JavaScript is disabled in your browser. Please enable JavaScript to view this website.
AB315090

Anti-PIP5K3/PIKFYVE antibody [EPR27944-21]

  • 20ul selling size
  • KO Validated
  • RabMAb
  • Recombinant
  • What is this?

Be the first to review this product! Submit a review

|

(0 Publication)

Rabbit Recombinant Monoclonal PIP5K3/PIKFYVE antibody. Suitable for WB and reacts with Human, Mouse, Rat samples.

View Alternative Names

KIAA0981, PIP5K3, PIKFYVE, 1-phosphatidylinositol 3-phosphate 5-kinase, Phosphatidylinositol 3-phosphate 5-kinase, FYVE finger-containing phosphoinositide kinase, PIKfyve, Phosphatidylinositol 3-phosphate 5-kinase type III, Serine-protein kinase PIKFYVE, PIPkin-III, Type III PIP kinase

4 Images
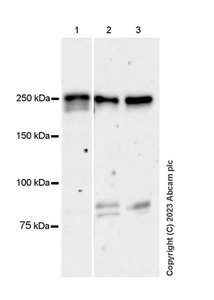
Western blot - Anti-PIP5K3/PIKFYVE antibody [EPR27944-21] (AB315090)
  • WB

Supplier Data

Western blot - Anti-PIP5K3/PIKFYVE antibody [EPR27944-21] (AB315090)

Blocking and diluting buffer and concentration : 5% NFDM/TBST.

Lysates were freshly made and used for Western blotting immediately to minimize protein degradation.

Exposure time : Lane 1 : 81 seconds; Lane2-3 : 180 seconds

All lanes:

Western blot - Anti-PIP5K3/PIKFYVE antibody [EPR27944-21] (ab315090) at 1/1000 dilution

Lane 1:

THP-1 (human monocytic leukemia monocyte) whole cell lysate at 20 µg

Lane 2:

RAW264.7 (mouse Abelson murine leukemia virus-induced tumor macrophage) whole cell lysate at 20 µg

Lane 3:

NR8383 (rat lung macrophage (alveolar)) whole cell lysate at 20 µg

Secondary

All lanes:

Western blot - Goat Anti-Rabbit IgG H&L (HRP) (<a href='/en-us/products/secondary-antibodies/goat-rabbit-igg-h-l-hrp-ab97051'>ab97051</a>) at 1/100000 dilution

Observed band size: 250 kDa

false

Western blot - Anti-PIP5K3/PIKFYVE antibody [EPR27944-21] (AB315090)
  • WB

Supplier Data

Western blot - Anti-PIP5K3/PIKFYVE antibody [EPR27944-21] (AB315090)

Blocking and diluting buffer and concentration : 5% NFDM/TBST.

In Western blot, Anti-Vinculin antibody [EPR8185] (ab129002) staining at 1/10000 dilution.

All lanes:

Western blot - Anti-PIP5K3/PIKFYVE antibody [EPR27944-21] (ab315090) at 1/1000 dilution

Lane 1:

HeLa (human cervical adenocarcinoma epithelial cell) transfected with scrambled siRNA control whole cell lysate at 20 µg

Lane 2:

HeLa transfected with siRNA specifically targeting PIKFYVE whole cell lysate at 20 µg

Secondary

All lanes:

Western blot - Goat Anti-Rabbit IgG H&L (HRP) (<a href='/en-us/products/secondary-antibodies/goat-rabbit-igg-h-l-hrp-ab97051'>ab97051</a>) at 1/100000 dilution

Observed band size: 250 kDa,124 kDa

false

Exposure time: 180s

Western blot - Anti-PIP5K3/PIKFYVE antibody [EPR27944-21] (AB315090)
  • WB

Lab

Western blot - Anti-PIP5K3/PIKFYVE antibody [EPR27944-21] (AB315090)

Western blot : Anti-PIKFYVE antibody (ab315090) staining at 1/1000 dilution, shown in green; Mouse anti-CANX [CANX/1543] (ab238078) loading control staining at 1/20000 dilution, shown in magenta. In Western blot, ab315090 was shown to bind specifically to PIKFYVE. A band was observed at 237 kDa in wild-type A549 cell lysates with no signal observed at this size in PIKFYVE knockout cell line. To generate this image, wild-type and PIKFYVE knockout A549 cell lysates were analysed. First, samples were run on an SDS-PAGE gel then transferred onto a nitrocellulose membrane. Membranes were blocked in 3 % milk in TBS-0.1 % Tween® 20 (TBS-T) before incubation with primary antibodies overnight at 4 °C. Blots were washed four times in TBS-T, incubated with secondary antibodies for 1 h at room temperature, washed again four times then imaged. Secondary antibodies used were Goat anti-Rabbit IgG H&L 800CW and Goat anti-Mouse IgG H&L 680RD at 1/20000 dilution.

All lanes:

Western blot - Anti-PIP5K3/PIKFYVE antibody [EPR27944-21] (ab315090) at 1/1000 dilution

Lane 1:

Wild-type A549 cell lysate at 20 µg

Lane 2:

Western blot - Human PIKFYVE Knockout A549 cell line (ab314965)

Lane 2:

PIKFYVE knockout A549 cell lysate at 20 µg

Lane 3:

HeLa UV treated (100 mJ/cm^2, 1 hr recovery, new, Branford) cell lysate at 20 µg

Lane 4:

HeLa UV treated (40 mJ/cm^2 30 min recovery), LAMBDA PHOS 4X, 2h cell lysate at 20 µg

Secondary

Lanes 1 - 4:

Goat anti-Rabbit IgG H&L 800CW at 1/20000 dilution

Lanes 1 - 4:

Goat anti-Mouse IgG H&L 680RD at 1/20000 dilution

Observed band size: 237 kDa

false

Western blot - Anti-PIP5K3/PIKFYVE antibody [EPR27944-21] (AB315090)
  • WB

Supplier Data

Western blot - Anti-PIP5K3/PIKFYVE antibody [EPR27944-21] (AB315090)

Blocking and diluting buffer and concentration : 5% NFDM/TBST.

Lysates were freshly made and used for Western blotting immediately to minimize protein degradation.

In Western blot, Anti-Vinculin antibody [EPR8185] (ab129002) staining at 1/10000 dilution.

All lanes:

Western blot - Anti-PIP5K3/PIKFYVE antibody [EPR27944-21] (ab315090) at 1/1000 dilution

Lane 1:

Mouse liver tissue lysate

Lane 2:

Mouse testis tissue lysate

Lane 3:

Mouse spleen tissue lysate

Lane 4:

Rat testis tissue lysate

Secondary

All lanes:

Western blot - Goat Anti-Rabbit IgG H&L (HRP) (<a href='/en-us/products/secondary-antibodies/goat-rabbit-igg-h-l-hrp-ab97051'>ab97051</a>) at 1/100000 dilution

Observed band size: 250 kDa,124 kDa

false

Exposure time: 180s

  • Carrier free

    Anti-PIP5K3/PIKFYVE antibody [EPR27944-21] - BSA and Azide free

Key facts

Host species

Rabbit

Clonality

Monoclonal

Clone number

EPR27944-21

Isotype

IgG

Carrier free

No

Reacts with

Human, Mouse, Rat

Applications

WB

applications

Immunogen

The exact immunogen used to generate this antibody is proprietary information.

Reactivity data

{ "title": "Reactivity Data", "filters": { "stats": ["", "Species", "Dilution Info", "Notes"], "tabs": { "all-applications": {"fullname" : "All Applications", "shortname": "All Applications"}, "WB" : {"fullname" : "Western blot", "shortname":"WB"}, "IHCP" : {"fullname" : "Immunohistochemistry (Formalin/PFA-fixed paraffin-embedded sections)", "shortname":"IHC-P"}, "ICCIF" : {"fullname" : "Immunocytochemistry/ Immunofluorescence", "shortname":"ICC/IF"}, "FlowCytIntra" : {"fullname" : "Flow Cytometry (Intracellular)", "shortname":"Flow Cyt (Intra)"}, "IP" : {"fullname" : "Immunoprecipitation", "shortname":"IP"} }, "product-promise": { "all": "all", "testedAndGuaranteed": "tested", "guaranteed": "expected", "predicted": "predicted", "notRecommended": "not-recommended" } }, "values": { "Human": { "WB-species-checked": "testedAndGuaranteed", "WB-species-dilution-info": "1/1000", "WB-species-notes": "<p></p>", "IHCP-species-checked": "notRecommended", "IHCP-species-dilution-info": "", "IHCP-species-notes": "<p></p>", "ICCIF-species-checked": "notRecommended", "ICCIF-species-dilution-info": "", "ICCIF-species-notes": "<p></p>", "FlowCytIntra-species-checked": "notRecommended", "FlowCytIntra-species-dilution-info": "", "FlowCytIntra-species-notes": "<p></p>", "IP-species-checked": "notRecommended", "IP-species-dilution-info": "", "IP-species-notes": "<p></p>" }, "Mouse": { "WB-species-checked": "testedAndGuaranteed", "WB-species-dilution-info": "1/1000", "WB-species-notes": "<p></p>", "IHCP-species-checked": "notRecommended", "IHCP-species-dilution-info": "", "IHCP-species-notes": "<p></p>", "ICCIF-species-checked": "notRecommended", "ICCIF-species-dilution-info": "", "ICCIF-species-notes": "", "FlowCytIntra-species-checked": "notRecommended", "FlowCytIntra-species-dilution-info": "", "FlowCytIntra-species-notes": "", "IP-species-checked": "notRecommended", "IP-species-dilution-info": "", "IP-species-notes": "" }, "Rat": { "WB-species-checked": "testedAndGuaranteed", "WB-species-dilution-info": "1/1000", "WB-species-notes": "<p></p>", "IHCP-species-checked": "notRecommended", "IHCP-species-dilution-info": "", "IHCP-species-notes": "<p></p>", "ICCIF-species-checked": "notRecommended", "ICCIF-species-dilution-info": "", "ICCIF-species-notes": "", "FlowCytIntra-species-checked": "notRecommended", "FlowCytIntra-species-dilution-info": "", "FlowCytIntra-species-notes": "", "IP-species-checked": "notRecommended", "IP-species-dilution-info": "", "IP-species-notes": "" } } }

Product details

Patented technology
Our RabMAb® technology is a patented hybridoma-based technology for making rabbit monoclonal antibodies. For details on our patents, please refer to RabMAb® patents.

What are the advantages of a recombinant monoclonal antibody?
This product is a recombinant monoclonal antibody, which offers several advantages including:

  • - High batch-to-batch consistency and reproducibility
  • - Improved sensitivity and specificity
  • - Long-term security of supply
  • - Animal-free batch production

For more information, read more on recombinant antibodies.

Properties and storage information

Form
Liquid
Purification technique
Affinity purification Protein A
Storage buffer
pH: 7.2 - 7.4 Preservative: 0.01% Sodium azide Constituents: PBS, 40% Glycerol (glycerin, glycerine), 0.05% BSA
Shipped at conditions
Blue Ice
Appropriate short-term storage duration
1-2 weeks
Appropriate short-term storage conditions
+4°C
Appropriate long-term storage conditions
-20°C
Aliquoting information
Upon delivery aliquot
Storage information
Avoid freeze / thaw cycle

Supplementary information

This supplementary information is collated from multiple sources and compiled automatically.

PIP5K3 also known as PIKFYVE is a lipid kinase with a significant role in the phosphorylation of phosphatidylinositol 3-phosphate to phosphatidylinositol (35)-bisphosphate. This protein weighs approximately 237 kDa and is predominantly expressed in the cytoplasm of a variety of cell types. Its enzymatic activity is essential for the maintenance of phosphatidylinositol 35-bisphosphate levels influencing membrane trafficking and endosomal function.
Biological function summary

PIP5K3/PIKFYVE functions as an important component in regulating endosomal dynamics. It is part of a complex with VAC14 and FIG4 which plays a significant role in endosomal membrane trafficking lysosome biogenesis and autophagy. The protein's expression aids in maintaining cellular homeostasis and modulating organelle identity within the endosomal-lysosomal system which is critical for normal cellular operations.

Pathways

PIP5K3/PIKFYVE integrates into the phosphatidylinositol signaling pathway and is important for proper endocytic trafficking. This protein interacts with key pathway constituents like Rab5 and Rab7 facilitating the transport of endosomes and impacting the process of autophagy. These interactions highlight the protein's centrality in the coordination of intracellular trafficking processes essential for cellular health.

PIP5K3/PIKFYVE mutations and dysregulation associate with rare disorders such as Charcot-Marie-Tooth disease and fleck corneal dystrophy. Abnormal functioning of PIP5K3/PIKFYVE can affect its complex partners FIG4 and VAC14 leading to neurodegenerative symptoms and defects in cell morphology. Studies reveal vulnerabilities in cellular pathways due to aberrations in this protein offering potential targets for therapeutic intervention.

Product protocols

For this product, it's our understanding that no specific protocols are required. You can visit:

Target data

Dual specificity kinase implicated in myriad essential cellular processes such as maintenance of endomembrane homeostasis, and endocytic-vacuolar pathway, lysosomal trafficking, nuclear transport, stress- or hormone-induced signaling and cell cycle progression (PubMed : 23086417). The PI(3,5)P2 regulatory complex regulates both the synthesis and turnover of phosphatidylinositol 3,5-bisphosphate (PtdIns(3,5)P2). Sole enzyme to catalyze the phosphorylation of phosphatidylinositol 3-phosphate on the fifth hydroxyl of the myo-inositol ring, to form (PtdIns(3,5)P2) (PubMed : 17556371). Also catalyzes the phosphorylation of phosphatidylinositol on the fifth hydroxyl of the myo-inositol ring, to form phosphatidylinositol 5-phosphate (PtdIns(5)P) (PubMed : 22621786). Has serine-protein kinase activity and is able to autophosphorylate and transphosphorylate. Autophosphorylation inhibits its own phosphatidylinositol 3-phosphate 5-kinase activity, stimulates FIG4 lipid phosphatase activity and down-regulates lipid product formation (PubMed : 33098764). Involved in key endosome operations such as fission and fusion in the course of endosomal cargo transport (PubMed : 22621786). Required for the maturation of early into late endosomes, phagosomes and lysosomes (PubMed : 30612035). Regulates vacuole maturation and nutrient recovery following engulfment of macromolecules, initiates the redistribution of accumulated lysosomal contents back into the endosome network (PubMed : 27623384). Critical regulator of the morphology, degradative activity, and protein turnover of the endolysosomal system in macrophages and platelets (By similarity). In neutrophils, critical to perform chemotaxis, generate ROS, and undertake phagosome fusion with lysosomes (PubMed : 28779020). Plays a key role in the processing and presentation of antigens by major histocompatibility complex class II (MHC class II) mediated by CTSS (PubMed : 30612035). Regulates melanosome biogenesis by controlling the delivery of proteins from the endosomal compartment to the melanosome (PubMed : 29584722). Essential for systemic glucose homeostasis, mediates insulin-induced signals for endosome/actin remodeling in the course of GLUT4 translocation/glucose uptake activation (By similarity). Supports microtubule-based endosome-to-trans-Golgi network cargo transport, through association with SPAG9 and RABEPK (By similarity). Mediates EGFR trafficking to the nucleus (PubMed : 17909029).. (Microbial infection) Required for cell entry of coronaviruses SARS-CoV and SARS-CoV-2, as well as human coronavirus EMC (HCoV-EMC) by endocytosis.
See full target information PIKFYVE

Product promise

We are committed to supporting your work with high-quality reagents, and we're here for you every step of the way. In the unlikely event that one of our products does not perform as expected, you're protected by our Product Promise.
For full details, please see our Terms & Conditions

Please note: All products are 'FOR RESEARCH USE ONLY. NOT FOR USE IN DIAGNOSTIC OR THERAPEUTIC PROCEDURES'.

For licensing inquiries, please contact partnerships@abcam.com