JavaScript is disabled in your browser. Please enable JavaScript to view this website.
AB273048

Anti-Pit1 antibody [EPR23555-203]

Be the first to review this product! Submit a review

|

(3 Publications)

Anti-Pit1 antibody [EPR23555-203] (ab273048) is a rabbit monoclonal antibody detecting Pit1 in Western Blot, Flow Cytometry (Intra), Flow Cytometry, IP, IHC-P, IHC-Fr, ICC/IF. Suitable for Mouse, Rat.

- Biophysical QC for unrivalled batch-batch consistency

View Alternative Names

GHF1, PIT1, POU1F1, Pituitary-specific positive transcription factor 1, PIT-1, Growth hormone factor 1, GHF-1

10 Images
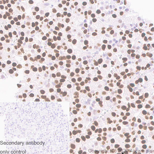
Immunohistochemistry (Formalin/PFA-fixed paraffin-embedded sections) - Anti-Pit1 antibody [EPR23555-203] (AB273048)
  • IHC-P

Unknown

Immunohistochemistry (Formalin/PFA-fixed paraffin-embedded sections) - Anti-Pit1 antibody [EPR23555-203] (AB273048)

Immunohistochemical analysis of paraffin-embedded mouse pituitary tissue labeling Pit1 with ab273048 at 1/4000 dilution followed by a ready to use Goat Anti-Rabbit IgG H&L (HRP). Nuclear staining in mouse pituitary (PMID : 21123951). Counterstained with Hematoxylin.

Secondary antibody only control : Secondary antibody is a ready to use Goat Anti-Rabbit IgG H&L (HRP).

Heat mediated antigen retrieval using ab93684 (Tris/EDTA buffer, pH 9.0).

Immunocytochemistry/ Immunofluorescence - Anti-Pit1 antibody [EPR23555-203] (AB273048)
  • ICC/IF

Unknown

Immunocytochemistry/ Immunofluorescence - Anti-Pit1 antibody [EPR23555-203] (AB273048)

Immunofluorescent analysis of 4% Paraformaldehyde-fixed, 0.1% Triton X-100 permeabilized GH3 (Rat pituitary epithelial cell line) cells labelling Pit1 with ab273048 at 1/50 dilution, followed by ab150077 Goat Anti-Rabbit IgG H&L (Alexa Fluor® 488) antibody at 1/1000 2μg/ml dilution (Green). Confocal image showing nuclear staining in GH3 cell line. ab195889 Anti-alpha Tubulin mouse monoclonal antibody - Microtubule Marker (Alexa Fluor® 594) was used to counterstain tubulin at 1/200 2.5μg/ml dilution (Red). The nuclear counterstain was DAPI (Blue).

Secondary antibody only control : Secondary antibody is ab150077 Goat Anti-Rabbit IgG H&L (Alexa Fluor® 488) at 1/1000 2μg/ml dilution.

Immunohistochemistry (Formalin/PFA-fixed paraffin-embedded sections) - Anti-Pit1 antibody [EPR23555-203] (AB273048)
  • IHC-P

Unknown

Immunohistochemistry (Formalin/PFA-fixed paraffin-embedded sections) - Anti-Pit1 antibody [EPR23555-203] (AB273048)

Immunohistochemical analysis of paraffin-embedded mouse cerebrum tissue labeling Pit1 with ab273048 at 1/4000 dilution followed by a ready to use Goat Anti-Rabbit IgG H&L (HRP). Counterstained with Hematoxylin.

Negative control : No staining in mouse cerebrum (PMID : 21123951).

Secondary antibody only control : Secondary antibody is a ready to use Goat Anti-Rabbit IgG H&L (HRP).

Heat mediated antigen retrieval using ab93684 (Tris/EDTA buffer, pH 9.0).

Immunohistochemistry (Frozen sections) - Anti-Pit1 antibody [EPR23555-203] (AB273048)
  • IHC-Fr

Unknown

Immunohistochemistry (Frozen sections) - Anti-Pit1 antibody [EPR23555-203] (AB273048)

Immunohistochemical analysis of 4% PFA-fixed, 0.2% Triton X-100 permeabilized frozen mouse liver tissue labeling Pit1 with ab273048 at 1/100 dilution followed by ab150077 Goat Anti-Rabbit IgG H&L (Alexa Fluor® 488) at 1/1000 (2μg/ml) dilution (Green). No staining on mouse liver is observed. The nuclear counterstain was DAPI (Blue).

Secondary antibody control : Secondary antibody is ab150077 Goat Anti-Rabbit IgG H&L (Alexa Fluor® 488) at 1/1000 (2μg/ml) dilution.

Heat mediated antigen retrieval using sodium citrate buffer (10mM citrate pH 6.0 + 0.05% Tween-20).

Flow Cytometry (Intracellular) - Anti-Pit1 antibody [EPR23555-203] (AB273048)
  • Flow Cyt (Intra)

Unknown

Flow Cytometry (Intracellular) - Anti-Pit1 antibody [EPR23555-203] (AB273048)

Intracellular flow cytometric analysis of 4% paraformaldehyde fixed 90% methanol permeabilized GH3 (Rat pituitary epithelial cell line) cells labelling Pit1 with ab273048 at 1/50 dilution (1μg) (Red) compared with a Rabbit monoclonal IgG (ab172730) (Black) isotype control and an unlabelled control (cells without incubation with primary antibody and secondary antibody) (Blue). Goat anti rabbit IgG (Alexa Fluor® 488, ab150077) at 1/2000 dilution was used as the secondary antibody.

Immunohistochemistry (Frozen sections) - Anti-Pit1 antibody [EPR23555-203] (AB273048)
  • IHC-Fr

Unknown

Immunohistochemistry (Frozen sections) - Anti-Pit1 antibody [EPR23555-203] (AB273048)

Immunohistochemical analysis of 4% PFA-fixed, 0.2% Triton X-100 permeabilized frozen mouse pituitary tissue labeling Pit1 with ab273048 at 1/100 dilution followed by ab150077 Goat Anti-Rabbit IgG H&L (Alexa Fluor® 488) at 1/1000 (2μg/ml) dilution (Green). Nuclear staining on mouse pituitary is observed. The nuclear counterstain was DAPI (Blue).

Secondary antibody control : Secondary antibody is ab150077 Goat Anti-Rabbit IgG H&L (Alexa Fluor® 488) at 1/1000 (2μg/ml) dilution.

Heat mediated antigen retrieval using sodium citrate buffer (10mM citrate pH 6.0 + 0.05% Tween-20).

Immunoprecipitation - Anti-Pit1 antibody [EPR23555-203] (AB273048)
  • IP

Unknown

Immunoprecipitation - Anti-Pit1 antibody [EPR23555-203] (AB273048)

Pit1 was immunoprecipitated from 0.35 mg mouse pituitary tissue lysate 10μg with ab273048 at 1/30 dilution (2μg in 0.35mg lysates). Western blot was performed on the immunoprecipitate using ab273048 at 1/1000 dilution. VeriBlot for IP Detection Reagent (HRP)(ab131366) was used at 1/5000 dilution.

Lane 1 : Mouse pituitary tissue lysate 10μg.

Lane 2 : ab273048 IP in mouse pituitary tissue lysate.

Lane 3 : Rabbit monoclonal IgG (ab172730) instead of ab273048 in mouse pituitary tissue lysate.

Blocking and dilution buffer and concentration : 5% NFDM/TBST.

Exposure time : 23 seconds.

All lanes:

Immunoprecipitation - Anti-Pit1 antibody [EPR23555-203] (ab273048)

Predicted band size: 33 kDa

false

Immunoprecipitation - Anti-Pit1 antibody [EPR23555-203] (AB273048)
  • IP

Unknown

Immunoprecipitation - Anti-Pit1 antibody [EPR23555-203] (AB273048)

Pit1 was immunoprecipitated from 0.35 mg GH3 (Rat pituitary epithelial), whole cell lysate 10μg with ab273048 at 1/30 dilution (2μg in 0.35mg lysates). Western blot was performed on the immunoprecipitate using ab273048 at 1/1000 dilution. VeriBlot for IP Detection Reagent (HRP)(ab131366) was used at 1/5000 dilution.

Lane 1 : GH3 (Rat pituitary epithelial), whole cell lysate 10μg.

Lane 2 : ab273048 IP in GH3 whole cell lysate.

Lane 3 : Rabbit monoclonal IgG (ab172730) instead of ab273048 in GH3 whole cell lysate.

Blocking and dilution buffer and concentration : 5% NFDM/TBST.

Exposure time : 5 seconds.

All lanes:

Immunoprecipitation - Anti-Pit1 antibody [EPR23555-203] (ab273048)

Predicted band size: 33 kDa

false

Western blot - Anti-Pit1 antibody [EPR23555-203] (AB273048)
  • WB

Lab

Western blot - Anti-Pit1 antibody [EPR23555-203] (AB273048)

Blocking and diluting buffer and concentration : 5% NFDM/TBST.

The expression profile observed is consistent with what has been described in the literature. The 31kDa and 33kDa bands correspond to different isoforms (PMID : 21123951, 21060149).

Exposure time : 7 seconds.

All lanes:

Western blot - Anti-Pit1 antibody [EPR23555-203] (ab273048) at 1/1000 dilution

All lanes:

GH3 (Rat pituitary epithelial), whole cell lysate at 20 µg

Secondary

All lanes:

Goat Anti-Rabbit IgG, (H+L), Peroxidase conjugated (<a href='/en-us/products/secondary-antibodies/goat-rabbit-igg-h-l-hrp-ab97051'>ab97051</a>) at 1/100000 dilution

Predicted band size: 33 kDa

Observed band size: 31 kDa,33 kDa

false

Western blot - Anti-Pit1 antibody [EPR23555-203] (AB273048)
  • WB

Lab

Western blot - Anti-Pit1 antibody [EPR23555-203] (AB273048)

The expression profile observed is consistent with what has been described in the literature (PMID : 21123951).
Negative control : Mouse liver (PMID : 21123951).

Blocking/Diluting buffer and concentration 5% NFDM/TBST

All lanes:

Western blot - Anti-Pit1 antibody [EPR23555-203] (ab273048) at 1/1000 dilution

Lane 1:

Mouse pituitary tissue lysate at 20 µg

Lane 2:

Mouse liver tissue lysate at 20 µg

Secondary

All lanes:

Western blot - Goat Anti-Rabbit IgG H&L (HRP) (<a href='/en-us/products/secondary-antibodies/goat-rabbit-igg-h-l-hrp-ab97051'>ab97051</a>) at 1/100000 dilution

Predicted band size: 33 kDa

Observed band size: 33 kDa

false

Exposure time: 81s

  • Carrier free

    Anti-Pit1 antibody [EPR23555-203] - BSA and Azide free

Key facts

Host species

Rabbit

Clonality

Monoclonal

Clone number

EPR23555-203

Isotype

IgG

Carrier free

No

Reacts with

Mouse, Rat

Applications

Flow Cyt (Intra), WB, ICC/IF, IHC-P, IHC-Fr, IP

applications

Immunogen

The exact immunogen used to generate this antibody is proprietary information.

Reactivity data

{ "title": "Reactivity Data", "filters": { "stats": ["", "Species", "Dilution Info", "Notes"], "tabs": { "all-applications": {"fullname" : "All Applications", "shortname": "All Applications"}, "IP" : {"fullname" : "Immunoprecipitation", "shortname":"IP"}, "WB" : {"fullname" : "Western blot", "shortname":"WB"}, "ICCIF" : {"fullname" : "Immunocytochemistry/ Immunofluorescence", "shortname":"ICC/IF"}, "IHCFr" : {"fullname" : "Immunohistochemistry (Frozen sections)", "shortname":"IHC-Fr"}, "FlowCytIntra" : {"fullname" : "Flow Cytometry (Intracellular)", "shortname":"Flow Cyt (Intra)"}, "IHCP" : {"fullname" : "Immunohistochemistry (Formalin/PFA-fixed paraffin-embedded sections)", "shortname":"IHC-P"} }, "product-promise": { "all": "all", "testedAndGuaranteed": "tested", "guaranteed": "expected", "predicted": "predicted", "notRecommended": "not-recommended" } }, "values": { "Human": { "IP-species-checked": "notRecommended", "IP-species-dilution-info": "", "IP-species-notes": "", "WB-species-checked": "notRecommended", "WB-species-dilution-info": "1/1000", "WB-species-notes": "<p></p>", "ICCIF-species-checked": "notRecommended", "ICCIF-species-dilution-info": "1/50", "ICCIF-species-notes": "<p></p>", "IHCFr-species-checked": "notRecommended", "IHCFr-species-dilution-info": "", "IHCFr-species-notes": "", "FlowCytIntra-species-checked": "notRecommended", "FlowCytIntra-species-dilution-info": "1/50", "FlowCytIntra-species-notes": "<p></p>", "IHCP-species-checked": "notRecommended", "IHCP-species-dilution-info": "1/4000", "IHCP-species-notes": "<p></p>" }, "Mouse": { "IP-species-checked": "testedAndGuaranteed", "IP-species-dilution-info": "1/30", "IP-species-notes": "<p></p>", "WB-species-checked": "testedAndGuaranteed", "WB-species-dilution-info": "1/1000", "WB-species-notes": "<p></p>", "ICCIF-species-checked": "guaranteed", "ICCIF-species-dilution-info": "", "ICCIF-species-notes": "", "IHCFr-species-checked": "testedAndGuaranteed", "IHCFr-species-dilution-info": "1/100", "IHCFr-species-notes": "<p>Heat mediated antigen retrieval using sodium citrate buffer (10mM citrate pH 6.0 + 0.05% Tween-20).</p>", "FlowCytIntra-species-checked": "guaranteed", "FlowCytIntra-species-dilution-info": "", "FlowCytIntra-species-notes": "", "IHCP-species-checked": "testedAndGuaranteed", "IHCP-species-dilution-info": "1/4000", "IHCP-species-notes": "<p></p>" }, "Rat": { "IP-species-checked": "testedAndGuaranteed", "IP-species-dilution-info": "1/30", "IP-species-notes": "<p></p>", "WB-species-checked": "testedAndGuaranteed", "WB-species-dilution-info": "1/1000", "WB-species-notes": "<p></p>", "ICCIF-species-checked": "testedAndGuaranteed", "ICCIF-species-dilution-info": "1/50", "ICCIF-species-notes": "<p></p>", "IHCFr-species-checked": "notRecommended", "IHCFr-species-dilution-info": "1/100", "IHCFr-species-notes": "<p>Heat mediated antigen retrieval using sodium citrate buffer (10mM citrate pH 6.0 + 0.05% Tween-20).</p>", "FlowCytIntra-species-checked": "testedAndGuaranteed", "FlowCytIntra-species-dilution-info": "1/50", "FlowCytIntra-species-notes": "<p></p>", "IHCP-species-checked": "notRecommended", "IHCP-species-dilution-info": "1/4000", "IHCP-species-notes": "<p></p>" } } }

Product details

What is this antibody validated in?
Anti-Pit1 antibody [EPR23555-203] (ab273048) is a rabbit recombinant monoclonal antibody and is validated for use in Western Blot (WB), Flow Cytometry (Intra), Flow Cytometry (Flow Cyt), Immunoprecipitation (IP), Immunohistochemistry (IHC-P), Immunohistochemistry (IHC-Fr), Immunocytochemistry/immunofluorescence (ICC/IF) in Mouse, Rat samples.

What is the molecular weight of Pit1?
Anti-Pit1 [EPR23555-203] (ab273048) specifically detects a band for Pit1 (UniProt: P28069) at a molecular weight of 33kDa.

Trial sizes available!
Test your antibody or perform pre-screening before committing to a larger quantity. Sold in 10µl. Discover our selection of trial-size antibodies.

Other related products
We have a range of other formats of antibody clone [EPR23555-203] also available for your convenience: ab273048, Carrier free - ab273057

Patented technology
Our RabMAb® technology is a patented hybridoma-based technology for making rabbit monoclonal antibodies. For details on our patents, please refer to RabMAb® patents.

What are the advantages of a recombinant monoclonal antibody?
This product is a recombinant monoclonal antibody, which offers several advantages including:

  • - High batch-to-batch consistency and reproducibility
  • - Improved sensitivity and specificity
  • - Long-term security of supply
  • - Animal-free batch production

For more information, read more on recombinant antibodies.

Properties and storage information

Form
Liquid
Purification technique
Affinity purification Protein A
Storage buffer
pH: 7.2 - 7.4 Preservative: 0.01% Sodium azide Constituents: PBS, 40% Glycerol (glycerin, glycerine), 0.05% BSA
Shipped at conditions
Blue Ice
Appropriate short-term storage duration
1-2 weeks
Appropriate short-term storage conditions
+4°C
Appropriate long-term storage conditions
-20°C
Aliquoting information
Upon delivery aliquot
Storage information
Avoid freeze / thaw cycle

Supplementary information

This supplementary information is collated from multiple sources and compiled automatically.

Pit1 also known as POU1F1 is a transcription factor with a mass of approximately 33 kDa. This protein is involved in the regulation of pituitary-specific genes and is critical for the development and function of the pituitary gland. It expresses mainly in the anterior pituitary where it activates several genes required for pituitary hormone production. Pit1 plays a role in differentiating somatotrophs lactotrophs and thyrotrophs which produce growth hormone prolactin and thyroid-stimulating hormone respectively.
Biological function summary

The Pit1 protein regulates the transcription of genes related to hormonal production in the anterior pituitary gland. It interacts with other transcription factors to form a complex that ensures the precise regulation of target genes. This regulation is essential for normal growth metabolism and reproductive functions. By controlling the expression of growth hormone thyroid-stimulating hormone and prolactin Pit1 directly affects various physiological processes in the body.

Pathways

Pit1 plays a vital role in the growth hormone (GH) and prolactin signaling pathways. It interacts with various regulatory proteins that modulate gene expression within these pathways. In the GH pathway Pit1 collaborates with proteins like GH-releasing hormone receptor to ensure adequate hormone levels in circulation. Additionally within the prolactin pathway Pit1 ensures the proper function of Jak-STAT signaling important for reproductive and metabolic functions. Its activity impacts important pathway components and further affects energy balance and cell proliferation.

Mutations or alterations in the Pit1 gene can lead to combined pituitary hormone deficiency (CPHD). This condition results in impaired hormone production affecting growth and development. Pit1 interacts with proteins like PROP1 which influences pituitary function and contributes to the pathogenesis of CPHD. Another disorder associated with Pit1 is congenital hypothyroidism where thyroid-stimulating hormone production is hindered impacting metabolism and growth. Understanding the role of Pit1 in these conditions can help in developing targeted therapies to manage hormonal disorders effectively.

Product protocols

For this product, it's our understanding that no specific protocols are required. You can visit:

Target data

Transcription factor involved in the specification of the lactotrope, somatotrope, and thyrotrope phenotypes in the developing anterior pituitary. Specifically binds to the consensus sequence 5'-TAAAT-3'. Activates growth hormone and prolactin genes (PubMed : 22010633, PubMed : 26612202).
See full target information POU1F1

Publications (3)

Recent publications for all applications. Explore the full list and refine your search

Oncoimmunology 12:2233399 PubMed37876834

2023

Spatial heterogeneity of T cell repertoire across NSCLC tumors, tumor edges, adjacent and distant lung tissues.

Applications

Unspecified application

Species

Unspecified reactive species

Qikang Hu,Meredith L Frank,Yang Gao,Liyan Ji,Muyun Peng,Chen Chen,Bin Wang,Yan Hu,Zeyu Wu,Jina Li,Lu Shu,Qiongzhi He,Yingqian Zhang,Xuefeng Xia,Jianjun Zhang,Xin Yi,Alexandre Reuben,Fenglei Yu

Frontiers in neuroscience 17:1109675 PubMed37250410

2023

Intranasal 15d-PGJ2 inhibits the growth of rat lactotroph pituitary neuroendocrine tumors by inducing PPARγ-dependent apoptotic and autophagic cell death.

Applications

Unspecified application

Species

Unspecified reactive species

Zongyang Li,Lei Chen,Di Zhang,Xianjian Huang,Jihu Yang,Weiping Li,Chuanfang Wang,Xiangbao Meng,Guodong Huang

Cells 11: PubMed35954244

2022

CHST7 Methylation Status Related to the Proliferation and Differentiation of Pituitary Adenomas.

Applications

Unspecified application

Species

Unspecified reactive species

Wei Dong,Wenjian Shi,Yongliang Liu,Jingwu Li,Yu Zhang,Guilan Dong,Xiaoliu Dong,Hua Gao
View all publications

Product promise

We are committed to supporting your work with high-quality reagents, and we're here for you every step of the way. In the unlikely event that one of our products does not perform as expected, you're protected by our Product Promise.
For full details, please see our Terms & Conditions

Please note: All products are 'FOR RESEARCH USE ONLY. NOT FOR USE IN DIAGNOSTIC OR THERAPEUTIC PROCEDURES'.

For licensing inquiries, please contact partnerships@abcam.com