JavaScript is disabled in your browser. Please enable JavaScript to view this website.
AB284411

Anti-PIRB antibody [EPR24885-18] - BSA and Azide free

Be the first to review this product! Submit a review

|

(0 Publication)

Rabbit Recombinant Monoclonal LIRB3 antibody. Carrier free. Suitable for ICC/IF, IP, WB, IHC-P, IHC-Fr and reacts with Mouse samples.

View Alternative Names

Pirb, Lilrb3, Leukocyte immunoglobulin-like receptor subfamily B member 3, LIR-3, Leukocyte immunoglobulin-like receptor 3, Cell-surface glycoprotein p91, Paired immunoglobulin-like receptor B, PIR-B

8 Images
Western blot - Anti-PIRB antibody [EPR24885-18] - BSA and Azide free (AB284411)
  • WB

Lab

Western blot - Anti-PIRB antibody [EPR24885-18] - BSA and Azide free (AB284411)

This data was developed using ab284407, the same antibody clone in a different buffer formulation.

Negative control : EL4 (PMID : 21555536)

The antibody detects isoform of PirB around 40kDa which consistent with what has been described in the literature (PMID : 31388006)

Exposure time : 81 seconds

All lanes:

Western blot - Anti-PIRB antibody [EPR24885-18] (<a href='/en-us/products/primary-antibodies/pirb-antibody-epr24885-18-ab284407'>ab284407</a>) at 1/1000 dilution

Lane 1:

WEHI-3 (mouse leukemia lymphoblast), whole cell lysate at 60 µg

Lane 2:

EL4 (mouse lymphoma T lymphocyte), whole cell lysate at 60 µg

Secondary

All lanes:

Goat Anti-Rabbit IgG, (H+L), Peroxidase conjugated (<a href='/en-us/products/secondary-antibodies/goat-rabbit-igg-h-l-hrp-ab97051'>ab97051</a>) at 1/100000 dilution

Predicted band size: 93 kDa

Observed band size: 125 kDa

false

Western blot - Anti-PIRB antibody [EPR24885-18] - BSA and Azide free (AB284411)
  • WB

Lab

Western blot - Anti-PIRB antibody [EPR24885-18] - BSA and Azide free (AB284411)

This data was developed using ab284407, the same antibody clone in a different buffer formulation.

Blocking and diluting buffer and concentration : 5% NFDM/TBST

Exposure time : 114 seconds

All lanes:

Western blot - Anti-PIRB antibody [EPR24885-18] (<a href='/en-us/products/primary-antibodies/pirb-antibody-epr24885-18-ab284407'>ab284407</a>) at 1/1000 dilution

Lane 1:

Mouse spleen tissue lysate at 20 µg

Lane 2:

Mouse spleen tissue lysate treated with Protein Deglycosylation MIX at 20 µg

Secondary

All lanes:

Goat Anti-Rabbit IgG, (H+L), Peroxidase conjugated (<a href='/en-us/products/secondary-antibodies/goat-rabbit-igg-h-l-hrp-ab97051'>ab97051</a>) at 1/100000 dilution

Predicted band size: 93 kDa

Observed band size: 125 kDa

false

Immunocytochemistry/ Immunofluorescence - Anti-PIRB antibody [EPR24885-18] - BSA and Azide free (AB284411)
  • ICC/IF

Supplier Data

Immunocytochemistry/ Immunofluorescence - Anti-PIRB antibody [EPR24885-18] - BSA and Azide free (AB284411)

This data was developed using ab284407, the same antibody clone in a different buffer formulation.

Immunofluorescent analysis of 4% Paraformaldehyde-fixed, 0.1% TritonX-100 permeabilized Mouse spleen cell cells labelling PIRB with ab284407 at 1/50 (12.16 ug/ml) dilution, followed by ab150081 Goat Anti-Rabbit IgG H&L (Alexa Fluor® 488) preadsorbed antibody at 1/1000 2 ug/ml dilution (Green). Confocal image showing cytoplasmic staining in subsets of Mouse spleen cell.

Negative control : EL4 (PMID : 21555536)

ab195889 Anti-alpha Tubulin mouse monoclonal antibody - Microtubule Marker (Alexa Fluor® 594) was used to counterstain tubulin at 1/200 (2.5ug/ml) dilution (Red). The Nuclear counterstain was DAPI (Blue).

Secondary antibody only control : Secondary antibody is ab150081 Goat Anti-Rabbit IgG H&L (Alexa Fluor® 488) preadsorbed at 1/1000 (2 ug/ml) dilution.

Immunohistochemistry (Formalin/PFA-fixed paraffin-embedded sections) - Anti-PIRB antibody [EPR24885-18] - BSA and Azide free (AB284411)
  • IHC-P

Supplier Data

Immunohistochemistry (Formalin/PFA-fixed paraffin-embedded sections) - Anti-PIRB antibody [EPR24885-18] - BSA and Azide free (AB284411)

This data was developed using ab284407, the same antibody clone in a different buffer formulation.

Immunohistochemical analysis of paraffin-embedded Mouse liver tissue labelling PIRB with ab284407 at 1/500 (6.08 ug/ml) followed by a ready to use Leica DS9800 (BOND®, Polymer Refine Detection) was used. Positive staining on kuffer cells of mouse liver (PMID : 9054430). The section was incubated with ab284407 for 30 mins at room temperature.The immunostaining was performed on a Leica Biosystems BOND® RX instrument Counterstained with Hematoxylin.

Secondary antibody only control : Secondary antibody is a ready to use Leica DS9800 (BOND®, Polymer Refine Detection) was used.

Heat mediated antigen retrieval with Tris-EDTA buffer (pH 9.0, epitope retrieval solution 2) for 20 mins

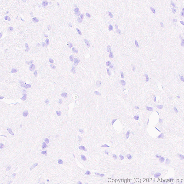
Immunohistochemistry (Formalin/PFA-fixed paraffin-embedded sections) - Anti-PIRB antibody [EPR24885-18] - BSA and Azide free (AB284411)
  • IHC-P

Supplier Data

Immunohistochemistry (Formalin/PFA-fixed paraffin-embedded sections) - Anti-PIRB antibody [EPR24885-18] - BSA and Azide free (AB284411)

This data was developed using ab284407, the same antibody clone in a different buffer formulation.

Immunohistochemical analysis of paraffin-embedded Mouse cerebrum tissue labelling PIRB with ab284407 at 1/500 (6.08 ug/ml) followed by a ready to use Leica DS9800 (BOND™, Polymer Refine Detection) was used. Negative control : No staining on mouse cerebrum. The section was incubated with ab284407 for 30 mins at room temperature.The immunostaining was performed on a Leica Biosystems BOND™ RX instrument Counterstained with Hematoxylin.

Secondary antibody only control : Secondary antibody is a ready to use Leica DS9800 (BOND™, Polymer Refine Detection) was used.

Heat mediated antigen retrieval with Tris-EDTA buffer (pH 9.0, epitope retrieval solution 2) for 20 mins

Immunoprecipitation - Anti-PIRB antibody [EPR24885-18] - BSA and Azide free (AB284411)
  • IP

Supplier Data

Immunoprecipitation - Anti-PIRB antibody [EPR24885-18] - BSA and Azide free (AB284411)

This data was developed using ab284407, the same antibody clone in a different buffer formulation.

PIRB was immunoprecipitated from 0.35 mg WEHI-3 (mouse leukemia lymphoblast) whole cell lysate 10ug with ab284407 at 1/30 dilution (2ug in 0.35mg lysates). Western blot was performed on the immunoprecipitate using ab284407 at 1/1000 dilution. VeriBlot for IP secondary antibody(HRP)(ab131366) was used at 1/5000 dilution.

Lane 1 : WEHI-3 (mouse leukemia lymphoblast) whole cell lysate 10ug

Lane 2 : ab284407 IP in WEHI-3 whole cell lysate

Lane 3 : Rabbit monoclonal IgG (ab172730) instead of ab284407 in WEHI-3 whole cell lysate

Blocking and dilution buffer and concentration : 5% NFDM/TBST.

Exposure time : 48 seconds

All lanes:

Immunoprecipitation - Anti-PIRB antibody [EPR24885-18] (<a href='/en-us/products/primary-antibodies/pirb-antibody-epr24885-18-ab284407'>ab284407</a>)

false

Immunohistochemistry (Formalin/PFA-fixed paraffin-embedded sections) - Anti-PIRB antibody [EPR24885-18] - BSA and Azide free (AB284411)
  • IHC-P

Supplier Data

Immunohistochemistry (Formalin/PFA-fixed paraffin-embedded sections) - Anti-PIRB antibody [EPR24885-18] - BSA and Azide free (AB284411)

This data was developed using ab284407, the same antibody clone in a different buffer formulation.

Immunohistochemical analysis of paraffin-embedded Mouse spleen tissue labelling PIRB with ab284407 at 1/500 (6.08 ug/ml) followed by a ready to use Leica DS9800 (BOND™ , Polymer Refine Detection) was used. Positive staining on mouse spleen (PMID : 9054430). The section was incubated with ab284407 for 30 mins at room temperature.The immunostaining was performed on a Leica Biosystems BOND® RX instrument Counterstained with Hematoxylin.

Secondary antibody only control : Secondary antibody is a ready to use Leica DS9800 (BOND™ , Polymer Refine Detection) was used.

Heat mediated antigen retrieval with Tris-EDTA buffer (pH 9.0, epitope retrieval solution 2) for 20 mins

Immunohistochemistry (Frozen sections) - Anti-PIRB antibody [EPR24885-18] - BSA and Azide free (AB284411)
  • IHC-Fr

Supplier Data

Immunohistochemistry (Frozen sections) - Anti-PIRB antibody [EPR24885-18] - BSA and Azide free (AB284411)

This data was developed using ab284407, the same antibody clone in a different buffer formulation.

Immunohistochemical analysis of 4% PFA-fixed, 0.2% Triton X-100 permeabilized frozen Mouse spleen (fresh) tissue labeling PIRB with ab284407 at 1/100 (6.08 ug/ml) dilution followed by ab150081 Goat Anti-Rabbit IgG H&L (Alexa Fluor® 488) preadsorbed at 1/1000 (2 ug/ml) dilution (Green). Positive staining mainly in red pulp of spleen. is observed. The nuclear counterstain was DAPI (Blue).

Secondary antibody control : Secondary antibody is ab150081 Goat Anti-Rabbit IgG H&L (Alexa Fluor® 488) preadsorbedat 1/1000 (2 ug/ml) dilution.

Key facts

Host species

Rabbit

Clonality

Monoclonal

Clone number

EPR24885-18

Isotype

IgG

Carrier free

Yes

Reacts with

Mouse

Applications

WB, IP, IHC-Fr, ICC/IF, IHC-P

applications

Immunogen

The exact immunogen used to generate this antibody is proprietary information.

Reactivity data

{ "title": "Reactivity Data", "filters": { "stats": ["", "Species", "Dilution Info", "Notes"], "tabs": { "all-applications": {"fullname" : "All Applications", "shortname": "All Applications"}, "ICCIF" : {"fullname" : "Immunocytochemistry/ Immunofluorescence", "shortname":"ICC/IF"}, "IP" : {"fullname" : "Immunoprecipitation", "shortname":"IP"}, "WB" : {"fullname" : "Western blot", "shortname":"WB"}, "IHCP" : {"fullname" : "Immunohistochemistry (Formalin/PFA-fixed paraffin-embedded sections)", "shortname":"IHC-P"}, "IHCFr" : {"fullname" : "Immunohistochemistry (Frozen sections)", "shortname":"IHC-Fr"}, "FlowCyt" : {"fullname" : "Flow Cytometry", "shortname":"Flow Cyt"} }, "product-promise": { "all": "all", "testedAndGuaranteed": "tested", "guaranteed": "expected", "predicted": "predicted", "notRecommended": "not-recommended" } }, "values": { "Human": { "ICCIF-species-checked": "notRecommended", "ICCIF-species-dilution-info": "", "ICCIF-species-notes": "", "IP-species-checked": "notRecommended", "IP-species-dilution-info": "", "IP-species-notes": "", "WB-species-checked": "notRecommended", "WB-species-dilution-info": "", "WB-species-notes": "", "IHCP-species-checked": "notRecommended", "IHCP-species-dilution-info": "", "IHCP-species-notes": "<p></p> Perform heat-mediated antigen retrieval with Tris/EDTA buffer pH 9.0 before commencing with IHC staining protocol.", "IHCFr-species-checked": "notRecommended", "IHCFr-species-dilution-info": "", "IHCFr-species-notes": "", "FlowCyt-species-checked": "notRecommended", "FlowCyt-species-dilution-info": "", "FlowCyt-species-notes": "" }, "Mouse": { "ICCIF-species-checked": "testedAndGuaranteed", "ICCIF-species-dilution-info": "", "ICCIF-species-notes": "<p></p>", "IP-species-checked": "testedAndGuaranteed", "IP-species-dilution-info": "", "IP-species-notes": "<p></p>", "WB-species-checked": "testedAndGuaranteed", "WB-species-dilution-info": "", "WB-species-notes": "<p></p>", "IHCP-species-checked": "testedAndGuaranteed", "IHCP-species-dilution-info": "", "IHCP-species-notes": "<p></p> Perform heat-mediated antigen retrieval with Tris/EDTA buffer pH 9.0 before commencing with IHC staining protocol.", "IHCFr-species-checked": "testedAndGuaranteed", "IHCFr-species-dilution-info": "", "IHCFr-species-notes": "<p></p>", "FlowCyt-species-checked": "notRecommended", "FlowCyt-species-dilution-info": "", "FlowCyt-species-notes": "<p></p>" }, "Rat": { "ICCIF-species-checked": "notRecommended", "ICCIF-species-dilution-info": "", "ICCIF-species-notes": "", "IP-species-checked": "notRecommended", "IP-species-dilution-info": "", "IP-species-notes": "", "WB-species-checked": "notRecommended", "WB-species-dilution-info": "", "WB-species-notes": "", "IHCP-species-checked": "notRecommended", "IHCP-species-dilution-info": "", "IHCP-species-notes": "<p></p> Perform heat-mediated antigen retrieval with Tris/EDTA buffer pH 9.0 before commencing with IHC staining protocol.", "IHCFr-species-checked": "notRecommended", "IHCFr-species-dilution-info": "", "IHCFr-species-notes": "", "FlowCyt-species-checked": "notRecommended", "FlowCyt-species-dilution-info": "", "FlowCyt-species-notes": "" } } }

Product details

Patented technology
Our RabMAb® technology is a patented hybridoma-based technology for making rabbit monoclonal antibodies. For details on our patents, please refer to RabMAb® patents.

What are the advantages of a recombinant monoclonal antibody?
This product is a recombinant monoclonal antibody, which offers several advantages including:

  • - High batch-to-batch consistency and reproducibility
  • - Improved sensitivity and specificity
  • - Long-term security of supply
  • - Animal-free batch production

For more information, read more on recombinant antibodies.

Conjugation ready
Our carrier-free antibodies are typically supplied in a PBS-only formulation, purified and free of BSA, sodium azide and glycerol. This conjugation-ready format is designed for use with fluorochromes, metal isotopes, oligonucleotides, and enzymes, which makes them ideal for antibody labelling, functional and cell-based assays, flow-based assays (e.g. mass cytometry) and Multiplex Imaging applications.

Use our conjugation kits for antibody conjugates that are ready-to-use in as little as 20 minutes with 1 minute hands-on-time and 100% antibody recovery: available for fluorescent dyes, HRP, biotin and gold.

Compatibility
This product is compatible with the Maxpar® Antibody Labeling Kit from Fluidigm, without the need for antibody preparation. Maxpar® is a trademark of Fluidigm Canada Inc.

Properties and storage information

Form
Liquid
Purification technique
Affinity purification Protein A
Storage buffer
pH: 7.2 - 7.4 Constituents: 100% PBS
Shipped at conditions
Blue Ice
Appropriate short-term storage conditions
+4°C
Appropriate long-term storage conditions
+4°C

Supplementary information

This supplementary information is collated from multiple sources and compiled automatically.

Paired immunoglobulin-like receptor B commonly known as PIR-B is an inhibitory receptor expressed in various immune cells like macrophages dendritic cells and B cells. PIR-B often weighs around 129 kDa. It consists of extracellular immunoglobulin domains and intracellular immunoreceptor tyrosine-based inhibition motifs (ITIMs). This receptor is a part of the immune system machinery where it interacts with major histocompatibility complex (MHC) class I molecules which makes it a point of interest in understanding immune responses and signaling.
Biological function summary

PIR-B plays a role in immune regulation and tolerance. It is involved in inhibiting signaling pathways that activate immune cells. PIR-B forms a part of signal regulatory complex working alongside other receptors in the immune system to maintain a balanced immune response. By interacting with ITIMs PIR-B recruits phosphatases which de-phosphorylate signaling molecules leading to reduced cellular activation. This inhibitory mechanism ensures the prevention of excessive immune responses which can cause tissue damage.

Pathways

The immune regulation by PIR-B is important in innate and adaptive immunity. PIR-B integrates its function into pathways such as the negative regulation of immune effector processes and signal transduction. PIR-B has similarity with proteins like CD300 and ILT family involved in controlling immune response by hindering excessive cellular activation. Its action contributes significantly to homeostasis by regulating signal transduction processes during immune responses.

PIR-B has a relationship with autoimmune diseases and certain cancers. Its expression and inhibitory function relate to conditions like rheumatoid arthritis and lymphoma. In rheumatoid arthritis PIR-B's interaction with MHC class I molecules and phosphatases like SHP-1 and SHP-2 modulates the immune response and may contribute to disease pathogenesis. In some cancers the dampening of immune responses by PIR-B might facilitate tumor evasion from immune surveillance making it a potential target for therapeutic intervention.

Product protocols

For this product, it's our understanding that no specific protocols are required. You can visit:

Target data

May act as receptor for class I MHC antigens. Becomes activated upon coligation of LILRB3 and immune receptors, such as FCGR2B and the B-cell receptor. Down-regulates antigen-induced B-cell activation by recruiting phosphatases to its immunoreceptor tyrosine-based inhibitor motifs (ITIM).
See full target information Lilrb3

Product promise

We are committed to supporting your work with high-quality reagents, and we're here for you every step of the way. In the unlikely event that one of our products does not perform as expected, you're protected by our Product Promise.
For full details, please see our Terms & Conditions

Please note: All products are 'FOR RESEARCH USE ONLY. NOT FOR USE IN DIAGNOSTIC OR THERAPEUTIC PROCEDURES'.

For licensing inquiries, please contact partnerships@abcam.com