JavaScript is disabled in your browser. Please enable JavaScript to view this website.
AB323452

Anti-PITPnm 3 antibody [EPR28185-157]

  • BOND RX™ Validated
  • Recombinant
  • 20ul selling size
  • RabMAb
  • What is this?

Be the first to review this product! Submit a review

|

(0 Publication)

Rabbit Recombinant Monoclonal PITPnm 3 antibody. Suitable for IHC-P, WB and reacts with Mouse, Human samples.

View Alternative Names

NIR1, PITPNM3, Membrane-associated phosphatidylinositol transfer protein 3, Pyk2 N-terminal domain-interacting receptor 1, PITPnm 3, NIR-1

7 Images
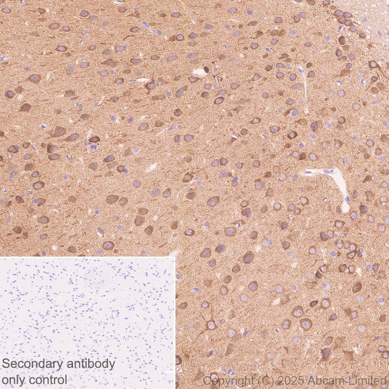
Immunohistochemistry (Formalin/PFA-fixed paraffin-embedded sections) - Anti-PITPnm 3 antibody [EPR28185-157] (AB323452)
  • IHC-P

Supplier Data

Immunohistochemistry (Formalin/PFA-fixed paraffin-embedded sections) - Anti-PITPnm 3 antibody [EPR28185-157] (AB323452)

Immunohistochemical analysis of paraffin-embedded Mouse cerebrum tissue labeling PITPnm 3 with ab323452 at 1/100 (4.9 ug/ml) dilution, followed by a ready to use LeicaDS9800 (Bond™ Polymer Refine Detection).

Positive staining on mouse cerebrum.
The section was incubated with ab323452 for 30 mins at room temperature.
The immunostaining was performed on a Leica Biosystems BOND® RX instrument

Counterstained with Hematoxylin.

Secondary antibody only control : Secondary antibody is a ready to use LeicaDS9800 (Bond™ Polymer Refine Detection).

Heat mediated antigen retrieval was performed with Citrate buffer (pH 6.0, Epitope Retrieval Solution 1) for 20 mins

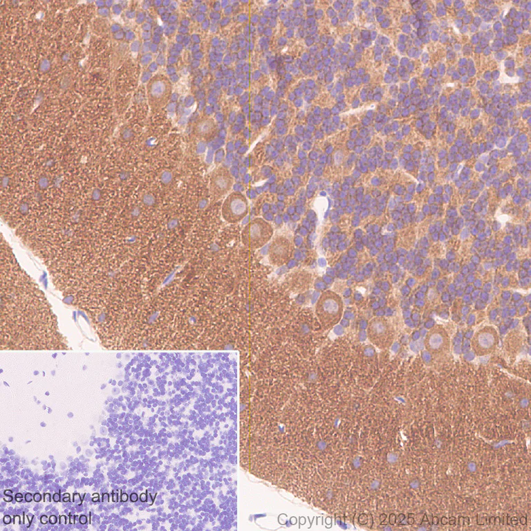
Immunohistochemistry (Formalin/PFA-fixed paraffin-embedded sections) - Anti-PITPnm 3 antibody [EPR28185-157] (AB323452)
  • IHC-P

Supplier Data

Immunohistochemistry (Formalin/PFA-fixed paraffin-embedded sections) - Anti-PITPnm 3 antibody [EPR28185-157] (AB323452)

Immunohistochemical analysis of paraffin-embedded Mouse cerebellum tissue labeling PITPnm 3 with ab323452 at 1/100 (4.9 ug/ml) dilution, followed by a ready to use LeicaDS9800 (Bond™ Polymer Refine Detection).

Positive staining on mouse cerebellum.
The section was incubated with ab323452 for 30 mins at room temperature.
The immunostaining was performed on a Leica Biosystems BOND® RX instrument

Counterstained with Hematoxylin.

Secondary antibody only control : Secondary antibody is a ready to use LeicaDS9800 (Bond™ Polymer Refine Detection).

Heat mediated antigen retrieval was performed with Citrate buffer (pH 6.0, Epitope Retrieval Solution 1) for 20 mins

Western blot - Anti-PITPnm 3 antibody [EPR28185-157] (AB323452)
  • WB

Supplier Data

Western blot - Anti-PITPnm 3 antibody [EPR28185-157] (AB323452)

Blocking and diluting buffer and concentration : 5% NFDM/TBST.

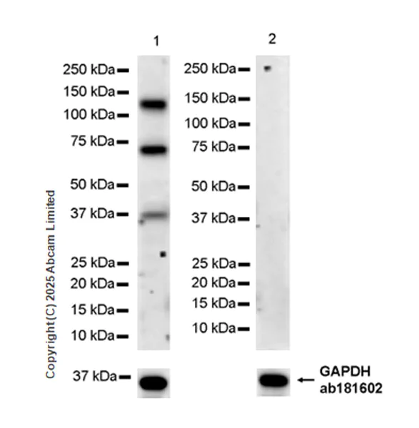
Low expression : liver (PMID : 10022914).

The identity of the lower MW band at approximately 37 kDa (in lane 1) is unknown.

In Western blot, Anti-GAPDH antibody [EPR16891] - Loading Control (ab181602) staining at 1/200000 dilution.

All lanes:

Western blot - Anti-PITPnm 3 antibody [EPR28185-157] (ab323452) at 1/1000 dilution

Lane 1:

Human brain tissue lysate at 20 µg

Lane 2:

Human liver tissue lysate at 20 µg

Secondary

All lanes:

Goat Anti-Rabbit IgG (HRP with minimal cross-reactivity with human IgG at 1/2000 dilution

Observed band size: 106 kDa,70 kDa,36 kDa

false

Exposure time: 125s

Western blot - Anti-PITPnm 3 antibody [EPR28185-157] (AB323452)
  • WB

Supplier Data

Western blot - Anti-PITPnm 3 antibody [EPR28185-157] (AB323452)

Blocking and diluting buffer and concentration : 5% NFDM/TBST.

The molecular weight observed is consistent with what has been described in the literature (PMID : 32641093).

In Western blot, Anti-GAPDH antibody [EPR16891] - Loading Control (ab181602) staining at 1/200000 dilution.

All lanes:

Western blot - Anti-PITPnm 3 antibody [EPR28185-157] (ab323452) at 1/1000 dilution

Lane 1:

SK-OV-3 (human ovarian cancer epithelial cell) transfected with scrambled siRNA control whole cell lysate at 20 µg

Lane 2:

SK-OV-3 transfected with siRNA specifically targeting PITPnm 3 whole cell lysate at 20 µg

Secondary

All lanes:

Western blot - Goat Anti-Rabbit IgG H&L (HRP) (<a href='/en-us/products/secondary-antibodies/goat-rabbit-igg-h-l-hrp-ab97051'>ab97051</a>) at 1/20000 dilution

Observed band size: 106 kDa,70 kDa,36 kDa

false

Exposure time: 10s

Western blot - Anti-PITPnm 3 antibody [EPR28185-157] (AB323452)
  • WB

Supplier Data

Western blot - Anti-PITPnm 3 antibody [EPR28185-157] (AB323452)

Blocking and diluting buffer and concentration : 5% NFDM/TBST.

Low expression : THP-1, Huh7 (PMID : 26449829).

In Western blot, Anti-GAPDH antibody [EPR16891] - Loading Control (ab181602) staining at 1/200000 dilution.

All lanes:

Western blot - Anti-PITPnm 3 antibody [EPR28185-157] (ab323452) at 1/1000 dilution

Lane 1:

HCC1937 (human mammary gland epithelial cell) whole cell lysate at 20 µg

Lane 2:

THP-1 (human monocytic leukemia monocyte) whole cell lysate at 20 µg

Lane 3:

Huh7 (human hepatocellar carcinoma epithelial cell) whole cell lysate at 20 µg

Secondary

All lanes:

Western blot - Goat Anti-Rabbit IgG H&L (HRP) (<a href='/en-us/products/secondary-antibodies/goat-rabbit-igg-h-l-hrp-ab97051'>ab97051</a>) at 1/20000 dilution

Observed band size: 106 kDa,70 kDa,36 kDa

false

Exposure time: 37s

Western blot - Anti-PITPnm 3 antibody [EPR28185-157] (AB323452)
  • WB

Supplier Data

Western blot - Anti-PITPnm 3 antibody [EPR28185-157] (AB323452)

Blocking and diluting buffer and concentration : 5% NFDM/TBST.

Low expression : pancreas, liver (PMID : 10022914), A20.

The identity of the bands lower than 60 kDa are unknown.

In Western blot, Anti-GAPDH antibody [EPR16891] - Loading Control (ab181602) staining at 1/200000 dilution.

Exposure time : Lanes 1-2 : 37 seconds; Lanes 3-5 : 6 seconds.

All lanes:

Western blot - Anti-PITPnm 3 antibody [EPR28185-157] (ab323452) at 1/1000 dilution

Lane 1:

mIMCD3 (mouse inner medlary collecting duct epithelial cell) whole cell lysate at 20 µg

Lane 2:

A20 (mouse reticulum sarcoma b lymphocyte) whole cell at 20 µg

Lane 3:

Mouse brain tissue lysate at 20 µg

Lane 4:

Mouse liver tissue lysate at 20 µg

Lane 5:

Mouse pancreas tissue lysate at 20 µg

Secondary

All lanes:

Western blot - Goat Anti-Rabbit IgG H&L (HRP) (<a href='/en-us/products/secondary-antibodies/goat-rabbit-igg-h-l-hrp-ab97051'>ab97051</a>) at 1/20000 dilution

Observed band size: 106 kDa,70 kDa,36 kDa

false

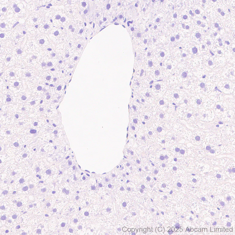
Immunohistochemistry (Formalin/PFA-fixed paraffin-embedded sections) - Anti-PITPnm 3 antibody [EPR28185-157] (AB323452)
  • IHC-P

Supplier Data

Immunohistochemistry (Formalin/PFA-fixed paraffin-embedded sections) - Anti-PITPnm 3 antibody [EPR28185-157] (AB323452)

Immunohistochemical analysis of paraffin-embedded Mouse liver tissue labeling PITPnm 3 with ab323452 at 1/100 (4.9 ug/ml) dilution, followed by a ready to use LeicaDS9800 (Bond™ Polymer Refine Detection).

Low expression tissue : No staining on mouse liver (PMID : 10022914).
The section was incubated with ab323452 for 30 mins at room temperature.
The immunostaining was performed on a Leica Biosystems BOND® RX instrument

Counterstained with Hematoxylin.

Secondary antibody only control : Secondary antibody is a ready to use LeicaDS9800 (Bond™ Polymer Refine Detection).

Heat mediated antigen retrieval was performed with Citrate buffer (pH 6.0, Epitope Retrieval Solution 1) for 20 mins

Key facts

Host species

Rabbit

Clonality

Monoclonal

Clone number

EPR28185-157

Isotype

IgG

Carrier free

No

Reacts with

Mouse, Human

Applications

WB, IHC-P

applications

Immunogen

The exact immunogen used to generate this antibody is proprietary information.

Specificity

Not suitable for human IHC

Reactivity data

{ "title": "Reactivity Data", "filters": { "stats": ["", "Species", "Dilution Info", "Notes"], "tabs": { "all-applications": {"fullname" : "All Applications", "shortname": "All Applications"}, "IHCP" : {"fullname" : "Immunohistochemistry (Formalin/PFA-fixed paraffin-embedded sections)", "shortname":"IHC-P"}, "WB" : {"fullname" : "Western blot", "shortname":"WB"}, "ICCIF" : {"fullname" : "Immunocytochemistry/ Immunofluorescence", "shortname":"ICC/IF"} }, "product-promise": { "all": "all", "testedAndGuaranteed": "tested", "guaranteed": "expected", "predicted": "predicted", "notRecommended": "not-recommended" } }, "values": { "Human": { "IHCP-species-checked": "notRecommended", "IHCP-species-dilution-info": "", "IHCP-species-notes": "<p></p>", "WB-species-checked": "testedAndGuaranteed", "WB-species-dilution-info": "1/1000", "WB-species-notes": "<p></p>", "ICCIF-species-checked": "notRecommended", "ICCIF-species-dilution-info": "", "ICCIF-species-notes": "<p></p>" }, "Mouse": { "IHCP-species-checked": "testedAndGuaranteed", "IHCP-species-dilution-info": "1/100", "IHCP-species-notes": "<p></p> Perform heat-mediated antigen retrieval with citrate buffer pH 6 before commencing with IHC staining protocol.", "WB-species-checked": "testedAndGuaranteed", "WB-species-dilution-info": "1/1000", "WB-species-notes": "<p></p>", "ICCIF-species-checked": "notRecommended", "ICCIF-species-dilution-info": "", "ICCIF-species-notes": "<p></p>" } } }

Product details

Patented technology
Our RabMAb® technology is a patented hybridoma-based technology for making rabbit monoclonal antibodies. For details on our patents, please refer to RabMAb® patents.

What are the advantages of a recombinant monoclonal antibody?
This product is a recombinant monoclonal antibody, which offers several advantages including:

  • - High batch-to-batch consistency and reproducibility
  • - Improved sensitivity and specificity
  • - Long-term security of supply
  • - Animal-free batch production

For more information, read more on recombinant antibodies.

Properties and storage information

Form
Liquid
Purification technique
Affinity purification Protein A
Storage buffer
pH: 7.2 - 7.4 Preservative: 0.01% Sodium azide Constituents: PBS, 40% Glycerol (glycerin, glycerine), 0.05% BSA
Shipped at conditions
Blue Ice
Appropriate short-term storage duration
1-2 weeks
Appropriate short-term storage conditions
+4°C
Appropriate long-term storage conditions
-20°C
Aliquoting information
Upon delivery aliquot
Storage information
Avoid freeze / thaw cycle

Product protocols

For this product, it's our understanding that no specific protocols are required. You can visit:

Target data

Catalyzes the transfer of phosphatidylinositol and phosphatidylcholine between membranes (in vitro) (By similarity). Binds calcium ions.
See full target information PITPNM3

Additional targets

Pitpnm3

Product promise

We are committed to supporting your work with high-quality reagents, and we're here for you every step of the way. In the unlikely event that one of our products does not perform as expected, you're protected by our Product Promise.
For full details, please see our Terms & Conditions

Please note: All products are 'FOR RESEARCH USE ONLY. NOT FOR USE IN DIAGNOSTIC OR THERAPEUTIC PROCEDURES'.

For licensing inquiries, please contact partnerships@abcam.com