JavaScript is disabled in your browser. Please enable JavaScript to view this website.
AB11039

Anti-PIP2 antibody [2C11]

4

(4 Reviews)

|

(32 Publications)

Anti-PIP2 antibody [2C11] is a mouse monoclonal antibody is used to detect PIP2 in ICC/IF, IHC-P, ELISA and Neutralization.

- Cited in over 20 publications
7 Images
Immunocytochemistry/ Immunofluorescence - Anti-PIP2 antibody [2C11] (AB11039)
  • ICC/IF

PubMed

Immunocytochemistry/ Immunofluorescence - Anti-PIP2 antibody [2C11] (AB11039)

Immunofluorescence analysis of Human SaOS-2 (Human osteosarcoma) cells, staining PIP2 with ab11039. Cells were either unstimulated (upper panel) or stimulated with direct current (lower panel).

Cells were fixed in formaldehyde, permeabilized and then blocked with 1% BSA for 20 min. Cells were then incubated with a primary antibody (1/200) overnight at 4°C. A FITC-conjugated anti-mouse IgG was used as the secondary antibody.

Image from Ozkucur N et al., BMC Cell Biol. 2011 Jan 22;12:4. Fig S4.; doi:10.1186/1471-2121-12-4; 22 January, 2011, BMC Cell Biology 2011, 12:4

Immunocytochemistry - Anti-PIP2 antibody [2C11] (AB11039)
  • ICC

AbReview79509****

Immunocytochemistry - Anti-PIP2 antibody [2C11] (AB11039)

Immunocytochemistry analysis of methanol-fixed 0.3% tritonX-100 permeabilized Bone Osteosarcoma Epithelial Cells staining with ab11039 at 1/200. Secondary antibody was Cy3® anti-mouse at 1/300 dilution. Samples were incubated with the primary antibody for 16 hours at 4°C. Blocking was done using 5% serum for 1 hour at 25°C.

This image is courtesy of an anonymous Abreview

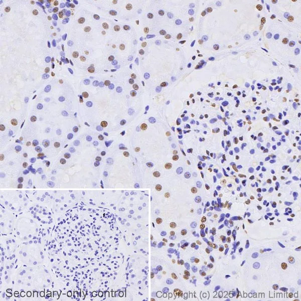
Immunohistochemistry (Formalin/PFA-fixed paraffin-embedded sections) - Anti-PIP2 antibody [2C11] (AB11039)
  • IHC-P

Lab

Immunohistochemistry (Formalin/PFA-fixed paraffin-embedded sections) - Anti-PIP2 antibody [2C11] (AB11039)

IHC image of PIP2 staining in Human Normal Kidney formalin fixed paraffin embedded tissue section*.

Performed on a Leica BONDTM system using the standard protocol F. The section was pre-treated using heat mediated antigen retrieval with sodium citrate buffer (pH 6.0, epitope retrieval solution 1) for 20mins. The section was then incubated with ab11039 at 5μg/ml, for 15 mins at room temperature and detected using an HRP conjugated compact polymer system. DAB was used as the chromogen. The section was then counterstained with haematoxylin and mounted with DPX. The inset secondary-only image is taken from an identical assay without primary antibody.

For other IHC staining systems (automated and non-automated) customers should optimize variable parameters such as antigen retrieval conditions, primary antibody concentration and antibody incubation times.

*Tissue obtained from the Human Research Tissue Bank, supported by the NIHR Cambridge Biomedical Research Centre.

Although PIP2 is typically known as a signaling lipid located at the plasma membrane, recent researches has shown that it also plays important roles within the nucleus (PMID : 39621780, PMID : 31261688).

Immunohistochemistry (Formalin/PFA-fixed paraffin-embedded sections) - Anti-PIP2 antibody [2C11] (AB11039)
  • IHC-P

Lab

Immunohistochemistry (Formalin/PFA-fixed paraffin-embedded sections) - Anti-PIP2 antibody [2C11] (AB11039)

IHC image of PIP2 staining in Mouse Normal brain formalin fixed paraffin embedded tissue section.

Performed on a Leica BONDTM system using the standard protocol F. The section was pre-treated using heat mediated antigen retrieval with sodium citrate buffer (pH 6.0, epitope retrieval solution 1) for 20mins. The section was then incubated with ab11039 at 5μg/ml, for 15 mins at room temperature and detected using an HRP conjugated compact polymer system. DAB was used as the chromogen. The section was then counterstained with haematoxylin and mounted with DPX. The inset secondary-only image is taken from an identical assay without primary antibody.

For other IHC staining systems (automated and non-automated) customers should optimize variable parameters such as antigen retrieval conditions, primary antibody concentration and antibody incubation times.

Although PIP2 is typically known as a signaling lipid located at the plasma membrane, recent researches has shown that it also plays important roles within the nucleus (PMID : 39621780, PMID : 31261688).

Immunocytochemistry/ Immunofluorescence - Anti-PIP2 antibody [2C11] (AB11039)
  • ICC/IF

Unknown

Immunocytochemistry/ Immunofluorescence - Anti-PIP2 antibody [2C11] (AB11039)

ICC/IF image of ab11039 stained human HepG2 cells. The cells were 4% PFA fixed (10 min) and then incubated in 1%BSA / 10% normal goat serum / 0.3M glycine in 0.1% PBS-Tween for 1h to permeabilise the cells and block non-specific protein-protein interactions. The cells were then incubated with the antibody (ab11039, 5 μg/ml) overnight at +4°C.

The secondary antibody (green) was Alexa Fluor® 488 goat anti-mouse IgM (H+L) used at a 1/1000 dilution for 1h. Alexa Fluor® 594 WGA was used to label plasma membranes (red) at a 1/200 dilution for 1h. DAPI was used to stain the cell nuclei (blue). This antibody also gave a positive IF result in HeLa, Hek293 and MCF7 cells.

Immunohistochemistry (Formalin/PFA-fixed paraffin-embedded sections) - Anti-PIP2 antibody [2C11] (AB11039)
  • IHC-P

Lab

Immunohistochemistry (Formalin/PFA-fixed paraffin-embedded sections) - Anti-PIP2 antibody [2C11] (AB11039)

IHC image of PIP2 staining in mouse normal brain formalin fixed paraffin embedded tissue section. The section was pre-treated using pressure cooker heat mediated antigen retrieval with sodium citrate buffer (pH6) for 30mins. The section was incubated with ab11039, 1μg/ml overnight at +4°C. An HRP-conjugated secondary (ab98679, 1/1000 dilution) was used for 1hr at room temperature. The section was counterstained with haematoxylin and mounted with DPX.

Immunohistochemistry (Formalin/PFA-fixed paraffin-embedded sections) - Anti-PIP2 antibody [2C11] (AB11039)
  • IHC-P

Lab

Immunohistochemistry (Formalin/PFA-fixed paraffin-embedded sections) - Anti-PIP2 antibody [2C11] (AB11039)

IHC image of PIP2 staining in a formalin fixed, paraffin embedded human normal kidney tissue section*, performed on a Leica Bond™ system using the standard protocol F. The section was pre-treated using heat mediated antigen retrieval with sodium citrate buffer (pH6, epitope retrieval solution 1) for 20 mins. The section was then incubated with ab11039, 1μg/ml, for 15 mins at room temperature and detected using an HRP conjugated compact polymer system. DAB was used as the chromogen. The section was then counterstained with haematoxylin and mounted with DPX.

For other IHC staining systems (automated and non-automated) customers should optimize variable parameters such as antigen retrieval conditions, primary antibody concentration and antibody incubation times.

*Tissue obtained from the Human Research Tissue Bank, supported by the NIHR Cambridge Biomedical Research Centre

Key facts

Host species

Mouse

Clonality

Monoclonal

Clone number

2C11

Isotype

IgM

Carrier free

No

Reacts with

Human, Mouse

Applications

ELISA, FuncS (Neut/Block), IHC-P, ICC/IF

applications

Immunogen

The exact immunogen used to generate this antibody is proprietary information.

Reactivity data

{ "title": "Reactivity Data", "filters": { "stats": ["", "Species", "Dilution Info", "Notes"], "tabs": { "all-applications": {"fullname" : "All Applications", "shortname": "All Applications"}, "ICCIF" : {"fullname" : "Immunocytochemistry/ Immunofluorescence", "shortname":"ICC/IF"}, "IHCP" : {"fullname" : "Immunohistochemistry (Formalin/PFA-fixed paraffin-embedded sections)", "shortname":"IHC-P"}, "ELISA" : {"fullname" : "ELISA", "shortname":"ELISA"}, "FuncSNeutBlock" : {"fullname" : "Functional Studies (Neut/Block)", "shortname":"FuncS (Neut/Block)"} }, "product-promise": { "all": "all", "testedAndGuaranteed": "tested", "guaranteed": "expected", "predicted": "predicted", "notRecommended": "not-recommended" } }, "values": { "Human": { "ICCIF-species-checked": "guaranteed", "ICCIF-species-dilution-info": "", "ICCIF-species-notes": "", "IHCP-species-checked": "testedAndGuaranteed", "IHCP-species-dilution-info": "1-5 µg/mL", "IHCP-species-notes": "<p></p> Perform heat-mediated antigen retrieval with citrate buffer pH 6 before commencing with IHC staining protocol.", "ELISA-species-checked": "predicted", "ELISA-species-dilution-info": "", "ELISA-species-notes": "", "FuncSNeutBlock-species-checked": "predicted", "FuncSNeutBlock-species-dilution-info": "", "FuncSNeutBlock-species-notes": "" }, "Mouse": { "ICCIF-species-checked": "guaranteed", "ICCIF-species-dilution-info": "", "ICCIF-species-notes": "", "IHCP-species-checked": "testedAndGuaranteed", "IHCP-species-dilution-info": "1-5 µg/mL", "IHCP-species-notes": "<p></p> Perform heat-mediated antigen retrieval with citrate buffer pH 6 before commencing with IHC staining protocol.", "ELISA-species-checked": "predicted", "ELISA-species-dilution-info": "", "ELISA-species-notes": "", "FuncSNeutBlock-species-checked": "predicted", "FuncSNeutBlock-species-dilution-info": "", "FuncSNeutBlock-species-notes": "" }, "Chemical": { "ICCIF-species-checked": "testedAndGuaranteed", "ICCIF-species-dilution-info": "1-5 µg/mL", "ICCIF-species-notes": "<p>Fixation with 100% MeOH (5 min) or 4% PFA (10 min).</p>", "IHCP-species-checked": "testedAndGuaranteed", "IHCP-species-dilution-info": "1-5 µg/mL", "IHCP-species-notes": "<p></p> Perform heat-mediated antigen retrieval with citrate buffer pH 6 before commencing with IHC staining protocol.", "ELISA-species-checked": "guaranteed", "ELISA-species-dilution-info": "", "ELISA-species-notes": "<p></p>", "FuncSNeutBlock-species-checked": "guaranteed", "FuncSNeutBlock-species-dilution-info": "", "FuncSNeutBlock-species-notes": "<p></p>" } } }

Product details

Want a custom formulation?
This antibody clone is manufactured by Abcam. If you require a custom buffer formulation or conjugation for your experiments, please contact orders@abcam.com

Properties and storage information

Form
Liquid
Purification technique
Affinity purification Protein A
Storage buffer
pH: 7.4 Preservative: 0.02% Sodium azide Constituents: PBS
Shipped at conditions
Blue Ice
Appropriate short-term storage duration
1-2 weeks
Appropriate short-term storage conditions
+4°C
Appropriate long-term storage conditions
-20°C
Aliquoting information
Upon delivery aliquot
Storage information
Avoid freeze / thaw cycle

Supplementary information

This supplementary information is collated from multiple sources and compiled automatically.

PIP2 also known as phosphatidylinositol 45-bisphosphate is a minor phospholipid component found in the inner leaflet of the plasma membrane. It has a molecular mass of approximately 1000 Da. This lipid plays an important mechanistic role in cellular signaling by being a substrate for several important enzymes like phospholipase C (PLC) and phosphoinositide 3-kinase (PI3K). PIP2 is highly expressed in areas rich in cell signaling such as neurons and immune cells where it influences various cellular responses through its breakdown into second messengers.
Biological function summary

PIP2 participates in a wide range of cellular processes including the regulation of the actin cytoskeleton vesicle trafficking and ion channel function. As a part of the phosphoinositide signaling pathway PIP2 interacts with proteins to form complexes that alter cellular functions. For example it is involved in membrane ruffling and the internalization of membrane proteins. Through its conversion to diacylglycerol (DAG) and inositol trisphosphate (IP3) PIP2 activates protein kinase C (PKC) and calcium-dependent signaling influencing numerous physiological processes.

Pathways

PIP2 is embedded in several critical signal transduction pathways. Notably the phosphatidylinositol signaling system and the PI3K-AKT pathway link PIP2 with cellular proliferation survival and metabolism. Through enzymatic conversion PIP2 facilitates signal transduction cascades with proteins such as AKT and PTEN. These pathways play essential roles in ensuring proper cellular responses and maintaining homeostasis.

PIP2's altered metabolism or signaling can lead to various conditions such as cancer and neurodegenerative diseases. Cancer may arise due to deregulated PIP2 signaling and its effect on cell proliferation and survival with proteins like AKT being pivotal in this dysregulation. In neurodegenerative diseases like Alzheimer's PIP2 pathways may affect synaptic function and neuroinflammation linked with proteins including PLC. Understanding PIP2's involvement in these conditions aids in developing targeted therapies.

Product protocols

For this product, it's our understanding that no specific protocols are required. You can visit:

Publications (32)

Recent publications for all applications. Explore the full list and refine your search

International journal of molecular sciences 24: PubMed37240252

2023

Hamster Sperm Possess Functional Na/Ca-Exchanger 1: Its Implication in Hyperactivation.

Applications

Unspecified application

Species

Unspecified reactive species

Gen L Takei,Yuhei Ogura,Yoshihiro Ujihara,Fubito Toyama,Keitaro Hayashi,Tomoe Fujita

Science advances 9:eade8641 PubMed36724278

2023

PI5P4Kα supports prostate cancer metabolism and exposes a survival vulnerability during androgen receptor inhibition.

Applications

Unspecified application

Species

Unspecified reactive species

Joanna Triscott,Matthias Reist,Lukas Küng,Francielle C Mosele,Marika Lehner,John Gallon,Archna Ravi,Gurpreet K Arora,Simone de Brot,Mark Lundquist,Hector Gallart-Ayala,Julijana Ivanisevic,Salvatore Piscuoglio,Lewis C Cantley,Brooke M Emerling,Mark A Rubin

Cell adhesion & migration 17:1-13 PubMed36503402

2022

Dynamized ultra-low dilution of disrupts plasma membrane organization and decreases migration of melanoma cancer cell.

Applications

Unspecified application

Species

Unspecified reactive species

Camille Fuselier,Eleonore Dufay,Alexandre Berquand,Christine Terryn,Arnaud Bonnomet,Michael Molinari,Laurent Martiny,Christophe Schneider

The Journal of cell biology 221: PubMed36173379

2022

Cholesterol promotes clustering of PI(4,5)P2 driving unconventional secretion of FGF2.

Applications

Unspecified application

Species

Unspecified reactive species

Fabio Lolicato,Roberto Saleppico,Alessandra Griffo,Annalena Meyer,Federica Scollo,Bianca Pokrandt,Hans-Michael Müller,Helge Ewers,Hendrik Hähl,Jean-Baptiste Fleury,Ralf Seemann,Martin Hof,Britta Brügger,Karin Jacobs,Ilpo Vattulainen,Walter Nickel

Cell reports 40:111431 PubMed36170827

2022

Nanoscopic dopamine transporter distribution and conformation are inversely regulated by excitatory drive and D2 autoreceptor activity.

Applications

Unspecified application

Species

Unspecified reactive species

Matthew D Lycas,Aske L Ejdrup,Andreas T Sørensen,Nicolai O Haahr,Søren H Jørgensen,Daryl A Guthrie,Jonatan F Støier,Christian Werner,Amy Hauck Newman,Markus Sauer,Freja Herborg,Ulrik Gether

Nature communications 13:3544 PubMed35729093

2022

Kir2.1-mediated membrane potential promotes nutrient acquisition and inflammation through regulation of nutrient transporters.

Applications

Unspecified application

Species

Unspecified reactive species

Weiwei Yu,Zhen Wang,Xiafei Yu,Yonghui Zhao,Zili Xie,Kailian Zhang,Zhexu Chi,Sheng Chen,Ting Xu,Danlu Jiang,Xingchen Guo,Mobai Li,Jian Zhang,Hui Fang,Dehang Yang,Yuxian Guo,Xuyan Yang,Xue Zhang,Yingliang Wu,Wei Yang,Di Wang

Journal of translational medicine 19:306 PubMed34266470

2021

The effect of IL-2 stimulation and treatment of TRPM3 on channel co-localisation with PIP and NK cell function in myalgic encephalomyelitis/chronic fatigue syndrome patients.

Applications

Unspecified application

Species

Unspecified reactive species

Natalie Eaton-Fitch,Hélène Cabanas,Stanley du Preez,Donald Staines,Sonya Marshall-Gradisnik

Cell reports 34:108842 PubMed33730593

2021

Synaptotagmin-1 interacts with PI(4,5)P2 to initiate synaptic vesicle docking in hippocampal neurons.

Applications

Unspecified application

Species

Unspecified reactive species

Yun Chen,Ying-Han Wang,Yi Zheng,Meijing Li,Bing Wang,Qiu-Wen Wang,Chong-Lei Fu,Yao-Nan Liu,Xueming Li,Jun Yao

Frontiers in cell and developmental biology 9:630654 PubMed33659254

2021

CFTR Deficiency Affects Glucose Homeostasis via Regulating GLUT4 Plasma Membrane Transportation.

Applications

Unspecified application

Species

Unspecified reactive species

Junzhong Gu,Weiwei Zhang,Lida Wu,Yuchun Gu

Nature communications 11:3298 PubMed32620747

2020

TMEM16K is an interorganelle regulator of endosomal sorting.

Applications

Unspecified application

Species

Unspecified reactive species

Maja Petkovic,Juan Oses-Prieto,Alma Burlingame,Lily Yeh Jan,Yuh Nung Jan
View all publications

Product promise

We are committed to supporting your work with high-quality reagents, and we're here for you every step of the way. In the unlikely event that one of our products does not perform as expected, you're protected by our Product Promise.
For full details, please see our Terms & Conditions

Please note: All products are 'FOR RESEARCH USE ONLY. NOT FOR USE IN DIAGNOSTIC OR THERAPEUTIC PROCEDURES'.

For licensing inquiries, please contact partnerships@abcam.com