JavaScript is disabled in your browser. Please enable JavaScript to view this website.
AB224323

Anti-Pinkbar antibody

Be the first to review this product! Submit a review

|

(3 Publications)

Rabbit Polyclonal Pinkbar antibody. Suitable for IHC-P and reacts with Human samples. Cited in 3 publications. Immunogen corresponding to Recombinant Fragment Protein within Human BAIAP2L2 aa 350-500.

View Alternative Names

UNQ9336/PRO34007, BAIAP2L2, BAR/IMD domain-containing adapter protein 2-like 2, Brain-specific angiogenesis inhibitor 1-associated protein 2-like protein 2, Planar intestinal- and kidney-specific BAR domain protein, BAI1-associated protein 2-like protein 2, Pinkbar

1 Images
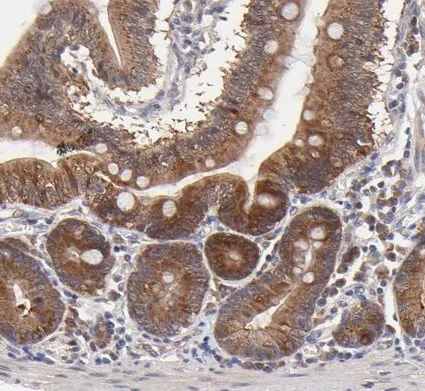
Immunohistochemistry (Formalin/PFA-fixed paraffin-embedded sections) - Anti-Pinkbar antibody (AB224323)
  • IHC-P

Supplier Data

Immunohistochemistry (Formalin/PFA-fixed paraffin-embedded sections) - Anti-Pinkbar antibody (AB224323)

Paraffin-embedded human small intestine tissue stained for Pinkbar using ab224323 at 1/50 dilution in immunohistochemical analysis.

Key facts

Host species

Rabbit

Clonality

Polyclonal

Isotype

IgG

Carrier free

No

Reacts with

Human

Applications

IHC-P

applications

Immunogen

Recombinant Fragment Protein within Human BAIAP2L2 aa 350-500. The exact immunogen used to generate this antibody is proprietary information.

Q6UXY1

Reactivity data

{ "title": "Reactivity Data", "filters": { "stats": ["", "Species", "Dilution Info", "Notes"], "tabs": { "all-applications": {"fullname" : "All Applications", "shortname": "All Applications"}, "IHCP" : {"fullname" : "Immunohistochemistry (Formalin/PFA-fixed paraffin-embedded sections)", "shortname":"IHC-P"} }, "product-promise": { "all": "all", "testedAndGuaranteed": "tested", "guaranteed": "expected", "predicted": "predicted", "notRecommended": "not-recommended" } }, "values": { "Human": { "IHCP-species-checked": "testedAndGuaranteed", "IHCP-species-dilution-info": "1/50.00000 - 1/200.00000", "IHCP-species-notes": "<p></p> Perform heat-mediated antigen retrieval with citrate buffer pH 6 before commencing with IHC staining protocol." } } }

Properties and storage information

Form
Liquid
Purification technique
Affinity purification Immunogen
Storage buffer
pH: 7.2 Preservative: 0.02% Sodium azide Constituents: PBS, 40% Glycerol (glycerin, glycerine)
Shipped at conditions
Blue Ice
Appropriate short-term storage duration
1-2 weeks
Appropriate short-term storage conditions
+4°C
Appropriate long-term storage conditions
-20°C
Aliquoting information
Upon delivery aliquot
Storage information
Avoid freeze / thaw cycle

Supplementary information

This supplementary information is collated from multiple sources and compiled automatically.

The protein known as Pinkbar alternatively termed F-BAR domain containing 1 (F-BAR1) plays a mechanical role in membrane curvature modulation. Pinkbar is distinguished by its unique ability to form flat membrane protrusions unlike its BAR domain-containing relatives that create tubular structures. The protein has an approximate mass of 35 kDa and expresses widely with significant levels in intestinal epithelial cells. Its interaction with the actin cytoskeleton suggests a role in structural cell processes.
Biological function summary

Pinkbar influences the organization of the cell membrane and cytoskeletal dynamics. It integrates into membrane remodeling activities facilitating alterations in cell shape and motility. Pinkbar also participates as part of a larger protein complex that coordinates actin filament assembly. By binding to phospholipids and interacting with other cytoskeletal proteins Pinkbar conducts changes essential for cellular mechanical stability and communication.

Pathways

Pinkbar merges into cellular processes involving the actin cytoskeleton and the endocytosis pathway. The protein's performance in these pathways ensures efficient membrane-trafficking events and cell motility regulation. Pinkbar collaborates with proteins like actin and cortactin reinforcing the structural framework necessary for the upkeep of cellular architecture and endocytic functionality.

Pinkbar connects to conditions like intestinal inflammation and colorectal cancer. Its function in maintaining epithelial cell integrity underpins its role in disease; irregular activity can result in tissue damage or cancer progression. In intestinal inflammation Pinkbar interacts with proteins such as E-cadherin where disruptions in these interactions lead to compromised cell adhesion and increased disease susceptibility.

Product protocols

For this product, it's our understanding that no specific protocols are required. You can visit:

Target data

Phosphoinositides-binding protein that induces the formation of planar or gently curved membrane structures. Binds to phosphoinositides, including to phosphatidylinositol 4,5-bisphosphate (PtdIns(4,5)P2) headgroups. There seems to be no clear preference for a specific phosphoinositide (By similarity).
See full target information BAIAP2L2

Publications (3)

Recent publications for all applications. Explore the full list and refine your search

Molecular biology of the cell 33:br6 PubMed35044843

2022

Ca entry through mechanotransduction channels localizes BAIAP2L2 to stereocilia tips.

Applications

Unspecified application

Species

Unspecified reactive species

Julia Halford,Michael Bateschell,Peter G Barr-Gillespie

Journal of bone oncology 31:100393 PubMed34786330

2021

BAIAP2L2 promotes the proliferation, migration and invasion of osteosarcoma associated with the Wnt/β-catenin pathway.

Applications

Unspecified application

Species

Unspecified reactive species

Hongting Guo,Jing Peng,Juan Hu,Shichuan Chang,Huawen Liu,Hao Luo,Xiaohua Chen,Haiping Tang,Youhao Chen

The Journal of physiology 599:1173-1198 PubMed33151556

2020

Loss of Baiap2l2 destabilizes the transducing stereocilia of cochlear hair cells and leads to deafness.

Applications

Unspecified application

Species

Unspecified reactive species

Adam J Carlton,Julia Halford,Anna Underhill,Jing-Yi Jeng,Matthew R Avenarius,Merle L Gilbert,Federico Ceriani,Kimimuepigha Ebisine,Steve D M Brown,Michael R Bowl,Peter G Barr-Gillespie,Walter Marcotti
View all publications

Product promise

We are committed to supporting your work with high-quality reagents, and we're here for you every step of the way. In the unlikely event that one of our products does not perform as expected, you're protected by our Product Promise.
For full details, please see our Terms & Conditions

Associated Products

Select an associated product type
Alternative Product
Primary Antibodies

AB135897

Anti-Pinkbar antibody

primary-antibodies

pinkbar-antibody-ab135897

2

(2 reviews)

Please note: All products are 'FOR RESEARCH USE ONLY. NOT FOR USE IN DIAGNOSTIC OR THERAPEUTIC PROCEDURES'.

For licensing inquiries, please contact partnerships@abcam.com