JavaScript is disabled in your browser. Please enable JavaScript to view this website.
AB154331

Anti-PINCH 1 antibody

Be the first to review this product! Submit a review

|

(2 Publications)

Rabbit Polyclonal PINCH 1 antibody. Suitable for IHC-P, WB and reacts with Human samples. Cited in 2 publications. Immunogen corresponding to Recombinant Fragment Protein within Human LIMS1 aa 1-250.

View Alternative Names

PINCH, PINCH1, LIMS1, LIM and senescent cell antigen-like-containing domain protein 1, Particularly interesting new Cys-His protein 1, Renal carcinoma antigen NY-REN-48, PINCH-1

2 Images
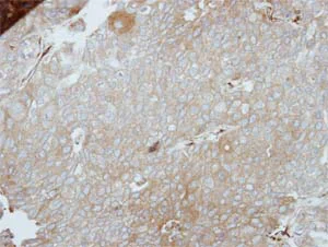
Immunohistochemistry (Formalin/PFA-fixed paraffin-embedded sections) - Anti-PINCH 1 antibody (AB154331)
  • IHC-P

Unknown

Immunohistochemistry (Formalin/PFA-fixed paraffin-embedded sections) - Anti-PINCH 1 antibody (AB154331)

Immunohistochemical analysis of paraffin-embedded BT474 xenograft, labeling PINCH 1 with ab154331 at 1/100 dilution.

Western blot - Anti-PINCH 1 antibody (AB154331)
  • WB

Unknown

Western blot - Anti-PINCH 1 antibody (AB154331)

10% SDS PAGE

All lanes:

Western blot - Anti-PINCH 1 antibody (ab154331) at 1/1000 dilution

All lanes:

HeLa whole cell lysate at 30 µg

Predicted band size: 37 kDa

false

Key facts

Host species

Rabbit

Clonality

Polyclonal

Isotype

IgG

Carrier free

No

Reacts with

Human

Applications

WB, IHC-P

applications

Immunogen

Recombinant Fragment Protein within Human LIMS1 aa 1-250. The exact immunogen used to generate this antibody is proprietary information.

P48059

Reactivity data

{ "title": "Reactivity Data", "filters": { "stats": ["", "Species", "Dilution Info", "Notes"], "tabs": { "all-applications": {"fullname" : "All Applications", "shortname": "All Applications"}, "IHCP" : {"fullname" : "Immunohistochemistry (Formalin/PFA-fixed paraffin-embedded sections)", "shortname":"IHC-P"}, "WB" : {"fullname" : "Western blot", "shortname":"WB"} }, "product-promise": { "all": "all", "testedAndGuaranteed": "tested", "guaranteed": "expected", "predicted": "predicted", "notRecommended": "not-recommended" } }, "values": { "Human": { "IHCP-species-checked": "testedAndGuaranteed", "IHCP-species-dilution-info": "1/100 - 1/1000", "IHCP-species-notes": "<p></p> Perform heat-mediated antigen retrieval with citrate buffer pH 6 before commencing with IHC staining protocol.", "WB-species-checked": "testedAndGuaranteed", "WB-species-dilution-info": "1/500 - 1/3000", "WB-species-notes": "<p></p>" }, "Mouse": { "IHCP-species-checked": "predicted", "IHCP-species-dilution-info": "", "IHCP-species-notes": "", "WB-species-checked": "predicted", "WB-species-dilution-info": "", "WB-species-notes": "" }, "Rat": { "IHCP-species-checked": "predicted", "IHCP-species-dilution-info": "", "IHCP-species-notes": "", "WB-species-checked": "predicted", "WB-species-dilution-info": "", "WB-species-notes": "" }, "Chicken": { "IHCP-species-checked": "predicted", "IHCP-species-dilution-info": "", "IHCP-species-notes": "", "WB-species-checked": "predicted", "WB-species-dilution-info": "", "WB-species-notes": "" }, "Xenopus tropicalis": { "IHCP-species-checked": "predicted", "IHCP-species-dilution-info": "", "IHCP-species-notes": "", "WB-species-checked": "predicted", "WB-species-dilution-info": "", "WB-species-notes": "" }, "Zebrafish": { "IHCP-species-checked": "predicted", "IHCP-species-dilution-info": "", "IHCP-species-notes": "", "WB-species-checked": "predicted", "WB-species-dilution-info": "", "WB-species-notes": "" } } }

Properties and storage information

Form
Liquid
Purification technique
Affinity purification Immunogen
Storage buffer
pH: 7 Preservative: 0.01% Thimerosal (merthiolate) Constituents: 20% Glycerol (glycerin, glycerine), 1.21% Tris, 0.75% Glycine
Shipped at conditions
Blue Ice
Appropriate short-term storage conditions
+4°C
Appropriate long-term storage conditions
-20°C
Aliquoting information
Upon delivery aliquot
Storage information
Avoid freeze / thaw cycle

Supplementary information

This supplementary information is collated from multiple sources and compiled automatically.

PINCH 1 also known as LIMS1 is a protein with a molecular mass of approximately 35 kDa. It serves an important role in cellular adhesion and signaling as part of the focal adhesion complex. Expressed widely in many tissues PINCH 1 interacts with integrin-linked kinase (ILK) and parvin proteins to mediate interactions between the extracellular matrix and the actin cytoskeleton. This interaction supports cell adhesion migration and mechanical stability critical for many cellular processes.
Biological function summary

PINCH 1 facilitates communication within cells by anchoring the cell's structural components to its signaling pathways. It forms the ternary PINCH-ILK-parvin (PIP) complex essential for transmitting mechanical and chemical signals within the cell. This complex enables cells to respond to their environments adjusting their activities accordingly. PINCH 1 also participates in the regulation of cell survival and proliferation suggesting its importance in maintaining cellular functions.

Pathways

PINCH 1 acts as a participant in the integrin signaling and focal adhesion pathways. In these pathways PINCH 1 works alongside proteins like ILK and alpha-parvin to translate extracellular matrix signals into intracellular responses. These pathways regulate cell movement shape changes and survival by coordinating actin cytoskeleton remodeling and integrin-mediated adhesion. This coordination allows cells to adjust their behavior based on external cues.

PINCH 1 has associations with cancer and cardiovascular diseases where its regulatory role in cell adhesion and signaling becomes evident. Abnormal PINCH 1 expression or function may lead to impaired cell adhesion and increased cell motility contributing to cancer metastasis. In cardiovascular diseases disruptions in PINCH 1 interactions might affect heart tissues' biomechanical integrity through pathways involving ILK. Proper PINCH 1 activity is critical for maintaining the stability and function of heart and tissue cells.

Product protocols

For this product, it's our understanding that no specific protocols are required. You can visit:

Target data

Within the IPP (ILK-PINCH-PARVIN) complex, binds to F-actin, promoting F-actin bundling, a process required to generate force for actin cytoskeleton reorganization and subsequent dynamic cell adhesion events such as cell spreading and migration.
See full target information LIMS1

Publications (2)

Recent publications for all applications. Explore the full list and refine your search

Chinese medical journal 138:193-204 PubMed38445356

2024

Therapeutic role of miR-26a on cardiorenal injury in a mice model of angiotensin-II induced chronic kidney disease through inhibition of LIMS1/ILK pathway.

Applications

Unspecified application

Species

Unspecified reactive species

Weijie Ni,Yajie Zhao,Jinxin Shen,Qing Yin,Yao Wang,Zuolin Li,Taotao Tang,Yi Wen,Yilin Zhang,Wei Jiang,Liangyunzi Jiang,Jinxuan Wei,Weihua Gan,Aiqing Zhang,Xiaoyu Zhou,Bin Wang,Bi-Cheng Liu

The Journal of biological chemistry 292:18227-18239 PubMed28924044

2017

Nuclear insulin-like growth factor 1 receptor phosphorylates proliferating cell nuclear antigen and rescues stalled replication forks after DNA damage.

Applications

Unspecified application

Species

Unspecified reactive species

Ahmed Waraky,Yingbo Lin,Dudi Warsito,Felix Haglund,Eiman Aleem,Olle Larsson
View all publications

Product promise

We are committed to supporting your work with high-quality reagents, and we're here for you every step of the way. In the unlikely event that one of our products does not perform as expected, you're protected by our Product Promise.
For full details, please see our Terms & Conditions

Please note: All products are 'FOR RESEARCH USE ONLY. NOT FOR USE IN DIAGNOSTIC OR THERAPEUTIC PROCEDURES'.

For licensing inquiries, please contact partnerships@abcam.com