JavaScript is disabled in your browser. Please enable JavaScript to view this website.
AB247768

Anti-PIST antibody [EPR4079] - BSA and Azide free

Be the first to review this product! Submit a review

|

(0 Publication)

Rabbit Recombinant Monoclonal PIST antibody. Carrier free. Suitable for IHC-P, WB, ICC/IF and reacts with Human samples.

View Alternative Names

CAL, FIG, GOPC, Golgi-associated PDZ and coiled-coil motif-containing protein, CFTR-associated ligand, Fused in glioblastoma, PDZ protein interacting specifically with TC10, PIST

8 Images
Immunohistochemistry (Formalin/PFA-fixed paraffin-embedded sections) - Anti-PIST antibody [EPR4079] - BSA and Azide free (AB247768)
  • IHC-P

Unknown

Immunohistochemistry (Formalin/PFA-fixed paraffin-embedded sections) - Anti-PIST antibody [EPR4079] - BSA and Azide free (AB247768)

This data was developed using ab109119, the same antibody clone in a different buffer formulation.

ab109119 showing positive staining in Normal brain tissue.
Perform heat mediated antigen retrieval with citrate buffer pH 6 before commencing with IHC staining protocol.

Immunohistochemistry (Formalin/PFA-fixed paraffin-embedded sections) - Anti-PIST antibody [EPR4079] - BSA and Azide free (AB247768)
  • IHC-P

Unknown

Immunohistochemistry (Formalin/PFA-fixed paraffin-embedded sections) - Anti-PIST antibody [EPR4079] - BSA and Azide free (AB247768)

This data was developed using ab109119, the same antibody clone in a different buffer formulation.

ab109119 showing positive staining in Normal liver tissue.

Perform heat mediated antigen retrieval with citrate buffer pH 6 before commencing with IHC staining protocol.

Immunohistochemistry (Formalin/PFA-fixed paraffin-embedded sections) - Anti-PIST antibody [EPR4079] - BSA and Azide free (AB247768)
  • IHC-P

Unknown

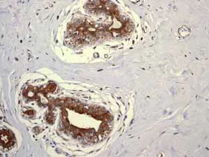
Immunohistochemistry (Formalin/PFA-fixed paraffin-embedded sections) - Anti-PIST antibody [EPR4079] - BSA and Azide free (AB247768)

This data was developed using ab109119, the same antibody clone in a different buffer formulation.

ab109119 showing positive staining in Normal breast tissue.

Perform heat mediated antigen retrieval with citrate buffer pH 6 before commencing with IHC staining protocol.

Immunohistochemistry (Formalin/PFA-fixed paraffin-embedded sections) - Anti-PIST antibody [EPR4079] - BSA and Azide free (AB247768)
  • IHC-P

Unknown

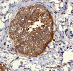
Immunohistochemistry (Formalin/PFA-fixed paraffin-embedded sections) - Anti-PIST antibody [EPR4079] - BSA and Azide free (AB247768)

This data was developed using ab109119, the same antibody clone in a different buffer formulation.

Immunohistochemical staining of PIST expression in paraffin-embedded Human stomach tissue using ab109119 at 1/250 dilution. Perform heat mediated antigen retrieval with citrate buffer pH 6 before commencing with IHC staining protocol.

Immunohistochemistry (Formalin/PFA-fixed paraffin-embedded sections) - Anti-PIST antibody [EPR4079] - BSA and Azide free (AB247768)
  • IHC-P

Unknown

Immunohistochemistry (Formalin/PFA-fixed paraffin-embedded sections) - Anti-PIST antibody [EPR4079] - BSA and Azide free (AB247768)

This data was developed using ab109119, the same antibody clone in a different buffer formulation.

ab109119 showing positive staining in Normal ovary tissue.

Perform heat mediated antigen retrieval with citrate buffer pH 6 before commencing with IHC staining protocol.

Immunohistochemistry (Formalin/PFA-fixed paraffin-embedded sections) - Anti-PIST antibody [EPR4079] - BSA and Azide free (AB247768)
  • IHC-P

Unknown

Immunohistochemistry (Formalin/PFA-fixed paraffin-embedded sections) - Anti-PIST antibody [EPR4079] - BSA and Azide free (AB247768)

This data was developed using ab109119, the same antibody clone in a different buffer formulation.

ab109119 showing positive staining in Normal kidney tissue.

Perform heat mediated antigen retrieval with citrate buffer pH 6 before commencing with IHC staining protocol.

Immunocytochemistry/ Immunofluorescence - Anti-PIST antibody [EPR4079] - BSA and Azide free (AB247768)
  • ICC/IF

Unknown

Immunocytochemistry/ Immunofluorescence - Anti-PIST antibody [EPR4079] - BSA and Azide free (AB247768)

This data was developed using ab109119, the same antibody clone in a different buffer formulation.

ab109119 stained HeLa cells. The cells were 4% formaldhyde fixed for 10 minutes at room temperature and then incubated in 1%BSA / 10% normal goat serum / 0.3M glycine in 0.1% PBS-Tween for 1hour at room temperature to permeabilise the cells and block non-specific protein-protein interactions. The cells were then incubated with the antibody (ab109119 at 1/100) overnight at +4°C. The secondary antibody (pseudo-colored green) was Goat Anti-Rabbit IgG H&L (Alexa Fluor® 488) preadsorbed (ab150081) used at a 1/1000 dilution for 1hour at room temperature. Alexa Fluor® 594 WGA was used to label plasma membranes (pseudo-colored red) at a 1/200 dilution for 1hour at room temperature. DAPI was used to stain the cell nuclei (pseudo-colored blue) at a concentration of 1.43μM for 1hour at room temperature.

Western blot - Anti-PIST antibody [EPR4079] - BSA and Azide free (AB247768)
  • WB

Unknown

Western blot - Anti-PIST antibody [EPR4079] - BSA and Azide free (AB247768)

This data was developed using ab109119, the same antibody clone in a different buffer formulation.

All lanes:

Western blot - Anti-PIST antibody [EPR4079] (<a href='/en-us/products/primary-antibodies/pist-antibody-epr4079-ab109119'>ab109119</a>) at 1/1000 dilution

Lane 1:

A375 cell lysate at 10 µg

Lane 2:

293T cell lysate at 10 µg

Lane 3:

Fetal kidney lysate at 10 µg

Lane 4:

PC-3 cell lysate at 10 µg

Lane 5:

Human prostate lysate at 10 µg

Predicted band size: 51 kDa

false

Key facts

Host species

Rabbit

Clonality

Monoclonal

Clone number

EPR4079

Isotype

IgG

Carrier free

Yes

Reacts with

Human

Applications

ICC/IF, IHC-P, WB

applications

Immunogen

The exact immunogen used to generate this antibody is proprietary information.

Reactivity data

{ "title": "Reactivity Data", "filters": { "stats": ["", "Species", "Dilution Info", "Notes"], "tabs": { "all-applications": {"fullname" : "All Applications", "shortname": "All Applications"}, "IHCP" : {"fullname" : "Immunohistochemistry (Formalin/PFA-fixed paraffin-embedded sections)", "shortname":"IHC-P"}, "WB" : {"fullname" : "Western blot", "shortname":"WB"}, "ICCIF" : {"fullname" : "Immunocytochemistry/ Immunofluorescence", "shortname":"ICC/IF"} }, "product-promise": { "all": "all", "testedAndGuaranteed": "tested", "guaranteed": "expected", "predicted": "predicted", "notRecommended": "not-recommended" } }, "values": { "Human": { "IHCP-species-checked": "testedAndGuaranteed", "IHCP-species-dilution-info": "", "IHCP-species-notes": "<p></p>", "WB-species-checked": "testedAndGuaranteed", "WB-species-dilution-info": "", "WB-species-notes": "<p></p>", "ICCIF-species-checked": "testedAndGuaranteed", "ICCIF-species-dilution-info": "", "ICCIF-species-notes": "<p></p>" }, "Mouse": { "IHCP-species-checked": "predicted", "IHCP-species-dilution-info": "", "IHCP-species-notes": "", "WB-species-checked": "predicted", "WB-species-dilution-info": "", "WB-species-notes": "", "ICCIF-species-checked": "predicted", "ICCIF-species-dilution-info": "", "ICCIF-species-notes": "" } } }

Product details

ab247768 is the carrier-free version of ab109119.

Patented technology
Our RabMAb® technology is a patented hybridoma-based technology for making rabbit monoclonal antibodies. For details on our patents, please refer to RabMAb® patents.

What are the advantages of a recombinant monoclonal antibody?
This product is a recombinant monoclonal antibody, which offers several advantages including:

  • - High batch-to-batch consistency and reproducibility
  • - Improved sensitivity and specificity
  • - Long-term security of supply
  • - Animal-free batch production

For more information, read more on recombinant antibodies.

Species reactivity
Rat: We have preliminary internal testing data to indicate this antibody may not react with this species.
Please contact us for more information.

Conjugation ready
Our carrier-free antibodies are typically supplied in a PBS-only formulation, purified and free of BSA, sodium azide and glycerol. This conjugation-ready format is designed for use with fluorochromes, metal isotopes, oligonucleotides, and enzymes, which makes them ideal for antibody labelling, functional and cell-based assays, flow-based assays (e.g. mass cytometry) and Multiplex Imaging applications.

Use our conjugation kits for antibody conjugates that are ready-to-use in as little as 20 minutes with 1 minute hands-on-time and 100% antibody recovery: available for fluorescent dyes, HRP, biotin and gold.

Compatibility
This product is compatible with the Maxpar® Antibody Labeling Kit from Fluidigm, without the need for antibody preparation. Maxpar® is a trademark of Fluidigm Canada Inc.

Properties and storage information

Form
Liquid
Purification technique
Affinity purification Protein A
Storage buffer
pH: 7.2 - 7.4 Constituents: PBS
Shipped at conditions
Blue Ice
Appropriate short-term storage conditions
+4°C
Appropriate long-term storage conditions
+4°C
Storage information
Do Not Freeze

Supplementary information

This supplementary information is collated from multiple sources and compiled automatically.

PIST also known as PDZ domain-containing protein 8 (GOPC) is a protein with a molecular weight of approximately 55 kDa. This protein is found in multiple tissues with higher expression in the brain and testes. PIST interacts with Golgi membranes and serves as a scaffold in cellular processes by linking transmembrane proteins to different signaling pathways. Its main functional domain the PDZ domain facilitates specific binding to target proteins allowing it to play a versatile role in maintaining cellular functions.
Biological function summary

PIST participates in protein trafficking and sorting. It associates with the complex that regulates vesicular transport ensuring protein delivery to proper cellular locations. In neuronal cells PIST influences the trafficking of receptors like AMPA and NMDA which are important for synaptic function. The involvement of PIST in protein trafficking highlights its significance in cellular organization and communication.

Pathways

PIST engages in interactions within the Wnt and PI3K/Akt signaling pathways. In the Wnt pathway PIST supports the stabilization and trafficking of receptors critical for signal transduction. In the PI3K/Akt pathway it influences cell survival and proliferation by modulating receptor localization and function. Proteins such as Dishevelled and PTEN are often associated with PIST's activity in these pathways highlighting its diverse biological importance.

PIST shows connections to conditions like cancer and neurodegenerative disorders. In cancer deregulation of PIST has been observed potentially impacting cell proliferation and survival since it interacts with proteins like EGFR and other growth factor receptors. In neurodegenerative diseases abnormal PIST function may disrupt synaptic signaling linking it to disorders like Alzheimer's through its interactions with synaptic proteins.

Product protocols

For this product, it's our understanding that no specific protocols are required. You can visit:

Target data

Plays a role in intracellular protein trafficking and degradation (PubMed : 11707463, PubMed : 14570915, PubMed : 15358775). May regulate CFTR chloride currents and acid-induced ASIC3 currents by modulating cell surface expression of both channels (By similarity). May also regulate the intracellular trafficking of the ADR1B receptor (PubMed : 15358775). May play a role in autophagy (By similarity). Together with MARCHF2 mediates the ubiquitination and lysosomal degradation of CFTR (PubMed : 23818989). Overexpression results in CFTR intracellular retention and lysosomaldegradation in the lysosomes (PubMed : 11707463, PubMed : 14570915).
See full target information GOPC

Product promise

We are committed to supporting your work with high-quality reagents, and we're here for you every step of the way. In the unlikely event that one of our products does not perform as expected, you're protected by our Product Promise.
For full details, please see our Terms & Conditions

Please note: All products are 'FOR RESEARCH USE ONLY. NOT FOR USE IN DIAGNOSTIC OR THERAPEUTIC PROCEDURES'.

For licensing inquiries, please contact partnerships@abcam.com