18593906). Phosphorylation of CDKN1B, induces 14-3-3 proteins binding, nuclear export and proteasome-dependent degradation (PubMed : 18593906). May affect the structure or silencing of chromatin by phosphorylating HP1 gamma/CBX3 (PubMed : 10664448). Acts also as a regulator of homing and migration of bone marrow cells involving functional interaction with the CXCL12-CXCR4 signaling axis (By similarity). Acts as a positive regulator of mTORC1 signaling by mediating phosphorylation and inhibition of DEPDC5 component of the GATOR1 complex (PubMed : 31548394). Acts as a negative regulator of innate immunity by mediating phosphorylation and inactivation of GBP1 in absence of infection : phosphorylation of GBP1 induces interaction with 14-3-3 protein sigma (SFN) and retention in the cytosol (PubMed : 37797010). Also phosphorylates and activates the ATP-binding cassette transporter ABCG2, allowing resistance to drugs through their excretion from cells (PubMed : 18056989). Promotes brown adipocyte differentiation (By similarity).
See full target information PIM1

Product promise

We are committed to supporting your work with high-quality reagents, and we're here for you every step of the way. In the unlikely event that one of our products does not perform as expected, you're protected by our Product Promise.
For full details, please see our Terms & Conditions

Please note: All products are 'FOR RESEARCH USE ONLY. NOT FOR USE IN DIAGNOSTIC OR THERAPEUTIC PROCEDURES'.

For licensing inquiries, please contact partnerships@abcam.com