JavaScript is disabled in your browser. Please enable JavaScript to view this website.
AB272666

Anti-PINCH-2 antibody

Be the first to review this product! Submit a review

|

(2 Publications)

Rabbit Polyclonal PINCH-2 antibody. Suitable for IHC-P, WB, ICC/IF and reacts with Human samples. Cited in 2 publications. Immunogen corresponding to Recombinant Fragment Protein within Human LIMS2 aa 300 to C-terminus.

View Alternative Names

PINCH2, LIMS2, LIM and senescent cell antigen-like-containing domain protein 2, LIM-like protein 2, Particularly interesting new Cys-His protein 2, PINCH-2

6 Images
Immunohistochemistry (Formalin/PFA-fixed paraffin-embedded sections) - Anti-PINCH-2 antibody (AB272666)
  • IHC-P

Unknown

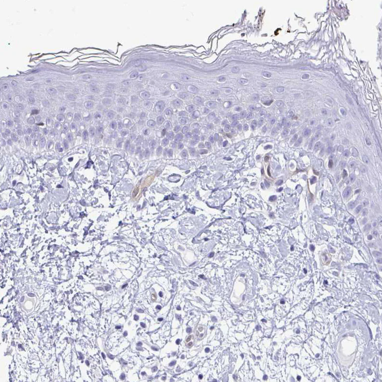
Immunohistochemistry (Formalin/PFA-fixed paraffin-embedded sections) - Anti-PINCH-2 antibody (AB272666)

Paraffin-embedded formalin-fixed human skin tissue stained for PINCH-2 using ab272666 at 1/500 dilution in immunohistochemical analysis.

Immunohistochemistry (Formalin/PFA-fixed paraffin-embedded sections) - Anti-PINCH-2 antibody (AB272666)
  • IHC-P

Unknown

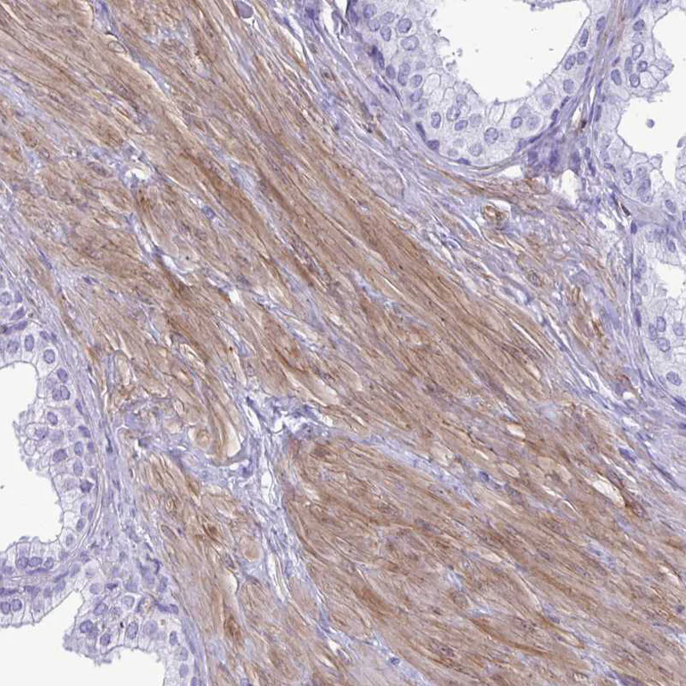
Immunohistochemistry (Formalin/PFA-fixed paraffin-embedded sections) - Anti-PINCH-2 antibody (AB272666)

Paraffin-embedded formalin-fixed human prostate tissue stained for PINCH-2 using ab272666 at 1/500 dilution in immunohistochemical analysis.

Immunocytochemistry/ Immunofluorescence - Anti-PINCH-2 antibody (AB272666)
  • ICC/IF

Unknown

Immunocytochemistry/ Immunofluorescence - Anti-PINCH-2 antibody (AB272666)

PFA fixed, Triton X-100 permeablized BJ cells (human skin fibroblast cell line) labeling PINCH-2 (green) using ab272666 at 2 ug/ml in ICC/IF analysis.

Immunohistochemistry (Formalin/PFA-fixed paraffin-embedded sections) - Anti-PINCH-2 antibody (AB272666)
  • IHC-P

Unknown

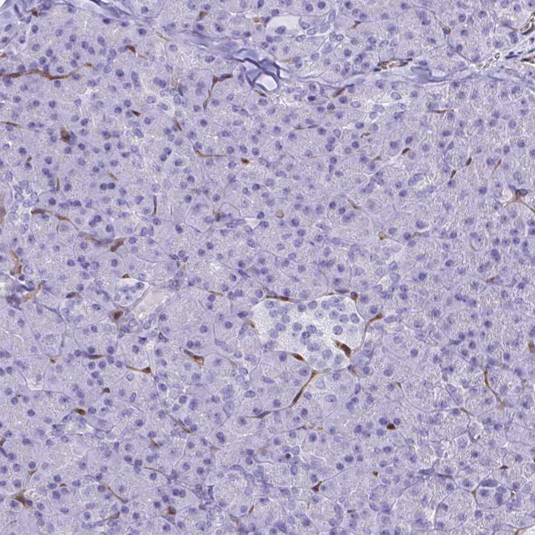
Immunohistochemistry (Formalin/PFA-fixed paraffin-embedded sections) - Anti-PINCH-2 antibody (AB272666)

Paraffin-embedded formalin-fixed human pancreas tissue stained for PINCH-2 using ab272666 at 1/500 dilution in immunohistochemical analysis. Shows low expression as expected.

Immunohistochemistry (Formalin/PFA-fixed paraffin-embedded sections) - Anti-PINCH-2 antibody (AB272666)
  • IHC-P

Unknown

Immunohistochemistry (Formalin/PFA-fixed paraffin-embedded sections) - Anti-PINCH-2 antibody (AB272666)

Paraffin-embedded formalin-fixed human kidney tissue stained for PINCH-2 using ab272666 at 1/500 dilution in immunohistochemical analysis.

Western blot - Anti-PINCH-2 antibody (AB272666)
  • WB

Unknown

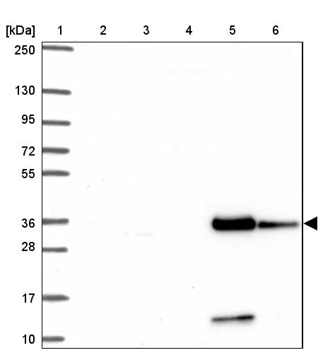
Western blot - Anti-PINCH-2 antibody (AB272666)

Lane 1:

Western blot - Anti-PINCH-2 antibody (ab272666)

Lanes 2 - 6:

Western blot - Anti-PINCH-2 antibody (ab272666) at 0.4 µg/mL

Lane 1:

Molecular Weight ladder

Lane 2:

RT4 cells (Human urinary bladder cancer cell line)

Lane 3:

U-251 MG cells (Human brain glioma cell line)

Lane 4:

Human plasma (IgG/HSA depleted)

Lane 5:

Human liver tissue

Lane 6:

Human tonsil tissue

Predicted band size: 39 kDa

false

Key facts

Host species

Rabbit

Clonality

Polyclonal

Isotype

IgG

Carrier free

No

Reacts with

Human

Applications

IHC-P, WB, ICC/IF

applications

Immunogen

Recombinant Fragment Protein within Human LIMS2 aa 300 to C-terminus. The exact immunogen used to generate this antibody is proprietary information.

Q7Z4I7

Reactivity data

{ "title": "Reactivity Data", "filters": { "stats": ["", "Species", "Dilution Info", "Notes"], "tabs": { "all-applications": {"fullname" : "All Applications", "shortname": "All Applications"}, "IHCP" : {"fullname" : "Immunohistochemistry (Formalin/PFA-fixed paraffin-embedded sections)", "shortname":"IHC-P"}, "WB" : {"fullname" : "Western blot", "shortname":"WB"}, "ICCIF" : {"fullname" : "Immunocytochemistry/ Immunofluorescence", "shortname":"ICC/IF"} }, "product-promise": { "all": "all", "testedAndGuaranteed": "tested", "guaranteed": "expected", "predicted": "predicted", "notRecommended": "not-recommended" } }, "values": { "Human": { "IHCP-species-checked": "testedAndGuaranteed", "IHCP-species-dilution-info": "1/500 - 1/1000", "IHCP-species-notes": "<p></p> Perform heat-mediated antigen retrieval with citrate buffer pH 6 before commencing with IHC staining protocol.", "WB-species-checked": "testedAndGuaranteed", "WB-species-dilution-info": "0.04-0.4 µg/mL", "WB-species-notes": "<p></p>", "ICCIF-species-checked": "testedAndGuaranteed", "ICCIF-species-dilution-info": "0.25-2 µg/mL", "ICCIF-species-notes": "<p></p>" } } }

Properties and storage information

Form
Liquid
Purification technique
Affinity purification Immunogen
Storage buffer
pH: 7.2 Preservative: 0.02% Sodium azide Constituents: PBS, 40% Glycerol (glycerin, glycerine)
Shipped at conditions
Blue Ice
Appropriate short-term storage duration
1-2 weeks
Appropriate short-term storage conditions
+4°C
Appropriate long-term storage conditions
-20°C
Aliquoting information
Upon delivery aliquot
Storage information
Avoid freeze / thaw cycle

Supplementary information

This supplementary information is collated from multiple sources and compiled automatically.

PINCH 2 also known as LIMS2 is a protein that interacts with integrins and other cytoskeletal proteins facilitating cell-extracellular matrix adhesion and signaling. The protein has an approximate mass of 37 kDa. Expression of PINCH 2 occurs widely but it is most notably present in tissues such as the heart and skeletal muscles indicating a possible role in muscular function and development.
Biological function summary

PINCH 2 plays an essential role in the formation and maintenance of integrin-linked complexes. It works by interacting with other components like integrins and ILK (integrin-linked kinase). As part of this complex PINCH 2 supports cellular processes like adhesion and motility that are important for tissue structure and repair. The protein's specific function in teaming with other structural proteins aids in reinforcing cell-surrounding contacts contributing to stable tissue architecture.

Pathways

PINCH 2 shows importance in the Focal Adhesion and MAPK signaling pathways which manage cell movement and response to external stimuli. PINCH 2 acts alongside proteins like ILK and Paxillin establishing tight adhesion points important for signal transduction. The MAPK pathway also connects PINCH 2 to the regulation of cell proliferation survival and differentiation through its nexus with integrins and linked signaling molecules.

PINCH 2's malfunction implicates it in muscular dystrophy and some cardiac disorders. Disruption in PINCH 2 or its pathway partners such as ILK can lead to impaired muscle repair and function contributing to muscular degenerative conditions. The involvement of PINCH 2 in cardiac disorders ties it to potential defects in cardiac muscle structure and function which can lead to heart disease.

Product protocols

For this product, it's our understanding that no specific protocols are required. You can visit:

Target data

Adapter protein in a cytoplasmic complex linking beta-integrins to the actin cytoskeleton, bridges the complex to cell surface receptor tyrosine kinases and growth factor receptors. Plays a role in modulating cell spreading and migration.
See full target information LIMS2

Publications (2)

Recent publications for all applications. Explore the full list and refine your search

Journal of oncology 2022:4811260 PubMed36276291

2022

is Downregulated in Osteosarcoma and Inhibits Cell Growth and Migration.

Applications

Unspecified application

Species

Unspecified reactive species

Chenying Su,Xiaona Cai,Taotao Xu,Yungang Wu,Licong Wang,Pinjie Chen,Chenxian Su

Experimental biology and medicine (Maywood, N.J.) 245:1656-1663 PubMed32752897

2020

Fluid shear stress modulates endothelial inflammation by targeting LIMS2.

Applications

Unspecified application

Species

Unspecified reactive species

Junyao Wang,Shiyanjin Zhang
View all publications

Product promise

We are committed to supporting your work with high-quality reagents, and we're here for you every step of the way. In the unlikely event that one of our products does not perform as expected, you're protected by our Product Promise.
For full details, please see our Terms & Conditions

Please note: All products are 'FOR RESEARCH USE ONLY. NOT FOR USE IN DIAGNOSTIC OR THERAPEUTIC PROCEDURES'.

For licensing inquiries, please contact partnerships@abcam.com