JavaScript is disabled in your browser. Please enable JavaScript to view this website.
AB108609

Anti-PINCH 1 + PINCH 2 antibody [EP1944]

Be the first to review this product! Submit a review

|

(8 Publications)

Rabbit Monoclonal PINCH 1 antibody. Suitable for IHC-P, Flow Cyt (Intra), WB, ICC/IF and reacts with Human, Mouse, Rat samples. Cited in 8 publications.

View Alternative Names

PINCH, PINCH1, LIMS1, LIM and senescent cell antigen-like-containing domain protein 1, Particularly interesting new Cys-His protein 1, Renal carcinoma antigen NY-REN-48, PINCH-1

7 Images
Flow Cytometry (Intracellular) - Anti-PINCH 1 + PINCH 2 antibody [EP1944] (AB108609)
  • Flow Cyt (Intra)

Supplier Data

Flow Cytometry (Intracellular) - Anti-PINCH 1 + PINCH 2 antibody [EP1944] (AB108609)

293T cells were fixed with 100µl 4% PFA for 10 min at RT, then permeabilized with 100µl 90% methanol for 30 min (-20° C) followed by blocking with 10% goat serum for 1h at room temperature. Incubate ab108609 for 30 min at room temperature (RT) and then incubate Goat Anti-Rabbit IgG H&L (Alexa Fluor® 488) (ab150081) for 30 min at room temperature.

Immunohistochemistry (Formalin/PFA-fixed paraffin-embedded sections) - Anti-PINCH 1 + PINCH 2 antibody [EP1944] (AB108609)
  • IHC-P

Supplier Data

Immunohistochemistry (Formalin/PFA-fixed paraffin-embedded sections) - Anti-PINCH 1 + PINCH 2 antibody [EP1944] (AB108609)

Immunohistochemical analysis of paraffin-embedded Human breast carcinoma tissue labeling PINCH 1 + PINCH 2 with ab108609 at 1/1000 dilution. The immunostaining was performed on a Leica Biosystems BOND® RX instrument. Counterstained with Hematoxylin. Heat mediated antigen retrieval was performed with Citrate buffer (pH 6.0, epitope retrieval solution 1) for 20 mins.

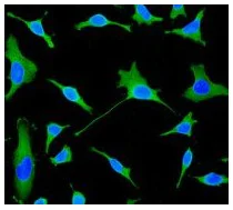
Immunocytochemistry/ Immunofluorescence - Anti-PINCH 1 + PINCH 2 antibody [EP1944] (AB108609)
  • ICC/IF

Unknown

Immunocytochemistry/ Immunofluorescence - Anti-PINCH 1 + PINCH 2 antibody [EP1944] (AB108609)

Immunofluorescent staining of HeLa cells using ab108609 at 1/100 dilution.

Immunocytochemistry/ Immunofluorescence - Anti-PINCH 1 + PINCH 2 antibody [EP1944] (AB108609)
  • ICC/IF

Supplier Data

Immunocytochemistry/ Immunofluorescence - Anti-PINCH 1 + PINCH 2 antibody [EP1944] (AB108609)

Immunofluorescent analysis of 4% Paraformaldehyde-fixed, 0.1% TritonX-100 permeabilized HepG2 cells labelling ALDH7A1 with ab108609 at 1/50 dilution, followed by Goat Anti-Rabbit IgG H&L (Alexa Fluor® 488) preadsorbed (ab150081) at 1/1000 dilution at RT for 45 min. Alexa Fluor® 594 Anti-alpha Tubulin antibody [DM1A] - Microtubule Marker (ab195889) at 1/200 dilution, was co-incubated with ab53278 overnight at 4° C. Nucleus were visualized using DAPI.

Western blot - Anti-PINCH 1 + PINCH 2 antibody [EP1944] (AB108609)
  • WB

Unknown

Western blot - Anti-PINCH 1 + PINCH 2 antibody [EP1944] (AB108609)

All lanes:

Western blot - Anti-PINCH 1 + PINCH 2 antibody [EP1944] (ab108609) at 1/1000 dilution

Lane 1:

293T cell lysate at 10 µg

Lane 2:

HeLa cell lysate at 10 µg

Lane 3:

Jurkat cell lysate at 10 µg

Lane 4:

Human fetal kidney lysate at 10 µg

Lane 5:

Human spleen lysate at 10 µg

Observed band size: 35 kDa

false

Western blot - Anti-PINCH 1 + PINCH 2 antibody [EP1944] (AB108609)
  • WB

Supplier Data

Western blot - Anti-PINCH 1 + PINCH 2 antibody [EP1944] (AB108609)

Blocking and diluting buffer and concentration : 5% NFDM/TBST.

All lanes:

Western blot - Anti-PINCH 1 + PINCH 2 antibody [EP1944] (ab108609) at 1/10000 dilution

Lane 1:

HeLa (Human cervix adenocarcinoma epithelial cell) whole cell lysate at 15 µg

Lane 2:

Mouse kidney lysate at 15 µg

Lane 3:

Rat kidney lysate at 15 µg

Secondary

All lanes:

Western blot - Goat Anti-Rabbit IgG H&L (HRP) (<a href='/en-us/products/secondary-antibodies/goat-rabbit-igg-h-l-hrp-ab97051'>ab97051</a>) at 1/20000 dilution

Observed band size: 35 kDa

false

Western blot - Anti-PINCH 1 + PINCH 2 antibody [EP1944] (AB108609)
  • WB

Supplier Data

Western blot - Anti-PINCH 1 + PINCH 2 antibody [EP1944] (AB108609)

Blocking and diluting buffer and concentration : 5% NFDM/TBST.

All lanes:

Western blot - Anti-PINCH 1 + PINCH 2 antibody [EP1944] (ab108609) at 1/10000 dilution

Lane 1:

His-tagged human recombinant LIMS1 protein(aa1-325) at 10 ng

Lane 2:

His-tagged human recombinant LIMS2 protein(aa1-341) at 10 ng

Secondary

All lanes:

Western blot - Goat Anti-Rabbit IgG H&L (HRP) (<a href='/en-us/products/secondary-antibodies/goat-rabbit-igg-h-l-hrp-ab97051'>ab97051</a>) at 1/20000 dilution

Observed band size: 35 kDa

false

  • Carrier free

    Anti-PINCH 1 + PINCH 2 antibody [EP1944] - BSA and Azide free

Key facts

Host species

Rabbit

Clonality

Monoclonal

Clone number

EP1944

Isotype

IgG

Carrier free

No

Reacts with

Mouse, Rat, Human

Applications

Flow Cyt (Intra), WB, ICC/IF, IHC-P

applications

Immunogen

The exact immunogen used to generate this antibody is proprietary information.

Reactivity data

{ "title": "Reactivity Data", "filters": { "stats": ["", "Species", "Dilution Info", "Notes"], "tabs": { "all-applications": {"fullname" : "All Applications", "shortname": "All Applications"}, "IHCP" : {"fullname" : "Immunohistochemistry (Formalin/PFA-fixed paraffin-embedded sections)", "shortname":"IHC-P"}, "FlowCytIntra" : {"fullname" : "Flow Cytometry (Intracellular)", "shortname":"Flow Cyt (Intra)"}, "WB" : {"fullname" : "Western blot", "shortname":"WB"}, "ICCIF" : {"fullname" : "Immunocytochemistry/ Immunofluorescence", "shortname":"ICC/IF"} }, "product-promise": { "all": "all", "testedAndGuaranteed": "tested", "guaranteed": "expected", "predicted": "predicted", "notRecommended": "not-recommended" } }, "values": { "Human": { "IHCP-species-checked": "testedAndGuaranteed", "IHCP-species-dilution-info": "1/1000", "IHCP-species-notes": "<p></p> Perform heat-mediated antigen retrieval before commencing with IHC staining protocol.", "FlowCytIntra-species-checked": "testedAndGuaranteed", "FlowCytIntra-species-dilution-info": "1/50", "FlowCytIntra-species-notes": "<p></p>", "WB-species-checked": "testedAndGuaranteed", "WB-species-dilution-info": "1/10000", "WB-species-notes": "<p></p>", "ICCIF-species-checked": "testedAndGuaranteed", "ICCIF-species-dilution-info": "1/50", "ICCIF-species-notes": "<p></p>" }, "Mouse": { "IHCP-species-checked": "guaranteed", "IHCP-species-dilution-info": "", "IHCP-species-notes": "", "FlowCytIntra-species-checked": "guaranteed", "FlowCytIntra-species-dilution-info": "", "FlowCytIntra-species-notes": "", "WB-species-checked": "testedAndGuaranteed", "WB-species-dilution-info": "1/10000", "WB-species-notes": "<p></p>", "ICCIF-species-checked": "guaranteed", "ICCIF-species-dilution-info": "", "ICCIF-species-notes": "" }, "Rat": { "IHCP-species-checked": "guaranteed", "IHCP-species-dilution-info": "", "IHCP-species-notes": "", "FlowCytIntra-species-checked": "guaranteed", "FlowCytIntra-species-dilution-info": "", "FlowCytIntra-species-notes": "", "WB-species-checked": "testedAndGuaranteed", "WB-species-dilution-info": "1/10000", "WB-species-notes": "<p></p>", "ICCIF-species-checked": "guaranteed", "ICCIF-species-dilution-info": "", "ICCIF-species-notes": "" } } }

Product details

This product has switched from a hybridoma to recombinant production method on 7th September 2023.

Patented technology
Our RabMAb® technology is a patented hybridoma-based technology for making rabbit monoclonal antibodies. For details on our patents, please refer to RabMAb® patents.

What are the advantages of a recombinant monoclonal antibody?
This product is a recombinant monoclonal antibody, which offers several advantages including:

  • - High batch-to-batch consistency and reproducibility
  • - Improved sensitivity and specificity
  • - Long-term security of supply
  • - Animal-free batch production

For more information, read more on recombinant antibodies.

Properties and storage information

Form
Liquid
Purification technique
Affinity purification Protein A
Storage buffer
pH: 7.2 - 7.4 Preservative: 0.01% Sodium azide Constituents: PBS, 40% Glycerol (glycerin, glycerine), 0.05% BSA
Shipped at conditions
Blue Ice
Appropriate short-term storage conditions
+4°C
Appropriate long-term storage conditions
-20°C
Storage information
Stable for 12 months at -20°C

Supplementary information

This supplementary information is collated from multiple sources and compiled automatically.

PINCH 1 and PINCH 2 also referred to as LIMS1 and LIMS2 are proteins involved in cellular signaling and structural functions. These proteins each have a mass of approximately 37 kDa. They are expressed ubiquitously in various tissues including the heart kidney and smooth muscle among others. Mechanically both PINCH proteins interact with integrin-linked kinase (ILK) and parvin to form the ILK-PINCH-parvin (IPP) complex which plays a significant role in integrin signaling pathways.
Biological function summary

The proteins participate in maintaining cellular adhesion and motility. As members of the IPP complex PINCH 1 and 2 are critical for connecting the extracellular matrix with the actin cytoskeleton. They help transmit signals from the extracellular environment to the cell’s interior influencing cell shape and movement. These proteins are particularly important in the processes of cell survival and tissue development.

Pathways

PINCH proteins engage in integrin-mediated signaling pathways fundamental for cellular responses to mechanical and chemical stimuli. The IPP complex has significant roles in the integrin- and growth factor receptor-mediated pathways especially impacting cell migration and survival. Both proteins link with ILK and through these pathways they interact with various small GTPases that regulate cytoskeletal dynamics.

PINCH 1 and 2 show connections with cancer progression and organ fibrosis. Their expression levels often change in some cancers impacting cell migration and invasion. They also link to fibrosis by influencing extracellular matrix remodeling. Through diseases like cancer PINCH proteins interact with other molecules such as focal adhesion kinase which contributes to altered cell signaling and structure observed in tumor cells and fibrotic tissues.

Product protocols

For this product, it's our understanding that no specific protocols are required. You can visit:

Target data

Within the IPP (ILK-PINCH-PARVIN) complex, binds to F-actin, promoting F-actin bundling, a process required to generate force for actin cytoskeleton reorganization and subsequent dynamic cell adhesion events such as cell spreading and migration.
See full target information LIMS1

Additional targets

LIMS2

Publications (8)

Recent publications for all applications. Explore the full list and refine your search

British journal of pharmacology 181:3098-3117 PubMed38698737

2024

HIF-1α and adaptor protein LIM and senescent cell antigen-like domains protein 1 axis promotes tubulointerstitial fibrosis by interacting with vimentin in angiotensin II-induced hypertension.

Applications

Unspecified application

Species

Unspecified reactive species

Wei-Jie Ni,Zuo-Lin Li,Xian-Li Wen,Jia-Ling Ji,Hong Liu,Qing Yin,Liang-Yun-Zi Jiang,Yi-Lin Zhang,Yi Wen,Tao-Tao Tang,Wei Jiang,Lin-Li Lv,Wei-Hua Gan,Bi-Cheng Liu,Bin Wang

Journal of orthopaedic translation 40:58-71 PubMed37457310

2023

Osteocyte β3 integrin promotes bone mass accrual and force-induced bone formation in mice.

Applications

Unspecified application

Species

Unspecified reactive species

Lei Qin,Zecai Chen,Dazhi Yang,Tailin He,Zhen Xu,Peijun Zhang,Di Chen,Weihong Yi,Guozhi Xiao

Developmental cell 58:522-534.e7 PubMed36924770

2023

Identifying constitutive and context-specific molecular-tension-sensitive protein recruitment within focal adhesions.

Applications

Unspecified application

Species

Unspecified reactive species

Arnold Tao,Andrew S LaCroix,T Curtis Shoyer,Vidya Venkatraman,Karen L Xu,Bradley Feiger,Brenton D Hoffman

Frontiers in cell and developmental biology 11:1116128 PubMed36743414

2023

Brief research report: Effects of Pinch deficiency on cartilage homeostasis in adult mice.

Applications

Unspecified application

Species

Unspecified reactive species

Xiaohao Wu,Sixiong Lin,Rongdong Liao,Qing Yao,Lijun Lin,Xuenong Zou,Guozhi Xiao

Experimental and therapeutic medicine 23:62 PubMed34934433

2021

PINCH1 knockout aggravates myocardial infarction in mice via mediating the NF-κB signaling pathway.

Applications

Unspecified application

Species

Unspecified reactive species

Xuejun Wang,Jinwen Su,Zhikang Lin,Kangyong Liu,Yu Zhuang

Nature communications 11:4913 PubMed33004813

2020

PINCH-1 regulates mitochondrial dynamics to promote proline synthesis and tumor growth.

Applications

Unspecified application

Species

Unspecified reactive species

Ling Guo,Chunhong Cui,Jiaxin Wang,Jifan Yuan,Qingyang Yang,Ping Zhang,Wen Su,Ruolu Bao,Jingchao Ran,Chuanyue Wu

Molecular biology of the cell 28:1467-1488 PubMed28381423

2017

Integrin-mediated traction force enhances paxillin molecular associations and adhesion dynamics that increase the invasiveness of tumor cells into a three-dimensional extracellular matrix.

Applications

Unspecified application

Species

Unspecified reactive species

Armen H Mekhdjian,FuiBoon Kai,Matthew G Rubashkin,Louis S Prahl,Laralynne M Przybyla,Alexandra L McGregor,Emily S Bell,J Matthew Barnes,Christopher C DuFort,Guanqing Ou,Alice C Chang,Luke Cassereau,Steven J Tan,Michael W Pickup,Jonathan N Lakins,Xin Ye,Michael W Davidson,Jan Lammerding,David J Odde,Alexander R Dunn,Valerie M Weaver

Proteomics 12:203-25 PubMed22253135

2012

The interactome of LIM domain proteins: the contributions of LIM domain proteins to heart failure and heart development.

Applications

Unspecified application

Species

Unspecified reactive species

Amy Li,Fredrik Ponten,Cristobal G dos Remedios
View all publications

Product promise

We are committed to supporting your work with high-quality reagents, and we're here for you every step of the way. In the unlikely event that one of our products does not perform as expected, you're protected by our Product Promise.
For full details, please see our Terms & Conditions

Please note: All products are 'FOR RESEARCH USE ONLY. NOT FOR USE IN DIAGNOSTIC OR THERAPEUTIC PROCEDURES'.

For licensing inquiries, please contact partnerships@abcam.com