JavaScript is disabled in your browser. Please enable JavaScript to view this website.
AB313643

Anti-Pit1 antibody [EPR28191-52] - BSA and Azide free

Be the first to review this product! Submit a review

|

(0 Publication)

Rabbit Recombinant Monoclonal PIT1 antibody. Carrier free. Suitable for IHC-P, WB and reacts with Human, Mouse, Rat, Transfected cell lysate - Human samples.

View Alternative Names

GHF1, PIT1, POU1F1, Pituitary-specific positive transcription factor 1, PIT-1, Growth hormone factor 1, GHF-1

10 Images
Immunohistochemistry (Formalin/PFA-fixed paraffin-embedded sections) - Anti-Pit1 antibody [EPR28191-52] - BSA and Azide free (AB313643)
  • IHC-P

Supplier Data

Immunohistochemistry (Formalin/PFA-fixed paraffin-embedded sections) - Anti-Pit1 antibody [EPR28191-52] - BSA and Azide free (AB313643)

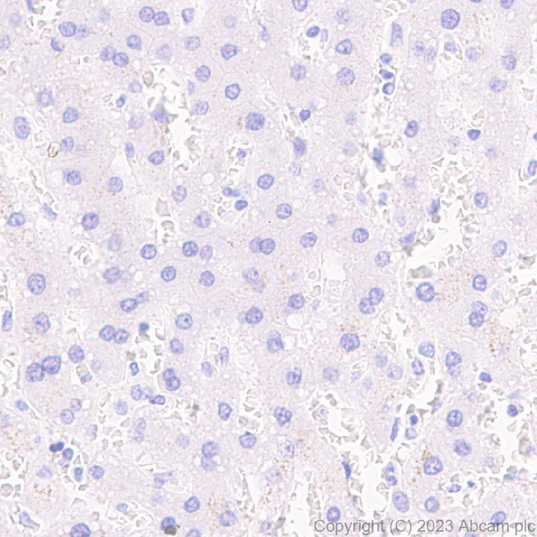
This data was developed using ab313642, the same antibody clone in a different buffer formulation. Immunohistochemical analysis of paraffin-embedded human liver tissue labeling Pit1 with ab313642 at 1/100 (5.25 ug/ml) followed by a ready to use LeicaDS9800 (Bond™ Polymer Refine Detection). Negative control : no staining on human liver.The section was incubated with ab313642 for 30 mins at room temperature.The immunostaining was performed on a Leica Biosystems BOND® RX instrumentIncubate slides with 3% Hydrogen Peroxide for 10 mins at room temperature after secondary antibody incubation to reduce the background Counterstained with Hematoxylin. Secondary antibody only control : Secondary antibody is a ready to use LeicaDS9800 (Bond™ Polymer Refine Detection). Heat mediated antigen retrieval was performed with Tris-EDTA buffer (pH 9.0, Epitope Retrieval Solution2) for 20 mins

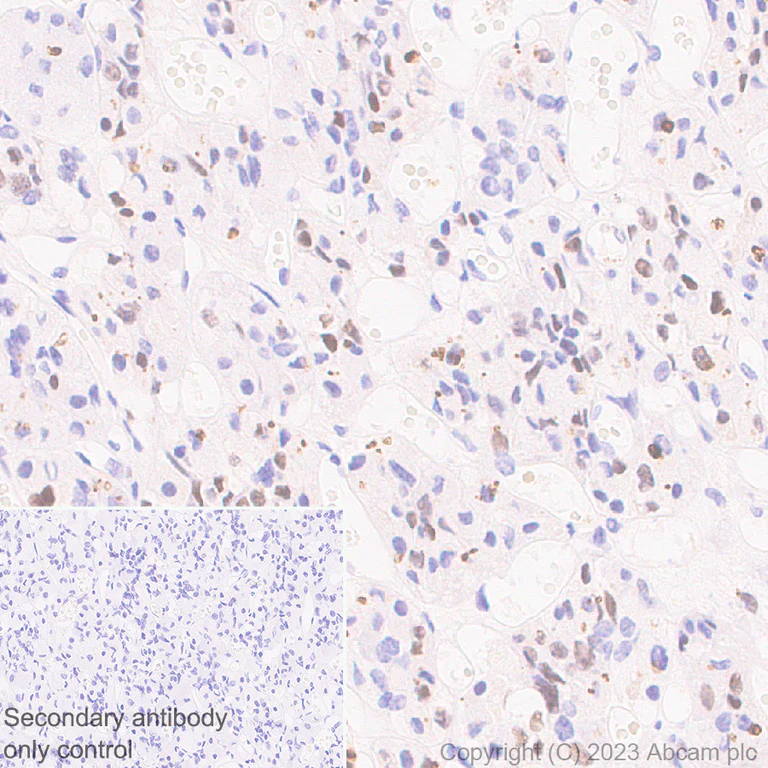
Immunohistochemistry (Formalin/PFA-fixed paraffin-embedded sections) - Anti-Pit1 antibody [EPR28191-52] - BSA and Azide free (AB313643)
  • IHC-P

Supplier Data

Immunohistochemistry (Formalin/PFA-fixed paraffin-embedded sections) - Anti-Pit1 antibody [EPR28191-52] - BSA and Azide free (AB313643)

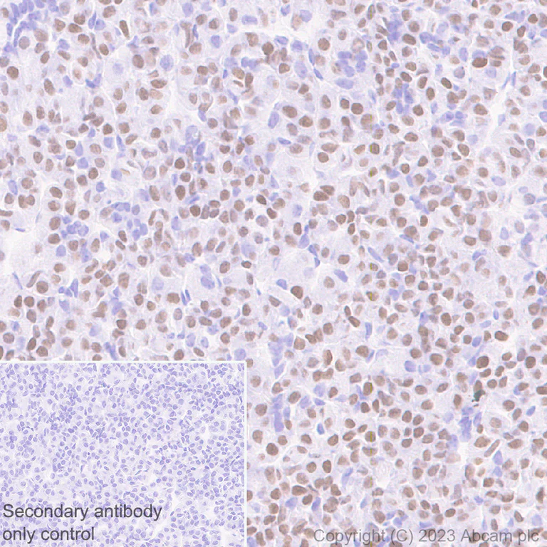
This data was developed using ab313642, the same antibody clone in a different buffer formulation. Immunohistochemical analysis of paraffin-embedded Human pituitary tissue labeling Pit1 with ab313642 at 1/100 (5.25 ug/ml) followed by a ready to use LeicaDS9800 (Bond™ Polymer Refine Detection). Positive staining on human pituitary (PMID : 2902927, 27351100).The section was incubated with ab313642 for 30 mins at room temperature.The immunostaining was performed on a Leica Biosystems BOND® RX instrumentIncubate slides with 3% Hydrogen Peroxide for 10 mins at room temperature after secondary antibody incubation to reduce the background Counterstained with Hematoxylin. Secondary antibody only control : Secondary antibody is a ready to use LeicaDS9800 (Bond™ Polymer Refine Detection). Heat mediated antigen retrieval was performed with Tris-EDTA buffer (pH 9.0, Epitope Retrieval Solution2) for 20 mins

Immunohistochemistry (Formalin/PFA-fixed paraffin-embedded sections) - Anti-Pit1 antibody [EPR28191-52] - BSA and Azide free (AB313643)
  • IHC-P

Supplier Data

Immunohistochemistry (Formalin/PFA-fixed paraffin-embedded sections) - Anti-Pit1 antibody [EPR28191-52] - BSA and Azide free (AB313643)

This data was developed using ab313642, the same antibody clone in a different buffer formulation. Immunohistochemical analysis of paraffin-embedded mouse liver tissue labeling Pit1 with ab313642 at 1/500 (1.05 ug/ml) followed by a ready to use LeicaDS9800 (Bond™ Polymer Refine Detection). Negative control : no staining on mouse liver.The section was incubated with ab313642 for 30 mins at room temperature.The immunostaining was performed on a Leica Biosystems BOND® RX instrumentIncubate slides with 3% Hydrogen Peroxide for 10 mins at room temperature after secondary antibody incubation to reduce the background Counterstained with Hematoxylin. Secondary antibody only control : Secondary antibody is a ready to use LeicaDS9800 (Bond™ Polymer Refine Detection). Heat mediated antigen retrieval was performed with Tris-EDTA buffer (pH 9.0, Epitope Retrieval Solution2) for 20 mins

Immunohistochemistry (Formalin/PFA-fixed paraffin-embedded sections) - Anti-Pit1 antibody [EPR28191-52] - BSA and Azide free (AB313643)
  • IHC-P

Supplier Data

Immunohistochemistry (Formalin/PFA-fixed paraffin-embedded sections) - Anti-Pit1 antibody [EPR28191-52] - BSA and Azide free (AB313643)

This data was developed using ab313642, the same antibody clone in a different buffer formulation. Immunohistochemical analysis of paraffin-embedded rat liver tissue labeling Pit1 with ab313642 at 1/500 (1.05 ug/ml) followed by a ready to use LeicaDS9800 (Bond™ Polymer Refine Detection). Negative control : no staining on rat liver.The section was incubated with ab313642 for 30 mins at room temperature.The immunostaining was performed on a Leica Biosystems BOND® RX instrumentIncubate slides with 3% Hydrogen Peroxide for 10 mins at room temperature after secondary antibody incubation to reduce the background Counterstained with Hematoxylin. Secondary antibody only control : Secondary antibody is a ready to use LeicaDS9800 (Bond™ Polymer Refine Detection). Heat mediated antigen retrieval was performed with Tris-EDTA buffer (pH 9.0, Epitope Retrieval Solution2) for 20 mins

Immunohistochemistry (Formalin/PFA-fixed paraffin-embedded sections) - Anti-Pit1 antibody [EPR28191-52] - BSA and Azide free (AB313643)
  • IHC-P

Supplier Data

Immunohistochemistry (Formalin/PFA-fixed paraffin-embedded sections) - Anti-Pit1 antibody [EPR28191-52] - BSA and Azide free (AB313643)

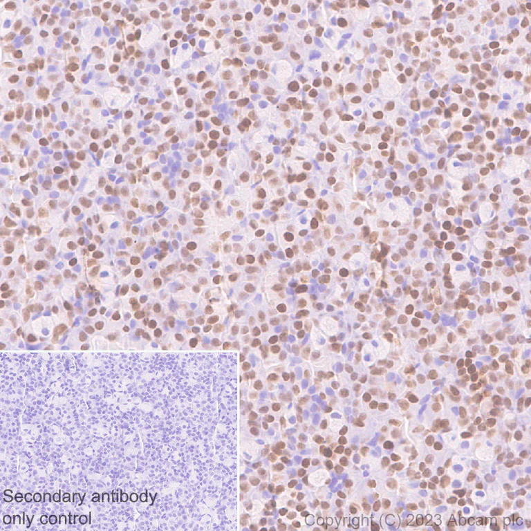
This data was developed using ab313642, the same antibody clone in a different buffer formulation. Immunohistochemical analysis of paraffin-embedded Mouse pituitary tissue labeling Pit1 with ab313642 at 1/500 (1.05 ug/ml) followed by a ready to use LeicaDS9800 (Bond™ Polymer Refine Detection). Positive staining on mouse pituitary.The section was incubated with ab313642 for 30 mins at room temperature.The immunostaining was performed on a Leica Biosystems BOND® RX instrumentIncubate slides with 3% Hydrogen Peroxide for 10 mins at room temperature after secondary antibody incubation to reduce the background Counterstained with Hematoxylin. Secondary antibody only control : Secondary antibody is a ready to use LeicaDS9800 (Bond™ Polymer Refine Detection). Heat mediated antigen retrieval was performed with Tris-EDTA buffer (pH 9.0, Epitope Retrieval Solution2) for 20 mins

Immunohistochemistry (Formalin/PFA-fixed paraffin-embedded sections) - Anti-Pit1 antibody [EPR28191-52] - BSA and Azide free (AB313643)
  • IHC-P

Supplier Data

Immunohistochemistry (Formalin/PFA-fixed paraffin-embedded sections) - Anti-Pit1 antibody [EPR28191-52] - BSA and Azide free (AB313643)

This data was developed using ab313642, the same antibody clone in a different buffer formulation. Immunohistochemical analysis of paraffin-embedded Rat pituitary tissue labeling Pit1 with ab313642 at 1/500 (1.05 ug/ml) followed by a ready to use LeicaDS9800 (Bond™ Polymer Refine Detection). Positive staining on rat pituitary.The section was incubated with ab313642 for 30 mins at room temperature.The immunostaining was performed on a Leica Biosystems BOND® RX instrumentIncubate slides with 3% Hydrogen Peroxide for 10 mins at room temperature after secondary antibody incubation to reduce the background Counterstained with Hematoxylin. Secondary antibody only control : Secondary antibody is a ready to use LeicaDS9800 (Bond™ Polymer Refine Detection). Heat mediated antigen retrieval was performed with Tris-EDTA buffer (pH 9.0, Epitope Retrieval Solution2) for 20 mins

Western blot - Anti-Pit1 antibody [EPR28191-52] - BSA and Azide free (AB313643)
  • WB

Supplier Data

Western blot - Anti-Pit1 antibody [EPR28191-52] - BSA and Azide free (AB313643)

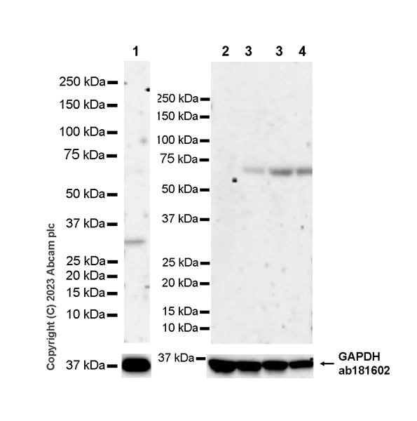
This data was developed using ab313642, the same antibody clone in a different buffer formulation. Blocking and diluting buffer and concentration : 5% NFDM/TBST Negative control : cerebellum (PMID : 2902927), liver (PMID : 2902927), kidney (PMID : 2902927), spleen. The expression profile/ molecular weight observed is consistent with what has been described in the literature (PMID : 33927188, 16968807). The identity of the higher MW band at approximately 70 kDa is unknown. In Western blot, anti-GAPDH antibody (ab181602) loading control staining at 1/200000 dilution. Exposure time : 180 seconds.

All lanes:

Western blot - Anti-Pit1 antibody [EPR28191-52] (<a href='/en-us/products/primary-antibodies/pit1-antibody-epr28191-52-ab313642'>ab313642</a>) at 1/1000 dilution

Lane 1:

Human pituitary tissue lysate at 20 µg

Lane 2:

Human cerebellum tissue lysate at 20 µg

Lane 3:

Human liver tissue lysate at 20 µg

Lane 4:

Human kidney tissue lysate at 20 µg

Lane 5:

Human spleen tissue lysate at 20 µg

Secondary

All lanes:

Goat Anti-Rabbit IgG (HRP) with minimal cross-reactivity with human IgG at 1/2000 dilution

Observed band size: 33 kDa

false

Exposure time: 180s

Western blot - Anti-Pit1 antibody [EPR28191-52] - BSA and Azide free (AB313643)
  • WB

Supplier Data

Western blot - Anti-Pit1 antibody [EPR28191-52] - BSA and Azide free (AB313643)

This data was developed using ab313642, the same antibody clone in a different buffer formulation. Blocking and diluting buffer and concentration : 5% NFDM/TBST Negative control : liver, skeletal muscle (PMID : 2902927). The expression profile/ molecular weight observed is consistent with what has been described in the literature (PMID : 33927188, 16968807). In Western blot, anti-GAPDH antibody (ab181602) loading control staining at 1/200000 dilution. Exposure time : 180 seconds

All lanes:

Western blot - Anti-Pit1 antibody [EPR28191-52] (<a href='/en-us/products/primary-antibodies/pit1-antibody-epr28191-52-ab313642'>ab313642</a>) at 1/1000 dilution

Lane 1:

Rat pituitary tissue lysate at 20 µg

Lane 2:

Rat liver tissue lysate at 20 µg

Lane 3:

Rat skeletal muscle tissue lysate at 20 µg

Secondary

All lanes:

Western blot - Goat Anti-Rabbit IgG H&L (HRP) (<a href='/en-us/products/secondary-antibodies/goat-rabbit-igg-h-l-hrp-ab97051'>ab97051</a>) at 1/20000 dilution

Observed band size: 33 kDa

false

Exposure time: 180s

Western blot - Anti-Pit1 antibody [EPR28191-52] - BSA and Azide free (AB313643)
  • WB

Supplier Data

Western blot - Anti-Pit1 antibody [EPR28191-52] - BSA and Azide free (AB313643)

This data was developed using ab313642, the same antibody clone in a different buffer formulation. Blocking and diluting buffer and concentration : 5% NFDM/TBST Negative control : brain (PMID : 2902927), kidney (PMID : 2902927), heart, spleen. The expression profile/ molecular weight observed is consistent with what has been described in the literature (PMID : 33927188, 16968807). In Western blot, anti-GAPDH antibody (ab181602) loading control staining at 1/200000 dilution. Exposure time : 180 seconds

All lanes:

Western blot - Anti-Pit1 antibody [EPR28191-52] (<a href='/en-us/products/primary-antibodies/pit1-antibody-epr28191-52-ab313642'>ab313642</a>) at 1/1000 dilution

Lane 1:

Mouse pituitary tissue lysate at 20 µg

Lane 2:

Mouse brain tissue lysate at 20 µg

Lane 3:

Mouse heart tissue lysate at 20 µg

Lane 4:

Mouse kidney tissue lysate at 20 µg

Lane 5:

Mouse spleen tissue lysate at 20 µg

Secondary

All lanes:

Western blot - Goat Anti-Rabbit IgG H&L (HRP) (<a href='/en-us/products/secondary-antibodies/goat-rabbit-igg-h-l-hrp-ab97051'>ab97051</a>) at 1/20000 dilution

Observed band size: 33 kDa

false

Exposure time: 180s

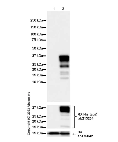
Western blot - Anti-Pit1 antibody [EPR28191-52] - BSA and Azide free (AB313643)
  • WB

Supplier Data

Western blot - Anti-Pit1 antibody [EPR28191-52] - BSA and Azide free (AB313643)

This data was developed using ab313642, the same antibody clone in a different buffer formulation. Blocking and diluting buffer and concentration : 5% NFDM/TBST In Western blot, anti-His antibody (ab213204) staining at 1/5000 dilution. Anti-H3 antibody (ab176842) loading control staining at 1/100000 dilution. Exposure time : 6 seconds

All lanes:

Western blot - Anti-Pit1 antibody [EPR28191-52] (<a href='/en-us/products/primary-antibodies/pit1-antibody-epr28191-52-ab313642'>ab313642</a>) at 1/1000 dilution

Lane 1:

293T cells transfected with an empty vector containi a His-tag whole cell lysate at 20 µg

Lane 2:

293T cells transfected with a human Pit1 expression vector containi a His-tag whole cell lysate at 20 µg

Secondary

All lanes:

Western blot - Goat Anti-Rabbit IgG H&L (HRP) (<a href='/en-us/products/secondary-antibodies/goat-rabbit-igg-h-l-hrp-ab97051'>ab97051</a>) at 1/100000 dilution

Observed band size: 33 kDa

false

Exposure time: 6s

Key facts

Host species

Rabbit

Clonality

Monoclonal

Clone number

EPR28191-52

Isotype

IgG

Carrier free

Yes

Reacts with

Human, Mouse, Rat

Applications

WB, IHC-P

applications

Immunogen

The exact immunogen used to generate this antibody is proprietary information.

Reactivity data

{ "title": "Reactivity Data", "filters": { "stats": ["", "Species", "Dilution Info", "Notes"], "tabs": { "all-applications": {"fullname" : "All Applications", "shortname": "All Applications"}, "IHCP" : {"fullname" : "Immunohistochemistry (Formalin/PFA-fixed paraffin-embedded sections)", "shortname":"IHC-P"}, "WB" : {"fullname" : "Western blot", "shortname":"WB"}, "ICCIF" : {"fullname" : "Immunocytochemistry/ Immunofluorescence", "shortname":"ICC/IF"}, "IP" : {"fullname" : "Immunoprecipitation", "shortname":"IP"}, "FlowCytIntra" : {"fullname" : "Flow Cytometry (Intracellular)", "shortname":"Flow Cyt (Intra)"} }, "product-promise": { "all": "all", "testedAndGuaranteed": "tested", "guaranteed": "expected", "predicted": "predicted", "notRecommended": "not-recommended" } }, "values": { "Human": { "IHCP-species-checked": "testedAndGuaranteed", "IHCP-species-dilution-info": "", "IHCP-species-notes": "<p></p>", "WB-species-checked": "testedAndGuaranteed", "WB-species-dilution-info": "", "WB-species-notes": "<p></p>", "ICCIF-species-checked": "notRecommended", "ICCIF-species-dilution-info": "", "ICCIF-species-notes": "<p></p>", "IP-species-checked": "notRecommended", "IP-species-dilution-info": "", "IP-species-notes": "<p></p>", "FlowCytIntra-species-checked": "notRecommended", "FlowCytIntra-species-dilution-info": "", "FlowCytIntra-species-notes": "<p></p>" }, "Mouse": { "IHCP-species-checked": "testedAndGuaranteed", "IHCP-species-dilution-info": "", "IHCP-species-notes": "<p></p>", "WB-species-checked": "testedAndGuaranteed", "WB-species-dilution-info": "", "WB-species-notes": "<p></p>", "ICCIF-species-checked": "notRecommended", "ICCIF-species-dilution-info": "", "ICCIF-species-notes": "", "IP-species-checked": "notRecommended", "IP-species-dilution-info": "", "IP-species-notes": "", "FlowCytIntra-species-checked": "notRecommended", "FlowCytIntra-species-dilution-info": "", "FlowCytIntra-species-notes": "" }, "Rat": { "IHCP-species-checked": "testedAndGuaranteed", "IHCP-species-dilution-info": "", "IHCP-species-notes": "<p></p>", "WB-species-checked": "testedAndGuaranteed", "WB-species-dilution-info": "", "WB-species-notes": "<p></p>", "ICCIF-species-checked": "notRecommended", "ICCIF-species-dilution-info": "", "ICCIF-species-notes": "", "IP-species-checked": "notRecommended", "IP-species-dilution-info": "", "IP-species-notes": "", "FlowCytIntra-species-checked": "notRecommended", "FlowCytIntra-species-dilution-info": "", "FlowCytIntra-species-notes": "" }, "Transfected cell lysate - Human": { "IHCP-species-checked": "notRecommended", "IHCP-species-dilution-info": "", "IHCP-species-notes": "", "WB-species-checked": "testedAndGuaranteed", "WB-species-dilution-info": "", "WB-species-notes": "<p></p>", "ICCIF-species-checked": "notRecommended", "ICCIF-species-dilution-info": "", "ICCIF-species-notes": "", "IP-species-checked": "notRecommended", "IP-species-dilution-info": "", "IP-species-notes": "", "FlowCytIntra-species-checked": "notRecommended", "FlowCytIntra-species-dilution-info": "", "FlowCytIntra-species-notes": "" } } }

Product details

Patented technology
Our RabMAb® technology is a patented hybridoma-based technology for making rabbit monoclonal antibodies. For details on our patents, please refer to RabMAb® patents.

What are the advantages of a recombinant monoclonal antibody?
This product is a recombinant monoclonal antibody, which offers several advantages including:

  • - High batch-to-batch consistency and reproducibility
  • - Improved sensitivity and specificity
  • - Long-term security of supply
  • - Animal-free batch production

For more information, read more on recombinant antibodies.

Conjugation ready
Our carrier-free antibodies are typically supplied in a PBS-only formulation, purified and free of BSA, sodium azide and glycerol. This conjugation-ready format is designed for use with fluorochromes, metal isotopes, oligonucleotides, and enzymes, which makes them ideal for antibody labelling, functional and cell-based assays, flow-based assays (e.g. mass cytometry) and Multiplex Imaging applications.

Use our conjugation kits for antibody conjugates that are ready-to-use in as little as 20 minutes with 1 minute hands-on-time and 100% antibody recovery: available for fluorescent dyes, HRP, biotin and gold.

Compatibility
This product is compatible with the Maxpar® Antibody Labeling Kit from Fluidigm, without the need for antibody preparation. Maxpar® is a trademark of Fluidigm Canada Inc.

Properties and storage information

Form
Liquid
Purification technique
Affinity purification Protein A
Storage buffer
pH: 7.2 - 7.4 Constituents: PBS
Shipped at conditions
Blue Ice
Appropriate short-term storage conditions
+4°C
Appropriate long-term storage conditions
+4°C

Supplementary information

This supplementary information is collated from multiple sources and compiled automatically.

Pit1 also known as POU1F1 is a transcription factor with a mass of approximately 33 kDa. This protein is involved in the regulation of pituitary-specific genes and is critical for the development and function of the pituitary gland. It expresses mainly in the anterior pituitary where it activates several genes required for pituitary hormone production. Pit1 plays a role in differentiating somatotrophs lactotrophs and thyrotrophs which produce growth hormone prolactin and thyroid-stimulating hormone respectively.
Biological function summary

The Pit1 protein regulates the transcription of genes related to hormonal production in the anterior pituitary gland. It interacts with other transcription factors to form a complex that ensures the precise regulation of target genes. This regulation is essential for normal growth metabolism and reproductive functions. By controlling the expression of growth hormone thyroid-stimulating hormone and prolactin Pit1 directly affects various physiological processes in the body.

Pathways

Pit1 plays a vital role in the growth hormone (GH) and prolactin signaling pathways. It interacts with various regulatory proteins that modulate gene expression within these pathways. In the GH pathway Pit1 collaborates with proteins like GH-releasing hormone receptor to ensure adequate hormone levels in circulation. Additionally within the prolactin pathway Pit1 ensures the proper function of Jak-STAT signaling important for reproductive and metabolic functions. Its activity impacts important pathway components and further affects energy balance and cell proliferation.

Mutations or alterations in the Pit1 gene can lead to combined pituitary hormone deficiency (CPHD). This condition results in impaired hormone production affecting growth and development. Pit1 interacts with proteins like PROP1 which influences pituitary function and contributes to the pathogenesis of CPHD. Another disorder associated with Pit1 is congenital hypothyroidism where thyroid-stimulating hormone production is hindered impacting metabolism and growth. Understanding the role of Pit1 in these conditions can help in developing targeted therapies to manage hormonal disorders effectively.

Product protocols

For this product, it's our understanding that no specific protocols are required. You can visit:

Target data

Transcription factor involved in the specification of the lactotrope, somatotrope, and thyrotrope phenotypes in the developing anterior pituitary. Specifically binds to the consensus sequence 5'-TAAAT-3'. Activates growth hormone and prolactin genes (PubMed : 22010633, PubMed : 26612202).
See full target information POU1F1

Product promise

We are committed to supporting your work with high-quality reagents, and we're here for you every step of the way. In the unlikely event that one of our products does not perform as expected, you're protected by our Product Promise.
For full details, please see our Terms & Conditions

Please note: All products are 'FOR RESEARCH USE ONLY. NOT FOR USE IN DIAGNOSTIC OR THERAPEUTIC PROCEDURES'.

For licensing inquiries, please contact partnerships@abcam.com