JavaScript is disabled in your browser. Please enable JavaScript to view this website.
AB273057

Anti-Pit1 antibody [EPR23555-203] - BSA and Azide free

Be the first to review this product! Submit a review

|

(0 Publication)

Rabbit Recombinant Monoclonal PIT1 antibody. Carrier free. Suitable for IP, WB, ICC/IF, IHC-Fr, Flow Cyt (Intra), IHC-P and reacts with Mouse, Rat samples.

View Alternative Names

GHF1, PIT1, POU1F1, Pituitary-specific positive transcription factor 1, PIT-1, Growth hormone factor 1, GHF-1

9 Images
Immunohistochemistry (Formalin/PFA-fixed paraffin-embedded sections) - Anti-Pit1 antibody [EPR23555-203] - BSA and Azide free (AB273057)
  • IHC-P

Unknown

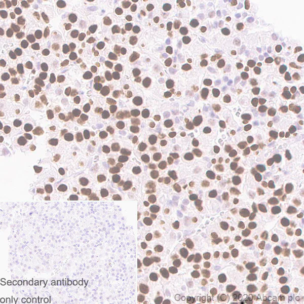
Immunohistochemistry (Formalin/PFA-fixed paraffin-embedded sections) - Anti-Pit1 antibody [EPR23555-203] - BSA and Azide free (AB273057)

Immunohistochemical analysis of paraffin-embedded mouse pituitary tissue labeling Pit1 with ab273048 at 1/4000 dilution followed by a ready to use Goat Anti-Rabbit IgG H&L (HRP). Nuclear staining in mouse pituitary (PMID : 21123951). Counterstained with Hematoxylin.

Secondary antibody only control : Secondary antibody is a ready to use Goat Anti-Rabbit IgG H&L (HRP).

Heat mediated antigen retrieval using ab93684 (Tris/EDTA buffer, pH 9.0).

This data was developed using the same antibody clone in a different buffer formulation containing PBS, BSA, glycerol, and sodium azide (ab273048).

Immunocytochemistry/ Immunofluorescence - Anti-Pit1 antibody [EPR23555-203] - BSA and Azide free (AB273057)
  • ICC/IF

Unknown

Immunocytochemistry/ Immunofluorescence - Anti-Pit1 antibody [EPR23555-203] - BSA and Azide free (AB273057)

Immunofluorescent analysis of 4% Paraformaldehyde-fixed, 0.1% Triton X-100 permeabilized GH3 (Rat pituitary epithelial cell line) cells labelling Pit1 with ab273048 at 1/50 dilution, followed by ab150077 Goat Anti-Rabbit IgG H&L (Alexa Fluor® 488) antibody at 1/1000 2μg/ml dilution (Green). Confocal image showing nuclear staining in GH3 cell line. ab195889 Anti-alpha Tubulin mouse monoclonal antibody - Microtubule Marker (Alexa Fluor® 594) was used to counterstain tubulin at 1/200 2.5μg/ml dilution (Red). The nuclear counterstain was DAPI (Blue).

Secondary antibody only control : Secondary antibody is ab150077 Goat Anti-Rabbit IgG H&L (Alexa Fluor® 488) at 1/1000 2μg/ml dilution.

This data was developed using the same antibody clone in a different buffer formulation containing PBS, BSA, glycerol, and sodium azide (ab273048).

Immunohistochemistry (Formalin/PFA-fixed paraffin-embedded sections) - Anti-Pit1 antibody [EPR23555-203] - BSA and Azide free (AB273057)
  • IHC-P

Unknown

Immunohistochemistry (Formalin/PFA-fixed paraffin-embedded sections) - Anti-Pit1 antibody [EPR23555-203] - BSA and Azide free (AB273057)

Immunohistochemical analysis of paraffin-embedded mouse cerebrum tissue labeling Pit1 with ab273048 at 1/4000 dilution followed by a ready to use Goat Anti-Rabbit IgG H&L (HRP). Counterstained with Hematoxylin.

Negative control : No staining in mouse cerebrum (PMID : 21123951).

Secondary antibody only control : Secondary antibody is a ready to use Goat Anti-Rabbit IgG H&L (HRP).

Heat mediated antigen retrieval using ab93684 (Tris/EDTA buffer, pH 9.0).

This data was developed using the same antibody clone in a different buffer formulation containing PBS, BSA, glycerol, and sodium azide (ab273048).

Immunohistochemistry (Frozen sections) - Anti-Pit1 antibody [EPR23555-203] - BSA and Azide free (AB273057)
  • IHC-Fr

Unknown

Immunohistochemistry (Frozen sections) - Anti-Pit1 antibody [EPR23555-203] - BSA and Azide free (AB273057)

Immunohistochemical analysis of 4% PFA-fixed, 0.2% Triton X-100 permeabilized frozen mouse liver tissue labeling Pit1 with ab273048 at 1/100 dilution followed by ab150077 Goat Anti-Rabbit IgG H&L (Alexa Fluor® 488) at 1/1000 (2μg/ml) dilution (Green). No staining on mouse liver is observed. The nuclear counterstain was DAPI (Blue).

Secondary antibody control : Secondary antibody is ab150077 Goat Anti-Rabbit IgG H&L (Alexa Fluor® 488) at 1/1000 (2μg/ml) dilution.

Heat mediated antigen retrieval using sodium citrate buffer (10mM citrate pH 6.0 + 0.05% Tween-20).

This data was developed using the same antibody clone in a different buffer formulation containing PBS, BSA, glycerol, and sodium azide (ab273048).

Flow Cytometry (Intracellular) - Anti-Pit1 antibody [EPR23555-203] - BSA and Azide free (AB273057)
  • Flow Cyt (Intra)

Unknown

Flow Cytometry (Intracellular) - Anti-Pit1 antibody [EPR23555-203] - BSA and Azide free (AB273057)

Intracellular flow cytometric analysis of 4% paraformaldehyde fixed 90% methanol permeabilized GH3 (Rat pituitary epithelial cell line) cells labelling Pit1 with ab273048 at 1/50 dilution (1μg) (Red) compared with a Rabbit monoclonal IgG (ab172730) (Black) isotype control and an unlabelled control (cells without incubation with primary antibody and secondary antibody) (Blue). Goat anti rabbit IgG (Alexa Fluor®488, ab150077) at 1/2000 dilution was used as the secondary antibody.

This data was developed using the same antibody clone in a different buffer formulation containing PBS, BSA, glycerol, and sodium azide (ab273048).

Immunohistochemistry (Frozen sections) - Anti-Pit1 antibody [EPR23555-203] - BSA and Azide free (AB273057)
  • IHC-Fr

Unknown

Immunohistochemistry (Frozen sections) - Anti-Pit1 antibody [EPR23555-203] - BSA and Azide free (AB273057)

Immunohistochemical analysis of 4% PFA-fixed, 0.2% Triton X-100 permeabilized frozen mouse pituitary tissue labeling Pit1 with ab273048 at 1/100 dilution followed by ab150077 Goat Anti-Rabbit IgG H&L (Alexa Fluor® 488) at 1/1000 (2μg/ml) dilution (Green). Nuclear staining on mouse pituitary is observed. The nuclear counterstain was DAPI (Blue).

Secondary antibody control : Secondary antibody is ab150077 Goat Anti-Rabbit IgG H&L (Alexa Fluor® 488) at 1/1000 (2μg/ml) dilution.

Heat mediated antigen retrieval using sodium citrate buffer (10mM citrate pH 6.0 + 0.05% Tween-20).

This data was developed using the same antibody clone in a different buffer formulation containing PBS, BSA, glycerol, and sodium azide (ab273048).

Immunoprecipitation - Anti-Pit1 antibody [EPR23555-203] - BSA and Azide free (AB273057)
  • IP

Unknown

Immunoprecipitation - Anti-Pit1 antibody [EPR23555-203] - BSA and Azide free (AB273057)

Pit1 was immunoprecipitated from 0.35 mg mouse pituitary tissue lysate 10μg with ab273048 at 1/30 dilution (2μg in 0.35mg lysates). Western blot was performed on the immunoprecipitate using ab273048 at 1/1000 dilution. VeriBlot for IP Detection Reagent (HRP)(ab131366) was used at 1/5000 dilution.

Lane 1 : Mouse pituitary tissue lysate 10μg.

Lane 2 : ab273048 IP in mouse pituitary tissue lysate.

Lane 3 : Rabbit monoclonal IgG (ab172730) instead of ab273048 in mouse pituitary tissue lysate.

Blocking and dilution buffer and concentration : 5% NFDM/TBST.

Exposure time : 23 seconds.

This data was developed using the same antibody clone in a different buffer formulation containing PBS, BSA, glycerol, and sodium azide (ab273048).

All lanes:

Immunoprecipitation - Anti-Pit1 antibody [EPR23555-203] (<a href='/en-us/products/primary-antibodies/pit1-antibody-epr23555-203-ab273048'>ab273048</a>)

Predicted band size: 33 kDa

false

Immunoprecipitation - Anti-Pit1 antibody [EPR23555-203] - BSA and Azide free (AB273057)
  • IP

Unknown

Immunoprecipitation - Anti-Pit1 antibody [EPR23555-203] - BSA and Azide free (AB273057)

Pit1 was immunoprecipitated from 0.35 mg GH3 (Rat pituitary epithelial), whole cell lysate 10μg with ab273048 at 1/30 dilution (2μg in 0.35mg lysates). Western blot was performed on the immunoprecipitate using ab273048 at 1/1000 dilution. VeriBlot for IP Detection Reagent (HRP)(ab131366) was used at 1/5000 dilution.

Lane 1 : GH3 (Rat pituitary epithelial), whole cell lysate 10μg.

Lane 2 : ab273048 IP in GH3 whole cell lysate.

Lane 3 : Rabbit monoclonal IgG (ab172730) instead of ab273048 in GH3 whole cell lysate.

Blocking and dilution buffer and concentration : 5% NFDM/TBST.

Exposure time : 5 seconds.

This data was developed using the same antibody clone in a different buffer formulation containing PBS, BSA, glycerol, and sodium azide (ab273048).

All lanes:

Immunoprecipitation - Anti-Pit1 antibody [EPR23555-203] (<a href='/en-us/products/primary-antibodies/pit1-antibody-epr23555-203-ab273048'>ab273048</a>)

Predicted band size: 33 kDa

false

Western blot - Anti-Pit1 antibody [EPR23555-203] - BSA and Azide free (AB273057)
  • WB

Lab

Western blot - Anti-Pit1 antibody [EPR23555-203] - BSA and Azide free (AB273057)

The expression profile observed is consistent with what has been described in the literature (PMID : 21123951).
Negative control : Mouse liver (PMID : 21123951).

Blocking/Diluting buffer and concentration 5% NFDM/TBST.

This data was developed using the same antibody clone in a different buffer formulation containing PBS, BSA, glycerol, and sodium azide (ab273048).

All lanes:

Western blot - Anti-Pit1 antibody [EPR23555-203] (<a href='/en-us/products/primary-antibodies/pit1-antibody-epr23555-203-ab273048'>ab273048</a>) at 1/1000 dilution

Lane 1:

Mouse pituitary tissue lysate at 20 µg

Lane 2:

Mouse liver tissue lysate at 20 µg

Secondary

All lanes:

Western blot - Goat Anti-Rabbit IgG H&L (HRP) (<a href='/en-us/products/secondary-antibodies/goat-rabbit-igg-h-l-hrp-ab97051'>ab97051</a>) at 1/100000 dilution

Predicted band size: 33 kDa

Observed band size: 33 kDa

false

Exposure time: 81s

Key facts

Host species

Rabbit

Clonality

Monoclonal

Clone number

EPR23555-203

Isotype

IgG

Carrier free

Yes

Reacts with

Mouse, Rat

Applications

IHC-Fr, IP, IHC-P, ICC/IF, Flow Cyt (Intra), WB

applications

Immunogen

The exact immunogen used to generate this antibody is proprietary information.

Reactivity data

{ "title": "Reactivity Data", "filters": { "stats": ["", "Species", "Dilution Info", "Notes"], "tabs": { "all-applications": {"fullname" : "All Applications", "shortname": "All Applications"}, "IP" : {"fullname" : "Immunoprecipitation", "shortname":"IP"}, "WB" : {"fullname" : "Western blot", "shortname":"WB"}, "ICCIF" : {"fullname" : "Immunocytochemistry/ Immunofluorescence", "shortname":"ICC/IF"}, "IHCFr" : {"fullname" : "Immunohistochemistry (Frozen sections)", "shortname":"IHC-Fr"}, "FlowCytIntra" : {"fullname" : "Flow Cytometry (Intracellular)", "shortname":"Flow Cyt (Intra)"}, "IHCP" : {"fullname" : "Immunohistochemistry (Formalin/PFA-fixed paraffin-embedded sections)", "shortname":"IHC-P"} }, "product-promise": { "all": "all", "testedAndGuaranteed": "tested", "guaranteed": "expected", "predicted": "predicted", "notRecommended": "not-recommended" } }, "values": { "Human": { "IP-species-checked": "notRecommended", "IP-species-dilution-info": "", "IP-species-notes": "", "WB-species-checked": "notRecommended", "WB-species-dilution-info": "", "WB-species-notes": "<p></p>", "ICCIF-species-checked": "notRecommended", "ICCIF-species-dilution-info": "", "ICCIF-species-notes": "<p></p>", "IHCFr-species-checked": "notRecommended", "IHCFr-species-dilution-info": "", "IHCFr-species-notes": "", "FlowCytIntra-species-checked": "notRecommended", "FlowCytIntra-species-dilution-info": "", "FlowCytIntra-species-notes": "", "IHCP-species-checked": "notRecommended", "IHCP-species-dilution-info": "", "IHCP-species-notes": "<p></p>" }, "Mouse": { "IP-species-checked": "testedAndGuaranteed", "IP-species-dilution-info": "", "IP-species-notes": "<p></p>", "WB-species-checked": "testedAndGuaranteed", "WB-species-dilution-info": "", "WB-species-notes": "<p></p>", "ICCIF-species-checked": "guaranteed", "ICCIF-species-dilution-info": "", "ICCIF-species-notes": "", "IHCFr-species-checked": "testedAndGuaranteed", "IHCFr-species-dilution-info": "", "IHCFr-species-notes": "<p>Heat mediated antigen retrieval using sodium citrate buffer (10mM citrate pH 6.0 + 0.05% Tween-20).</p>", "FlowCytIntra-species-checked": "guaranteed", "FlowCytIntra-species-dilution-info": "", "FlowCytIntra-species-notes": "", "IHCP-species-checked": "testedAndGuaranteed", "IHCP-species-dilution-info": "", "IHCP-species-notes": "<p></p>" }, "Rat": { "IP-species-checked": "testedAndGuaranteed", "IP-species-dilution-info": "", "IP-species-notes": "<p></p>", "WB-species-checked": "testedAndGuaranteed", "WB-species-dilution-info": "", "WB-species-notes": "<p></p>", "ICCIF-species-checked": "testedAndGuaranteed", "ICCIF-species-dilution-info": "", "ICCIF-species-notes": "<p></p>", "IHCFr-species-checked": "notRecommended", "IHCFr-species-dilution-info": "", "IHCFr-species-notes": "<p>Heat mediated antigen retrieval using sodium citrate buffer (10mM citrate pH 6.0 + 0.05% Tween-20).</p>", "FlowCytIntra-species-checked": "testedAndGuaranteed", "FlowCytIntra-species-dilution-info": "", "FlowCytIntra-species-notes": "<p></p>", "IHCP-species-checked": "notRecommended", "IHCP-species-dilution-info": "", "IHCP-species-notes": "<p></p>" } } }

Product details

ab273057 is the carrier-free version of ab273048.

Patented technology
Our RabMAb® technology is a patented hybridoma-based technology for making rabbit monoclonal antibodies. For details on our patents, please refer to RabMAb® patents.

What are the advantages of a recombinant monoclonal antibody?
This product is a recombinant monoclonal antibody, which offers several advantages including:

  • - High batch-to-batch consistency and reproducibility
  • - Improved sensitivity and specificity
  • - Long-term security of supply
  • - Animal-free batch production

For more information, read more on recombinant antibodies.

Conjugation ready
Our carrier-free antibodies are typically supplied in a PBS-only formulation, purified and free of BSA, sodium azide and glycerol. This conjugation-ready format is designed for use with fluorochromes, metal isotopes, oligonucleotides, and enzymes, which makes them ideal for antibody labelling, functional and cell-based assays, flow-based assays (e.g. mass cytometry) and Multiplex Imaging applications.

Use our conjugation kits for antibody conjugates that are ready-to-use in as little as 20 minutes with 1 minute hands-on-time and 100% antibody recovery: available for fluorescent dyes, HRP, biotin and gold.

Compatibility
This product is compatible with the Maxpar® Antibody Labeling Kit from Fluidigm, without the need for antibody preparation. Maxpar® is a trademark of Fluidigm Canada Inc.

Properties and storage information

Form
Liquid
Purification technique
Affinity purification Protein A
Storage buffer
pH: 7.2 - 7.4 Constituents: PBS
Shipped at conditions
Blue Ice
Appropriate short-term storage conditions
+4°C
Appropriate long-term storage conditions
+4°C
Storage information
Do Not Freeze

Supplementary information

This supplementary information is collated from multiple sources and compiled automatically.

Pit1 also known as POU1F1 is a transcription factor with a mass of approximately 33 kDa. This protein is involved in the regulation of pituitary-specific genes and is critical for the development and function of the pituitary gland. It expresses mainly in the anterior pituitary where it activates several genes required for pituitary hormone production. Pit1 plays a role in differentiating somatotrophs lactotrophs and thyrotrophs which produce growth hormone prolactin and thyroid-stimulating hormone respectively.
Biological function summary

The Pit1 protein regulates the transcription of genes related to hormonal production in the anterior pituitary gland. It interacts with other transcription factors to form a complex that ensures the precise regulation of target genes. This regulation is essential for normal growth metabolism and reproductive functions. By controlling the expression of growth hormone thyroid-stimulating hormone and prolactin Pit1 directly affects various physiological processes in the body.

Pathways

Pit1 plays a vital role in the growth hormone (GH) and prolactin signaling pathways. It interacts with various regulatory proteins that modulate gene expression within these pathways. In the GH pathway Pit1 collaborates with proteins like GH-releasing hormone receptor to ensure adequate hormone levels in circulation. Additionally within the prolactin pathway Pit1 ensures the proper function of Jak-STAT signaling important for reproductive and metabolic functions. Its activity impacts important pathway components and further affects energy balance and cell proliferation.

Mutations or alterations in the Pit1 gene can lead to combined pituitary hormone deficiency (CPHD). This condition results in impaired hormone production affecting growth and development. Pit1 interacts with proteins like PROP1 which influences pituitary function and contributes to the pathogenesis of CPHD. Another disorder associated with Pit1 is congenital hypothyroidism where thyroid-stimulating hormone production is hindered impacting metabolism and growth. Understanding the role of Pit1 in these conditions can help in developing targeted therapies to manage hormonal disorders effectively.

Product protocols

For this product, it's our understanding that no specific protocols are required. You can visit:

Target data

Transcription factor involved in the specification of the lactotrope, somatotrope, and thyrotrope phenotypes in the developing anterior pituitary. Specifically binds to the consensus sequence 5'-TAAAT-3'. Activates growth hormone and prolactin genes (PubMed : 22010633, PubMed : 26612202).
See full target information POU1F1

Product promise

We are committed to supporting your work with high-quality reagents, and we're here for you every step of the way. In the unlikely event that one of our products does not perform as expected, you're protected by our Product Promise.
For full details, please see our Terms & Conditions

Please note: All products are 'FOR RESEARCH USE ONLY. NOT FOR USE IN DIAGNOSTIC OR THERAPEUTIC PROCEDURES'.

For licensing inquiries, please contact partnerships@abcam.com