JavaScript is disabled in your browser. Please enable JavaScript to view this website.
AB70559

Anti-PIMT antibody

Be the first to review this product! Submit a review

|

(2 Publications)

Rabbit Polyclonal PIMT antibody. Suitable for IP, IHC-P and reacts with Human samples. Cited in 2 publications. Immunogen corresponding to Synthetic Peptide within Human TGS1.

View Alternative Names

HCA137, NCOA6IP, PIMT, TGS1, Trimethylguanosine synthase, CLL-associated antigen KW-2, Cap-specific guanine-N(2) methyltransferase, Hepatocellular carcinoma-associated antigen 137, Nuclear receptor coactivator 6-interacting protein, PRIP-interacting protein with methyltransferase motif, PIPMT

2 Images
Immunoprecipitation - Anti-PIMT antibody (AB70559)
  • IP

Supplier Data

Immunoprecipitation - Anti-PIMT antibody (AB70559)

PIMT was immunoprecipitated from HEK293T whole cell lysate (0.1 mg per IP reaction, 20% loaded) with ab70559 at 6 μg per reaction. Western blot was performed on the immunoprecipitate using ab70559 at 1 μg/mL.

Lane 1 : ab70559 IP in HEK293T whole cell lysate.

Lane 2 : ab70559 IP in HEK293T whole cell lysate.

Lane 3 : rabbit anti-PIMT antibody IP in HEK293T whole cell lysate.

Lane 4 : Control IgG in HEK293T whole cell lysate.

Detection : Chemiluminescence with an exposure time of 30 seconds

All lanes:

Immunoprecipitation - Anti-PIMT antibody (ab70559)

Predicted band size: 97 kDa

false

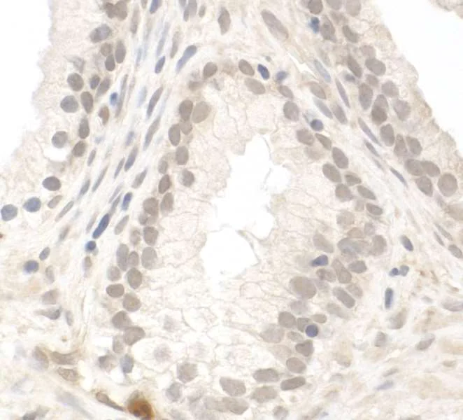
Immunohistochemistry (Formalin/PFA-fixed paraffin-embedded sections) - Anti-PIMT antibody (AB70559)
  • IHC-P

Supplier Data

Immunohistochemistry (Formalin/PFA-fixed paraffin-embedded sections) - Anti-PIMT antibody (AB70559)

Immunohistochemistry (Formalin-fixed paraffin-embedded sections) analysis of human prostate carcinoma tissue labelling PIMT with ab70559 at 1/200 dilution.

Key facts

Host species

Rabbit

Clonality

Polyclonal

Isotype

IgG

Carrier free

No

Reacts with

Human

Applications

IP, IHC-P

applications

Immunogen

Synthetic Peptide within Human TGS1. The exact immunogen used to generate this antibody is proprietary information.

Q96RS0

Reactivity data

{ "title": "Reactivity Data", "filters": { "stats": ["", "Species", "Dilution Info", "Notes"], "tabs": { "all-applications": {"fullname" : "All Applications", "shortname": "All Applications"}, "IP" : {"fullname" : "Immunoprecipitation", "shortname":"IP"}, "IHCP" : {"fullname" : "Immunohistochemistry (Formalin/PFA-fixed paraffin-embedded sections)", "shortname":"IHC-P"} }, "product-promise": { "all": "all", "testedAndGuaranteed": "tested", "guaranteed": "expected", "predicted": "predicted", "notRecommended": "not-recommended" } }, "values": { "Human": { "IP-species-checked": "testedAndGuaranteed", "IP-species-dilution-info": "2-10 µg/mg of lysate", "IP-species-notes": "<p></p>", "IHCP-species-checked": "testedAndGuaranteed", "IHCP-species-dilution-info": "1/100 - 1/500", "IHCP-species-notes": "<p></p>" }, "Chimpanzee": { "IP-species-checked": "predicted", "IP-species-dilution-info": "", "IP-species-notes": "", "IHCP-species-checked": "predicted", "IHCP-species-dilution-info": "", "IHCP-species-notes": "" }, "Gorilla": { "IP-species-checked": "predicted", "IP-species-dilution-info": "", "IP-species-notes": "", "IHCP-species-checked": "predicted", "IHCP-species-dilution-info": "", "IHCP-species-notes": "" } } }

Properties and storage information

Form
Liquid
Purification technique
Affinity purification Immunogen
Storage buffer
pH: 6.8 - 7.4 Preservative: 0.09% Sodium azide Constituents: Tris buffered saline, 0.1% BSA
Shipped at conditions
Blue Ice
Appropriate short-term storage conditions
+4°C
Appropriate long-term storage conditions
-20°C
Aliquoting information
Upon delivery aliquot
Storage information
Avoid freeze / thaw cycle

Supplementary information

This supplementary information is collated from multiple sources and compiled automatically.

The protein PIMT also known as Protein-L-isoaspartate (D-aspartate) O-methyltransferase mechanically functions to repair damaged proteins by methylation. It targets L-isoaspartyl residues in proteins converting them back to their normal aspartyl forms. This activity maintains protein integrity and function. PIMT has a molecular mass of approximately 25 kDa. It is expressed in various tissues with higher levels observed in the brain and liver suggesting its important role in these organs.
Biological function summary

PIMT plays an important role in protein repair and longevity by enzymatically correcting spontaneous deamidations that occur during the normal aging process. It is not part of a larger protein complex functioning independently. PIMT’s activity is fundamental in maintaining the structural stability of proteins therefore preventing cellular damage that can result from accumulating abnormal proteins.

Pathways

PIMT is involved in the protein repair pathway which is important for cellular homeostasis and viability. This pathway intersects with the post-translational modification pathway where PIMT stabilizes target proteins. It works alongside other repair-related proteins such as the protein L-isoaspartyl methyltransferase small domain (PIMT-SD) thereby ensuring minimal accumulation of damaged proteins and maintaining cellular function.

The impairment of PIMT's function has been linked to neurodegenerative diseases such as Alzheimer's disease due to the accumulation of damaged proteins in neural tissues. Additionally PIMT has connections to hepatic disorders given its significant expression in the liver. Deficiencies or mutations in PIMT can lead to an increased presence of pathological proteins exacerbating conditions associated with protein accumulation.

Product protocols

For this product, it's our understanding that no specific protocols are required. You can visit:

Target data

Catalyzes the 2 serial methylation steps for the conversion of the 7-monomethylguanosine (m(7)G) caps of snRNAs and snoRNAs to a 2,2,7-trimethylguanosine (m(2,2,7)G) cap structure. The enzyme is specific for guanine, and N7 methylation must precede N2 methylation. Hypermethylation of the m7G cap of U snRNAs leads to their concentration in nuclear foci, their colocalization with coilin and the formation of canonical Cajal bodies (CBs). Plays a role in transcriptional regulation.
See full target information TGS1

Publications (2)

Recent publications for all applications. Explore the full list and refine your search

International journal of molecular sciences 24: PubMed37175791

2023

PIMT Controls Insulin Synthesis and Secretion through PDX1.

Applications

Unspecified application

Species

Unspecified reactive species

Rahul Sharma,Sujay K Maity,Partha Chakrabarti,Madhumohan R Katika,Satyamoorthy Kapettu,Kishore V L Parsa,Parimal Misra

iScience 26:106120 PubMed36866247

2023

PIMT regulates hepatic gluconeogenesis in mice.

Applications

Unspecified application

Species

Unspecified reactive species

Bandish Kapadia,Soma Behera,Sireesh T Kumar,Tapan Shah,Rebecca Kristina Edwin,Phanithi Prakash Babu,Partha Chakrabarti,Kishore V L Parsa,Parimal Misra
View all publications

Product promise

We are committed to supporting your work with high-quality reagents, and we're here for you every step of the way. In the unlikely event that one of our products does not perform as expected, you're protected by our Product Promise.
For full details, please see our Terms & Conditions

Please note: All products are 'FOR RESEARCH USE ONLY. NOT FOR USE IN DIAGNOSTIC OR THERAPEUTIC PROCEDURES'.

For licensing inquiries, please contact partnerships@abcam.com